KAT1 / HAT1 Recombinant Rabbit Monoclonal Antibody [PSH06-13]
cat.: HA722510
Product Type: Recombinant Rabbit monoclonal IgG, primary antibodies
Species reactivity: Human, Mouse, Rat
Applications: WB, IHC-P, IF-Cell, FC, IF-Tissue
Clonality: Monoclonal
Clone number: PSH06-13
Form: Liquid
Storage condition: Shipped at 4℃. Store at +4℃ short term (1-2 weeks). It is recommended to aliquot into single-use upon delivery. Store at -20℃ long term.
Storage buffer: PBS (pH7.4), 0.1% BSA, 40% Glycerol. Preservative: 0.05% Sodium Azide.
Concentration: 1ug/ul
Purification: Protein A affinity purified.
Molecular weight: Predicted band size: 50 kDa
Isotype: IgG
Immunogen: Recombinant protein within human KAT1 / HAT1 aa 1-300.
Positive control: HeLa cell lysate, Jurkat cell lysate, MCF7 cell lysate, HepG2 cell lysate, LNCaP cell lysate, HCT 116 cell lysate, U-2 OS cell lysate, NIH/3T3 cell lysate, PC-12 cell lysate, Mouse spleen tissue lysate, Rat spleen tissue lysate, Rat colon tissue lysate, human colon tissue, human tonsil tissue, mouse colon tissue, mouse spleen tissue, rat colon tissue, HeLa, NIH/3T3, PC-12.
Subcellular location: Nucleus matrix, Mitochondrion; Cytoplasm, Nucleus, Nucleus matrix, nucleoplasm.
Recommended Dilutions:
  WB
  IHC-P
  IF-Cell
  FC
  IF-Tissue

1:2,000
1:500-1:2,000
1:100
1:1,000
1:100-1:500
Uniprot #: SwissProt: O14929 Human | Q8BY71 Mouse | Q5M939 Rat
Alternative names: HAT 1 hat1 HAT1_HUMAN Histidine aminotransferase 1 Histone acetyltransferase 1 Histone acetyltransferase 1 Histone acetyltransferase type B catalytic subunit KAT1
Images
HA722510_1.jpg Fig1: Western blot analysis of KAT1 / HAT1 on different lysates with Rabbit anti-KAT1 / HAT1 antibody (HA722510) at 1/2,000 dilution and competitor's antibody at 1/2,000 dilution.

Lane 1: HeLa cell lysate (20 µg/Lane)
Lane 2: Jurkat cell lysate (20 µg/Lane)
Lane 3: MCF7 cell lysate (20 µg/Lane)
Lane 4: HepG2 cell lysate (20 µg/Lane)
Lane 5: LNCaP cell lysate (20 µg/Lane)
Lane 6: HCT 116 cell lysate (20 µg/Lane)
Lane 7: U-2 OS cell lysate (20 µg/Lane)
Lane 8: NIH/3T3 cell lysate (20 µg/Lane)
Lane 9: PC-12 cell lysate (20 µg/Lane)
Lane 10: Mouse spleen tissue lysate (40 µg/Lane)
Lane 11: Rat spleen tissue lysate (40 µg/Lane)
Lane 12: Rat colon tissue lysate (40 µg/Lane)

Predicted band size: 50 kDa
Observed band size: 45 kDa

Exposure time: 10 seconds; ECL: K1801;

4-20% SDS-PAGE gel.

Proteins were transferred to a PVDF membrane and blocked with 5% NFDM/TBST for 1 hour at room temperature. The primary antibody (HA722510) at 1/2,000 dilution and competitor's antibody at 1/2,000 dilution were used in 5% NFDM/TBST at 4℃ overnight. Goat Anti-Rabbit IgG - HRP Secondary Antibody (HA1001) at 1/50,000 dilution was used for 1 hour at room temperature.
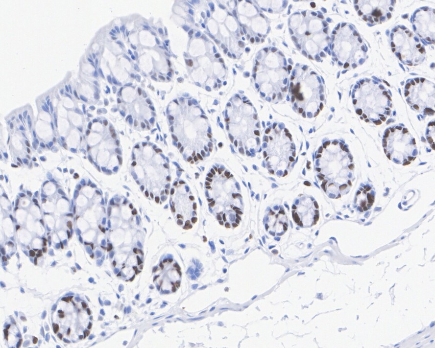
HA722510_2.jpg Fig2: Immunohistochemical analysis of paraffin-embedded human colon tissue with Rabbit anti-KAT1 / HAT1 antibody (HA722510) at 1/2,000 dilution.

The section was pre-treated using heat mediated antigen retrieval with sodium citrate buffer (pH 6.0) for 2 minutes. The tissues were blocked in 1% BSA for 20 minutes at room temperature, washed with ddH2O and PBS, and then probed with the primary antibody (HA722510) at 1/2,000 dilution for 1 hour at room temperature. The detection was performed using an HRP conjugated compact polymer system. DAB was used as the chromogen. Tissues were counterstained with hematoxylin and mounted with DPX.
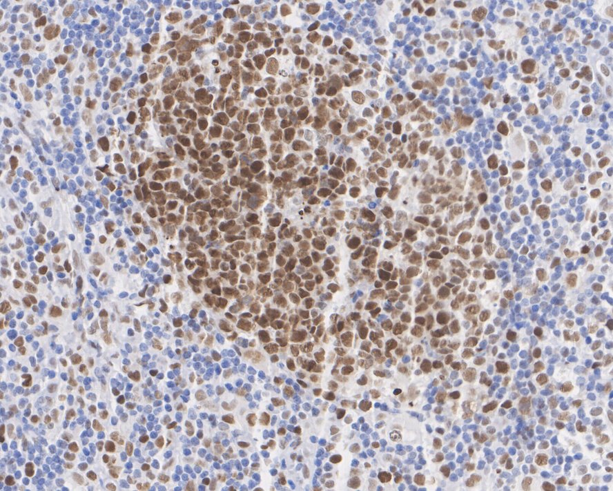
HA722510_3.jpg Fig3: Immunohistochemical analysis of paraffin-embedded human tonsil tissue with Rabbit anti-KAT1 / HAT1 antibody (HA722510) at 1/2,000 dilution.

The section was pre-treated using heat mediated antigen retrieval with sodium citrate buffer (pH 6.0) for 2 minutes. The tissues were blocked in 1% BSA for 20 minutes at room temperature, washed with ddH2O and PBS, and then probed with the primary antibody (HA722510) at 1/2,000 dilution for 1 hour at room temperature. The detection was performed using an HRP conjugated compact polymer system. DAB was used as the chromogen. Tissues were counterstained with hematoxylin and mounted with DPX.
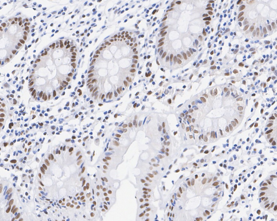
HA722510_4.jpg Fig4: Immunohistochemical analysis of paraffin-embedded mouse colon tissue with Rabbit anti-KAT1 / HAT1 antibody (HA722510) at 1/500 dilution.

The section was pre-treated using heat mediated antigen retrieval with sodium citrate buffer (pH 6.0) for 2 minutes. The tissues were blocked in 1% BSA for 20 minutes at room temperature, washed with ddH2O and PBS, and then probed with the primary antibody (HA722510) at 1/500 dilution for 1 hour at room temperature. The detection was performed using an HRP conjugated compact polymer system. DAB was used as the chromogen. Tissues were counterstained with hematoxylin and mounted with DPX.
HA722510_5.jpg Fig5: Immunohistochemical analysis of paraffin-embedded mouse spleen tissue with Rabbit anti-KAT1 / HAT1 antibody (HA722510) at 1/500 dilution.

The section was pre-treated using heat mediated antigen retrieval with sodium citrate buffer (pH 6.0) for 2 minutes. The tissues were blocked in 1% BSA for 20 minutes at room temperature, washed with ddH2O and PBS, and then probed with the primary antibody (HA722510) at 1/500 dilution for 1 hour at room temperature. The detection was performed using an HRP conjugated compact polymer system. DAB was used as the chromogen. Tissues were counterstained with hematoxylin and mounted with DPX.
HA722510_6.jpg Fig6: Immunohistochemical analysis of paraffin-embedded rat colon tissue with Rabbit anti-KAT1 / HAT1 antibody (HA722510) at 1/500 dilution.

The section was pre-treated using heat mediated antigen retrieval with sodium citrate buffer (pH 6.0) for 2 minutes. The tissues were blocked in 1% BSA for 20 minutes at room temperature, washed with ddH2O and PBS, and then probed with the primary antibody (HA722510) at 1/500 dilution for 1 hour at room temperature. The detection was performed using an HRP conjugated compact polymer system. DAB was used as the chromogen. Tissues were counterstained with hematoxylin and mounted with DPX.
HA722510_7.jpg Fig7: Immunocytochemistry analysis of HeLa cells labeling KAT1 / HAT1 with Rabbit anti-KAT1 / HAT1 antibody (HA722510) at 1/100 dilution.

Cells were fixed in 4% paraformaldehyde for 20 minutes at room temperature, permeabilized with 0.1% Triton X-100 in PBS for 5 minutes at room temperature, then blocked with 1% BSA in 10% negative goat serum for 1 hour at room temperature. Cells were then incubated with Rabbit anti-KAT1 / HAT1 antibody (HA722510) at 1/100 dilution in 1% BSA in PBST overnight at 4 ℃. Goat Anti-Rabbit IgG H&L (iFluor™ 488, HA1121) was used as the secondary antibody at 1/1,000 dilution. PBS instead of the primary antibody was used as the secondary antibody only control. Nuclear DNA was labelled in blue with DAPI. Beta tubulin (M1305-2, red) was stained at 1/100 dilution overnight at +4℃. Goat Anti-Mouse IgG H&L (iFluor™ 594, HA1126) was used as the secondary antibody at 1/1,000 dilution.
HA722510_8.jpg Fig8: Immunocytochemistry analysis of NIH/3T3 cells labeling KAT1 / HAT1 with Rabbit anti-KAT1 / HAT1 antibody (HA722510) at 1/100 dilution.

Cells were fixed in 4% paraformaldehyde for 20 minutes at room temperature, permeabilized with 0.1% Triton X-100 in PBS for 5 minutes at room temperature, then blocked with 1% BSA in 10% negative goat serum for 1 hour at room temperature. Cells were then incubated with Rabbit anti-KAT1 / HAT1 antibody (HA722510) at 1/100 dilution in 1% BSA in PBST overnight at 4 ℃. Goat Anti-Rabbit IgG H&L (iFluor™ 488, HA1121) was used as the secondary antibody at 1/1,000 dilution. PBS instead of the primary antibody was used as the secondary antibody only control. Nuclear DNA was labelled in blue with DAPI. Beta tubulin (M1305-2, red) was stained at 1/100 dilution overnight at +4℃. Goat Anti-Mouse IgG H&L (iFluor™ 594, HA1126) was used as the secondary antibody at 1/1,000 dilution.
HA722510_9.jpg Fig9: Immunocytochemistry analysis of PC-12 cells labeling KAT1 / HAT1 with Rabbit anti-KAT1 / HAT1 antibody (HA722510) at 1/100 dilution.

Cells were fixed in 4% paraformaldehyde for 20 minutes at room temperature, permeabilized with 0.1% Triton X-100 in PBS for 5 minutes at room temperature, then blocked with 1% BSA in 10% negative goat serum for 1 hour at room temperature. Cells were then incubated with Rabbit anti-KAT1 / HAT1 antibody (HA722510) at 1/100 dilution in 1% BSA in PBST overnight at 4 ℃. Goat Anti-Rabbit IgG H&L (iFluor™ 488, HA1121) was used as the secondary antibody at 1/1,000 dilution. PBS instead of the primary antibody was used as the secondary antibody only control. Nuclear DNA was labelled in blue with DAPI. Beta tubulin (M1305-2, red) was stained at 1/100 dilution overnight at +4℃. Goat Anti-Mouse IgG H&L (iFluor™ 594, HA1126) was used as the secondary antibody at 1/1,000 dilution.
HA722510_10.jpg Fig10: Flow cytometric analysis of NIH/3T3 cells labeling KAT1 / HAT1.

Cells were fixed and permeabilized. Then stained with the primary antibody (HA722510, 1μg/mL) (red) compared with Rabbit IgG Isotype Control (green). After incubation of the primary antibody at +4℃ for an hour, the cells were stained with a iFluor™ 488 conjugate-Goat anti-Rabbit IgG Secondary antibody (HA1121) at 1/1,000 dilution for 30 minutes at +4℃. Unlabelled sample was used as a control (cells without incubation with primary antibody; black).
Note: All products are “FOR RESEARCH USE ONLY AND ARE NOT INTENDED FOR DIAGNOSTIC OR THERAPEUTIC USE”.