USF1 Recombinant Rabbit Monoclonal Antibody [JE63-68]
cat.: HA722469
Product Type: Recombinant Rabbit monoclonal IgG, primary antibodies
Species reactivity: Human, Mouse, Rat
Applications: WB, IHC-P, IF-Cell, FC
Clonality: Monoclonal
Clone number: JE63-68
Form: Liquid
Storage condition: Shipped at 4℃. Store at +4℃ short term (1-2 weeks). It is recommended to aliquot into single-use upon delivery. Store at -20℃ long term.
Storage buffer: 1*TBS (pH7.4), 0.05% BSA, 40% Glycerol. Preservative: 0.05% Sodium Azide.
Concentration: 1ug/ul
Purification: Protein A affinity purified.
Molecular weight: Predicted band size: 34 kDa
Isotype: IgG
Immunogen: Synthetic peptide within Human USF1 aa 150-250.
Positive control: HEK-293 cell lysate, K-562 cell lysate, NIH/3T3 cell lysate, Mouse kidney tissue lysate, Rat kidney tissue lysate, HeLa, mouse bladder tissue, rat bladder tissue.
Subcellular location: Nucleus.
Recommended Dilutions:
  WB
  IHC-P
  IF-Cell
  FC

1:1,000
1:1,000
1:50
1:1,000
Uniprot #: SwissProt: P22415 Human | Q61069 Mouse
Entrez Gene: 83586 Rat
Alternative names: bHLHb11 Class B basic helix-loop-helix protein 11 FCHL 1 FCHL FCHL1 HGNC:12593 HYPLIP 1 HYPLIP1 Major late transcription factor 1 Major late transcription factor MLTF MLTF I MLTFI Transcription factor USF-1 UEF Upstream stimulatory factor 1 Upstream transcription factor 1 Upstream transcription factor 1, isoform CRA_a USF 1 USF
Images
HA722469_1.jpg Fig1: Western blot analysis of USF1 on different lysates with Rabbit anti-USF1 antibody (HA722469) at 1/1,000 dilution.

Lane 1: HEK-293 cell lysate (20 µg/Lane)
Lane 2: K-562 cell lysate (20 µg/Lane)
Lane 3: NIH/3T3 cell lysate (20 µg/Lane)
Lane 4: Mouse kidney tissue lysate (40 µg/Lane)
Lane 5: Rat kidney tissue lysate (40 µg/Lane)

Predicted band size: 34 kDa
Observed band size: 34 kDa

Exposure time: 6 seconds; ECL: K1801;

4-20% SDS-PAGE gel.

Proteins were transferred to a PVDF membrane and blocked with 5% NFDM/TBST for 1 hour at room temperature. The primary antibody (HA722469) at 1/1,000 dilution was used in 5% NFDM/TBST at 4℃ overnight. Goat Anti-Rabbit IgG - HRP Secondary Antibody (HA1001) at 1/50,000 dilution was used for 1 hour at room temperature.
HA722469_2.jpg Fig2: Immunocytochemistry analysis of HeLa cells labeling USF1 with Rabbit anti-USF1 antibody (HA722469) at 1/50 dilution.

Cells were fixed in 4% paraformaldehyde for 20 minutes at room temperature, permeabilized with 0.1% Triton X-100 in PBS for 5 minutes at room temperature, then blocked with 1% BSA in 10% negative goat serum for 1 hour at room temperature. Cells were then incubated with Rabbit anti-USF1 antibody (HA722469) at 1/50 dilution in 1% BSA in PBST overnight at 4 ℃. Goat Anti-Rabbit IgG H&L (iFluor™ 488, HA1121) was used as the secondary antibody at 1/1,000 dilution. PBS instead of the primary antibody was used as the secondary antibody only control. Nuclear DNA was labelled in blue with DAPI.

Beta tubulin (M1305-2, red) was stained at 1/100 dilution overnight at +4℃. Goat Anti-Mouse IgG H&L (iFluor™ 594, HA1126) was used as the secondary antibody at 1/1,000 dilution.
HA722469_3.jpg Fig3: Immunohistochemical analysis of paraffin-embedded mouse bladder tissue with Rabbit anti-USF1 antibody (HA722469) at 1/1,000 dilution.

The section was pre-treated using heat mediated antigen retrieval with sodium citrate buffer (pH 6.0) for 2 minutes. The tissues were blocked in 1% BSA for 20 minutes at room temperature, washed with ddH2O and PBS, and then probed with the primary antibody (HA722469) at 1/1,000 dilution for 1 hour at room temperature. The detection was performed using an HRP conjugated compact polymer system. DAB was used as the chromogen. Tissues were counterstained with hematoxylin and mounted with DPX.
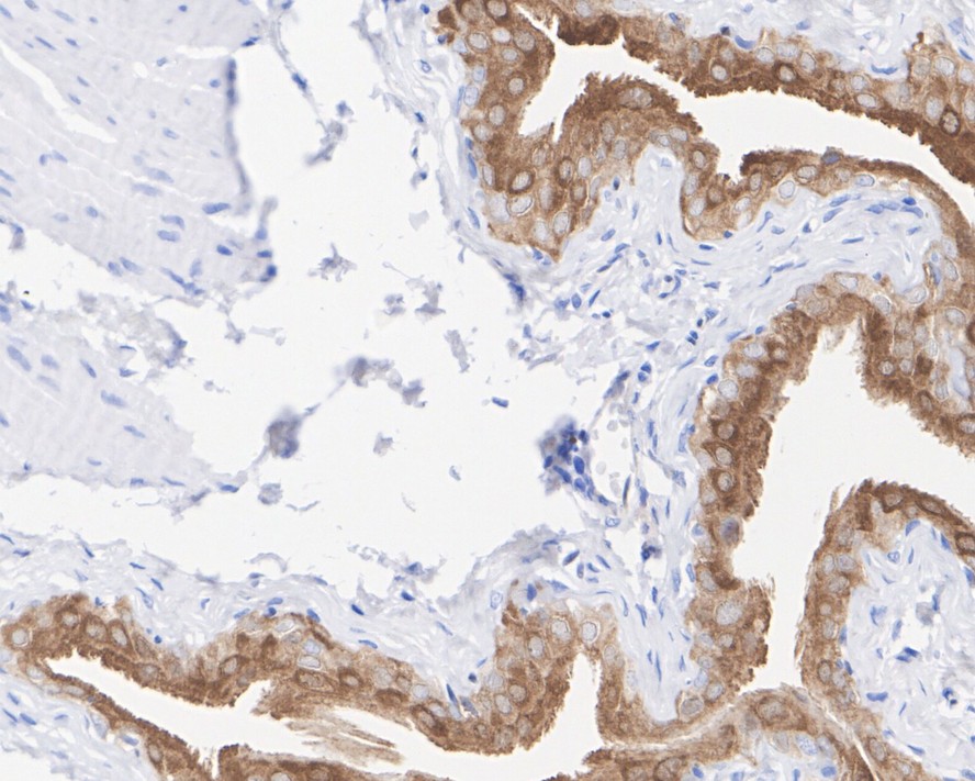
HA722469_4.jpg Fig4: Immunohistochemical analysis of paraffin-embedded rat bladder tissue with Rabbit anti-USF1 antibody (HA722469) at 1/1,000 dilution.

The section was pre-treated using heat mediated antigen retrieval with sodium citrate buffer (pH 6.0) for 2 minutes. The tissues were blocked in 1% BSA for 20 minutes at room temperature, washed with ddH2O and PBS, and then probed with the primary antibody (HA722469) at 1/1,000 dilution for 1 hour at room temperature. The detection was performed using an HRP conjugated compact polymer system. DAB was used as the chromogen. Tissues were counterstained with hematoxylin and mounted with DPX.
HA722469_5.jpg Fig5: Flow cytometric analysis of HeLa cells labeling USF1.

Cells were fixed and permeabilized. Then stained with the primary antibody (HA722469, 1μg/mL) (red) compared with Rabbit IgG Isotype Control (green). After incubation of the primary antibody at +4℃ for an hour, the cells were stained with a iFluor™ 488 conjugate-Goat anti-Rabbit IgG Secondary antibody (HA1121) at 1/1,000 dilution for 30 minutes at +4℃. Unlabelled sample was used as a control (cells without incubation with primary antibody; black).
Note: All products are “FOR RESEARCH USE ONLY AND ARE NOT INTENDED FOR DIAGNOSTIC OR THERAPEUTIC USE”.