MAP3K4 Recombinant Rabbit Monoclonal Antibody [JE62-99]
cat.: HA722466
Product Type: Recombinant Rabbit monoclonal IgG, primary antibodies
Species reactivity: Human, Mouse, Rat
Applications: WB, IHC-P
Clonality: Monoclonal
Clone number: JE62-99
Form: Liquid
Storage condition: Shipped at 4℃. Store at +4℃ short term (1-2 weeks). It is recommended to aliquot into single-use upon delivery. Store at -20℃ long term.
Storage buffer: 1*TBS (pH7.4), 0.05% BSA, 40% Glycerol. Preservative: 0.05% Sodium Azide.
Concentration: 1ug/ul
Purification: Protein A affinity purified.
Molecular weight: Predicted band size: 182 kDa
Isotype: IgG
Immunogen: Synthetic peptide corresponding to Human MAP3K4 aa 150-250.
Positive control: K-562 cell lysate, 293T cell lysate, Jurkat cell lysate, Rat brain tissue lysate, Rat placenta tissue lysate, Mouse brain tissue lysate, Mouse placenta tissue lysate, human placenta tissue, human colon cancer tissue, mouse small intestine tissue, rat small intestine tissue.
Subcellular location: Cytoplasm.
Recommended Dilutions:
  WB
  IHC-P

1:1,000
1:1,000
Uniprot #: SwissProt: Q9Y6R4 Human | O08648 Mouse | 308106 Rat
Alternative names: dJ473J16.1 (mitogen-activated protein kinase kinase kinase 4) FLJ42439 KIAA0213 M3K4_HUMAN MAP three kinase 1 MAP/ERK kinase kinase 4 MAP3K4 MAPK/ERK kinase kinase 4 MAPKKK4 MEK kinase 4 MEKK 4 MEKK4 Mitogen-activated protein kinase kinase kinase 4 MTK1 predicted protein of HQ0412 PRO0412 RP3-473J16.4 SSK2/SSK22 MAP kinase kinase kinase, yeast, homolog of
Images
HA722466_1.jpg Fig1: Western blot analysis of MAP3K4 on different lysates with Rabbit anti-MAP3K4 antibody (HA722466) at 1/1,000 dilution.

Lane 1: K-562 cell lysate (20 µg/Lane)
Lane 2: 293T cell lysate (20 µg/Lane)
Lane 3: Jurkat cell lysate (20 µg/Lane)
Lane 4: Rat brain tissue lysate (40 µg/Lane)
Lane 5: Rat placenta tissue lysate (40 µg/Lane)
Lane 6: Mouse brain tissue lysate (40 µg/Lane)
Lane 7: Mouse placenta tissue lysate (40 µg/Lane)

Predicted band size: 182 kDa
Observed band size: 182 kDa
Exposure time: 3 minutes; ECL: K1801;
4-20% SDS-PAGE gel.

Proteins were transferred to a PVDF membrane and blocked with 5% NFDM/TBST for 1 hour at room temperature. The primary antibody (HA722466) at 1/1,000 dilution was used in 5% NFDM/TBST at 4℃ overnight. Goat Anti-Rabbit IgG - HRP Secondary Antibody (HA1001) at 1/50,000 dilution was used for 1 hour at room temperature.
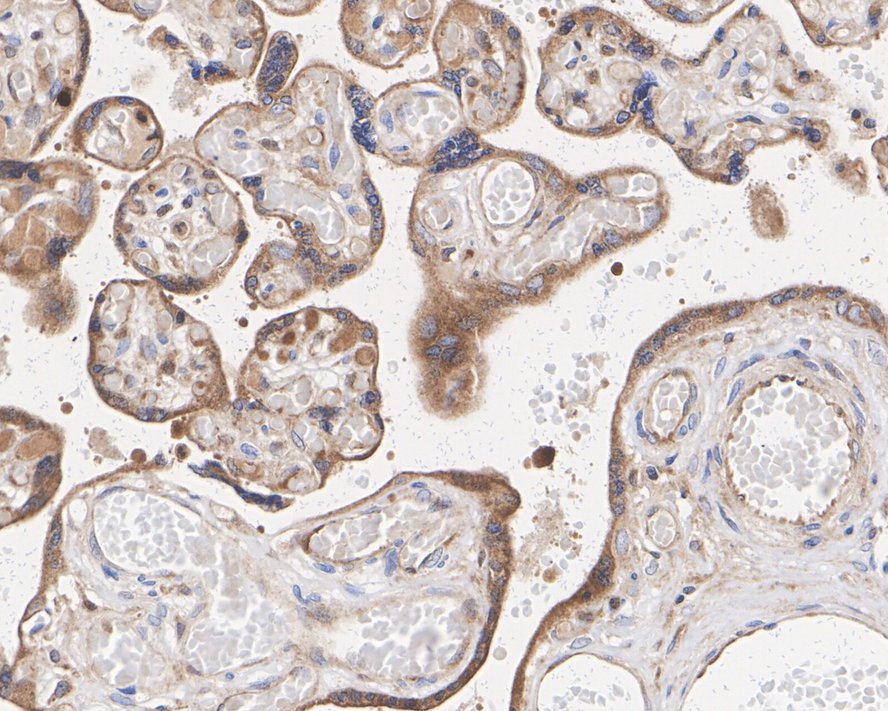
HA722466_2.jpg Fig2: Immunohistochemical analysis of paraffin-embedded human placenta tissue with Rabbit anti-MAP3K4 antibody (HA722466) at 1/1,000 dilution.

The section was pre-treated using heat mediated antigen retrieval with Tris-EDTA buffer (pH 9.0) for 20 minutes. The tissues were blocked in 1% BSA for 20 minutes at room temperature, washed with ddH2O and PBS, and then probed with the primary antibody (HA722466) at 1/1,000 dilution for 1 hour at room temperature. The detection was performed using an HRP conjugated compact polymer system. DAB was used as the chromogen. Tissues were counterstained with hematoxylin and mounted with DPX.
HA722466_3.jpg Fig3: Immunohistochemical analysis of paraffin-embedded human colon cancer tissue with Rabbit anti-MAP3K4 antibody (HA722466) at 1/1,000 dilution.

The section was pre-treated using heat mediated antigen retrieval with Tris-EDTA buffer (pH 9.0) for 20 minutes. The tissues were blocked in 1% BSA for 20 minutes at room temperature, washed with ddH2O and PBS, and then probed with the primary antibody (HA722466) at 1/1,000 dilution for 1 hour at room temperature. The detection was performed using an HRP conjugated compact polymer system. DAB was used as the chromogen. Tissues were counterstained with hematoxylin and mounted with DPX.
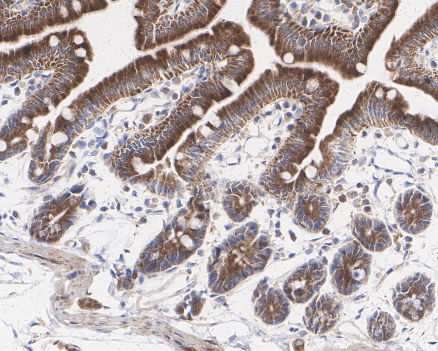
HA722466_4.jpg Fig4: Immunohistochemical analysis of paraffin-embedded mouse small intestine tissue with Rabbit anti-MAP3K4 antibody (HA722466) at 1/1,000 dilution.

The section was pre-treated using heat mediated antigen retrieval with Tris-EDTA buffer (pH 9.0) for 20 minutes. The tissues were blocked in 1% BSA for 20 minutes at room temperature, washed with ddH2O and PBS, and then probed with the primary antibody (HA722466) at 1/1,000 dilution for 1 hour at room temperature. The detection was performed using an HRP conjugated compact polymer system. DAB was used as the chromogen. Tissues were counterstained with hematoxylin and mounted with DPX.
HA722466_5.jpg Fig5: Immunohistochemical analysis of paraffin-embedded rat small intestine tissue with Rabbit anti-MAP3K4 antibody (HA722466) at 1/1,000 dilution.

The section was pre-treated using heat mediated antigen retrieval with Tris-EDTA buffer (pH 9.0) for 20 minutes. The tissues were blocked in 1% BSA for 20 minutes at room temperature, washed with ddH2O and PBS, and then probed with the primary antibody (HA722466) at 1/1,000 dilution for 1 hour at room temperature. The detection was performed using an HRP conjugated compact polymer system. DAB was used as the chromogen. Tissues were counterstained with hematoxylin and mounted with DPX.
Note: All products are “FOR RESEARCH USE ONLY AND ARE NOT INTENDED FOR DIAGNOSTIC OR THERAPEUTIC USE”.