ACRV1 Recombinant Rabbit Monoclonal Antibody [JE36-02]
cat.: HA722543
Product Type: Recombinant Rabbit monoclonal IgG, primary antibodies
Species reactivity: Human, Mouse, Rat
Applications: WB, IHC-P
Clonality: Monoclonal
Clone number: JE36-02
Form: Liquid
Storage condition: Shipped at 4℃. Store at +4℃ short term (1-2 weeks). It is recommended to aliquot into single-use upon delivery. Store at -20℃ long term.
Storage buffer: 1*TBS (pH7.4), 0.05% BSA, 40% Glycerol. Preservative: 0.05% Sodium Azide.
Concentration: 1ug/ul
Purification: Protein A affinity purified.
Molecular weight: Predicted band size: 28 kDa
Isotype: IgG
Immunogen: Synthetic peptide within human ACRV1 aa 216-265 / 265.
Positive control: LNCaP cell lysate, RWPE-1 cell lysate, HepG2 cell lysate, Mouse testis tissue lysate, Rat testis tissue lysate, human testis tissue, mouse epididymis tissue, mouse testis tissue, rat epididymis tissue, rat testis tissue.
Subcellular location: Cytoplasmic vesicle, secretory vesicle, acrosome.
Recommended Dilutions:
  WB
  IHC-P

1:1,000
1:200-1:1,000
Uniprot #: SwissProt: P26436 Human | P50289 Mouse
Entrez Gene: 60353 Rat
Alternative names: Acrosomal protein SP 10 Acrosomal protein SP-10 Acrosomal vesicle protein 1 ACRV1 ASPX_HUMAN D11S4365 Msa63 SP 10 Sp10 SPACA2 Sperm protein 10
Images
HA722543_1.jpg Fig1: Western blot analysis of ACRV1 on different lysates with Rabbit anti-ACRV1 antibody (HA722543) at 1/1,000 dilution.

Lane 1: LNCaP cell lysate (30 µg/Lane)
Lane 2: RWPE-1 cell lysate (30 µg/Lane)
Lane 3: HepG2 cell lysate (30 µg/Lane)
Lane 4: Mouse testis tissue lysate (15 µg/Lane)
Lane 5: Mouse liver tissue lysate (negative) (40 µg/Lane)
Lane 6: Rat testis tissue lysate (40 µg/Lane)
Lane 7: Rat liver tissue lysate (negative) (40 µg/Lane)

Predicted band size: 28 kDa
Observed band size: 28-45 kDa

Exposure time: 3 minutes; ECL: K1801;

4-20% SDS-PAGE gel.

Proteins were transferred to a PVDF membrane and blocked with 5% NFDM/TBST for 1 hour at room temperature. The primary antibody (HA722543) at 1/1,000 dilution was used in 5% NFDM/TBST at 4℃ overnight. Goat Anti-Rabbit IgG - HRP Secondary Antibody (HA1001) at 1/50,000 dilution was used for 1 hour at room temperature.
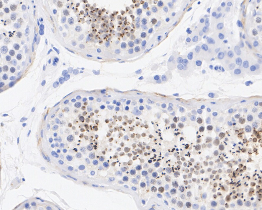
HA722543_2.jpg Fig2: Immunohistochemical analysis of paraffin-embedded human testis tissue with Rabbit anti-ACRV1 antibody (HA722543) at 1/200 dilution.

The section was pre-treated using heat mediated antigen retrieval with Tris-EDTA buffer (pH 9.0) for 20 minutes. The tissues were blocked in 1% BSA for 20 minutes at room temperature, washed with ddH2O and PBS, and then probed with the primary antibody (HA722543) at 1/200 dilution for 1 hour at room temperature. The detection was performed using an HRP conjugated compact polymer system. DAB was used as the chromogen. Tissues were counterstained with hematoxylin and mounted with DPX.
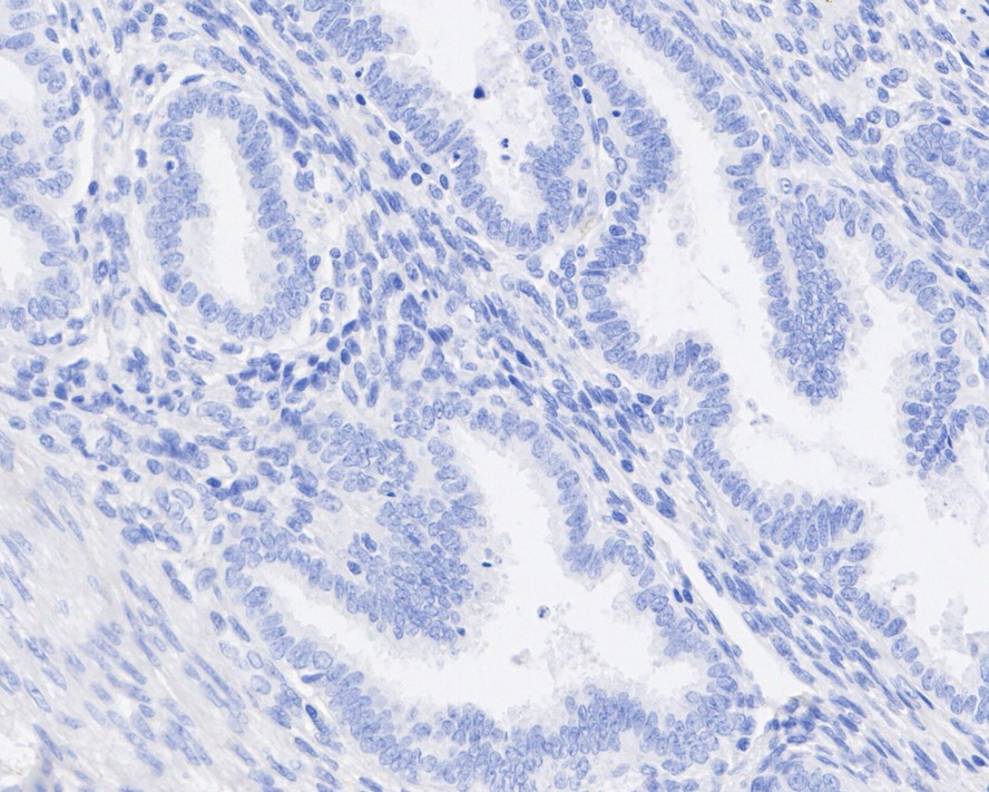
HA722543_3.jpg Fig3: Immunohistochemical analysis of paraffin-embedded human endometrium tissue (negative) with Rabbit anti-ACRV1 antibody (HA722543) at 1/200 dilution.

The section was pre-treated using heat mediated antigen retrieval with Tris-EDTA buffer (pH 9.0) for 20 minutes. The tissues were blocked in 1% BSA for 20 minutes at room temperature, washed with ddH2O and PBS, and then probed with the primary antibody (HA722543) at 1/200 dilution for 1 hour at room temperature. The detection was performed using an HRP conjugated compact polymer system. DAB was used as the chromogen. Tissues were counterstained with hematoxylin and mounted with DPX.
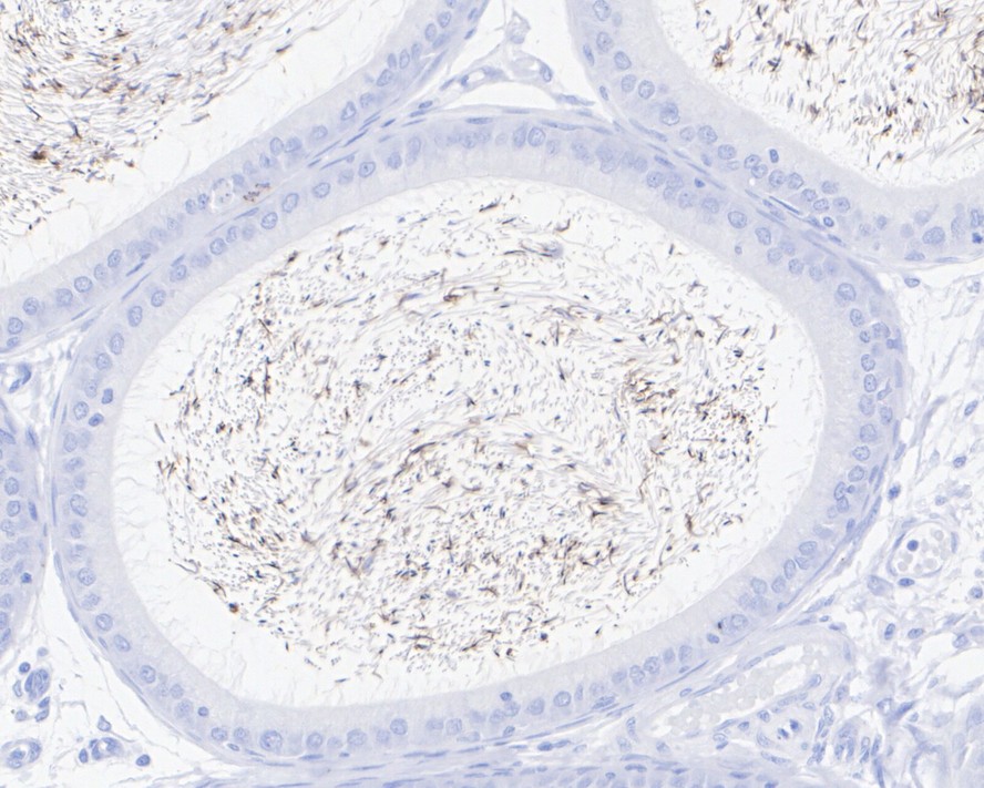
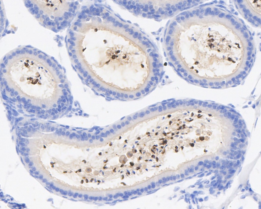
HA722543_4.jpg Fig4: Immunohistochemical analysis of paraffin-embedded mouse epididymis tissue with Rabbit anti-ACRV1 antibody (HA722543) at 1/1,000 dilution.

The section was pre-treated using heat mediated antigen retrieval with Tris-EDTA buffer (pH 9.0) for 20 minutes. The tissues were blocked in 1% BSA for 20 minutes at room temperature, washed with ddH2O and PBS, and then probed with the primary antibody (HA722543) at 1/1,000 dilution for 1 hour at room temperature. The detection was performed using an HRP conjugated compact polymer system. DAB was used as the chromogen. Tissues were counterstained with hematoxylin and mounted with DPX.
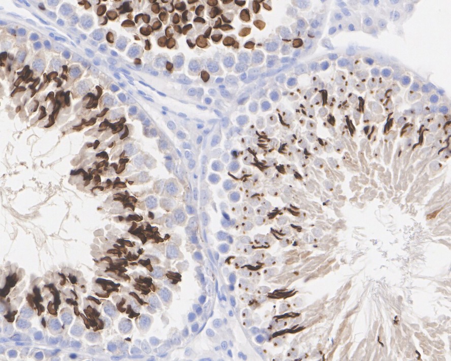
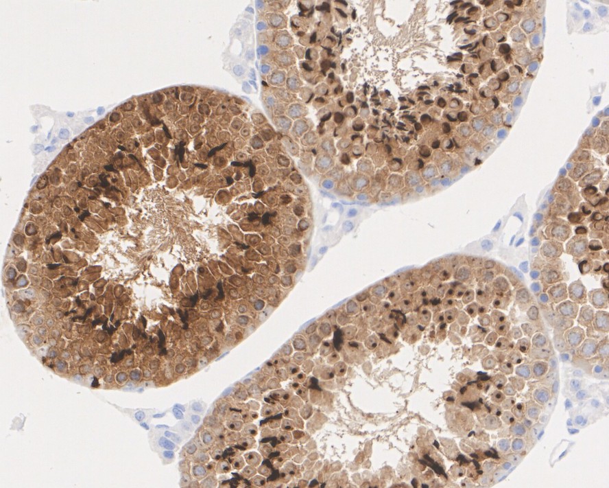
HA722543_5.jpg Fig5: Immunohistochemical analysis of paraffin-embedded mouse testis tissue with Rabbit anti-ACRV1 antibody (HA722543) at 1/1,000 dilution.

The section was pre-treated using heat mediated antigen retrieval with Tris-EDTA buffer (pH 9.0) for 20 minutes. The tissues were blocked in 1% BSA for 20 minutes at room temperature, washed with ddH2O and PBS, and then probed with the primary antibody (HA722543) at 1/1,000 dilution for 1 hour at room temperature. The detection was performed using an HRP conjugated compact polymer system. DAB was used as the chromogen. Tissues were counterstained with hematoxylin and mounted with DPX.
HA722543_6.jpg Fig6: Immunohistochemical analysis of paraffin-embedded rat epididymis tissue with Rabbit anti-ACRV1 antibody (HA722543) at 1/200 dilution.

The section was pre-treated using heat mediated antigen retrieval with Tris-EDTA buffer (pH 9.0) for 20 minutes. The tissues were blocked in 1% BSA for 20 minutes at room temperature, washed with ddH2O and PBS, and then probed with the primary antibody (HA722543) at 1/200 dilution for 1 hour at room temperature. The detection was performed using an HRP conjugated compact polymer system. DAB was used as the chromogen. Tissues were counterstained with hematoxylin and mounted with DPX.
HA722543_7.jpg Fig7: Immunohistochemical analysis of paraffin-embedded rat testis tissue with Rabbit anti-ACRV1 antibody (HA722543) at 1/200 dilution.

The section was pre-treated using heat mediated antigen retrieval with Tris-EDTA buffer (pH 9.0) for 20 minutes. The tissues were blocked in 1% BSA for 20 minutes at room temperature, washed with ddH2O and PBS, and then probed with the primary antibody (HA722543) at 1/200 dilution for 1 hour at room temperature. The detection was performed using an HRP conjugated compact polymer system. DAB was used as the chromogen. Tissues were counterstained with hematoxylin and mounted with DPX.
Note: All products are “FOR RESEARCH USE ONLY AND ARE NOT INTENDED FOR DIAGNOSTIC OR THERAPEUTIC USE”.