SPR Recombinant Rabbit Monoclonal Antibody [PSH06-14]
cat.: HA722511
Product Type: Recombinant Rabbit monoclonal IgG, primary antibodies
Species reactivity: Human
Applications: WB, IHC-P, IF-Cell, FC
Clonality: Monoclonal
Clone number: PSH06-14
Form: Liquid
Storage condition: Shipped at 4℃. Store at +4℃ short term (1-2 weeks). It is recommended to aliquot into single-use upon delivery. Store at -20℃ long term.
Storage buffer: PBS (pH7.4), 0.1% BSA, 40% Glycerol. Preservative: 0.05% Sodium Azide.
Concentration: 1ug/ul
Purification: Protein A affinity purified.
Molecular weight: Predicted band size: 28 kDa
Isotype: IgG
Immunogen: Recombinant protein within Human SPR aa 1-261.
Positive control: A549 cell lysate, MCF7 cell lysate, HeLa cell lysate, HepG2 cell lysate, 293T cell lysate, SH-SY5Y cell lysate, HeLa, human thyroid gland cancer tissue.
Subcellular location: Cytoplasm.
Recommended Dilutions:
  WB
  IHC-P
  IF-Cell
  FC

1:1,000
1:2,000
1:50
1:1,000
Uniprot #: SwissProt: P35270 Human
Alternative names: OTTHUMP00000160199 SDR38C1 Sepiapterin reductase (7,8 dihydrobiopterin:NADP+ oxidoreductase) Sepiapterin reductase Short chain dehydrogenase/reductase family 38C, member 1 SPR SPRE_HUMAN
Images
HA722511_1.jpg Fig1: Western blot analysis of SPR on different lysates with Rabbit anti-SPR antibody (HA722511) at 1/1,000 dilution.

Lane 1: A549 cell lysate
Lane 2: MCF7 cell lysate
Lane 3: HeLa cell lysate
Lane 4: HepG2 cell lysate
Lane 5: 293T cell lysate
Lane 6: SH-SY5Y cell lysate

Lysates/proteins at 20 µg/Lane.

Predicted band size: 28 kDa
Observed band size: 28 kDa

Exposure time: 10 seconds; ECL: K1801;

4-20% SDS-PAGE gel.

Proteins were transferred to a PVDF membrane and blocked with 5% NFDM/TBST for 1 hour at room temperature. The primary antibody (HA722511) at 1/1,000 dilution was used in 5% NFDM/TBST at 4℃ overnight. Goat Anti-Rabbit IgG - HRP Secondary Antibody (HA1001) at 1/50,000 dilution was used for 1 hour at room temperature.
HA722511_2.jpg Fig2: Immunocytochemistry analysis of HeLa cells labeling SPR with Rabbit anti-SPR antibody (HA722511) at 1/50 dilution.

Cells were fixed in 4% paraformaldehyde for 20 minutes at room temperature, permeabilized with 0.1% Triton X-100 in PBS for 5 minutes at room temperature, then blocked with 1% BSA in 10% negative goat serum for 1 hour at room temperature. Cells were then incubated with Rabbit anti-SPR antibody (HA722511) at 1/50 dilution in 1% BSA in PBST overnight at 4 ℃. Goat Anti-Rabbit IgG H&L (iFluor™ 488, HA1121) was used as the secondary antibody at 1/1,000 dilution. PBS instead of the primary antibody was used as the secondary antibody only control. Nuclear DNA was labelled in blue with DAPI.

Beta tubulin (M1305-2, red) was stained at 1/100 dilution overnight at +4℃. Goat Anti-Mouse IgG H&L (iFluor™ 594, HA1126) was used as the secondary antibody at 1/1,000 dilution.
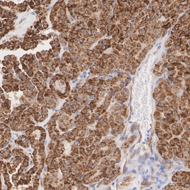
HA722511_3.jpg Fig3: Immunohistochemical analysis of paraffin-embedded human thyroid gland cancer tissue with Rabbit anti-SPR antibody (HA722511) at 1/2,000 dilution.

The section was pre-treated using heat mediated antigen retrieval with Tris-EDTA buffer (pH 9.0) for 20 minutes. The tissues were blocked in 1% BSA for 20 minutes at room temperature, washed with ddH2O and PBS, and then probed with the primary antibody (HA722511) at 1/2,000 dilution for 1 hour at room temperature. The detection was performed using an HRP conjugated compact polymer system. DAB was used as the chromogen. Tissues were counterstained with hematoxylin and mounted with DPX.
HA722511_4.jpg Fig4: Flow cytometric analysis of HeLa cells labeling SPR.

Cells were fixed and permeabilized. Then stained with the primary antibody (HA722511, 1/1,000) (red) compared with Rabbit IgG Isotype Control (green). After incubation of the primary antibody at +4℃ for an hour, the cells were stained with a iFluor™ 488 conjugate-Goat anti-Rabbit IgG Secondary antibody (HA1121) at 1/1,000 dilution for 30 minutes at +4℃. Unlabelled sample was used as a control (cells without incubation with primary antibody; black).
Note: All products are “FOR RESEARCH USE ONLY AND ARE NOT INTENDED FOR DIAGNOSTIC OR THERAPEUTIC USE”.