BRCC45/BRE Recombinant Rabbit Monoclonal Antibody [PSH06-15]
cat.: HA722512
Product Type: Recombinant Rabbit monoclonal IgG, primary antibodies
Species reactivity: Human, Mouse, Rat
Applications: WB, IF-Cell, FC
Clonality: Monoclonal
Clone number: PSH06-15
Form: Liquid
Storage condition: Shipped at 4℃. Store at +4℃ short term (1-2 weeks). It is recommended to aliquot into single-use upon delivery. Store at -20℃ long term.
Storage buffer: PBS (pH7.4), 0.1% BSA, 40% Glycerol. Preservative: 0.05% Sodium Azide.
Concentration: 1ug/ul
Purification: Protein A affinity purified.
Molecular weight: Predicted band size: 44 kDa
Isotype: IgG
Immunogen: Recombinant protein within Human BRCC45 aa 1-383.
Positive control: SH-SY5Y cell lysate, U-87 MG cell lysate, Raji cell lysate, 293T cell lysate, A431 cell lysate, HepG2 cell lysate, K-562 cell lysate, NIH/3T3 cell lysate, Neuro-2a cell lysate, C2C12 cell lysate, PC-12 cell lysate, C6 cell lysate, PC-12, HeLa.
Subcellular location: Cytoplasm. Nucleus.
Recommended Dilutions:
  WB
  IF-Cell
  FC

1:1,000
1:50
1:1,000
Uniprot #: SwissProt: Q9NXR7 Human | Q8K3W0 Mouse | Q6P7Q1 Rat
Alternative names: 6030405P19Rik AI429776 B830038C02Rik Brain and reproductive organ expressed (TNFRSF1A modulator) brain and reproductive organ expressed protein Brain and reproductive organ-expressed protein BRCA1 A complex subunit BRE BRCA1-A complex subunit BRE BRCA1/BRCA2 containing complex subunit 4 BRCA1/BRCA2 containing complex subunit 45 BRCA1/BRCA2-containing complex subunit 45 BRCC4 BRCC45 bre BRE_HUMAN
Images
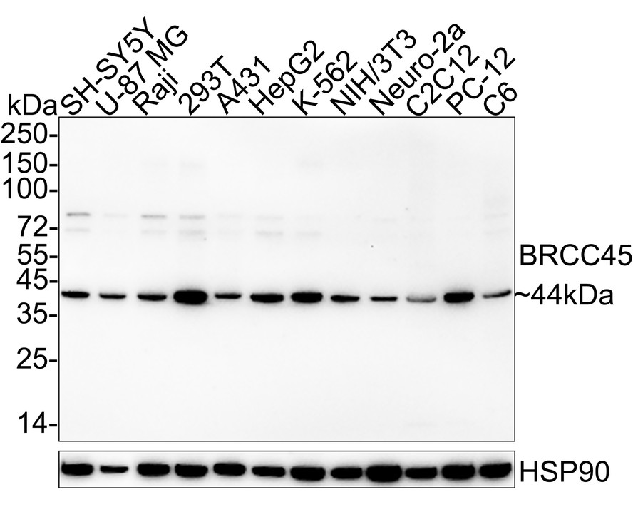
HA722512_1.jpg Fig1: Western blot analysis of BRCC45/BRE on different lysates with Rabbit anti-BRCC45/BRE antibody (HA722512) at 1/1,000 dilution.

Lane 1: SH-SY5Y cell lysate (20 µg/Lane)
Lane 2: U-87 MG cell lysate (20 µg/Lane)
Lane 3: Raji cell lysate (20 µg/Lane)
Lane 4: 293T cell lysate (20 µg/Lane)
Lane 5: A431 cell lysate (20 µg/Lane)
Lane 6: HepG2 cell lysate (20 µg/Lane)
Lane 7: K-562 cell lysate (20 µg/Lane)
Lane 8: NIH/3T3 cell lysate (20 µg/Lane)
Lane 9: Neuro-2a cell lysate (20 µg/Lane)
Lane 10: C2C12 cell lysate (20 µg/Lane)
Lane 11: PC-12 cell lysate (20 µg/Lane)
Lane 12: C6 cell lysate (20 µg/Lane)

Predicted band size: 44 kDa
Observed band size: 44 kDa

Exposure time: 1 minute 20 seconds; ECL: K1802;
4-20% SDS-PAGE gel.

Proteins were transferred to a PVDF membrane and blocked with 5% NFDM/TBST for 1 hour at room temperature. The primary antibody (HA722512) at 1/1,000 dilution was used in 5% NFDM/TBST at 4℃ overnight. Goat Anti-Rabbit IgG - HRP Secondary Antibody (HA1001) at 1/50,000 dilution was used for 1 hour at room temperature.
HA722512_2.jpg Fig2: Immunocytochemistry analysis of PC-12 cells labeling BRCC45/BRE with Rabbit anti-BRCC45/BRE antibody (HA722512) at 1/50 dilution.

Cells were fixed in 4% paraformaldehyde for 20 minutes at room temperature, permeabilized with 0.1% Triton X-100 in PBS for 5 minutes at room temperature, then blocked with 1% BSA in 10% negative goat serum for 1 hour at room temperature. Cells were then incubated with Rabbit anti-BRCC45/BRE antibody (HA722512) at 1/50 dilution in 1% BSA in PBST overnight at 4 ℃. Goat Anti-Rabbit IgG H&L (iFluor™ 488, HA1121) was used as the secondary antibody at 1/1,000 dilution. PBS instead of the primary antibody was used as the secondary antibody only control. Nuclear DNA was labelled in blue with DAPI.

Beta tubulin (M1305-2, red) was stained at 1/100 dilution overnight at +4℃. Goat Anti-Mouse IgG H&L (iFluor™ 594, HA1126) was used as the secondary antibody at 1/1,000 dilution.
HA722512_3.jpg Fig3: Flow cytometric analysis of HeLa cells labeling BRCC45/BRE.

Cells were fixed and permeabilized. Then stained with the primary antibody (HA722512, 1/1,000) (red) compared with Rabbit IgG Isotype Control (green). After incubation of the primary antibody at +4℃ for an hour, the cells were stained with a iFluor™ 488 conjugate-Goat anti-Rabbit IgG Secondary antibody (HA1121) at 1/1,000 dilution for 30 minutes at +4℃. Unlabelled sample was used as a control (cells without incubation with primary antibody; black).
Note: All products are “FOR RESEARCH USE ONLY AND ARE NOT INTENDED FOR DIAGNOSTIC OR THERAPEUTIC USE”.