Factor X Recombinant Rabbit Monoclonal Antibody [JE32-83]
cat.: HA722535
Product Type: Recombinant Rabbit monoclonal IgG, primary antibodies
Species reactivity: Human, Mouse, Rat
Applications: WB, IHC-P
Clonality: Monoclonal
Clone number: JE32-83
Form: Liquid
Storage condition: Shipped at 4℃. Store at +4℃ short term (1-2 weeks). It is recommended to aliquot into single-use upon delivery. Store at -20℃ long term.
Storage buffer: 1*TBS (pH7.4), 0.05% BSA, 40% Glycerol. Preservative: 0.05% Sodium Azide.
Concentration: 1ug/ul
Purification: Protein A affinity purified.
Molecular weight: Predicted band size: 55 kDa
Isotype: IgG
Immunogen: Recombinant protein within human Factor X aa 151-300 / 488.
Positive control: Human plasma lysate, Human serum lysate, Mouse plasma lysate, Rat plasma lysate, Human liver tissue lysate, human liver tissue, mouse liver tissue, rat liver tissue.
Subcellular location: Secreted.
Recommended Dilutions:
  WB
  IHC-P

1:2,000
1:200
Uniprot #: SwissProt: P00742 Human | O88947 Mouse | Q63207 Rat
Alternative names: Activated factor Xa heavy chain Coagulation factor X F10 FA10_HUMAN factor Xa FX FXA Prothrombinase Stuart factor Stuart Prower factor Stuart-Prower factor
Images
HA722535_1.jpg Fig1: Western blot analysis of Factor X on different lysates with Rabbit anti-Factor X antibody (HA722535) at 1/2,000 dilution.

Lane 1: Human plasma lysate (10 µg/Lane)
Lane 2: Human serum lysate (10 µg/Lane)
Lane 3: Mouse plasma lysate (10 µg/Lane)
Lane 4: Rat plasma lysate (10 µg/Lane)
Lane 5: Human liver tissue lysate (40 µg/Lane)

Predicted band size: 55 kDa
Observed band size: 70 kDa

Exposure time: 20 seconds; ECL: K1801;
4-20% SDS-PAGE gel.

Proteins were transferred to a PVDF membrane and blocked with 5% NFDM/TBST for 1 hour at room temperature. The primary antibody (HA722535) at 1/2,000 dilution was used in 5% NFDM/TBST at 4℃ overnight. Goat Anti-Rabbit IgG - HRP Secondary Antibody (HA1001) at 1/50,000 dilution was used for 1 hour at room temperature.
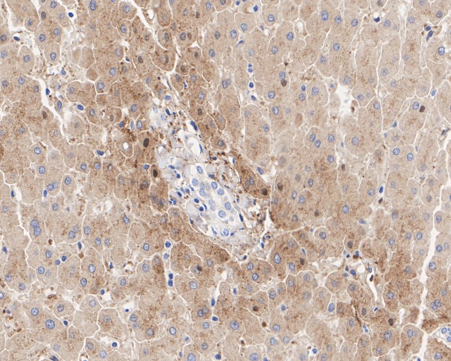
HA722535_2.jpg Fig2: Immunohistochemical analysis of paraffin-embedded human liver tissue with Rabbit anti-Factor X antibody (HA722535) at 1/200 dilution.

The section was pre-treated using heat mediated antigen retrieval with Tris-EDTA buffer (pH 9.0) for 20 minutes. The tissues were blocked in 1% BSA for 20 minutes at room temperature, washed with ddH2O and PBS, and then probed with the primary antibody (HA722535) at 1/200 dilution for 1 hour at room temperature. The detection was performed using an HRP conjugated compact polymer system. DAB was used as the chromogen. Tissues were counterstained with hematoxylin and mounted with DPX.
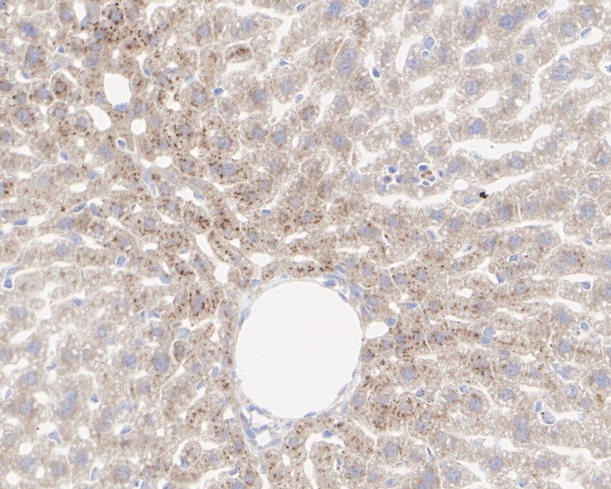
HA722535_3.jpg Fig3: Immunohistochemical analysis of paraffin-embedded mouse liver tissue with Rabbit anti-Factor X antibody (HA722535) at 1/200 dilution.

The section was pre-treated using heat mediated antigen retrieval with Tris-EDTA buffer (pH 9.0) for 20 minutes. The tissues were blocked in 1% BSA for 20 minutes at room temperature, washed with ddH2O and PBS, and then probed with the primary antibody (HA722535) at 1/200 dilution for 1 hour at room temperature. The detection was performed using an HRP conjugated compact polymer system. DAB was used as the chromogen. Tissues were counterstained with hematoxylin and mounted with DPX.
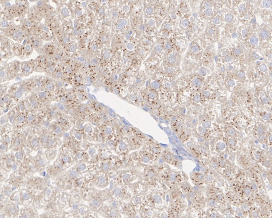
HA722535_4.jpg Fig4: Immunohistochemical analysis of paraffin-embedded rat liver tissue with Rabbit anti-Factor X antibody (HA722535) at 1/200 dilution.

The section was pre-treated using heat mediated antigen retrieval with Tris-EDTA buffer (pH 9.0) for 20 minutes. The tissues were blocked in 1% BSA for 20 minutes at room temperature, washed with ddH2O and PBS, and then probed with the primary antibody (HA722535) at 1/200 dilution for 1 hour at room temperature. The detection was performed using an HRP conjugated compact polymer system. DAB was used as the chromogen. Tissues were counterstained with hematoxylin and mounted with DPX.
Note: All products are “FOR RESEARCH USE ONLY AND ARE NOT INTENDED FOR DIAGNOSTIC OR THERAPEUTIC USE”.