Troponin I fast skeletal muscle Recombinant Rabbit Monoclonal Antibody [JE35-67]
cat.: HA722542
Product Type: Recombinant Rabbit monoclonal IgG, primary antibodies
Species reactivity: Human, Mouse, Rat
Applications: WB, IHC-P
Clonality: Monoclonal
Clone number: JE35-67
Form: Liquid
Storage condition: Shipped at 4℃. Store at +4℃ short term (1-2 weeks). It is recommended to aliquot into single-use upon delivery. Store at -20℃ long term.
Storage buffer: 1*TBS (pH7.4), 0.05% BSA, 40% Glycerol. Preservative: 0.05% Sodium Azide.
Concentration: 1ug/ul
Purification: Protein A affinity purified.
Molecular weight: Predicted band size: 21 kDa
Isotype: IgG
Immunogen: Synthetic peptide within human Troponin I fast skeletal muscle aa 133-182 / 182.
Positive control: Rat skeletal muscle tissue lysates, human skeletal muscle tissue, mouse skeletal muscle tissue, rat skeletal muscle tissue.
Subcellular location: Cytosol, nucleus.
Recommended Dilutions:
  WB
  IHC-P

1:1,000
1:200-1:1,000
Uniprot #: SwissProt: P48788 Human | P13412 Mouse | P27768 Rat
Alternative names: AMCD 2B AMCD2B DA 2B DA2B fast skeletal muscle Fast twitch skeletal muscle troponin I fast-twitch isoform FSSV fsTnI TNNI 2 Tnni2 TNNI2_HUMAN tro Troponin I Troponin I fast skeletal muscle Troponin I fast twitch 2 Troponin I fast twitch isoform Troponin I fast twitch skeletal muscle isoform Troponin I skeletal fast Troponin I type 2 (skeletal fast) Troponin I type 2
Images
HA722542_1.jpg Fig1: Western blot analysis of Troponin I fast skeletal muscle on rat skeletal muscle tissue lysates with Rabbit anti-Troponin I fast skeletal muscle antibody (HA722542) at 1/1,000 dilution.

Lysates/proteins at 30 µg/Lane.

Predicted band size: 21 kDa
Observed band size: 21 kDa

Exposure time: 3 minutes; ECL: K1801;

4-20% SDS-PAGE gel.

Proteins were transferred to a PVDF membrane and blocked with 5% NFDM/TBST for 1 hour at room temperature. The primary antibody (HA722542) at 1/1,000 dilution was used in 5% NFDM/TBST at 4℃ overnight. Goat Anti-Rabbit IgG - HRP Secondary Antibody (HA1001) at 1/50,000 dilution was used for 1 hour at room temperature.
HA722542_2.jpg Fig2: Western blot analysis of Troponin I fast skeletal muscle on different lysates with Rabbit anti-Troponin I fast skeletal muscle antibody (HA722542) at 1/1,000 dilution.

Lane 1: 293T-NT cell lysate
Lane 2: 293T-OE-TNNI2 cell lysate

Lysates/proteins at 10 µg/Lane.

Exposure time: 2 seconds; ECL: K1801;

4-20% SDS-PAGE gel.

Proteins were transferred to a PVDF membrane and blocked with 5% NFDM/TBST for 1 hour at room temperature. The primary antibody (HA722542) at 1/1,000 dilution was used in 5% NFDM/TBST at 4℃ overnight. Goat Anti-Rabbit IgG - HRP Secondary Antibody (HA1001) at 1/50,000 dilution was used for 1 hour at room temperature.
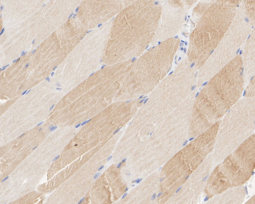
HA722542_3.jpg Fig3: Immunohistochemical analysis of paraffin-embedded human skeletal muscle tissue with Rabbit anti-Troponin I fast skeletal muscle antibody (HA722542) at 1/1,000 dilution.

The section was pre-treated using heat mediated antigen retrieval with Tris-EDTA buffer (pH 9.0) for 20 minutes. The tissues were blocked in 1% BSA for 20 minutes at room temperature, washed with ddH2O and PBS, and then probed with the primary antibody (HA722542) at 1/1,000 dilution for 1 hour at room temperature. The detection was performed using an HRP conjugated compact polymer system. DAB was used as the chromogen. Tissues were counterstained with hematoxylin and mounted with DPX.
HA722542_4.jpg Fig4: Immunohistochemical analysis of paraffin-embedded mouse skeletal muscle tissue with Rabbit anti-Troponin I fast skeletal muscle antibody (HA722542) at 1/200 dilution.

The section was pre-treated using heat mediated antigen retrieval with Tris-EDTA buffer (pH 9.0) for 20 minutes. The tissues were blocked in 1% BSA for 20 minutes at room temperature, washed with ddH2O and PBS, and then probed with the primary antibody (HA722542) at 1/200 dilution for 1 hour at room temperature. The detection was performed using an HRP conjugated compact polymer system. DAB was used as the chromogen. Tissues were counterstained with hematoxylin and mounted with DPX.
HA722542_5.jpg Fig5: Immunohistochemical analysis of paraffin-embedded rat skeletal muscle tissue with Rabbit anti-Troponin I fast skeletal muscle antibody (HA722542) at 1/1,000 dilution.

The section was pre-treated using heat mediated antigen retrieval with Tris-EDTA buffer (pH 9.0) for 20 minutes. The tissues were blocked in 1% BSA for 20 minutes at room temperature, washed with ddH2O and PBS, and then probed with the primary antibody (HA722542) at 1/1,000 dilution for 1 hour at room temperature. The detection was performed using an HRP conjugated compact polymer system. DAB was used as the chromogen. Tissues were counterstained with hematoxylin and mounted with DPX.
Note: All products are “FOR RESEARCH USE ONLY AND ARE NOT INTENDED FOR DIAGNOSTIC OR THERAPEUTIC USE”.