Phospho-UBF1 (S484) Recombinant Rabbit Monoclonal Antibody [JE77-43]
cat.: HA722477
Product Type: Recombinant Rabbit monoclonal IgG, primary antibodies
Species reactivity: Human, Mouse, Rat
Applications: WB, IHC-P
Clonality: Monoclonal
Clone number: JE77-43
Form: Liquid
Storage condition: Shipped at 4℃. Store at +4℃ short term (1-2 weeks). It is recommended to aliquot into single-use upon delivery. Store at -20℃ long term.
Storage buffer: 1*TBS (pH7.4), 0.05% BSA, 40% Glycerol. Preservative: 0.05% Sodium Azide.
Concentration: 1ug/ul
Purification: Protein A affinity purified.
Molecular weight: Predicted band size: 89 kDa
Isotype: IgG
Immunogen: Synthetic phosphopeptide corresponding to residues surrounding Ser484 of human UBF1.
Positive control: HeLa cell lysate, HeLa treated with 100ng/mL Nocodazole for 18 hours cell lysate, human testis tissue, human breast cancer tissue, mouse testis tissue, rat testis tissue.
Subcellular location: Nucleus, nucleolus.
Recommended Dilutions:
  WB
  IHC-P

1:1,000
1:1,000
Uniprot #: SwissProt: P17480 Human | P25976 Mouse | P25977 Rat
Alternative names: 90 kDa nucleolus organizer region autoantigen Autoantigen NOR-90 NOR 90 Nucleolar transcription factor 1 UBF 1 UBF UBF-1 UBF1_HUMAN Ubtf Upstream binding factor 1 upstream binding transcription factor, RNA polymerase I Upstream-binding factor 1
Images
HA722477_1.jpg Fig1: Western blot analysis of Phospho-UBF1 (S484) on different lysates with Rabbit anti-Phospho-UBF1 (S484) antibody (HA722477) at 1/1,000 dilution.

Lane 1: HeLa cell lysate
Lane 2: HeLa treated with 100ng/mL Nocodazole for 18 hours cell lysate
Lane 3: HeLa treated with 100ng/mL Nocodazole for 18 hours cell lysate, then the membrane treated with λpp for 1 hour

Lysates/proteins at 10 µg/Lane.

Predicted band size: 89 kDa
Observed band size: 89 kDa

Exposure time: 17 seconds; ECL: K1801;

4-20% SDS-PAGE gel.

Proteins were transferred to a PVDF membrane and blocked with 5% NFDM/TBST for 1 hour at room temperature. The primary antibody (HA722477) at 1/1,000 dilution was used in 5% NFDM/TBST at 4℃ overnight. Goat Anti-Rabbit IgG - HRP Secondary Antibody (HA1001) at 1/50,000 dilution was used for 1 hour at room temperature.
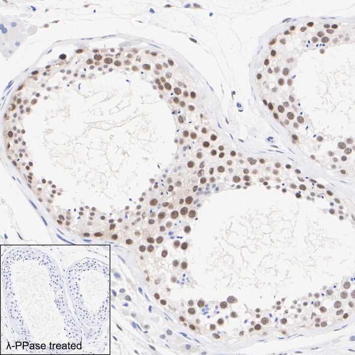
HA722477_2.jpg Fig2: Immunohistochemical analysis of paraffin-embedded human testis tissue untreated / treated with λpp with Rabbit anti-Phospho-UBF1 (S484) antibody (HA722477) at 1/1,000 dilution.

The section was pre-treated using heat mediated antigen retrieval with sodium citrate buffer (pH 6.0) for 2 minutes. The tissues were blocked in 1% BSA for 20 minutes at room temperature, washed with ddH2O and PBS, and then probed with the primary antibody (HA722477) at 1/1,000 dilution for 1 hour at room temperature. The detection was performed using an HRP conjugated compact polymer system. DAB was used as the chromogen. Tissues were counterstained with hematoxylin and mounted with DPX.
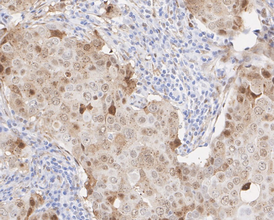
HA722477_3.jpg Fig3: Immunohistochemical analysis of paraffin-embedded human breast cancer tissue with Rabbit anti-Phospho-UBF1 (S484) antibody (HA722477) at 1/1,000 dilution.

The section was pre-treated using heat mediated antigen retrieval with sodium citrate buffer (pH 6.0) for 2 minutes. The tissues were blocked in 1% BSA for 20 minutes at room temperature, washed with ddH2O and PBS, and then probed with the primary antibody (HA722477) at 1/1,000 dilution for 1 hour at room temperature. The detection was performed using an HRP conjugated compact polymer system. DAB was used as the chromogen. Tissues were counterstained with hematoxylin and mounted with DPX.
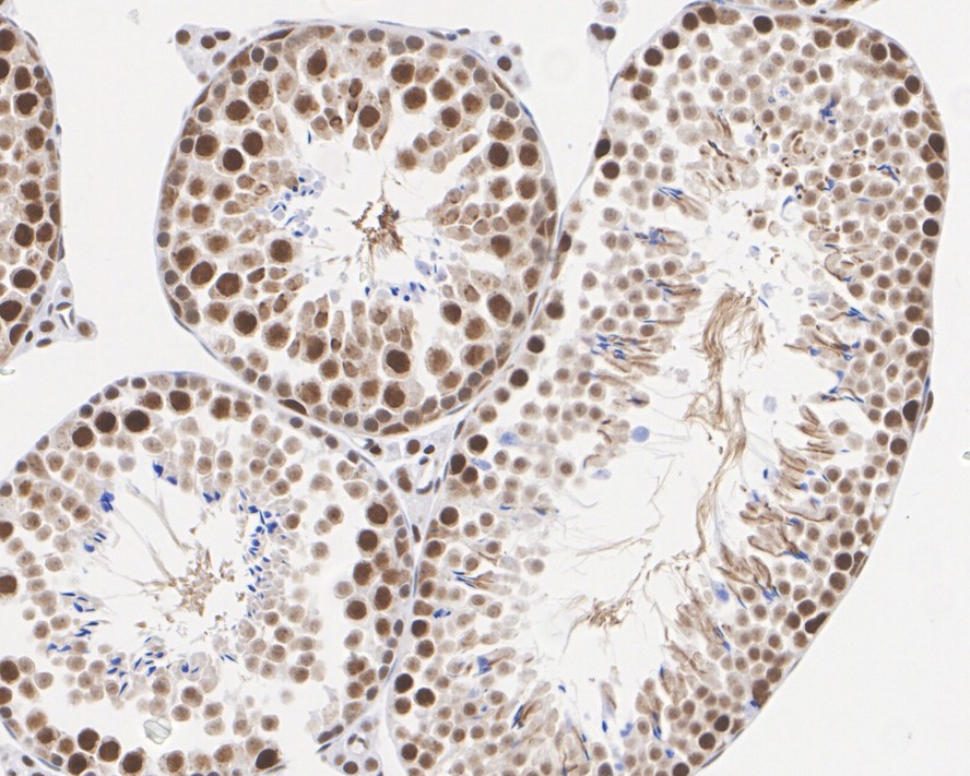
HA722477_4.jpg Fig4: Immunohistochemical analysis of paraffin-embedded mouse testis tissue with Rabbit anti-Phospho-UBF1 (S484) antibody (HA722477) at 1/1,000 dilution.

The section was pre-treated using heat mediated antigen retrieval with sodium citrate buffer (pH 6.0) for 2 minutes. The tissues were blocked in 1% BSA for 20 minutes at room temperature, washed with ddH2O and PBS, and then probed with the primary antibody (HA722477) at 1/1,000 dilution for 1 hour at room temperature. The detection was performed using an HRP conjugated compact polymer system. DAB was used as the chromogen. Tissues were counterstained with hematoxylin and mounted with DPX.
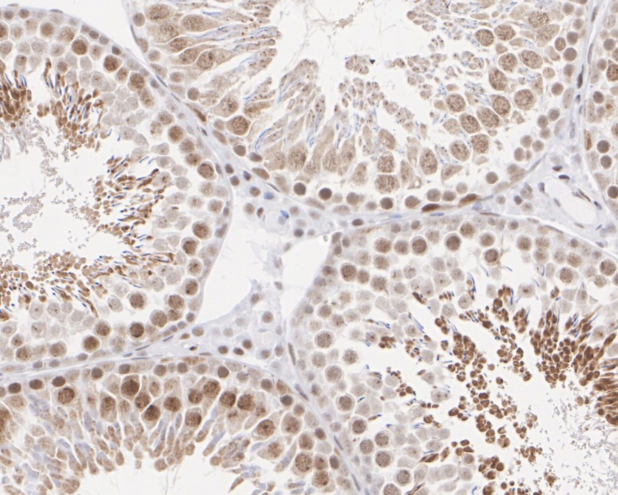
HA722477_5.jpg Fig5: Immunohistochemical analysis of paraffin-embedded rat testis tissue with Rabbit anti-Phospho-UBF1 (S484) antibody (HA722477) at 1/1,000 dilution.

The section was pre-treated using heat mediated antigen retrieval with sodium citrate buffer (pH 6.0) for 2 minutes. The tissues were blocked in 1% BSA for 20 minutes at room temperature, washed with ddH2O and PBS, and then probed with the primary antibody (HA722477) at 1/1,000 dilution for 1 hour at room temperature. The detection was performed using an HRP conjugated compact polymer system. DAB was used as the chromogen. Tissues were counterstained with hematoxylin and mounted with DPX.
Note: All products are “FOR RESEARCH USE ONLY AND ARE NOT INTENDED FOR DIAGNOSTIC OR THERAPEUTIC USE”.