MAT2A Recombinant Rabbit Monoclonal Antibody [JE33-45]
cat.: HA722536
Product Type: Recombinant Rabbit monoclonal IgG, primary antibodies
Species reactivity: Human, Mouse, Rat
Applications: WB, IHC-P, IF-Tissue
Clonality: Monoclonal
Clone number: JE33-45
Form: Liquid
Storage condition: Shipped at 4℃. Store at +4℃ short term (1-2 weeks). It is recommended to aliquot into single-use upon delivery. Store at -20℃ long term.
Storage buffer: 1*TBS (pH7.4), 0.05% BSA, 40% Glycerol. Preservative: 0.05% Sodium Azide.
Concentration: 1ug/ul
Purification: Protein A affinity purified.
Molecular weight: Predicted band size: 44 kDa
Isotype: IgG
Immunogen: Synthetic peptide within human MAT2A aa 71-120 / 395.
Positive control: A549 cell lysate, NCI-H226 cell lysate, HeLa cell lysate, HepG2 cell lysate, NIH/3T3 cell lysate, Neuro-2a cell lysate, C6 cell lysate, human colon tissue, mouse colon tissue, rat colon tissue.
Recommended Dilutions:
  WB
  IHC-P
  IF-Tissue

1:1,000
1:500-1:2,000
1:100-1:500
Uniprot #: SwissProt: P31153 Human | Q3THS6 Mouse | P18298 Rat
Alternative names: AdoMet synthase 2 AdoMet synthetase 2 AdoMet synthetase AMS 2 AMS2 MAT 2 MAT 2A MAT II MAT-II Mat2a MATA 2 MATA2 MATII Methionine adenosyltransferase 2 Methionine adenosyltransferase Methionine adenosyltransferase II alpha Methionine adenosyltransferase II METK2_HUMAN S adenosylmethionine synthetase gamma form S adenosylmethionine synthetase isoform type 2 S-adenosylmethionine synthase isoform type-2 SAMS 2 SAMS2
Images
HA722536_1.jpg Fig1: Western blot analysis of MAT2A on different lysates with Rabbit anti-MAT2A antibody (HA722536) at 1/1,000 dilution.

Lane 1: A549 cell lysate
Lane 2: NCI-H226 cell lysate
Lane 3: HeLa cell lysate
Lane 4: HepG2 cell lysate
Lane 5: NIH/3T3 cell lysate
Lane 6: Neuro-2a cell lysate
Lane 7: C6 cell lysate

Lysates/proteins at 20 µg/Lane.

Predicted band size: 44 kDa
Observed band size: 44/46 kDa

Exposure time: 1 minute 2 seconds; ECL: K1801;

4-20% SDS-PAGE gel.

Proteins were transferred to a PVDF membrane and blocked with 5% NFDM/TBST for 1 hour at room temperature. The primary antibody (HA722536) at 1/1,000 dilution was used in 5% NFDM/TBST at 4℃ overnight. Goat Anti-Rabbit IgG - HRP Secondary Antibody (HA1001) at 1/50,000 dilution was used for 1 hour at room temperature.
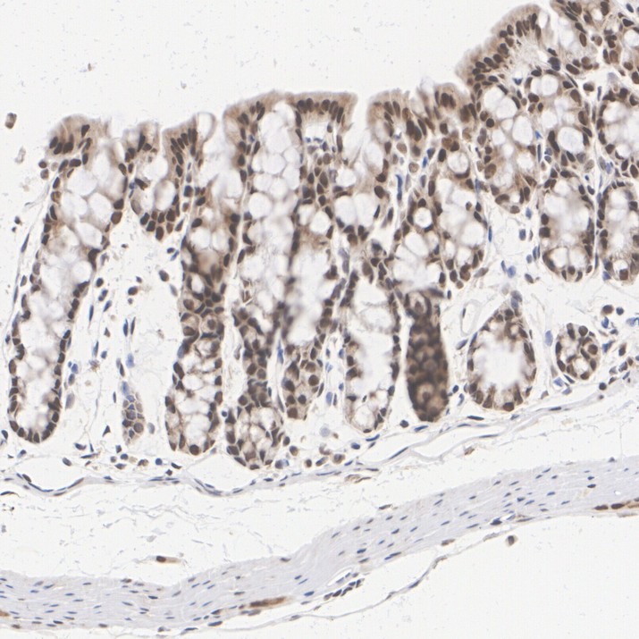
HA722536_2.jpg Fig2: Immunohistochemical analysis of paraffin-embedded human colon tissue with Rabbit anti-MAT2A antibody (HA722536) at 1/2,000 dilution.

The section was pre-treated using heat mediated antigen retrieval with Tris-EDTA buffer (pH 9.0) for 20 minutes. The tissues were blocked in 1% BSA for 20 minutes at room temperature, washed with ddH2O and PBS, and then probed with the primary antibody (HA722536) at 1/2,000 dilution for 1 hour at room temperature. The detection was performed using an HRP conjugated compact polymer system. DAB was used as the chromogen. Tissues were counterstained with hematoxylin and mounted with DPX.
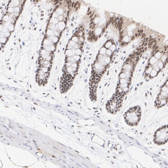
HA722536_3.jpg Fig3: Immunohistochemical analysis of paraffin-embedded mouse colon tissue with Rabbit anti-MAT2A antibody (HA722536) at 1/500 dilution.

The section was pre-treated using heat mediated antigen retrieval with Tris-EDTA buffer (pH 9.0) for 20 minutes. The tissues were blocked in 1% BSA for 20 minutes at room temperature, washed with ddH2O and PBS, and then probed with the primary antibody (HA722536) at 1/500 dilution for 1 hour at room temperature. The detection was performed using an HRP conjugated compact polymer system. DAB was used as the chromogen. Tissues were counterstained with hematoxylin and mounted with DPX.
HA722536_4.jpg Fig4: Immunohistochemical analysis of paraffin-embedded rat colon tissue with Rabbit anti-MAT2A antibody (HA722536) at 1/2,000 dilution.

The section was pre-treated using heat mediated antigen retrieval with Tris-EDTA buffer (pH 9.0) for 20 minutes. The tissues were blocked in 1% BSA for 20 minutes at room temperature, washed with ddH2O and PBS, and then probed with the primary antibody (HA722536) at 1/2,000 dilution for 1 hour at room temperature. The detection was performed using an HRP conjugated compact polymer system. DAB was used as the chromogen. Tissues were counterstained with hematoxylin and mounted with DPX.
Note: All products are “FOR RESEARCH USE ONLY AND ARE NOT INTENDED FOR DIAGNOSTIC OR THERAPEUTIC USE”.