UFM1 Recombinant Rabbit Monoclonal Antibody [JE63-00]
cat.: HA722571
Product Type: Recombinant Rabbit monoclonal IgG, primary antibodies
Species reactivity: Human, Mouse, Rat
Applications: WB, IF-Cell, IHC-P, FC, IP, IF-Tissue
Clonality: Monoclonal
Clone number: JE63-00
Form: Liquid
Storage condition: Shipped at 4℃. Store at +4℃ short term (1-2 weeks). It is recommended to aliquot into single-use upon delivery. Store at -20℃ long term.
Storage buffer: 1*TBS (pH7.4), 0.05% BSA, 40% Glycerol. Preservative: 0.05% Sodium Azide.
Concentration: 1ug/ul
Purification: Protein A affinity purified.
Molecular weight: Predicted band size: 9 kDa
Isotype: IgG
Immunogen: Synthetic peptide within human UFM1 aa 36-85 / 85.
Positive control: SH-SY5Y cell lysate, Mouse kidney tissue lysate, Rat kidney tissue lysate, HepG2, human kidney tissue, mouse kidney tissue, rat kidney tissue.
Subcellular location: Nucleus, Cytoplasm.
Recommended Dilutions:
  WB
  IF-Cell
  IHC-P
  FC
  IP
  IF-Tissue

1:1,000
1:50
1:1,000
1:1,000
1-2μg/sample
1:200
Uniprot #: SwissProt: P61960 Human | P61961 Mouse | Q5BJP3 Rat
Alternative names: BM 002 BM002 C13orf20 Chromosome 13 open reading frame 20 Ubiquitin fold modifier 1 Ubiquitin-fold modifier 1 UFM1 UFM1_HUMAN
Images
HA722571_1.jpg Fig1: Western blot analysis of UFM1 on different lysates with Rabbit anti-UFM1 antibody (HA722571) at 1/1,000 dilution.

Lane 1: SH-SY5Y cell lysate (20 µg/Lane)
Lane 2: Mouse kidney tissue lysate (40 µg/Lane)
Lane 3: Rat kidney tissue lysate (40 µg/Lane)

Predicted band size: 9 kDa
Observed band size: 9 kDa

Exposure time: 1 minute; ECL: K1801;

4-20% SDS-PAGE gel.

Proteins were transferred to a PVDF membrane and blocked with 5% NFDM/TBST for 1 hour at room temperature. The primary antibody (HA722571) at 1/1,000 dilution was used in 5% NFDM/TBST at 4℃ overnight. Goat Anti-Rabbit IgG - HRP Secondary Antibody (HA1001) at 1/50,000 dilution was used for 1 hour at room temperature.
HA722571_2.jpg Fig2: Immunocytochemistry analysis of HepG2 cells labeling UFM1 with Rabbit anti-UFM1 antibody (HA722571) at 1/50 dilution.

Cells were fixed in 4% paraformaldehyde for 20 minutes at room temperature, permeabilized with 0.1% Triton X-100 in PBS for 5 minutes at room temperature, then blocked with 1% BSA in 10% negative goat serum for 1 hour at room temperature. Cells were then incubated with Rabbit anti-UFM1 antibody (HA722571) at 1/50 dilution in 1% BSA in PBST overnight at 4 ℃. Goat Anti-Rabbit IgG H&L (iFluor™ 488, HA1121) was used as the secondary antibody at 1/1,000 dilution. PBS instead of the primary antibody was used as the secondary antibody only control. Nuclear DNA was labelled in blue with DAPI.

Beta tubulin (M1305-2, red) was stained at 1/100 dilution overnight at +4℃. Goat Anti-Mouse IgG H&L (iFluor™ 594, HA1126) was used as the secondary antibody at 1/1,000 dilution.
HA722571_3.jpg Fig3: Immunohistochemical analysis of paraffin-embedded human kidney tissue with Rabbit anti-UFM1 antibody (HA722571) at 1/1,000 dilution.

The section was pre-treated using heat mediated antigen retrieval with sodium citrate buffer (pH 6.0) for 2 minutes. The tissues were blocked in 1% BSA for 20 minutes at room temperature, washed with ddH2O and PBS, and then probed with the primary antibody (HA722571) at 1/1,000 dilution for 1 hour at room temperature. The detection was performed using an HRP conjugated compact polymer system. DAB was used as the chromogen. Tissues were counterstained with hematoxylin and mounted with DPX.
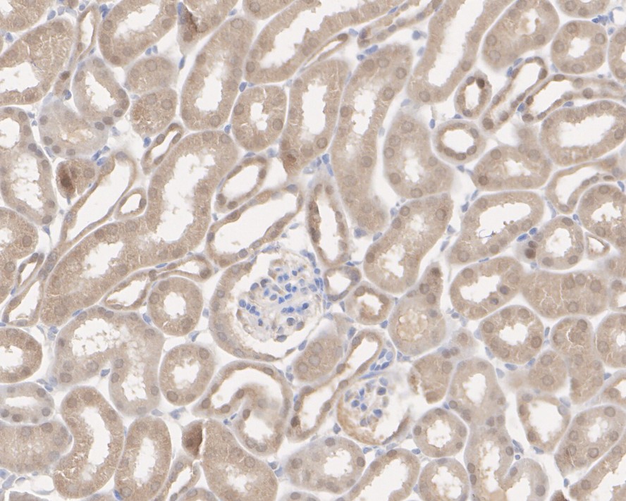
HA722571_4.jpg Fig4: Immunohistochemical analysis of paraffin-embedded mouse kidney tissue with Rabbit anti-UFM1 antibody (HA722571) at 1/1,000 dilution.

The section was pre-treated using heat mediated antigen retrieval with sodium citrate buffer (pH 6.0) for 2 minutes. The tissues were blocked in 1% BSA for 20 minutes at room temperature, washed with ddH2O and PBS, and then probed with the primary antibody (HA722571) at 1/1,000 dilution for 1 hour at room temperature. The detection was performed using an HRP conjugated compact polymer system. DAB was used as the chromogen. Tissues were counterstained with hematoxylin and mounted with DPX.
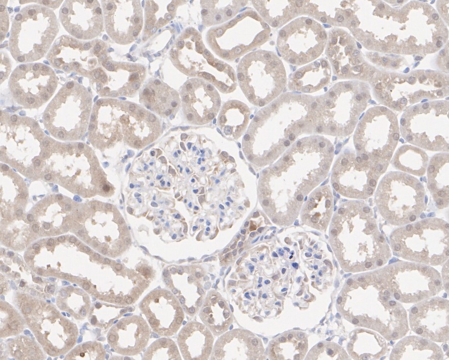
HA722571_5.jpg Fig5: Immunohistochemical analysis of paraffin-embedded rat kidney tissue with Rabbit anti-UFM1 antibody (HA722571) at 1/1,000 dilution.

The section was pre-treated using heat mediated antigen retrieval with sodium citrate buffer (pH 6.0) for 2 minutes. The tissues were blocked in 1% BSA for 20 minutes at room temperature, washed with ddH2O and PBS, and then probed with the primary antibody (HA722571) at 1/1,000 dilution for 1 hour at room temperature. The detection was performed using an HRP conjugated compact polymer system. DAB was used as the chromogen. Tissues were counterstained with hematoxylin and mounted with DPX.
HA722571_6.jpg Fig6: Flow cytometric analysis of HepG2 cells labeling UFM1.

Cells were fixed and permeabilized. Then stained with the primary antibody (HA722571, 1/1,000) (red) compared with Rabbit IgG Isotype Control (green). After incubation of the primary antibody at +4℃ for an hour, the cells were stained with a iFluor™ 488 conjugate-Goat anti-Rabbit IgG Secondary antibody (HA1121) at 1/1,000 dilution for 30 minutes at +4℃. Unlabelled sample was used as a control (cells without incubation with primary antibody; black).
Note: All products are “FOR RESEARCH USE ONLY AND ARE NOT INTENDED FOR DIAGNOSTIC OR THERAPEUTIC USE”.