intestinal alkaline phosphatase Recombinant Rabbit Monoclonal Antibody [JE60-27]
cat.: HA722461
Product Type: Recombinant Rabbit monoclonal IgG, primary antibodies
Species reactivity: Human
Applications: WB, IHC-P
Clonality: Monoclonal
Clone number: JE60-27
Form: Liquid
Storage condition: Shipped at 4℃. Store at +4℃ short term (1-2 weeks). It is recommended to aliquot into single-use upon delivery. Store at -20℃ long term.
Storage buffer: 1*TBS (pH7.4), 0.05% BSA, 40% Glycerol. Preservative: 0.05% Sodium Azide.
Concentration: 1ug/ul
Purification: Protein A affinity purified.
Molecular weight: Predicted band size: 57 kDa
Isotype: IgG
Immunogen: Recombinant protein within Human intestinal alkaline phosphatase aa 1-100 / 528.
Positive control: Caco-2 cell lysate, SW480 cell lysate, human small intestine tissue, human placenta tissue.
Subcellular location: Cell membrane.
Recommended Dilutions:
  WB
  IHC-P

1:1,000
1:1,000
Uniprot #: SwissProt: P09923 Human
Alternative names: Alkaline phosphatase intestinal Alkaline phosphomonoesterase Alpi Glycerophosphatase IAP Intestinal alkaline phosphatase Intestinal-type alkaline phosphatase Kasahara isozyme OTTHUMP00000164357 PPBI_HUMAN
Images
HA722461_1.jpg Fig1: Western blot analysis of intestinal alkaline phosphatase on different lysates with Rabbit anti-intestinal alkaline phosphatase antibody (HA722461) at 1/1,000 dilution.

Lane 1: Caco-2 cell lysate
Lane 2: SW480 cell lysate

Lysates/proteins at 20 µg/Lane.

Predicted band size: 57 kDa
Observed band size: 70-75 kDa

Exposure time: 3 minutes; ECL: K1801;
4-20% SDS-PAGE gel.

Proteins were transferred to a PVDF membrane and blocked with 5% NFDM/TBST for 1 hour at room temperature. The primary antibody (HA722461) at 1/1,000 dilution was used in 5% NFDM/TBST at 4℃ overnight. Goat Anti-Rabbit IgG - HRP Secondary Antibody (HA1001) at 1/50,000 dilution was used for 1 hour at room temperature.
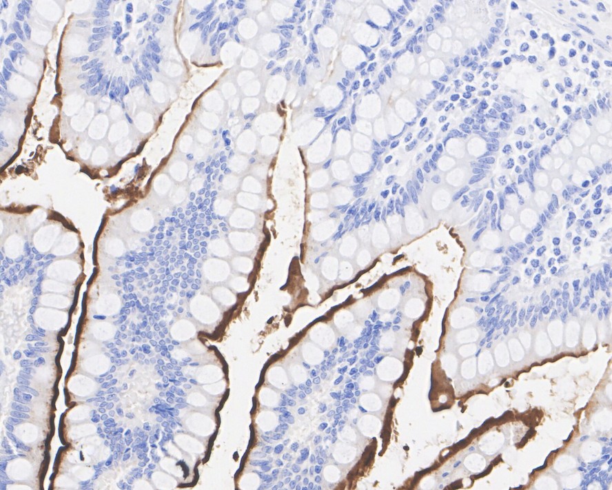
HA722461_2.jpg Fig2: Immunohistochemical analysis of paraffin-embedded human small intestine tissue with Rabbit anti-intestinal alkaline phosphatase antibody (HA722461) at 1/1,000 dilution.

The section was pre-treated using heat mediated antigen retrieval with Tris-EDTA buffer (pH 9.0) for 20 minutes. The tissues were blocked in 1% BSA for 20 minutes at room temperature, washed with ddH2O and PBS, and then probed with the primary antibody (HA722461) at 1/1,000 dilution for 1 hour at room temperature. The detection was performed using an HRP conjugated compact polymer system. DAB was used as the chromogen. Tissues were counterstained with hematoxylin and mounted with DPX.
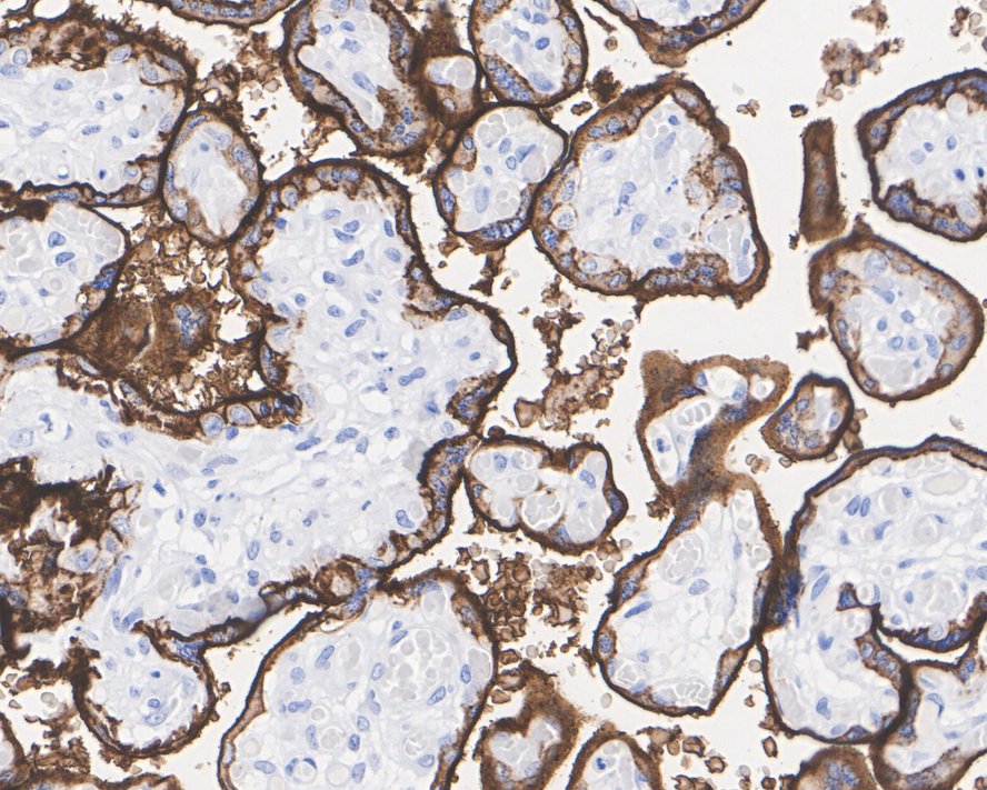
HA722461_3.jpg Fig3: Immunohistochemical analysis of paraffin-embedded human placenta tissue with Rabbit anti-intestinal alkaline phosphatase antibody (HA722461) at 1/1,000 dilution.

The section was pre-treated using heat mediated antigen retrieval with Tris-EDTA buffer (pH 9.0) for 20 minutes. The tissues were blocked in 1% BSA for 20 minutes at room temperature, washed with ddH2O and PBS, and then probed with the primary antibody (HA722461) at 1/1,000 dilution for 1 hour at room temperature. The detection was performed using an HRP conjugated compact polymer system. DAB was used as the chromogen. Tissues were counterstained with hematoxylin and mounted with DPX.
Note: All products are “FOR RESEARCH USE ONLY AND ARE NOT INTENDED FOR DIAGNOSTIC OR THERAPEUTIC USE”.