Phospho-MCM2 (S27) Recombinant Rabbit Monoclonal Antibody [JE63-40]
cat.: HA722574
Product Type: Recombinant Rabbit monoclonal IgG, primary antibodies
Species reactivity: Human, Mouse, Rat
Applications: WB, IF-Cell, IHC-P, IP
Clonality: Monoclonal
Clone number: JE63-40
Form: Liquid
Storage condition: Shipped at 4℃. Store at +4℃ short term (1-2 weeks). It is recommended to aliquot into single-use upon delivery. Store at -20℃ long term.
Storage buffer: 1*TBS (pH7.4), 0.05% BSA, 40% Glycerol. Preservative: 0.05% Sodium Azide.
Concentration: 1ug/ul
Purification: Protein A affinity purified.
Molecular weight: Predicted band size: 102 kDa
Isotype: IgG
Immunogen: Synthetic phospho-peptide corresponding to residues surrounding Ser27 of Human MCM2.
Positive control: HeLa cell lysate, Jurkat cell lysate, NIH/3T3 cell lysate, Mouse thymus tissue lysate, Rat thymus tissue lysate, HeLa, human cervical carcinoma tissue, human lymph node tissue, mouse lymph node tissue, rat lymph node tissue.
Subcellular location: Nucleus.
Recommended Dilutions:
  WB
  IF-Cell
  IHC-P
  IP

1:1,000
1:100
1:1,000-1:3,000
1-2μg/sample
Uniprot #: SwissProt: P49736 Human | P97310 Mouse
Entrez Gene: 312538 Rat
Alternative names: BM28 CCNL 1 CCNL1 CDC like 1 cdc19 CDCL 1 CDCL1 Cell devision cycle like 1 Cyclin like 1 D3S3194 DNA replication licensing factor MCM2 KIAA0030 MCM 2 MCM2 MCM2 minichromosome maintenance deficient 2 mitotin MCM2 minichromosome maintenance deficient 2 mitotin (S. cerevisiae) MCM2 minichromosome maintenance deficient 2, mitotin MCM2_HUMAN MGC10606 Minichromosome maintenance complex component 2 Minichromosome maintenance deficient 2 (mitotin) Minichromosome maintenance deficient 2 mitotin Minichromosome maintenance protein 2 Minichromosome maintenance protein 2 homolog Mitotin Nuclear protein BM28 OTTHUMP00000216047 OTTHUMP00000216050
Images
HA722574_1.jpg Fig1: Western blot analysis of Phospho-MCM2 (S27) on different lysates with Rabbit anti-Phospho-MCM2 (S27) antibody (HA722574) at 1/1,000 dilution and pan MCM2 antibody (HA721553) at 1/1,000 dilution.

Lane 1: HeLa cell lysate (20 µg/Lane)
Lane 2: Jurkat cell lysate (20 µg/Lane)
Lane 3: NIH/3T3 cell lysate (20 µg/Lane)
Lane 4: Mouse thymus tissue lysate (40 µg/Lane)
Lane 5: Rat thymus tissue lysate (40 µg/Lane)
Lane 6: HeLa cell lysate, the membrane treated with λpp for 1 hour (20 µg/Lane)

Predicted band size: 102 kDa
Observed band size: 140 kDa

Exposure time: 17 seconds; ECL: K1801;

4-20% SDS-PAGE gel.

Proteins were transferred to a PVDF membrane and blocked with 5% NFDM/TBST for 1 hour at room temperature. The primary antibody (HA722574) at 1/1,000 dilution and pan MCM2 antibody (HA721553) at 1/1,000 dilution were used in 5% NFDM/TBST at 4℃ overnight. Goat Anti-Rabbit IgG - HRP Secondary Antibody (HA1001) at 1/50,000 dilution was used for 1 hour at room temperature.
HA722574_2.jpg Fig2: Immunocytochemistry analysis of HeLa cells labeling Phospho-MCM2 (S27) with Rabbit anti-Phospho-MCM2 (S27) antibody (HA722574) at 1/100 dilution.

Cells were fixed in 4% paraformaldehyde for 20 minutes at room temperature, permeabilized with 0.1% Triton X-100 in PBS for 5 minutes at room temperature, then blocked with 1% BSA in 10% negative goat serum for 1 hour at room temperature. Cells were then incubated with Rabbit anti-Phospho-MCM2 (S27) antibody (HA722574) at 1/100 dilution in 1% BSA in PBST overnight at 4 ℃. Goat Anti-Rabbit IgG H&L (iFluor™ 488, HA1121) was used as the secondary antibody at 1/1,000 dilution. PBS instead of the primary antibody was used as the secondary antibody only control. Nuclear DNA was labelled in blue with DAPI.

Beta tubulin (M1305-2, red) was stained at 1/100 dilution overnight at +4℃. Goat Anti-Mouse IgG H&L (iFluor™ 594, HA1126) was used as the secondary antibody at 1/1,000 dilution.
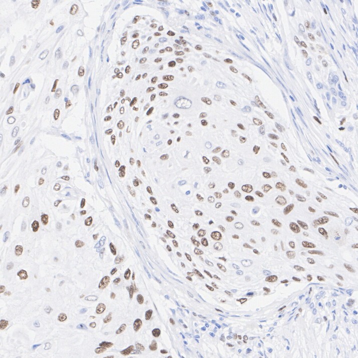
HA722574_3.jpg Fig3: Immunohistochemical analysis of paraffin-embedded human cervical carcinoma tissue with Rabbit anti-Phospho-MCM2 (S27) antibody (HA722574) at 1/1,000 dilution.

The section was pre-treated using heat mediated antigen retrieval with sodium citrate buffer (pH 6.0) for 2 minutes. The tissues were blocked in 1% BSA for 20 minutes at room temperature, washed with ddH2O and PBS, and then probed with the primary antibody (HA722574) at 1/1,000 dilution for 1 hour at room temperature. The detection was performed using an HRP conjugated compact polymer system. DAB was used as the chromogen. Tissues were counterstained with hematoxylin and mounted with DPX.
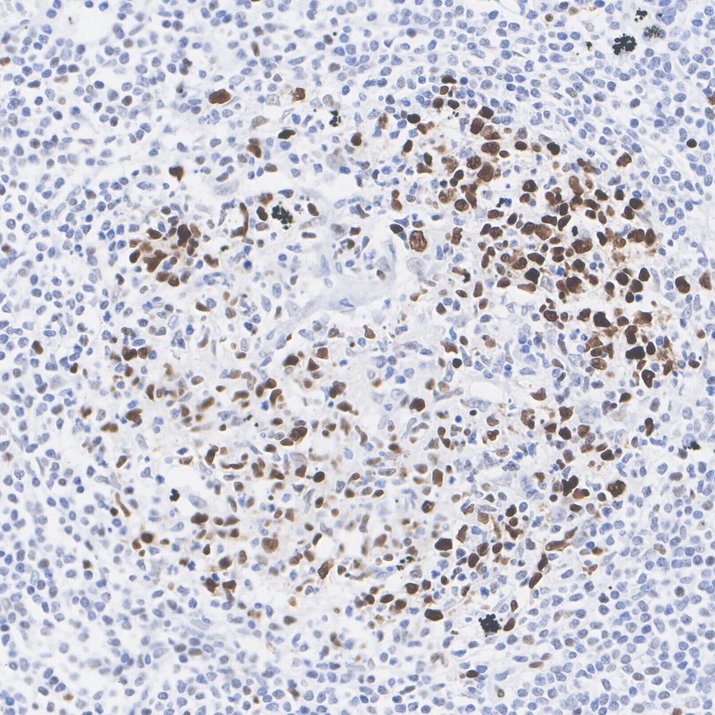
HA722574_4.jpg Fig4: Immunohistochemical analysis of paraffin-embedded human lymph node tissue with Rabbit anti-Phospho-MCM2 (S27) antibody (HA722574) at 1/1,000 dilution.

The section was pre-treated using heat mediated antigen retrieval with sodium citrate buffer (pH 6.0) for 2 minutes. The tissues were blocked in 1% BSA for 20 minutes at room temperature, washed with ddH2O and PBS, and then probed with the primary antibody (HA722574) at 1/1,000 dilution for 1 hour at room temperature. The detection was performed using an HRP conjugated compact polymer system. DAB was used as the chromogen. Tissues were counterstained with hematoxylin and mounted with DPX.
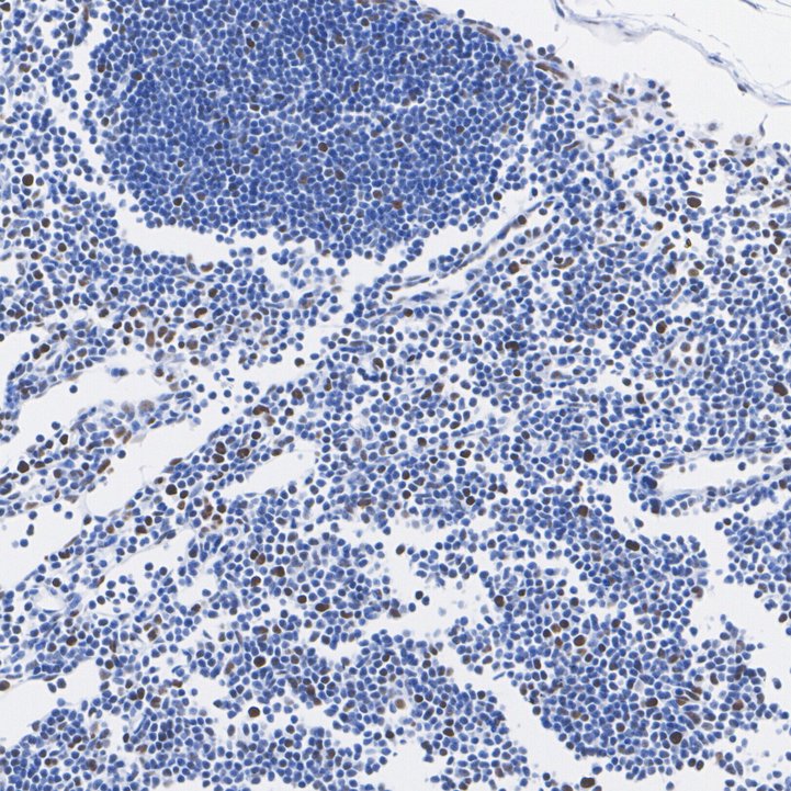
HA722574_5.jpg Fig5: Immunohistochemical analysis of paraffin-embedded mouse lymph node tissue with Rabbit anti-Phospho-MCM2 (S27) antibody (HA722574) at 1/3,000 dilution.

The section was pre-treated using heat mediated antigen retrieval with sodium citrate buffer (pH 6.0) for 2 minutes. The tissues were blocked in 1% BSA for 20 minutes at room temperature, washed with ddH2O and PBS, and then probed with the primary antibody (HA722574) at 1/3,000 dilution for 1 hour at room temperature. The detection was performed using an HRP conjugated compact polymer system. DAB was used as the chromogen. Tissues were counterstained with hematoxylin and mounted with DPX.
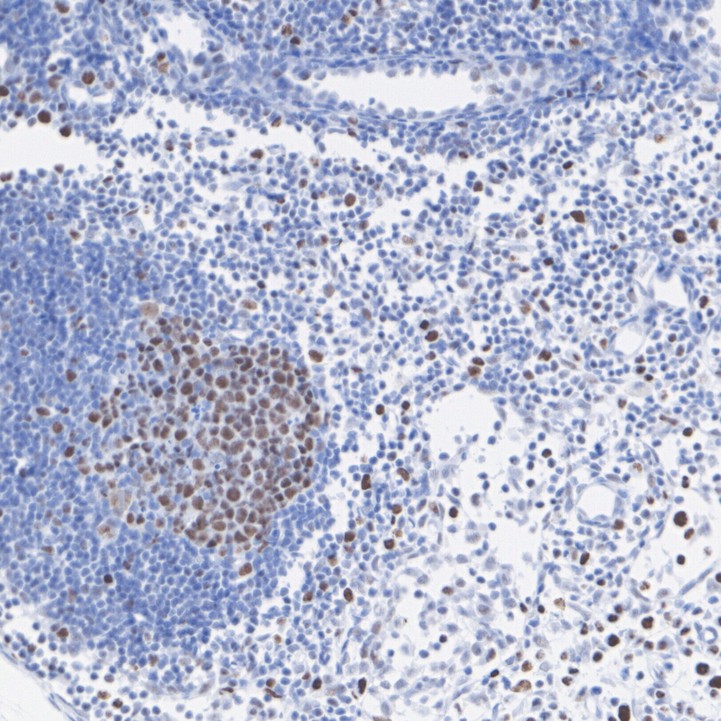
HA722574_6.jpg Fig6: Immunohistochemical analysis of paraffin-embedded rat lymph node tissue with Rabbit anti-Phospho-MCM2 (S27) antibody (HA722574) at 1/3,000 dilution.

The section was pre-treated using heat mediated antigen retrieval with sodium citrate buffer (pH 6.0) for 2 minutes. The tissues were blocked in 1% BSA for 20 minutes at room temperature, washed with ddH2O and PBS, and then probed with the primary antibody (HA722574) at 1/3,000 dilution for 1 hour at room temperature. The detection was performed using an HRP conjugated compact polymer system. DAB was used as the chromogen. Tissues were counterstained with hematoxylin and mounted with DPX.
HA722574_7.jpg Fig7: Phospho-MCM2 (S27) was immunoprecipitated from 0.2 mg HeLa cell lysate with HA722574 at 2 µg/25 µl agarose. Western blot was performed from the immunoprecipitate using HA722574 at 1/1,000 dilution. Anti-Rabbit IgG for IP Nano-secondary antibody (NBI01H) at 1/5,000 dilution was used for 1 hour at room temperature.

Lane 1: HeLa cell lysate (input)
Lane 2: HA722574 IP in HeLa cell lysate
Lane 3: Rabbit IgG instead of HA722574 in HeLa cell lysate

Blocking/Dilution buffer: 5% NFDM/TBST
Exposure time: 20 seconds; ECL: K1801
Note: All products are “FOR RESEARCH USE ONLY AND ARE NOT INTENDED FOR DIAGNOSTIC OR THERAPEUTIC USE”.