Cingulin Recombinant Rabbit Monoclonal Antibody [PSH06-19]
cat.: HA722516
Product Type: Recombinant Rabbit monoclonal IgG, primary antibodies
Species reactivity: Human, Mouse, Rat
Applications: WB, IHC-P, IF-Cell, IP, FC
Clonality: Monoclonal
Clone number: PSH06-19
Form: Liquid
Storage condition: Shipped at 4℃. Store at +4℃ short term (1-2 weeks). It is recommended to aliquot into single-use upon delivery. Store at -20℃ long term.
Storage buffer: PBS (pH7.4), 0.1% BSA, 40% Glycerol. Preservative: 0.05% Sodium Azide.
Concentration: 1ug/ul
Purification: Protein A affinity purified.
Molecular weight: Predicted band size: 137 kDa
Isotype: IgG
Immunogen: Recombinant protein within Human Cingulin aa 750-1000.
Positive control: Jurkat cell lysate, 293T cell lysate, Caco-2 cell lysate, MCF7 cell lysate, HUVEC cell lysate, MCF7, A431, human small intestine tissue, mouse small intestine tissue, rat small intestine tissue, Jurkat.
Subcellular location: Cell junction. Tight junction.
Recommended Dilutions:
  WB
  IHC-P
  IF-Cell
  IP
  FC

1:1,000
1:200-1:1,000
1:100
1-2μg/sample
1:1,000
Uniprot #: SwissProt: Q9P2M7 Human | P59242 Mouse
Entrez Gene: 310655 Rat
Alternative names: 6330408J11Rik AI647528 AI987749 cgn CING_HUMAN Cingulin DKFZp779N1112 FLJ39281 KIAA1319 MGC118157
Images
HA722516_1.jpg Fig1: Western blot analysis of Cingulin on different lysates with Rabbit anti-Cingulin antibody (HA722516) at 1/1,000 dilution.

Lane 1: Jurkat cell lysate
Lane 2: 293T cell lysate
Lane 3: Caco-2 cell lysate
Lane 4: MCF7 cell lysate
Lane 5: HUVEC cell lysate
Lane 6: HeLa cell lysate (low expression)

Lysates/proteins at 20 µg/Lane.

Predicted band size: 137 kDa
Observed band size: 137 kDa

Exposure time: 30 seconds; ECL: K1801;

4-20% SDS-PAGE gel.

Proteins were transferred to a PVDF membrane and blocked with 5% NFDM/TBST for 1 hour at room temperature. The primary antibody (HA722516) at 1/1,000 dilution was used in 5% NFDM/TBST at 4℃ overnight. Goat Anti-Rabbit IgG - HRP Secondary Antibody (HA1001) at 1/50,000 dilution was used for 1 hour at room temperature.
HA722516_2.jpg Fig2: Immunocytochemistry analysis of MCF7 cells labeling Cingulin with Rabbit anti-Cingulin antibody (HA722516) at 1/100 dilution.

Cells were fixed in 4% paraformaldehyde for 20 minutes at room temperature, permeabilized with 0.1% Triton X-100 in PBS for 5 minutes at room temperature, then blocked with 1% BSA in 10% negative goat serum for 1 hour at room temperature. Cells were then incubated with Rabbit anti-Cingulin antibody (HA722516) at 1/100 dilution in 1% BSA in PBST overnight at 4 ℃. Goat Anti-Rabbit IgG H&L (iFluor™ 488, HA1121) was used as the secondary antibody at 1/1,000 dilution. PBS instead of the primary antibody was used as the secondary antibody only control. Nuclear DNA was labelled in blue with DAPI.

Beta tubulin (M1305-2, red) was stained at 1/100 dilution overnight at +4℃. Goat Anti-Mouse IgG H&L (iFluor™ 594, HA1126) was used as the secondary antibody at 1/1,000 dilution.
HA722516_3.jpg Fig3: Immunocytochemistry analysis of A431 cells labeling Cingulin with Rabbit anti-Cingulin antibody (HA722516) at 1/100 dilution.

Cells were fixed in 4% paraformaldehyde for 20 minutes at room temperature, permeabilized with 0.1% Triton X-100 in PBS for 5 minutes at room temperature, then blocked with 1% BSA in 10% negative goat serum for 1 hour at room temperature. Cells were then incubated with Rabbit anti-Cingulin antibody (HA722516) at 1/100 dilution in 1% BSA in PBST overnight at 4 ℃. Goat Anti-Rabbit IgG H&L (iFluor™ 488, HA1121) was used as the secondary antibody at 1/1,000 dilution. PBS instead of the primary antibody was used as the secondary antibody only control. Nuclear DNA was labelled in blue with DAPI.

Beta tubulin (M1305-2, red) was stained at 1/100 dilution overnight at +4℃. Goat Anti-Mouse IgG H&L (iFluor™ 594, HA1126) was used as the secondary antibody at 1/1,000 dilution.
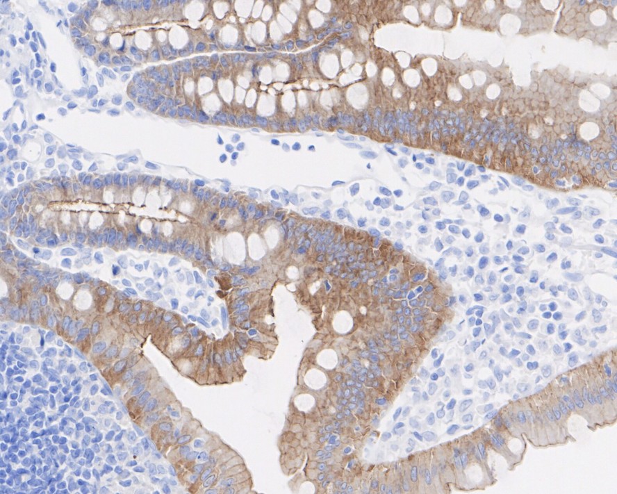
HA722516_4.jpg Fig4: Immunohistochemical analysis of paraffin-embedded human small intestine tissue with Rabbit anti-Cingulin antibody (HA722516) at 1/200 dilution.

The section was pre-treated using heat mediated antigen retrieval with Tris-EDTA buffer (pH 9.0) for 20 minutes. The tissues were blocked in 1% BSA for 20 minutes at room temperature, washed with ddH2O and PBS, and then probed with the primary antibody (HA722516) at 1/200 dilution for 1 hour at room temperature. The detection was performed using an HRP conjugated compact polymer system. DAB was used as the chromogen. Tissues were counterstained with hematoxylin and mounted with DPX.
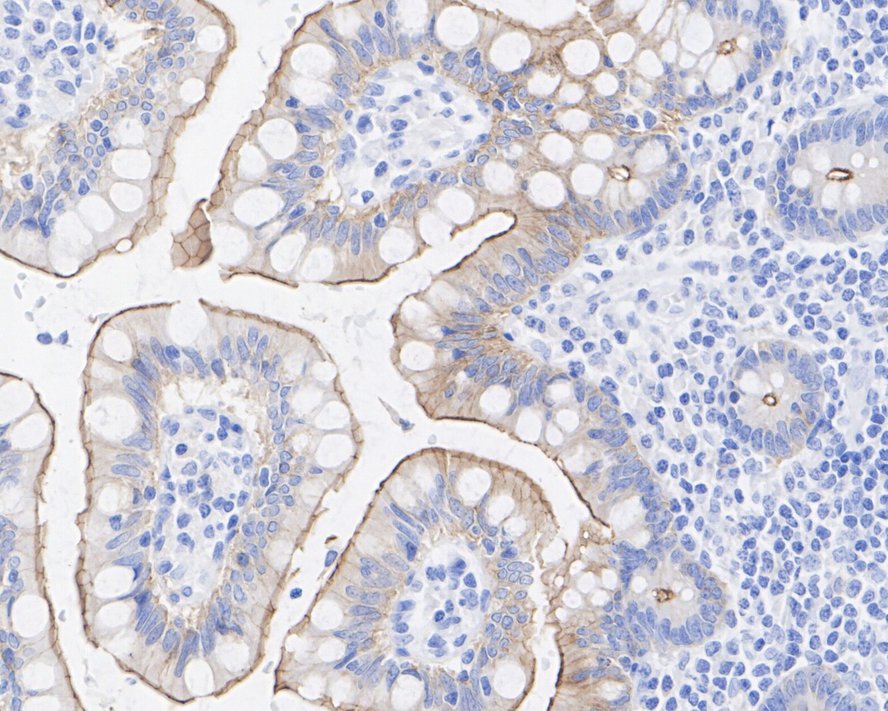
HA722516_5.jpg Fig5: Immunohistochemical analysis of paraffin-embedded mouse small intestine tissue with Rabbit anti-Cingulin antibody (HA722516) at 1/1,000 dilution.

The section was pre-treated using heat mediated antigen retrieval with Tris-EDTA buffer (pH 9.0) for 20 minutes. The tissues were blocked in 1% BSA for 20 minutes at room temperature, washed with ddH2O and PBS, and then probed with the primary antibody (HA722516) at 1/1,000 dilution for 1 hour at room temperature. The detection was performed using an HRP conjugated compact polymer system. DAB was used as the chromogen. Tissues were counterstained with hematoxylin and mounted with DPX.
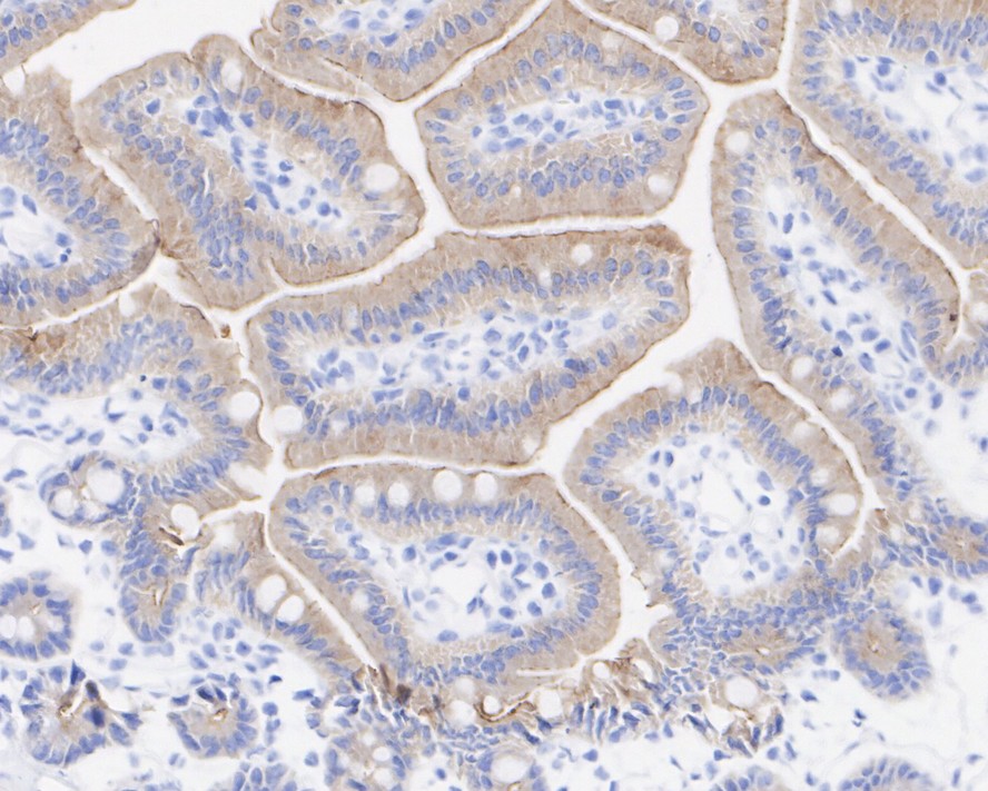
HA722516_6.jpg Fig6: Immunohistochemical analysis of paraffin-embedded rat small intestine tissue with Rabbit anti-Cingulin antibody (HA722516) at 1/200 dilution.

The section was pre-treated using heat mediated antigen retrieval with Tris-EDTA buffer (pH 9.0) for 20 minutes. The tissues were blocked in 1% BSA for 20 minutes at room temperature, washed with ddH2O and PBS, and then probed with the primary antibody (HA722516) at 1/200 dilution for 1 hour at room temperature. The detection was performed using an HRP conjugated compact polymer system. DAB was used as the chromogen. Tissues were counterstained with hematoxylin and mounted with DPX.
HA722516_7.jpg Fig7: Flow cytometric analysis of Jurkat cells labeling Cingulin.

Cells were fixed and permeabilized. Then stained with the primary antibody (HA722516, 1μg/mL) (red) compared with Rabbit IgG Isotype Control (green). After incubation of the primary antibody at +4℃ for an hour, the cells were stained with a iFluor™ 488 conjugate-Goat anti-Rabbit IgG Secondary antibody (HA1121) at 1/1,000 dilution for 30 minutes at +4℃. Unlabelled sample was used as a control (cells without incubation with primary antibody; black).
HA722516_8.jpg Fig8: Cingulin was immunoprecipitated from 0.2 mg Jurkatcell lysate with HA722516 at 2 µg/25 µl agarose. Western blot was performed from the immunoprecipitate using HA722516 at 1/1,000 dilution. Anti-Rabbit IgG for IP Nano-secondary antibody (NBI01H) at 1/5,000 dilution was used for 1 hour at room temperature.

Lane 1: Jurkat cell lysate (input)
Lane 2: HA722516 IP in Jurkat cell lysate
Lane 3: Rabbit IgG instead of HA722516 in Jurkat cell lysate

Blocking/Dilution buffer: 5% NFDM/TBST
Exposure time: 32 seconds; ECL: K1801
Note: All products are “FOR RESEARCH USE ONLY AND ARE NOT INTENDED FOR DIAGNOSTIC OR THERAPEUTIC USE”.