NDUFA1 Recombinant Rabbit Monoclonal Antibody [JE64-37]
cat.: HA722436
Product Type: Recombinant Rabbit monoclonal IgG, primary antibodies
Species reactivity: Human
Applications: WB, IHC-P
Clonality: Monoclonal
Clone number: JE64-37
Form: Liquid
Storage condition: Shipped at 4℃. Store at +4℃ short term (1-2 weeks). It is recommended to aliquot into single-use upon delivery. Store at -20℃ long term.
Storage buffer: 1*TBS (pH7.4), 0.05% BSA, 40% Glycerol. Preservative: 0.05% Sodium Azide.
Concentration: 1ug/ul
Purification: Protein A affinity purified.
Molecular weight: Predicted band size: 8 kDa
Isotype: IgG
Immunogen: Synthetic peptide within Human NDUFA1 aa 20-70.
Positive control: K-562 cell lysate, HeLa cell lysate, MCF7 cell lysate, A549 cell lysate, 293T cell lysate, human heart tissue, human skeletal muscle tissue, human kidney tissue.
Subcellular location: Mitochondrion inner membrane.
Recommended Dilutions:
  WB
  IHC-P

1:1,000
1:200-1:1,000
Uniprot #: SwissProt: O15239 Human
Alternative names: CI MWFE CI-MWFE Complex I MWFE complex I MWFE subunit Complex I-MWFE MWFE MWFE, B. taurus, homolog of NADH dehydrogenase (ubiquinone) 1 alpha subcomplex 1 7.5kDa NADH dehydrogenase (ubiquinone) 1 alpha subcomplex 1 NADH dehydrogenase [ubiquinone] 1 alpha subcomplex subunit 1 NADH oxidoreductase subunit MWFE NADH ubiquinone oxidoreductase (complex 1) NADH ubiquinone oxidoreductase MWFE subunit NADH-ubiquinone oxidoreductase 1 alpha subcomplex, 1 NADH-ubiquinone oxidoreductase MWFE subunit NDUA1_HUMAN NDUFA 1 NDUFA1 Type I dehydrogenase ZNF 183 ZNF183
Images
HA722436_1.jpg Fig1: Western blot analysis of NDUFA1 on different lysates with Rabbit anti-NDUFA1 antibody (HA722436) at 1/1,000 dilution.

Lane 1: K-562 cell lysate (20 µg/Lane)
Lane 2: HeLa cell lysate (20 µg/Lane)
Lane 3: MCF7 cell lysate (20 µg/Lane)
Lane 4: A549 cell lysate (20 µg/Lane)
Lane 5: 293T cell lysate (20 µg/Lane)

Predicted band size: 8 kDa
Observed band size: 10 kDa

Exposure time: 3 minutes; ECL: K1802;
4-20% SDS-PAGE gel.

Proteins were transferred to a PVDF membrane and blocked with 5% NFDM/TBST for 1 hour at room temperature. The primary antibody (HA722436) at 1/1,000 dilution was used in 5% NFDM/TBST at 4℃ overnight. Goat Anti-Rabbit IgG - HRP Secondary Antibody (HA1001) at 1/50,000 dilution was used for 1 hour at room temperature.
HA722436_2.jpg Fig2: Immunohistochemical analysis of paraffin-embedded human heart tissue with Rabbit anti-NDUFA1 antibody (HA722436) at 1/1,000 dilution.

The section was pre-treated using heat mediated antigen retrieval with Tris-EDTA buffer (pH 9.0) for 20 minutes. The tissues were blocked in 1% BSA for 20 minutes at room temperature, washed with ddH2O and PBS, and then probed with the primary antibody (HA722436) at 1/1,000 dilution for 1 hour at room temperature. The detection was performed using an HRP conjugated compact polymer system. DAB was used as the chromogen. Tissues were counterstained with hematoxylin and mounted with DPX.
HA722436_3.jpg Fig3: Immunohistochemical analysis of paraffin-embedded human skeletal muscle tissue with Rabbit anti-NDUFA1 antibody (HA722436) at 1/1,000 dilution.

The section was pre-treated using heat mediated antigen retrieval with Tris-EDTA buffer (pH 9.0) for 20 minutes. The tissues were blocked in 1% BSA for 20 minutes at room temperature, washed with ddH2O and PBS, and then probed with the primary antibody (HA722436) at 1/1,000 dilution for 1 hour at room temperature. The detection was performed using an HRP conjugated compact polymer system. DAB was used as the chromogen. Tissues were counterstained with hematoxylin and mounted with DPX.
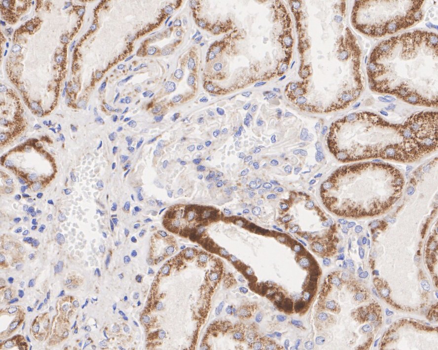
HA722436_4.jpg Fig4: Immunohistochemical analysis of paraffin-embedded human kidney tissue with Rabbit anti-NDUFA1 antibody (HA722436) at 1/200 dilution.

The section was pre-treated using heat mediated antigen retrieval with Tris-EDTA buffer (pH 9.0) for 20 minutes. The tissues were blocked in 1% BSA for 20 minutes at room temperature, washed with ddH2O and PBS, and then probed with the primary antibody (HA722436) at 1/200 dilution for 1 hour at room temperature. The detection was performed using an HRP conjugated compact polymer system. DAB was used as the chromogen. Tissues were counterstained with hematoxylin and mounted with DPX.
Note: All products are “FOR RESEARCH USE ONLY AND ARE NOT INTENDED FOR DIAGNOSTIC OR THERAPEUTIC USE”.