CD1c Recombinant Rabbit Monoclonal Antibody [JE55-00]
cat.: HA722562
Product Type: Recombinant Rabbit monoclonal IgG, primary antibodies
Species reactivity: Human
Applications: WB, IHC-P, mIHC
Clonality: Monoclonal
Clone number: JE55-00
Form: Liquid
Storage condition: Shipped at 4℃. Store at +4℃ short term (1-2 weeks). It is recommended to aliquot into single-use upon delivery. Store at -20℃ long term.
Storage buffer: 1*TBS (pH7.4), 0.05% BSA, 40% Glycerol. Preservative: 0.05% Sodium Azide.
Concentration: 1ug/ul
Purification: Protein A affinity purified.
Molecular weight: Predicted band size: 38 kDa
Isotype: IgG
Immunogen: Synthetic peptide within human CD1c aa 71-120 / 333.
Positive control: Jurkat cell lysates, human tonsil tissue, human spleen tissue.
Subcellular location: Cell membrane, Endosome membrane, Lysosome.
Recommended Dilutions:
  WB
  IHC-P
  mIHC

1:1,000
1:200
1:100
Uniprot #: SwissProt: P29017 Human
Alternative names: BDCA1 CD1 CD1A CD1c CD1c antigen CD1C antigen c polypeptide CD1c molecule CD1C_HUMAN Cortical thymocyte antigen CD1C Differentiation antigen CD1 alpha 3 R7 T cell surface glycoprotein CD1c T-cell surface glycoprotein CD1c
Images
HA722562_1.jpg Fig1: Western blot analysis of CD1c on Jurkat cell lysates with Rabbit anti-CD1c antibody (HA722562) at 1/1,000 dilution.

Lysates/proteins at 20 µg/Lane.

Predicted band size: 38 kDa
Observed band size: 38 kDa

Exposure time: 3 minutes; ECL: K1801;

4-20% SDS-PAGE gel.

Proteins were transferred to a PVDF membrane and blocked with 5% NFDM/TBST for 1 hour at room temperature. The primary antibody (HA722562) at 1/1,000 dilution was used in 5% NFDM/TBST at 4℃ overnight. Goat Anti-Rabbit IgG - HRP Secondary Antibody (HA1001) at 1/50,000 dilution was used for 1 hour at room temperature.
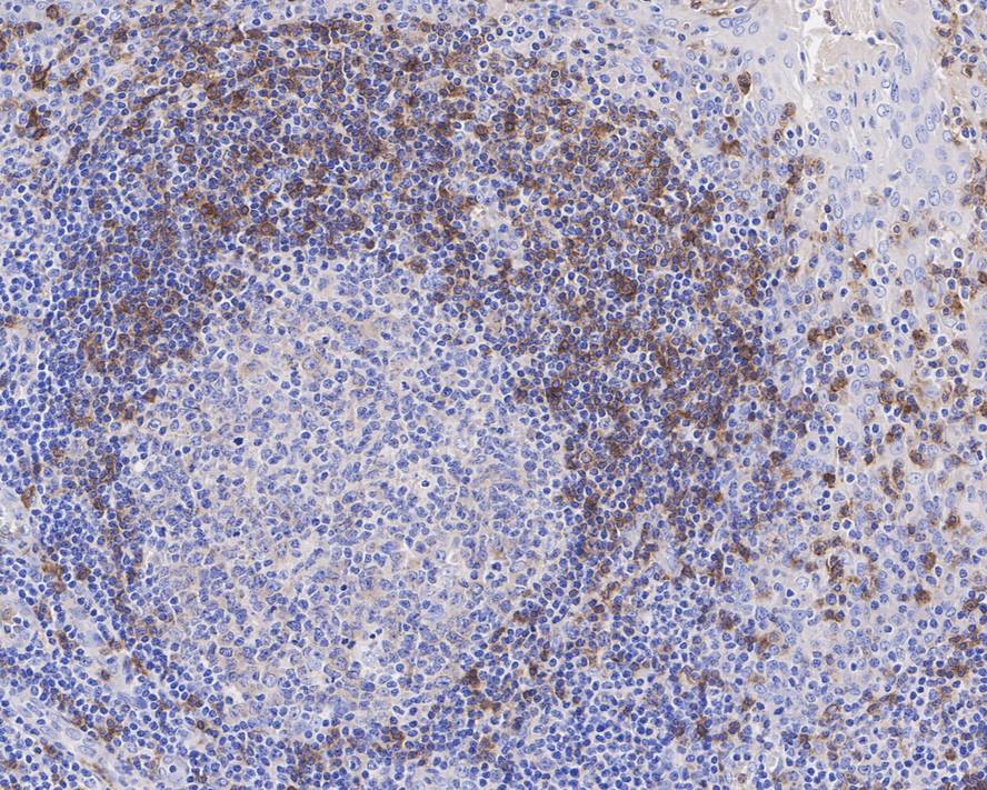
HA722562_2.jpg Fig2: Immunohistochemical analysis of paraffin-embedded human tonsil tissue with Rabbit anti-CD1c antibody (HA722562) at 1/200 dilution.

The section was pre-treated using heat mediated antigen retrieval with Tris-EDTA buffer (pH 9.0) for 20 minutes. The tissues were blocked in 1% BSA for 20 minutes at room temperature, washed with ddH2O and PBS, and then probed with the primary antibody (HA722562) at 1/200 dilution for 1 hour at room temperature. The detection was performed using an HRP conjugated compact polymer system. DAB was used as the chromogen. Tissues were counterstained with hematoxylin and mounted with DPX.
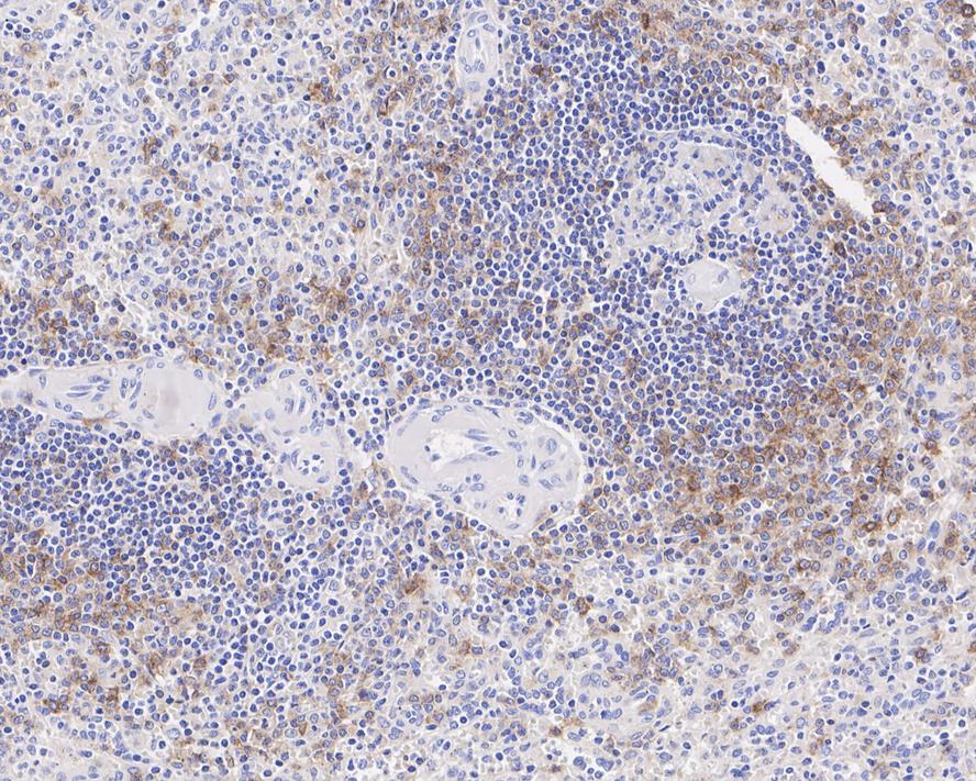
HA722562_3.jpg Fig3: Immunohistochemical analysis of paraffin-embedded human spleen tissue with Rabbit anti-CD1c antibody (HA722562) at 1/200 dilution.

The section was pre-treated using heat mediated antigen retrieval with Tris-EDTA buffer (pH 9.0) for 20 minutes. The tissues were blocked in 1% BSA for 20 minutes at room temperature, washed with ddH2O and PBS, and then probed with the primary antibody (HA722562) at 1/200 dilution for 1 hour at room temperature. The detection was performed using an HRP conjugated compact polymer system. DAB was used as the chromogen. Tissues were counterstained with hematoxylin and mounted with DPX.
Note: All products are “FOR RESEARCH USE ONLY AND ARE NOT INTENDED FOR DIAGNOSTIC OR THERAPEUTIC USE”.