COL1A1 Recombinant Rabbit Monoclonal Antibody [PSH06-20]
cat.: HA722517
Product Type: Recombinant Rabbit monoclonal IgG, primary antibodies
Species reactivity: Human, Mouse, Rat
Applications: WB, IHC-P, IF-Tissue, IF-Cell, FC, IP, mIHC, IHC-Fr
Clonality: Monoclonal
Clone number: PSH06-20
Form: Liquid
Storage condition: Shipped at 4℃. Store at +4℃ short term (1-2 weeks). It is recommended to aliquot into single-use upon delivery. Store at -20℃ long term.
Storage buffer: PBS (pH7.4), 0.1% BSA, 40% Glycerol. Preservative: 0.05% Sodium Azide.
Concentration: 1ug/ul
Purification: Protein A affinity purified.
Molecular weight: Predicted band size: 139 kDa
Isotype: IgG
Immunogen: Synthetic peptide within Human COL1A1 aa 1197-1208.
Positive control: HFF-1 cell lysate, NIH/3T3 cell lysate, Human lung tissue lysate, Mouse skin tissue lysate, Rat skin tissue lysate, HFF-1, human colon cancer tissue, human kidney tissue, human lung tissue, mouse kidney tissue, mouse lung tissue, rat kidney tissue, rat lung tissue.
Subcellular location: Secreted.
Recommended Dilutions:
  WB
  IHC-P
  IF-Tissue
  IF-Cell
  FC
  IP
  mIHC
  IHC-Fr

1:1,000-1:2,000
1:1,000
1:200
1:500
1:1,000
1-2μg/sample
1:1,000-1:10,000
1:1,000
Uniprot #: SwissProt: P02452 Human | P11087 Mouse | P02454 Rat
Alternative names: Alpha 1 type I collagen alpha1(I) procollagen CO1A1_HUMAN COL1A1 collagen alpha 1 chain type I Collagen alpha-1(I) chain collagen alpha-1(I) chain preproprotein Collagen I alpha 1 polypeptide collagen of skin, tendon and bone, alpha-1 chain Collagen type I alpha 1 EDSC OI1 OI2 OI3 OI4 pro-alpha-1 collagen type 1 type I proalpha 1 type I procollagen alpha 1 chain Type I procollagen
Images
HA722517_1.jpg Fig1: Western blot analysis of COL1A1 on different lysates with Rabbit anti-COL1A1 antibody (HA722517) at 1/1,000 dilution.

Lane 1: HFF-1 cell lysate (20 µg/Lane)
Lane 2: NIH/3T3 cell lysate (20 µg/Lane)
Lane 3: Human lung tissue lysate (40 µg/Lane)
Lane 4: Mouse skin tissue lysate (40 µg/Lane)
Lane 5: Rat skin tissue lysate (40 µg/Lane)

Predicted band size: 139 kDa
Observed band size: 200/139 kDa

Exposure time: Lane 1-4: 1 minute; Lane 5: 3 seconds; ECL: K1801;

4-20% SDS-PAGE gel.

Proteins were transferred to a PVDF membrane and blocked with 5% NFDM/TBST for 1 hour at room temperature. The primary antibody (HA722517) at 1/1,000 dilution was used in 5% NFDM/TBST at 4℃ overnight. Goat Anti-Rabbit IgG - HRP Secondary Antibody (HA1001) at 1/50,000 dilution was used for 1 hour at room temperature.
HA722517_2.jpg Fig2: Western blot analysis of COL1A1 on different lysates with Rabbit anti-COL1A1 antibody (HA722517) at 1/2,000 dilution.

Lane 1: HFF-1 cell lysate (RIPA buffer)
Lane 2: HFF-1 cell lysate (Hot lysis buffer)

Predicted band size: 139 kDa
Observed band size: 200 kDa

Exposure time: 6 seconds; ECL: K1801;

4-20% SDS-PAGE gel.

Proteins were transferred to a PVDF membrane and blocked with 5% NFDM/TBST for 1 hour at room temperature. The primary antibody (HA722517) at 1/2,000 dilution was used in K1803 at 4℃ overnight. Goat Anti-Rabbit IgG - HRP Secondary Antibody (HA1001) at 1/50,000 dilution was used for 1 hour at room temperature.
HA722517_3.jpg Fig3: Fluorescence multiplex immunohistochemical analysis of human liver (Formalin/PFA-fixed paraffin-embedded sections). Panel A: the merged image of anti-CD31(M1511-8, Red), anti-COL1A1(HA722517, Magenta) and anti-αSMA (ET1607-53, Yellow) on human liver. HRP Conjugated UltraPolymer Goat Polyclonal Antibody HA1119/HA1120 was used as a secondary antibody. The immunostaining was performed with the Sequential Immuno-staining Kit (IRISKit™MH010101, www.luminiris.cn). The section was incubated in three rounds of staining: in the order of M1511-8 (1/1000 dilution), HA722517 (1/10000 dilution) and ET1607-53 (1/5000 dilution) for 20 mins at room temperature. Each round was followed by a separate fluorescent tyramide signal amplification system. Heat mediated antigen retrieval with Tris-EDTA buffer (pH 9.0) for 30 mins at 95C. DAPI (blue) was used as a nuclear counter stain. Image acquisition was performed with Olympus VS200 Slide Scanner.
HA722517_4.jpg Fig4: Immunocytochemistry analysis of HFF-1 cells labeling COL1A1 with Rabbit anti-COL1A1 antibody (HA722517) at 1/500 dilution.

Cells were fixed in 4% paraformaldehyde for 20 minutes at room temperature, permeabilized with 0.1% Triton X-100 in PBS for 5 minutes at room temperature, then blocked with 1% BSA in 10% negative goat serum for 1 hour at room temperature. Cells were then incubated with Rabbit anti-COL1A1 antibody (HA722517) at 1/500 dilution in 1% BSA in PBST overnight at 4 ℃. Goat Anti-Rabbit IgG H&L (iFluor™ 488, HA1121) was used as the secondary antibody at 1/1,000 dilution. PBS instead of the primary antibody was used as the secondary antibody only control. Nuclear DNA was labelled in blue with DAPI.

Beta tubulin (M1305-2, red) was stained at 1/100 dilution overnight at +4℃. Goat Anti-Mouse IgG H&L (iFluor™ 594, HA1126) was used as the secondary antibody at 1/1,000 dilution.
HA722517_5.jpg Fig5: Immunohistochemical analysis of paraffin-embedded human colon cancer tissue with Rabbit anti-COL1A1 antibody (HA722517) at 1/1,000 dilution.

The section was pre-treated using heat mediated antigen retrieval with Tris-EDTA buffer (pH 9.0) for 20 minutes. The tissues were blocked in 1% BSA for 20 minutes at room temperature, washed with ddH2O and PBS, and then probed with the primary antibody (HA722517) at 1/1,000 dilution for 1 hour at room temperature. The detection was performed using an HRP conjugated compact polymer system. DAB was used as the chromogen. Tissues were counterstained with hematoxylin and mounted with DPX.
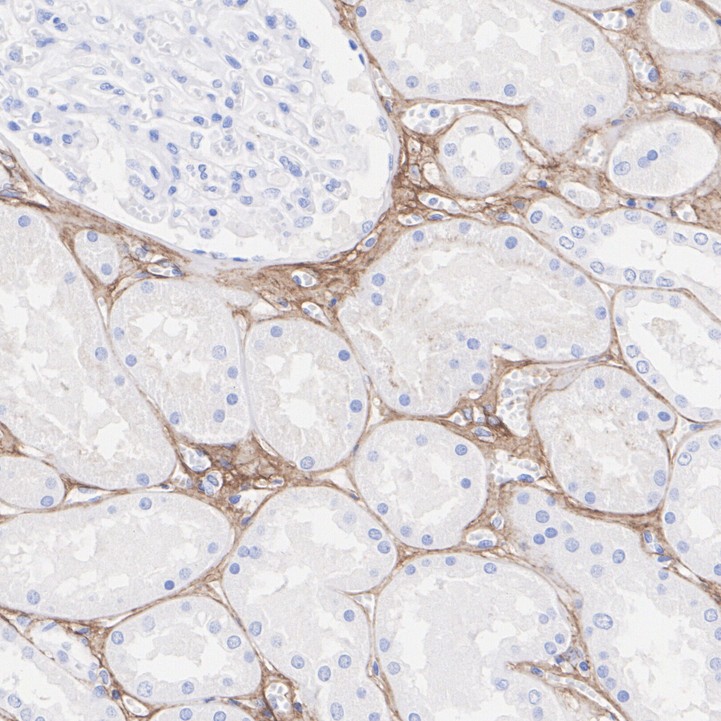
HA722517_6.jpg Fig6: Immunohistochemical analysis of paraffin-embedded human kidney tissue with Rabbit anti-COL1A1 antibody (HA722517) at 1/1,000 dilution.

The section was pre-treated using heat mediated antigen retrieval with Tris-EDTA buffer (pH 9.0) for 20 minutes. The tissues were blocked in 1% BSA for 20 minutes at room temperature, washed with ddH2O and PBS, and then probed with the primary antibody (HA722517) at 1/1,000 dilution for 1 hour at room temperature. The detection was performed using an HRP conjugated compact polymer system. DAB was used as the chromogen. Tissues were counterstained with hematoxylin and mounted with DPX.
HA722517_7.jpg Fig7: Immunohistochemical analysis of paraffin-embedded human lung tissue with Rabbit anti-COL1A1 antibody (HA722517) at 1/1,000 dilution.

The section was pre-treated using heat mediated antigen retrieval with Tris-EDTA buffer (pH 9.0) for 20 minutes. The tissues were blocked in 1% BSA for 20 minutes at room temperature, washed with ddH2O and PBS, and then probed with the primary antibody (HA722517) at 1/1,000 dilution for 1 hour at room temperature. The detection was performed using an HRP conjugated compact polymer system. DAB was used as the chromogen. Tissues were counterstained with hematoxylin and mounted with DPX.
HA722517_8.jpg Fig8: Immunohistochemical analysis of paraffin-embedded mouse kidney tissue with Rabbit anti-COL1A1 antibody (HA722517) at 1/1,000 dilution.

The section was pre-treated using heat mediated antigen retrieval with Tris-EDTA buffer (pH 9.0) for 20 minutes. The tissues were blocked in 1% BSA for 20 minutes at room temperature, washed with ddH2O and PBS, and then probed with the primary antibody (HA722517) at 1/1,000 dilution for 1 hour at room temperature. The detection was performed using an HRP conjugated compact polymer system. DAB was used as the chromogen. Tissues were counterstained with hematoxylin and mounted with DPX.
HA722517_9.jpg Fig9: Immunohistochemical analysis of paraffin-embedded mouse lung tissue with Rabbit anti-COL1A1 antibody (HA722517) at 1/1,000 dilution.

The section was pre-treated using heat mediated antigen retrieval with Tris-EDTA buffer (pH 9.0) for 20 minutes. The tissues were blocked in 1% BSA for 20 minutes at room temperature, washed with ddH2O and PBS, and then probed with the primary antibody (HA722517) at 1/1,000 dilution for 1 hour at room temperature. The detection was performed using an HRP conjugated compact polymer system. DAB was used as the chromogen. Tissues were counterstained with hematoxylin and mounted with DPX.
HA722517_10.jpg Fig10: Immunohistochemical analysis of paraffin-embedded rat kidney tissue with Rabbit anti-COL1A1 antibody (HA722517) at 1/1,000 dilution.

The section was pre-treated using heat mediated antigen retrieval with Tris-EDTA buffer (pH 9.0) for 20 minutes. The tissues were blocked in 1% BSA for 20 minutes at room temperature, washed with ddH2O and PBS, and then probed with the primary antibody (HA722517) at 1/1,000 dilution for 1 hour at room temperature. The detection was performed using an HRP conjugated compact polymer system. DAB was used as the chromogen. Tissues were counterstained with hematoxylin and mounted with DPX.
HA722517_11.jpg Fig11: Immunohistochemical analysis of paraffin-embedded rat lung tissue with Rabbit anti-COL1A1 antibody (HA722517) at 1/1,000 dilution.

The section was pre-treated using heat mediated antigen retrieval with Tris-EDTA buffer (pH 9.0) for 20 minutes. The tissues were blocked in 1% BSA for 20 minutes at room temperature, washed with ddH2O and PBS, and then probed with the primary antibody (HA722517) at 1/1,000 dilution for 1 hour at room temperature. The detection was performed using an HRP conjugated compact polymer system. DAB was used as the chromogen. Tissues were counterstained with hematoxylin and mounted with DPX.
HA722517_12.jpg Fig12: Application: IF-tissue

Species: Mouse

Site: Kidney

Sample: Paraffin-embedded section

Antibody concentration: 1/200
HA722517_13.jpg Fig13: Flow cytometric analysis of HFF-1 cells labeling COL1A1.

Cells were washed twice with cold PBS and resuspend. Then stained with the primary antibody (HA722517, 1μg/mL) (red) compared with Rabbit IgG Isotype Control (green). After incubation of the primary antibody at +4℃ for an hour, the cells were stained with a iFluor™ 488 conjugate-Goat anti-Rabbit IgG Secondary antibody (HA1121) at 1/1,000 dilution for 30 minutes at +4℃. Unlabelled sample was used as a control (cells without incubation with primary antibody; black).
HA722517_14.jpg Fig14: COL1A1 was immunoprecipitated from 0.2 mg HFF-1 cell lysate with HA722517 at 2 µg/10 µl beads. Western blot was performed from the immunoprecipitate using HA722517 at 1/1,000 dilution. Anti-Rabbit IgG for IP Nano-secondary antibody (NBI01H) at 1/5,000 dilution was used for 1 hour at room temperature.

Lane 1: HFF-1 cell lysate (input)
Lane 2: HA722517 IP in HFF-1 cell lysate
Lane 3: Rabbit IgG instead of HA722517 in HFF-1 cell lysate

Blocking/Dilution buffer: 5% NFDM/TBST
Exposure time: 8 seconds; ECL: K1802
HA722517_15.jpg Fig15: Application: IHC-Fr

Species: Mouse

Site: Lung

Sample: Frozen section

Antibody concentration: 1/1,000

Antigen retrieval: Not required
Note: All products are “FOR RESEARCH USE ONLY AND ARE NOT INTENDED FOR DIAGNOSTIC OR THERAPEUTIC USE”.