Phospho-Nucleophosmin (S125) Recombinant Rabbit Monoclonal Antibody [JE51-14]
cat.: HA722559
Product Type: Recombinant Rabbit monoclonal IgG, primary antibodies
Species reactivity: Human, Mouse, Rat
Applications: WB, IHC-P, IF-Cell, FC
Clonality: Monoclonal
Clone number: JE51-14
Form: Liquid
Storage condition: Shipped at 4℃. Store at +4℃ short term (1-2 weeks). It is recommended to aliquot into single-use upon delivery. Store at -20℃ long term.
Storage buffer: 1*TBS (pH7.4), 0.05% BSA, 40% Glycerol. Preservative: 0.05% Sodium Azide.
Concentration: 1ug/ul
Purification: Protein A affinity purified.
Molecular weight: Predicted band size: 33 kDa
Isotype: IgG
Immunogen: Synthetic phospho-peptide corresponding to residues surrounding Ser125 of Human Nucleophosmin.
Positive control: HeLa cell lysate, NIH/3T3 cell lysate, F9 cell lysate, RAW264.7 cell lysate, L6 cell lysate, PC-12 cell lysate, human kidney tissue, mouse kidney tissue, rat kidney tissue, HeLa, NIH/3T3.
Subcellular location: Nucleus, nucleolus, nucleoplasm, Cytoplasm, cytoskeleton, microtubule organizing center, centrosome.
Recommended Dilutions:
  WB
  IHC-P
  IF-Cell
  FC

1:5,000
1:10,000
1:500
1:1,000
Uniprot #: SwissProt: P06748 Human | Q61937 Mouse | P13084 Rat
Alternative names: B23 MGC104254 NO38 NPM NPM_HUMAN NPM1 Nucleolar phosphoprotein B23 Nucleolar protein NO38 Nucleophosmin (nucleolar phosphoprotein B23 numatrin) Nucleophosmin nucleophosmin nucleoplasmin family member 1 Nucleophosmin/nucleoplasmin family member 1 Numatrin OTTHUMP00000161024 OTTHUMP00000161025 OTTHUMP00000223397 OTTHUMP00000223398
Images
HA722559_1.jpg Fig1: Western blot analysis of Phospho-Nucleophosmin (S125) on different lysates with Rabbit anti-Phospho-Nucleophosmin (S125) antibody (HA722559) at 1/5,000 dilution.

Lane 1: HeLa cell lysate
Lane 2: NIH/3T3 cell lysate
Lane 3: F9 cell lysate
Lane 4: RAW264.7 cell lysate
Lane 5: L6 cell lysate
Lane 6: PC-12 cell lysate

Lysates/proteins at 20 µg/Lane.

Predicted band size: 33 kDa
Observed band size: 37 kDa

Exposure time: 18 seconds; ECL: K1801;

4-20% SDS-PAGE gel.

Proteins were transferred to a PVDF membrane and blocked with 5% NFDM/TBST for 1 hour at room temperature. The primary antibody (HA722559) at 1/5,000 dilution was used in 5% NFDM/TBST at 4℃ overnight. Goat Anti-Rabbit IgG - HRP Secondary Antibody (HA1001) at 1/50,000 dilution was used for 1 hour at room temperature.
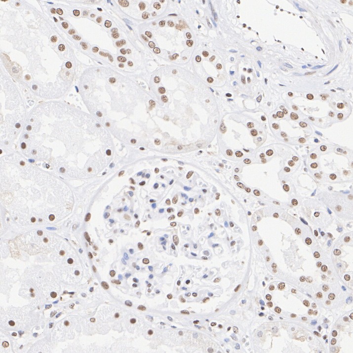
HA722559_2.jpg Fig2: Immunohistochemical analysis of paraffin-embedded human kidney tissue with Rabbit anti-Phospho-Nucleophosmin (S125) antibody (HA722559) at 1/10,000 dilution.

The section was pre-treated using heat mediated antigen retrieval with sodium citrate buffer (pH 6.0) (high pressure) for 2 minutes. The tissues were blocked in 1% BSA for 20 minutes at room temperature, washed with ddH2O and PBS, and then probed with the primary antibody (HA722559) at 1/10,000 dilution for 1 hour at room temperature. The detection was performed using an HRP conjugated compact polymer system. DAB was used as the chromogen. Tissues were counterstained with hematoxylin and mounted with DPX.
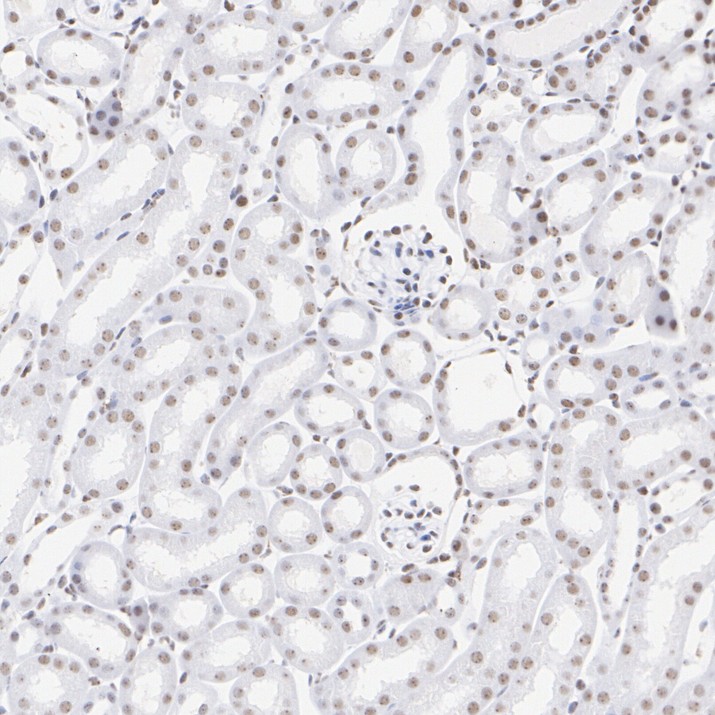
HA722559_3.jpg Fig3: Immunohistochemical analysis of paraffin-embedded mouse kidney tissue with Rabbit anti-Phospho-Nucleophosmin (S125) antibody (HA722559) at 1/10,000 dilution.

The section was pre-treated using heat mediated antigen retrieval with sodium citrate buffer (pH 6.0) (high pressure) for 2 minutes. The tissues were blocked in 1% BSA for 20 minutes at room temperature, washed with ddH2O and PBS, and then probed with the primary antibody (HA722559) at 1/10,000 dilution for 1 hour at room temperature. The detection was performed using an HRP conjugated compact polymer system. DAB was used as the chromogen. Tissues were counterstained with hematoxylin and mounted with DPX.
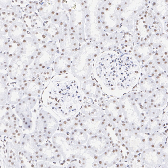
HA722559_4.jpg Fig4: Immunohistochemical analysis of paraffin-embedded rat kidney tissue with Rabbit anti-Phospho-Nucleophosmin (S125) antibody (HA722559) at 1/10,000 dilution.

The section was pre-treated using heat mediated antigen retrieval with sodium citrate buffer (pH 6.0) (high pressure) for 2 minutes. The tissues were blocked in 1% BSA for 20 minutes at room temperature, washed with ddH2O and PBS, and then probed with the primary antibody (HA722559) at 1/10,000 dilution for 1 hour at room temperature. The detection was performed using an HRP conjugated compact polymer system. DAB was used as the chromogen. Tissues were counterstained with hematoxylin and mounted with DPX.
HA722559_5.jpg Fig5: Immunocytochemistry analysis of HeLa cells labeling Phospho-Nucleophosmin (S125) with Rabbit anti-Phospho-Nucleophosmin (S125) antibody (HA722559) at 1/500 dilution.

Cells were fixed in 4% paraformaldehyde for 20 minutes at room temperature, permeabilized with 0.1% Triton X-100 in PBS for 5 minutes at room temperature, then blocked with 1% BSA in 10% negative goat serum for 1 hour at room temperature. Cells were then incubated with Rabbit anti-Phospho-Nucleophosmin (S125) antibody (HA722559) at 1/500 dilution in 1% BSA in PBST overnight at 4 ℃. Goat Anti-Rabbit IgG H&L (iFluor™ 488, HA1121) was used as the secondary antibody at 1/1,000 dilution. PBS instead of the primary antibody was used as the secondary antibody only control. Nuclear DNA was labelled in blue with DAPI.

Beta tubulin (M1305-2, red) was stained at 1/100 dilution overnight at +4℃. Goat Anti-Mouse IgG H&L (iFluor™ 594, HA1126) was used as the secondary antibody at 1/1,000 dilution.
HA722559_6.jpg Fig6: Immunocytochemistry analysis of NIH/3T3 cells labeling Phospho-Nucleophosmin (S125) with Rabbit anti-Phospho-Nucleophosmin (S125) antibody (HA722559) at 1/500 dilution.

Cells were fixed in 4% paraformaldehyde for 20 minutes at room temperature, permeabilized with 0.1% Triton X-100 in PBS for 5 minutes at room temperature, then blocked with 1% BSA in 10% negative goat serum for 1 hour at room temperature. Cells were then incubated with Rabbit anti-Phospho-Nucleophosmin (S125) antibody (HA722559) at 1/500 dilution in 1% BSA in PBST overnight at 4 ℃. Goat Anti-Rabbit IgG H&L (iFluor™ 488, HA1121) was used as the secondary antibody at 1/1,000 dilution. PBS instead of the primary antibody was used as the secondary antibody only control. Nuclear DNA was labelled in blue with DAPI.

Beta tubulin (M1305-2, red) was stained at 1/100 dilution overnight at +4℃. Goat Anti-Mouse IgG H&L (iFluor™ 594, HA1126) was used as the secondary antibody at 1/1,000 dilution.
HA722559_7.jpg Fig7: Flow cytometric analysis of HeLa cells labeling Phospho-Nucleophosmin (S125).

Cells were fixed and permeabilized. Then stained with the primary antibody (HA722559, 1/1,000) (red) compared with Rabbit IgG Isotype Control (green). After incubation of the primary antibody at +4℃ for an hour, the cells were stained with a iFluor™ 488 conjugate-Goat anti-Rabbit IgG Secondary antibody (HA1121) at 1/1,000 dilution for 30 minutes at +4℃. Unlabelled sample was used as a control (cells without incubation with primary antibody; black).
Note: All products are “FOR RESEARCH USE ONLY AND ARE NOT INTENDED FOR DIAGNOSTIC OR THERAPEUTIC USE”.