Desmoplakin Recombinant Rabbit Monoclonal Antibody [JE51-43]
cat.: HA722560
Product Type: Recombinant Rabbit monoclonal IgG, primary antibodies
Species reactivity: Human, Mouse, Rat
Applications: WB, IHC-P, IF-Tissue
Clonality: Monoclonal
Clone number: JE51-43
Form: Liquid
Storage condition: Shipped at 4℃. Store at +4℃ short term (1-2 weeks). It is recommended to aliquot into single-use upon delivery. Store at -20℃ long term.
Storage buffer: 1*TBS (pH7.4), 0.05% BSA, 40% Glycerol. Preservative: 0.05% Sodium Azide.
Concentration: 1ug/ul
Purification: Protein A affinity purified.
Molecular weight: Predicted band size: 332 kDa
Isotype: IgG
Immunogen: Synthetic peptide within human Desmoplakin aa 431-480 / 2,871.
Positive control: A431 cell lysate, HeLa cell lysate, BxPC-3 cell lysate, Rat skin tissue lysate, human skin tissue, mouse heart tissue, mouse skin tissue, rat esophagus tissue, rat heart tissue.
Subcellular location: Cell junction, desmosome, Cell membrane.
Recommended Dilutions:
  WB
  IHC-P
  IF-Tissue

1:1,000
1:100-1:1,000
1:50
Uniprot #: SwissProt: P15924 Human | E9Q557 Mouse
Entrez Gene: 306871 Rat
Alternative names: 250/210 kDa paraneoplastic pemphigus antigen Desmoplakin I Desmoplakin II DP I DP II DPI DPII DSP KPPS2 PPKS2
Images
HA722560_1.jpg Fig1: Western blot analysis of Desmoplakin on different lysates with Rabbit anti-Desmoplakin antibody (HA722560) at 1/1,000 dilution.

Lane 1: A431 cell lysate
Lane 2: HeLa cell lysate
Lane 3: BxPC-3 cell lysate
Lane 4: Rat skin tissue lysate

Lysates/proteins at 20 µg/Lane.

Predicted band size: 332 kDa
Observed band size: 332/260 kDa

Exposure time: 3 minutes; ECL: K1801;

3-8% SDS-PAGE gel.

Proteins were transferred to a PVDF membrane and blocked with 5% NFDM/TBST for 1 hour at room temperature. The primary antibody (HA722560) at 1/1,000 dilution was used in 5% NFDM/TBST at 4℃ overnight. Goat Anti-Rabbit IgG - HRP Secondary Antibody (HA1001) at 1/50,000 dilution was used for 1 hour at room temperature.
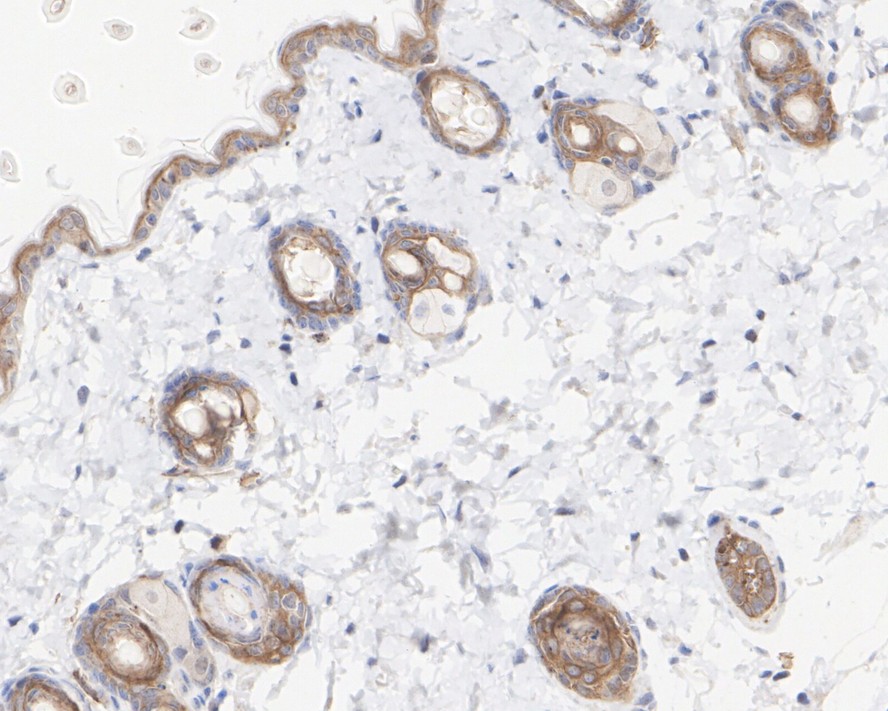
HA722560_2.jpg Fig2: Immunohistochemical analysis of paraffin-embedded human skin tissue with Rabbit anti-Desmoplakin antibody (HA722560) at 1/1,000 dilution.

The section was pre-treated using heat mediated antigen retrieval with Tris-EDTA buffer (pH 9.0) for 20 minutes. The tissues were blocked in 1% BSA for 20 minutes at room temperature, washed with ddH2O and PBS, and then probed with the primary antibody (HA722560) at 1/1,000 dilution for 1 hour at room temperature. The detection was performed using an HRP conjugated compact polymer system. DAB was used as the chromogen. Tissues were counterstained with hematoxylin and mounted with DPX.
HA722560_3.jpg Fig3: Immunohistochemical analysis of paraffin-embedded mouse heart tissue with Rabbit anti-Desmoplakin antibody (HA722560) at 1/1,000 dilution.

The section was pre-treated using heat mediated antigen retrieval with Tris-EDTA buffer (pH 9.0) for 20 minutes. The tissues were blocked in 1% BSA for 20 minutes at room temperature, washed with ddH2O and PBS, and then probed with the primary antibody (HA722560) at 1/1,000 dilution for 1 hour at room temperature. The detection was performed using an HRP conjugated compact polymer system. DAB was used as the chromogen. Tissues were counterstained with hematoxylin and mounted with DPX.
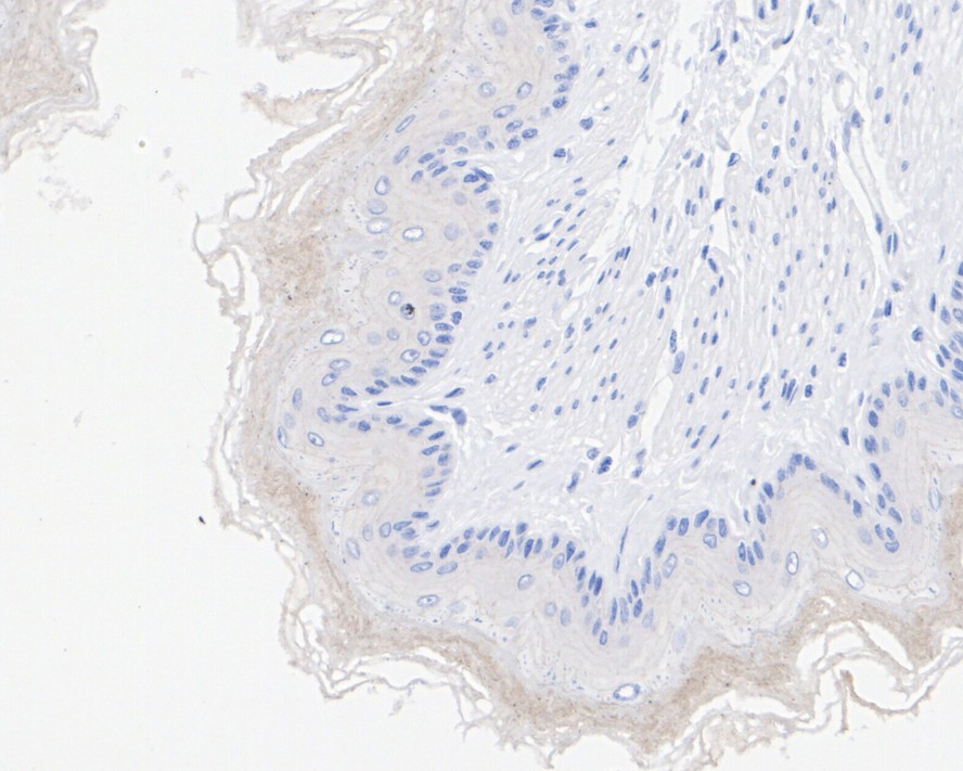
HA722560_4.jpg Fig4: Immunohistochemical analysis of paraffin-embedded mouse skin tissue with Rabbit anti-Desmoplakin antibody (HA722560) at 1/200 dilution.

The section was pre-treated using heat mediated antigen retrieval with Tris-EDTA buffer (pH 9.0) for 20 minutes. The tissues were blocked in 1% BSA for 20 minutes at room temperature, washed with ddH2O and PBS, and then probed with the primary antibody (HA722560) at 1/200 dilution for 1 hour at room temperature. The detection was performed using an HRP conjugated compact polymer system. DAB was used as the chromogen. Tissues were counterstained with hematoxylin and mounted with DPX.
HA722560_5.jpg Fig5: Immunohistochemical analysis of paraffin-embedded rat esophagus tissue with Rabbit anti-Desmoplakin antibody (HA722560) at 1/100 dilution.

The section was pre-treated using heat mediated antigen retrieval with Tris-EDTA buffer (pH 9.0) for 20 minutes. The tissues were blocked in 1% BSA for 20 minutes at room temperature, washed with ddH2O and PBS, and then probed with the primary antibody (HA722560) at 1/100 dilution for 1 hour at room temperature. The detection was performed using an HRP conjugated compact polymer system. DAB was used as the chromogen. Tissues were counterstained with hematoxylin and mounted with DPX.
HA722560_6.jpg Fig6: Immunofluorescence analysis of paraffin-embedded rat heart tissue labeling Desmoplakin with Rabbit anti-Desmoplakin antibody (HA722560) at 1/50 dilution.

The section was pre-treated using heat mediated antigen retrieval with Tris-EDTA buffer (pH 9.0) for 20 minutes. The tissues were blocked in 10% negative goat serum for 1 hour at room temperature, washed with PBS, and then probed with the primary antibody (HA722560, green) at 1/50 dilution overnight at 4 ℃, washed with PBS. Goat Anti-Rabbit IgG H&L (iFluor™ 488, HA1121) was used as the secondary antibody at 1/1,000 dilution. Nuclei were counterstained with DAPI (blue).
Note: All products are “FOR RESEARCH USE ONLY AND ARE NOT INTENDED FOR DIAGNOSTIC OR THERAPEUTIC USE”.