ANXA6 Recombinant Rabbit Monoclonal Antibody [PSH05-82]
cat.: HA722481
Product Type: Recombinant Rabbit monoclonal IgG, primary antibodies
Species reactivity: Human, Mouse, Rat
Applications: WB, IHC-P, IF-Tissue, IP
Clonality: Monoclonal
Clone number: PSH05-82
Form: Liquid
Storage condition: Shipped at 4℃. Store at +4℃ short term (1-2 weeks). It is recommended to aliquot into single-use upon delivery. Store at -20℃ long term.
Storage buffer: PBS (pH7.4), 0.1% BSA, 40% Glycerol. Preservative: 0.05% Sodium Azide.
Concentration: 1ug/ul
Purification: Protein A affinity purified.
Molecular weight: Predicted band size: 76 kDa
Isotype: IgG
Immunogen: Recombinant protein within Human ANXA6 aa 1-673.
Positive control: Jurkat cell lysate, Raji cell lysate, THP-1 cell lysate, PC-3M cell lysate, MCF7 cell lysate, HEK-293 cell lysate, HeLa cell lysate, NIH/3T3 cell lysate, L6 cell lysate, mouse pancreas tissue lysate, mouse liver tissue lysate, rat heart tissue lysate, rat liver tissue lysate, human liver tissue, human lung cancer tissue, human stomach tissue, mouse stomach tissue, rat stomach tissue.
Subcellular location: Cytoplasm.
Recommended Dilutions:
  WB
  IHC-P
  IF-Tissue
  IP

1:2,000
1:2,000-1:10,000
1:500-1:2,000
1-2μg/sample
Uniprot #: SwissProt: P08133 Human | P14824 Mouse | P48037 Rat
Alternative names: 67 kDa calelectrin Annexin A6 Annexin VI Annexin VI p68 Annexin-6 AnnexinA6 AnnexinVI ANX 6 ANX A6 ANX6 ANXA 6 ANXA6 ANXA6_HUMAN Calcium binding protein p68 Calelectrin Calphobindin II Calphobindin-II CalphobindinII CBP 68 CBP68 Chromobindin 20 Chromobindin-20 Chromobindin20 CPB II CPB-II CPBII Lipocortin VI LipocortinVI p68 p70 Protein III ProteinIII
Images
HA722481_1.jpg Fig1: Western blot analysis of ANXA6 on different lysates with Rabbit anti-ANXA6 antibody (HA722481) at 1/2,000 dilution and competitor's antibody at 1/2,000 dilution.

Lane 1: Jurkat cell lysate (20 µg/Lane)
Lane 2: Raji cell lysate (20 µg/Lane)
Lane 3: THP-1 cell lysate (20 µg/Lane)
Lane 4: PC-3M cell lysate (20 µg/Lane)
Lane 5: MCF7 cell lysate (20 µg/Lane)
Lane 6: HEK-293 cell lysate (20 µg/Lane)
Lane 7: HeLa cell lysate (20 µg/Lane)
Lane 8: NIH/3T3 cell lysate (20 µg/Lane)
Lane 9: L6 cell lysate (20 µg/Lane)
Lane 10: Mouse pancreas tissue lysate (40 µg/Lane)
Lane 11: Mouse liver tissue lysate (40 µg/Lane)
Lane 12: Rat heart tissue lysate (40 µg/Lane)
Lane 13: Rat liver tissue lysate (40 µg/Lane)

Predicted band size: 76 kDa
Observed band size: 70 kDa

Exposure time: Lane 1-13 (left): 10 seconds; Lane 1-13 (right): 25 seconds; ECL: K1801;

4-20% SDS-PAGE gel.

Proteins were transferred to a PVDF membrane and blocked with 5% NFDM/TBST for 1 hour at room temperature. The primary antibody (HA722481) at 1/2,000 dilution and competitor's antibody at 1/2,000 dilution were used in 5% NFDM/TBST at 4℃ overnight. Goat Anti-Rabbit IgG - HRP Secondary Antibody (HA1001) at 1/50,000 dilution was used for 1 hour at room temperature.
HA722481_2.jpg Fig2: ANXA6 was immunoprecipitated from 0.2 mg Jurkat cell lysate with HA722481 at 2 µg/25 µl agarose. Western blot was performed from the immunoprecipitate using HA722481 at 1/5,000 dilution. Anti-Rabbit IgG for IP Nano-secondary antibody (NBI01H) at 1/5,000 dilution was used for 1 hour at room temperature.

Lane 1: Jurkat cell lysate (input)
Lane 2: HA722481 IP in Jurkat cell lysate
Lane 3: Rabbit IgG instead of HA722481 in Jurkat cell lysate

Blocking/Dilution buffer: 5% NFDM/TBST
Exposure time: 14 seconds; ECL: K1801
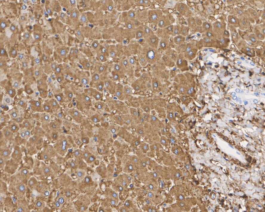
HA722481_3.jpg Fig3: Immunohistochemical analysis of paraffin-embedded human liver tissue with Rabbit anti-ANXA6 antibody (HA722481) at 1/2,000 dilution.

The section was pre-treated using heat mediated antigen retrieval with Tris-EDTA buffer (pH 9.0) for 20 minutes. The tissues were blocked in 1% BSA for 20 minutes at room temperature, washed with ddH2O and PBS, and then probed with the primary antibody (HA722481) at 1/2,000 dilution for 1 hour at room temperature. The detection was performed using an HRP conjugated compact polymer system. DAB was used as the chromogen. Tissues were counterstained with hematoxylin and mounted with DPX.
HA722481_4.jpg Fig4: Immunohistochemical analysis of paraffin-embedded human lung cancer tissue with Rabbit anti-ANXA6 antibody (HA722481) at 1/10,000 dilution.

The section was pre-treated using heat mediated antigen retrieval with Tris-EDTA buffer (pH 9.0) for 20 minutes. The tissues were blocked in 1% BSA for 20 minutes at room temperature, washed with ddH2O and PBS, and then probed with the primary antibody (HA722481) at 1/10,000 dilution for 1 hour at room temperature. The detection was performed using an HRP conjugated compact polymer system. DAB was used as the chromogen. Tissues were counterstained with hematoxylin and mounted with DPX.
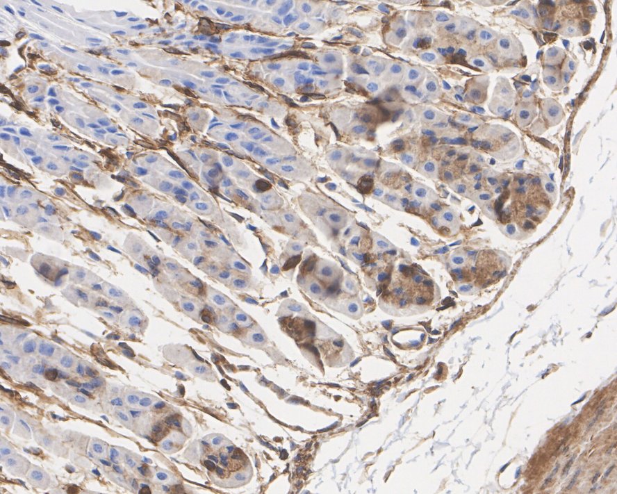
HA722481_5.jpg Fig5: Immunohistochemical analysis of paraffin-embedded human stomach tissue with Rabbit anti-ANXA6 antibody (HA722481) at 1/2,000 dilution.

The section was pre-treated using heat mediated antigen retrieval with Tris-EDTA buffer (pH 9.0) for 20 minutes. The tissues were blocked in 1% BSA for 20 minutes at room temperature, washed with ddH2O and PBS, and then probed with the primary antibody (HA722481) at 1/2,000 dilution for 1 hour at room temperature. The detection was performed using an HRP conjugated compact polymer system. DAB was used as the chromogen. Tissues were counterstained with hematoxylin and mounted with DPX.
HA722481_6.jpg Fig6: Immunohistochemical analysis of paraffin-embedded mouse stomach tissue with Rabbit anti-ANXA6 antibody (HA722481) at 1/10,000 dilution.

The section was pre-treated using heat mediated antigen retrieval with Tris-EDTA buffer (pH 9.0) for 20 minutes. The tissues were blocked in 1% BSA for 20 minutes at room temperature, washed with ddH2O and PBS, and then probed with the primary antibody (HA722481) at 1/10,000 dilution for 1 hour at room temperature. The detection was performed using an HRP conjugated compact polymer system. DAB was used as the chromogen. Tissues were counterstained with hematoxylin and mounted with DPX.
HA722481_7.jpg Fig7: Immunohistochemical analysis of paraffin-embedded rat stomach tissue with Rabbit anti-ANXA6 antibody (HA722481) at 1/10,000 dilution.

The section was pre-treated using heat mediated antigen retrieval with Tris-EDTA buffer (pH 9.0) for 20 minutes. The tissues were blocked in 1% BSA for 20 minutes at room temperature, washed with ddH2O and PBS, and then probed with the primary antibody (HA722481) at 1/10,000 dilution for 1 hour at room temperature. The detection was performed using an HRP conjugated compact polymer system. DAB was used as the chromogen. Tissues were counterstained with hematoxylin and mounted with DPX.
Note: All products are “FOR RESEARCH USE ONLY AND ARE NOT INTENDED FOR DIAGNOSTIC OR THERAPEUTIC USE”.