COPA Recombinant Rabbit Monoclonal Antibody [JE35-32]
cat.: HA722431
Product Type: Recombinant Rabbit monoclonal IgG, primary antibodies
Species reactivity: Human, Mouse, Rat
Applications: WB, IHC-P, IF-Cell
Clonality: Monoclonal
Clone number: JE35-32
Form: Liquid
Storage condition: Shipped at 4℃. Store at +4℃ short term (1-2 weeks). It is recommended to aliquot into single-use upon delivery. Store at -20℃ long term.
Storage buffer: 1*TBS (pH7.4), 0.05% BSA, 40% Glycerol. Preservative: 0.05% Sodium Azide.
Concentration: 1ug/ul
Purification: Protein A affinity purified.
Molecular weight: Predicted band size: 139 kDa
Isotype: IgG
Immunogen: Synthetic peptide within Human COPA aa 1-50 / 1,224.
Positive control: HeLa cell lysate, Jurkat cell lysate, MCF7 cell lysate, HepG2 cell lysate, C2C12 cell lysate, NIH/3T3 cell lysate, PC-12 cell lysate, C2C12, human small intestine tissue, mouse small intestine tissue, rat small intestine tissue.
Subcellular location: Cytoplasm, Golgi apparatus membrane, Cytoplasmic vesicle, COPI-coated vesicle membrane; Secreted.
Recommended Dilutions:
  WB
  IHC-P
  IF-Cell

1:1,000
1:200
1:50
Uniprot #: SwissProt: P53621 Human | Q8CIE6 Mouse
Entrez Gene: 304978 Rat
Alternative names: Alpha coat protein Alpha COP Alpha COPI Alpha-coat protein Alpha-COP AlphaCOP Coatomer protein complex subunit alpha Coatomer subunit alpha COP A COP I alpha copA COPA_HUMAN COPI alpha FLJ26320 HEP COP HEP-COP HEPCOP Proxenin Xenin Xenopsin-related peptide
Images
HA722431_1.jpg Fig1: Western blot analysis of COPA on different lysates with Rabbit anti-COPA antibody (HA722431) at 1/1,000 dilution.

Lane 1: HeLa cell lysate
Lane 2: Jurkat cell lysate
Lane 3: MCF7 cell lysate
Lane 4: HepG2 cell lysate
Lane 5: C2C12 cell lysate
Lane 6: NIH/3T3 cell lysate
Lane 7: PC-12 cell lysate

Lysates/proteins at 20 µg/Lane.

Predicted band size: 139 kDa
Observed band size: 150 kDa

Exposure time: 10 seconds; ECL: K1801;

4-20% SDS-PAGE gel.

Proteins were transferred to a PVDF membrane and blocked with 5% NFDM/TBST for 1 hour at room temperature. The primary antibody (HA722431) at 1/1,000 dilution was used in 5% NFDM/TBST at 4℃ overnight. Goat Anti-Rabbit IgG - HRP Secondary Antibody (HA1001) at 1/50,000 dilution was used for 1 hour at room temperature.
HA722431_2.jpg Fig2: Immunocytochemistry analysis of C2C12 cells labeling COPA with Rabbit anti-COPA antibody (HA722431) at 1/50 dilution.

Cells were fixed in 4% paraformaldehyde for 20 minutes at room temperature, permeabilized with 0.1% Triton X-100 in PBS for 5 minutes at room temperature, then blocked with 1% BSA in 10% negative goat serum for 1 hour at room temperature. Cells were then incubated with Rabbit anti-COPA antibody (HA722431) at 1/50 dilution in 1% BSA in PBST overnight at 4 ℃. Goat Anti-Rabbit IgG H&L (iFluor™ 488, HA1121) was used as the secondary antibody at 1/1,000 dilution. PBS instead of the primary antibody was used as the secondary antibody only control. Nuclear DNA was labelled in blue with DAPI.

Beta tubulin (M1305-2, red) was stained at 1/100 dilution overnight at +4℃. Goat Anti-Mouse IgG H&L (iFluor™ 594, HA1126) was used as the secondary antibody at 1/1,000 dilution.
HA722431_3.jpg Fig3: Immunohistochemical analysis of paraffin-embedded human small intestine tissue with Rabbit anti-COPA antibody (HA722431) at 1/200 dilution.

The section was pre-treated using heat mediated antigen retrieval with Tris-EDTA buffer (pH 9.0) for 20 minutes. The tissues were blocked in 1% BSA for 20 minutes at room temperature, washed with ddH2O and PBS, and then probed with the primary antibody (HA722431) at 1/200 dilution for 1 hour at room temperature. The detection was performed using an HRP conjugated compact polymer system. DAB was used as the chromogen. Tissues were counterstained with hematoxylin and mounted with DPX.
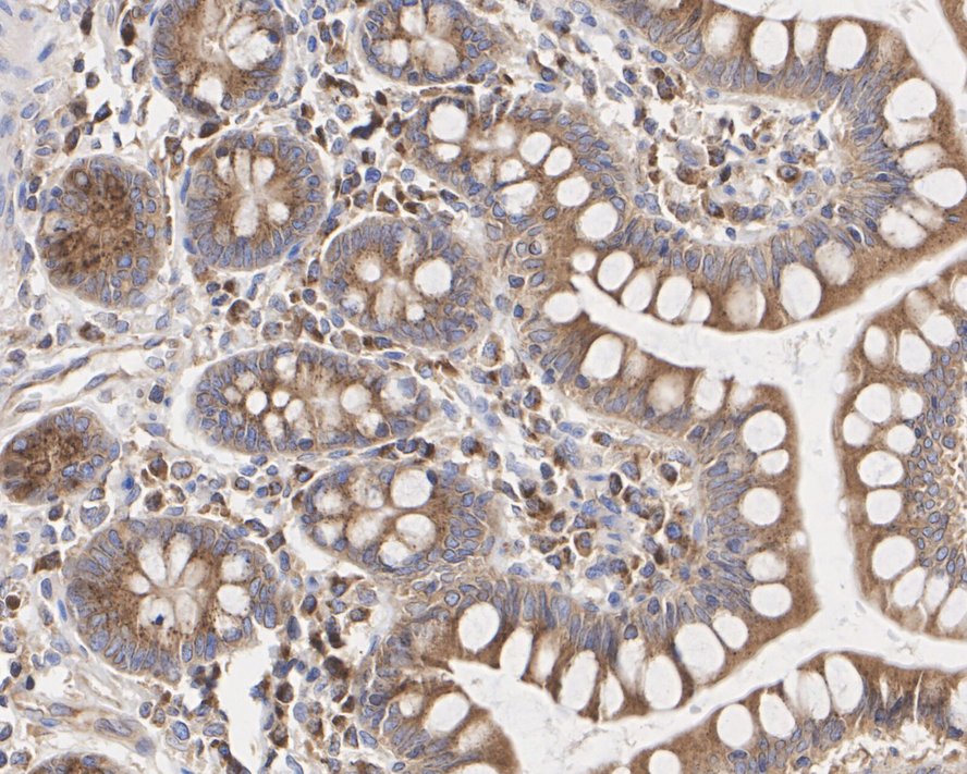
HA722431_4.jpg Fig4: Immunohistochemical analysis of paraffin-embedded mouse small intestine tissue with Rabbit anti-COPA antibody (HA722431) at 1/200 dilution.

The section was pre-treated using heat mediated antigen retrieval with Tris-EDTA buffer (pH 9.0) for 20 minutes. The tissues were blocked in 1% BSA for 20 minutes at room temperature, washed with ddH2O and PBS, and then probed with the primary antibody (HA722431) at 1/200 dilution for 1 hour at room temperature. The detection was performed using an HRP conjugated compact polymer system. DAB was used as the chromogen. Tissues were counterstained with hematoxylin and mounted with DPX.
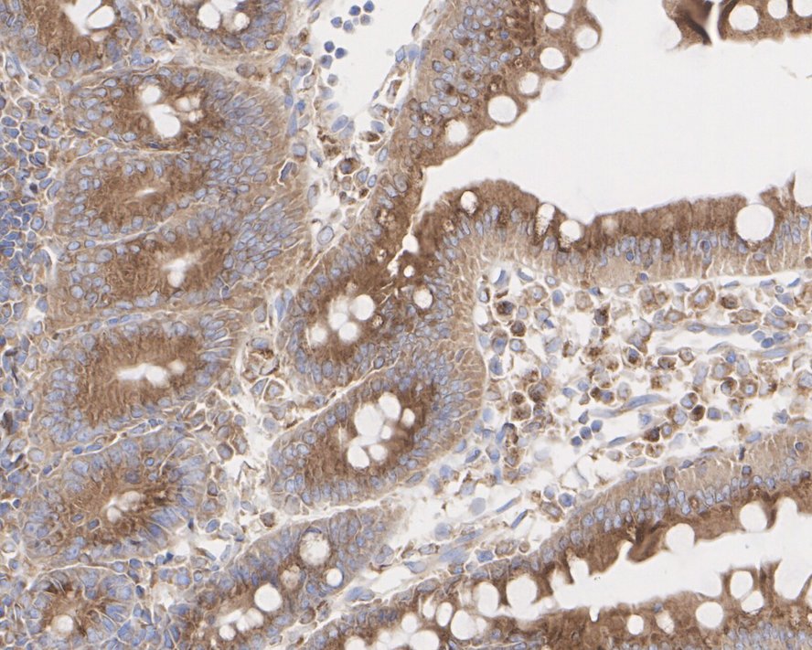
HA722431_5.jpg Fig5: Immunohistochemical analysis of paraffin-embedded rat small intestine tissue with Rabbit anti-COPA antibody (HA722431) at 1/200 dilution.

The section was pre-treated using heat mediated antigen retrieval with Tris-EDTA buffer (pH 9.0) for 20 minutes. The tissues were blocked in 1% BSA for 20 minutes at room temperature, washed with ddH2O and PBS, and then probed with the primary antibody (HA722431) at 1/200 dilution for 1 hour at room temperature. The detection was performed using an HRP conjugated compact polymer system. DAB was used as the chromogen. Tissues were counterstained with hematoxylin and mounted with DPX.
Note: All products are “FOR RESEARCH USE ONLY AND ARE NOT INTENDED FOR DIAGNOSTIC OR THERAPEUTIC USE”.