GIRK2 Recombinant Rabbit Monoclonal Antibody [PSH05-91]
cat.: HA722478
Product Type: Recombinant Rabbit monoclonal IgG, primary antibodies
Species reactivity: Human, Mouse, Rat, Cynomolgus monkey, Pig
Applications: WB, IHC-P, IP, IHC-Fr
Clonality: Monoclonal
Clone number: PSH05-91
Form: Liquid
Storage condition: Shipped at 4℃. Store at +4℃ short term (1-2 weeks). It is recommended to aliquot into single-use upon delivery. Store at -20℃ long term.
Storage buffer: PBS (pH7.4), 0.1% BSA, 40% Glycerol. Preservative: 0.05% Sodium Azide.
Concentration: 1ug/ul
Purification: Protein A affinity purified.
Molecular weight: Predicted band size: 48 kDa
Isotype: IgG
Immunogen: Recombinant protein.
Positive control: Mouse brain tissue lysate, mouse hippocampus tissue lysate, rat brain tissue lysate, rat hippocampus tissue lysate, human cerebellum tissue, mouse cerebellum tissue, rat cerebellum tissue, mouse brain tissue.
Subcellular location: Membrane.
Recommended Dilutions:
  WB
  IHC-P
  IP
  IHC-Fr

1:1,000
1:1,000
1-2μg/sample
1:500
Uniprot #: SwissProt: P48051 Human | P48542 Mouse | P48550 Rat
Alternative names: inwardly rectifying subfamily J member 6 BIR1 G protein activated inward rectifier potassium channel 2 G protein-activated inward rectifier potassium channel 2 GIRK-2 GIRK2 hiGIRK2 Inward rectifier K(+) channel Kir3.2 Inward rectifier potassium channel KIR3.2 KATP-2 KATP2 KCNJ6 KCNJ6_HUMAN Kcnj7 KIR3.2 KPLBS Potassium channel Potassium channel inwardly rectifying subfamily J member 6 Potassium inwardly rectifying channel subfamily J member 6 Potassium voltage gated channel subfamily J member 6
Images
HA722478_1.jpg Fig1: Application: IHC-Fr

Species: Mouse

Site: Cerebellum

Sample: Frozen section

Antibody concentration: 1/500

Antigen retrieval: The section was pre-treated using heat mediated antigen retrieval with sodium citrate buffer (pH 6.0) for about 2 minutes in microwave oven.
HA722478_2.jpg Fig2: Western blot analysis of GIRK2 on different lysates with Rabbit anti-GIRK2 antibody (HA722478) at 1/1,000 dilution.

Lane 1: Mouse brain tissue lysate (no heat)
Lane 2: Mouse hippocampus tissue lysate
Lane 3: Rat brain tissue lysate (no heat)
Lane 4: Rat hippocampus tissue lysate

Notice: no heat means the lysate is not boiled.

Lysates/proteins at 30 µg/Lane.

Predicted band size: 48 kDa
Observed band size: 35/48 kDa

Exposure time: 15 seconds; ECL: K1801;

4-20% SDS-PAGE gel.

Proteins were transferred to a PVDF membrane and blocked with 5% NFDM/TBST for 1 hour at room temperature. The primary antibody (HA722478) at 1/1,000 dilution was used in 5% NFDM/TBST at 4℃ overnight. Goat Anti-Rabbit IgG - HRP Secondary Antibody (HA1001) at 1/50,000 dilution was used for 1 hour at room temperature.
HA722478_3.jpg Fig3: GIRK2 was immunoprecipitated from 0.2 mg mouse brain tissue lysate with HA722478 at 2 µg/25 µl agarose. Western blot was performed from the immunoprecipitate using HA722478 at 1/5,000 dilution. Anti-Rabbit IgG for IP Nano-secondary antibody (NBI01H) at 1/5,000 dilution was used for 1 hour at room temperature.

Lane 1: Mouse brain tissue lysate (input)
Lane 2: HA722478 IP in mouse brain tissue lysate
Lane 3: Rabbit IgG instead of HA722478 in mouse brain tissue lysate

Blocking/Dilution buffer: 5% NFDM/TBST
Exposure time: 26 seconds; ECL: K1801
HA722478_4.jpg Fig4: Immunohistochemical analysis of paraffin-embedded human cerebellum tissue with Rabbit anti-GIRK2 antibody (HA722478) at 1/1,000 dilution.

The section was pre-treated using heat mediated antigen retrieval with Tris-EDTA buffer (pH 9.0) for 20 minutes. The tissues were blocked in 1% BSA for 20 minutes at room temperature, washed with ddH2O and PBS, and then probed with the primary antibody (HA722478) at 1/1,000 dilution for 1 hour at room temperature. The detection was performed using an HRP conjugated compact polymer system. DAB was used as the chromogen. Tissues were counterstained with hematoxylin and mounted with DPX.
HA722478_5.jpg Fig5: Immunohistochemical analysis of paraffin-embedded mouse cerebellum tissue with Rabbit anti-GIRK2 antibody (HA722478) at 1/1,000 dilution.

The section was pre-treated using heat mediated antigen retrieval with Tris-EDTA buffer (pH 9.0) for 20 minutes. The tissues were blocked in 1% BSA for 20 minutes at room temperature, washed with ddH2O and PBS, and then probed with the primary antibody (HA722478) at 1/1,000 dilution for 1 hour at room temperature. The detection was performed using an HRP conjugated compact polymer system. DAB was used as the chromogen. Tissues were counterstained with hematoxylin and mounted with DPX.
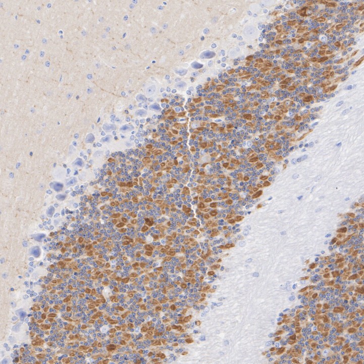
HA722478_6.jpg Fig6: Immunohistochemical analysis of paraffin-embedded rat cerebellum tissue with Rabbit anti-GIRK2 antibody (HA722478) at 1/1,000 dilution.

The section was pre-treated using heat mediated antigen retrieval with Tris-EDTA buffer (pH 9.0) for 20 minutes. The tissues were blocked in 1% BSA for 20 minutes at room temperature, washed with ddH2O and PBS, and then probed with the primary antibody (HA722478) at 1/1,000 dilution for 1 hour at room temperature. The detection was performed using an HRP conjugated compact polymer system. DAB was used as the chromogen. Tissues were counterstained with hematoxylin and mounted with DPX.
HA722478_7.jpg Fig7: Immunohistochemical analysis of paraffin-embedded mouse brain tissue with Rabbit anti-GIRK2 antibody (HA722478) at 1/1,000 dilution.

The section was pre-treated using heat mediated antigen retrieval with Tris-EDTA buffer (pH 9.0) for 20 minutes. The tissues were blocked in 1% BSA for 20 minutes at room temperature, washed with ddH2O and PBS, and then probed with the primary antibody (HA722478) at 1/1,000 dilution for 1 hour at room temperature. The detection was performed using an HRP conjugated compact polymer system. DAB was used as the chromogen. Tissues were counterstained with hematoxylin and mounted with DPX.
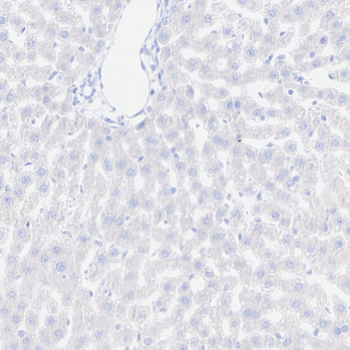
HA722478_8.jpg Fig8: Immunohistochemical analysis of paraffin-embedded rat liver tissue (negative) with Rabbit anti-GIRK2 antibody (HA722478) at 1/1,000 dilution.

The section was pre-treated using heat mediated antigen retrieval with Tris-EDTA buffer (pH 9.0) for 20 minutes. The tissues were blocked in 1% BSA for 20 minutes at room temperature, washed with ddH2O and PBS, and then probed with the primary antibody (HA722478) at 1/1,000 dilution for 1 hour at room temperature. The detection was performed using an HRP conjugated compact polymer system. DAB was used as the chromogen. Tissues were counterstained with hematoxylin and mounted with DPX.
Note: All products are “FOR RESEARCH USE ONLY AND ARE NOT INTENDED FOR DIAGNOSTIC OR THERAPEUTIC USE”.