PPCS Recombinant Rabbit Monoclonal Antibody [JE63-91]
cat.: HA722435
Product Type: Recombinant Rabbit monoclonal IgG, primary antibodies
Species reactivity: Human
Applications: WB, IHC-P, IF-Tissue, FC, IP
Clonality: Monoclonal
Clone number: JE63-91
Form: Liquid
Storage condition: Shipped at 4℃. Store at +4℃ short term (1-2 weeks). It is recommended to aliquot into single-use upon delivery. Store at -20℃ long term.
Storage buffer: 1*TBS (pH7.4), 0.05% BSA, 40% Glycerol. Preservative: 0.05% Sodium Azide.
Concentration: 1ug/ul
Purification: Protein A affinity purified.
Molecular weight: Predicted band size: 34 kDa
Isotype: IgG
Immunogen: Synthetic peptide within Human PPCS aa 262-311 / 311.
Positive control: HeLa cell lysate, 293T cell lysate, SH-SY5Y cell lysate, HepG2 cell lysate, A431 cell lysate, human colon tissue, human colon cancer tissue, human kidney tissue, A431.
Subcellular location: Cytoplasm, cytosol, nucleus.
Recommended Dilutions:
  WB
  IHC-P
  IF-Tissue
  FC
  IP

1:1,000
1:200-1:1,000
1:200
1:1,000
1-2μg/sample
Uniprot #: SwissProt: Q9HAB8 Human
Alternative names: COAB FLJ11838 MGC117357 MGC138220 OTTHUMP00000008433 Phosphopantothenate--cysteine ligase Phosphopantothenoylcysteine synthetase PPC synthetase Ppcs PPCS_HUMAN RP11-163G10.1
Images
HA722435_1.jpg Fig1: Western blot analysis of PPCS on different lysates with Rabbit anti-PPCS antibody (HA722435) at 1/1,000 dilution.

Lane 1: HeLa cell lysate (20 µg/Lane)
Lane 2: 293T cell lysate (20 µg/Lane)
Lane 3: SH-SY5Y cell lysate (20 µg/Lane)
Lane 4: HepG2 cell lysate (20 µg/Lane)
Lane 5: A431 cell lysate (20 µg/Lane)

Predicted band size: 34 kDa
Observed band size: 34 kDa

Exposure time: 10 seconds; ECL: K1801;
4-20% SDS-PAGE gel.

Proteins were transferred to a PVDF membrane and blocked with 5% NFDM/TBST for 1 hour at room temperature. The primary antibody (HA722435) at 1/1,000 dilution was used in 5% NFDM/TBST at 4℃ overnight. Goat Anti-Rabbit IgG - HRP Secondary Antibody (HA1001) at 1/50,000 dilution was used for 1 hour at room temperature.
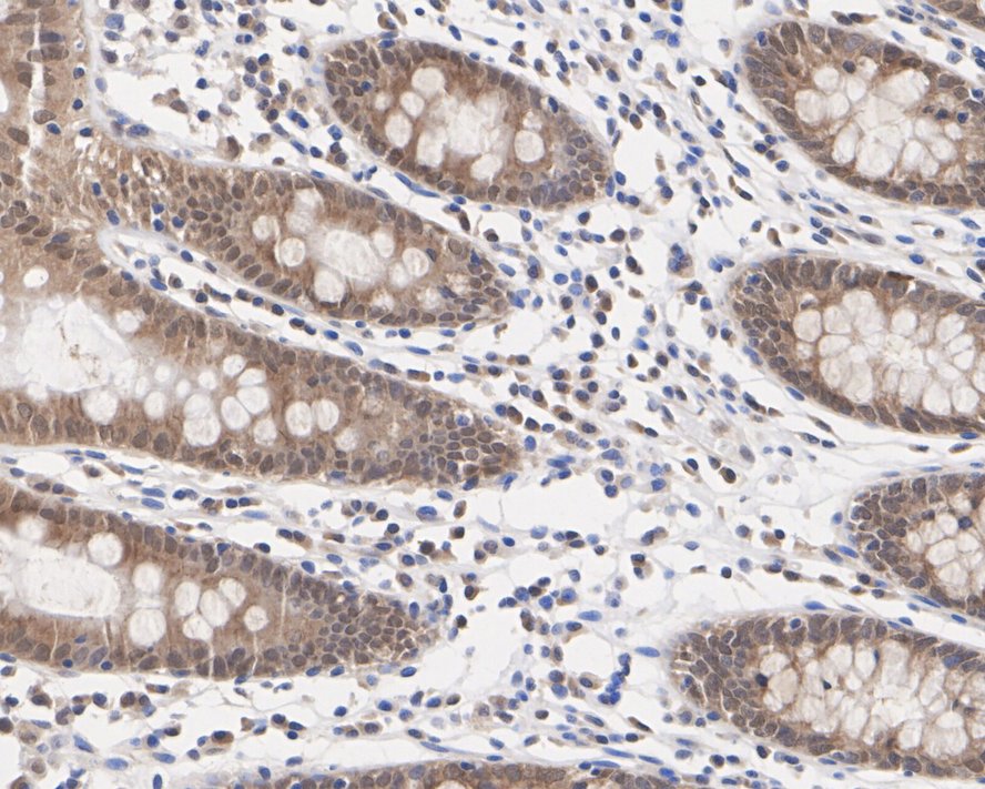
HA722435_2.jpg Fig2: Immunohistochemical analysis of paraffin-embedded human colon tissue with Rabbit anti-PPCS antibody (HA722435) at 1/1,000 dilution.

The section was pre-treated using heat mediated antigen retrieval with sodium citrate buffer (pH 6.0) for 2 minutes. The tissues were blocked in 1% BSA for 20 minutes at room temperature, washed with ddH2O and PBS, and then probed with the primary antibody (HA722435) at 1/1,000 dilution for 1 hour at room temperature. The detection was performed using an HRP conjugated compact polymer system. DAB was used as the chromogen. Tissues were counterstained with hematoxylin and mounted with DPX.
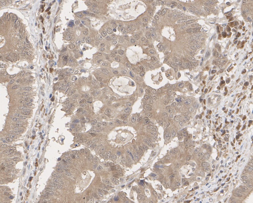
HA722435_3.jpg Fig3: Immunohistochemical analysis of paraffin-embedded human colon cancer tissue with Rabbit anti-PPCS antibody (HA722435) at 1/200 dilution.

The section was pre-treated using heat mediated antigen retrieval with sodium citrate buffer (pH 6.0) for 2 minutes. The tissues were blocked in 1% BSA for 20 minutes at room temperature, washed with ddH2O and PBS, and then probed with the primary antibody (HA722435) at 1/200 dilution for 1 hour at room temperature. The detection was performed using an HRP conjugated compact polymer system. DAB was used as the chromogen. Tissues were counterstained with hematoxylin and mounted with DPX.
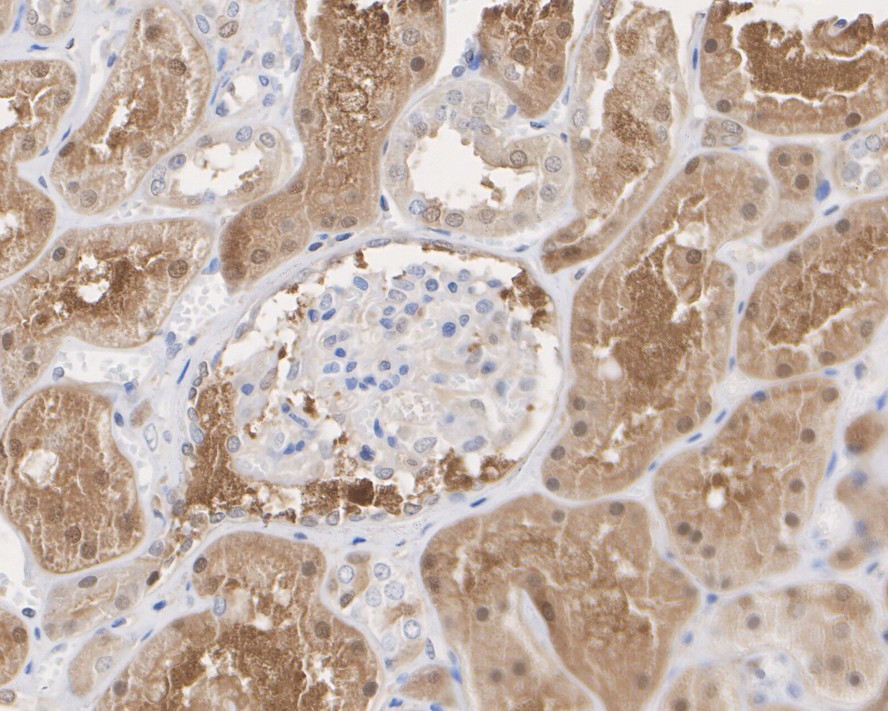
HA722435_4.jpg Fig4: Immunohistochemical analysis of paraffin-embedded human kidney tissue with Rabbit anti-PPCS antibody (HA722435) at 1/1,000 dilution.

The section was pre-treated using heat mediated antigen retrieval with sodium citrate buffer (pH 6.0) for 2 minutes. The tissues were blocked in 1% BSA for 20 minutes at room temperature, washed with ddH2O and PBS, and then probed with the primary antibody (HA722435) at 1/1,000 dilution for 1 hour at room temperature. The detection was performed using an HRP conjugated compact polymer system. DAB was used as the chromogen. Tissues were counterstained with hematoxylin and mounted with DPX.
HA722435_5.jpg Fig5: Flow cytometric analysis of A431 cells labeling PPCS.

Cells were fixed and permeabilized. Then stained with the primary antibody (HA722435, 1/1,000) (red) compared with Rabbit IgG Isotype Control (green). After incubation of the primary antibody at +4℃ for an hour, the cells were stained with a iFluor™ 488 conjugate-Goat anti-Rabbit IgG Secondary antibody (HA1121) at 1/1,000 dilution for 30 minutes at +4℃. Unlabelled sample was used as a control (cells without incubation with primary antibody; black).
HA722435_6.jpg Fig6: PPCS was immunoprecipitated from 0.2 mg 293T cell lysate with HA722435 at 2 µg/25 µl agarose. Western blot was performed from the immunoprecipitate using HA722435 at 1/1,000 dilution. Anti-Rabbit IgG for IP Nano-secondary antibody (NBI01H) at 1/5,000 dilution was used for 1 hour at room temperature.

Lane 1: 293T cell lysate (input)
Lane 2: HA722435 IP in 293T cell lysate
Lane 3: Rabbit IgG instead of HA722435 in 293T cell lysate

Blocking/Dilution buffer: 5% NFDM/TBST
Exposure time: 20 seconds; ECL: K1801
Note: All products are “FOR RESEARCH USE ONLY AND ARE NOT INTENDED FOR DIAGNOSTIC OR THERAPEUTIC USE”.