IgD Recombinant Rabbit Monoclonal Antibody [JE39-23]
cat.: HA722433
Product Type: Recombinant Rabbit monoclonal IgG, primary antibodies
Species reactivity: Human
Applications: WB, IHC-P, IF-Tissue
Clonality: Monoclonal
Clone number: JE39-23
Form: Liquid
Storage condition: Shipped at 4℃. Store at +4℃ short term (1-2 weeks). It is recommended to aliquot into single-use upon delivery. Store at -20℃ long term.
Storage buffer: 1*TBS (pH7.4), 0.05% BSA, 40% Glycerol. Preservative: 0.05% Sodium Azide.
Concentration: 1ug/ul
Purification: Protein A affinity purified.
Molecular weight: Predicted band size: 48 kDa
Isotype: IgG
Immunogen: Synthetic peptide within Human IgD aa 50-150.
Positive control: Human serum lysate, Human plasma lysate, human tonsil tissue, human B-cell lymphoma tissue.
Subcellular location: Secreted; Cell membrane.
Recommended Dilutions:
  WB
  IHC-P
  IF-Tissue

1:1,000
1:200
1:50
Uniprot #: SwissProt: P01880 Human
Alternative names: Immunoglobulin heavy constant delta Ig delta chain C region Ig delta chain C region NIG-65 Ig delta chain C region WAH IGHD
Images
HA722433_1.jpg Fig1: Western blot analysis of IgD on different lysates with Rabbit anti-IgD antibody (HA722433) at 1/1,000 dilution.

Lane 1: Human serum lysate (40 µg/Lane)
Lane 2: Human plasma lysate (40 µg/Lane)

Predicted band size: 48 kDa
Observed band size: 72 kDa

Exposure time: 25 seconds; ECL: K1801;
4-20% SDS-PAGE gel.

Proteins were transferred to a PVDF membrane and blocked with 5% NFDM/TBST for 1 hour at room temperature. The primary antibody (HA722433) at 1/1,000 dilution was used in 5% NFDM/TBST at 4℃ overnight. Goat Anti-Rabbit IgG - HRP Secondary Antibody (HA1001) at 1/50,000 dilution was used for 1 hour at room temperature.
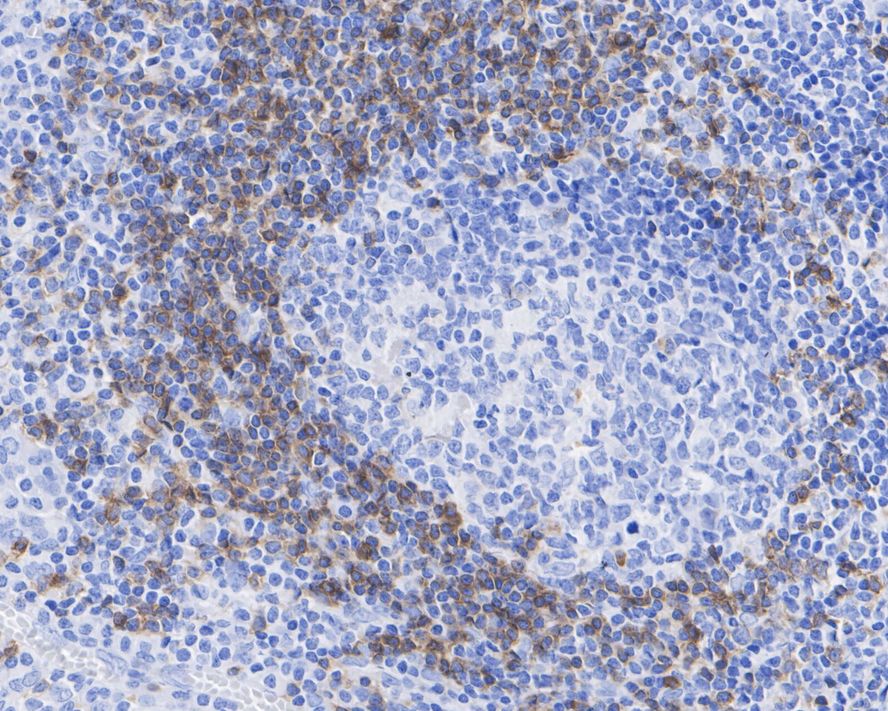
HA722433_2.jpg Fig2: Immunohistochemical analysis of paraffin-embedded human tonsil tissue with Rabbit anti-IgD antibody (HA722433) at 1/200 dilution.

The section was pre-treated using heat mediated antigen retrieval with Tris-EDTA buffer (pH 9.0) for 20 minutes. The tissues were blocked in 1% BSA for 20 minutes at room temperature, washed with ddH2O and PBS, and then probed with the primary antibody (HA722433) at 1/200 dilution for 1 hour at room temperature. The detection was performed using an HRP conjugated compact polymer system. DAB was used as the chromogen. Tissues were counterstained with hematoxylin and mounted with DPX.
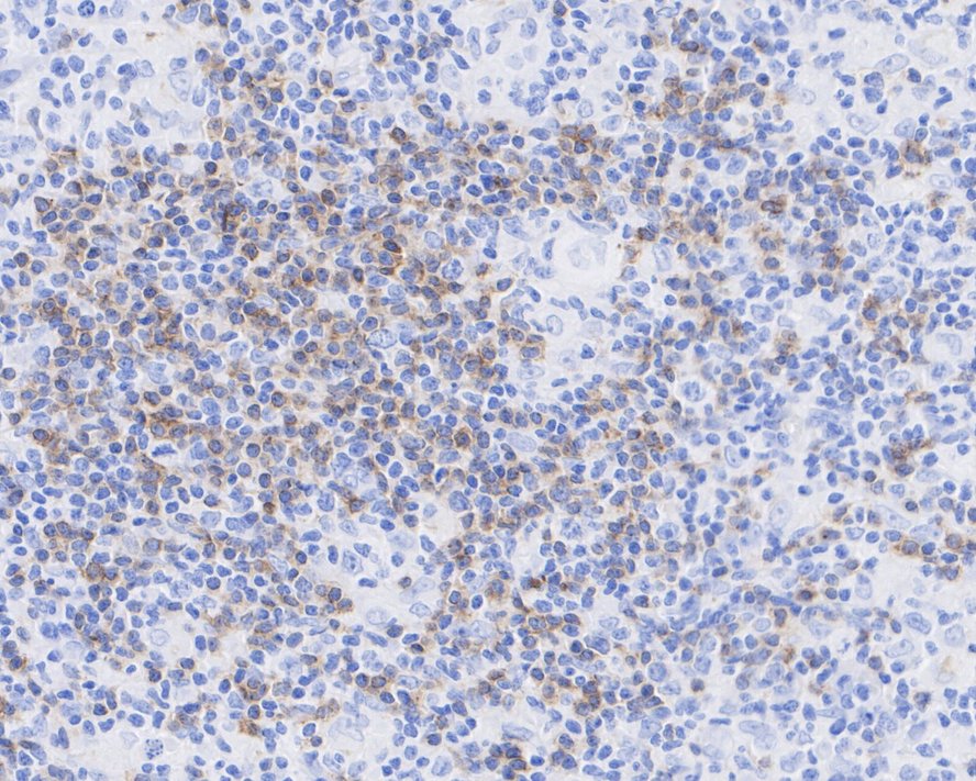
HA722433_3.jpg Fig3: Immunohistochemical analysis of paraffin-embedded human B-cell lymphoma tissue with Rabbit anti-IgD antibody (HA722433) at 1/200 dilution.

The section was pre-treated using heat mediated antigen retrieval with Tris-EDTA buffer (pH 9.0) for 20 minutes. The tissues were blocked in 1% BSA for 20 minutes at room temperature, washed with ddH2O and PBS, and then probed with the primary antibody (HA722433) at 1/200 dilution for 1 hour at room temperature. The detection was performed using an HRP conjugated compact polymer system. DAB was used as the chromogen. Tissues were counterstained with hematoxylin and mounted with DPX.
Note: All products are “FOR RESEARCH USE ONLY AND ARE NOT INTENDED FOR DIAGNOSTIC OR THERAPEUTIC USE”.