INPP4B Recombinant Rabbit Monoclonal Antibody [JE07-42]
cat.: HA722445
Product Type: Recombinant Rabbit monoclonal IgG, primary antibodies
Species reactivity: Human, Mouse, Rat
Applications: WB, IHC-P
Clonality: Monoclonal
Clone number: JE07-42
Form: Liquid
Storage condition: Shipped at 4℃. Store at +4℃ short term (1-2 weeks). It is recommended to aliquot into single-use upon delivery. Store at -20℃ long term.
Storage buffer: 1*TBS (pH7.4), 0.05% BSA, 40% Glycerol. Preservative: 0.05% Sodium Azide.
Concentration: 1ug/ul
Purification: Protein A affinity purified.
Molecular weight: Predicted band size: 105 kDa
Isotype: IgG
Immunogen: Synthetic peptide within Human INPP4B aa 1-100.
Positive control: HeLa cell lysate, mouse heart tissue lysate, mouse skeletal muscle tissue lysate, rat heart tissue lysate, rat skeletal muscle tissue lysate, rat heart tissue.
Subcellular location: Cytoplasm.
Recommended Dilutions:
  WB
  IHC-P

1:1,000
1:200
Uniprot #: SwissProt: O15327 Human | Q6P1Y8 Mouse | Q9QWG5 Rat
Alternative names: Inositol polyphosphate 4 phosphatase, type II 4-bisphosphate 4-phosphatase Inositol polyphosphate 4 phosphatase type II 105kDa Inositol polyphosphate 4-phosphatase type II INP4B_HUMAN Inpp4b MGC132014 Type II inositol 3,4 bisphosphate 4 phosphatase Type II inositol-3
Images
HA722445_1.jpg Fig1: Western blot analysis of INPP4B on different lysates with Rabbit anti-INPP4B antibody (HA722445) at 1/1,000 dilution.

Lane 1: HeLa cell lysate (20 µg/Lane)
Lane 2: Mouse heart tissue lysate (40 µg/Lane)
Lane 3: Mouse skeletal muscle tissue lysate (40 µg/Lane)
Lane 4: Rat heart tissue lysate (40 µg/Lane)
Lane 5: Rat skeletal muscle tissue lysate (40 µg/Lane)

Predicted band size: 107 kDa
Observed band size: 107 kDa

Exposure time: Lane 1: 30 seconds; Lane 2-5: 3 minutes; ECL: K1801;

4-20% SDS-PAGE gel.

Proteins were transferred to a PVDF membrane and blocked with 5% NFDM/TBST for 1 hour at room temperature. The primary antibody (HA722445) at 1/1,000 dilution was used in 5% NFDM/TBST at 4℃ overnight. Goat Anti-Rabbit IgG - HRP Secondary Antibody (HA1001) at 1/50,000 dilution was used for 1 hour at room temperature.
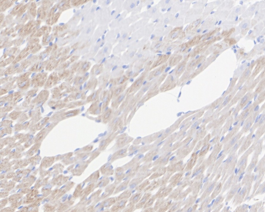
HA722445_2.jpg Fig2: Immunohistochemical analysis of paraffin-embedded rat heart tissue with Rabbit anti-INPP4B antibody (HA722445) at 1/200 dilution.

The section was pre-treated using heat mediated antigen retrieval with Tris-EDTA buffer (pH 9.0) for 20 minutes. The tissues were blocked in 1% BSA for 20 minutes at room temperature, washed with ddH2O and PBS, and then probed with the primary antibody (HA722445) at 1/200 dilution for 1 hour at room temperature. The detection was performed using an HRP conjugated compact polymer system. DAB was used as the chromogen. Tissues were counterstained with hematoxylin and mounted with DPX.
Note: All products are “FOR RESEARCH USE ONLY AND ARE NOT INTENDED FOR DIAGNOSTIC OR THERAPEUTIC USE”.