SFT Recombinant Rabbit Monoclonal Antibody [JE64-46]
cat.: HA722578
Product Type: Recombinant Rabbit monoclonal IgG, primary antibodies
Species reactivity: Human, Mouse, Rat
Applications: WB, IHC-P, IP
Clonality: Monoclonal
Clone number: JE64-46
Form: Liquid
Storage condition: Shipped at 4℃. Store at +4℃ short term (1-2 weeks). It is recommended to aliquot into single-use upon delivery. Store at -20℃ long term.
Storage buffer: 1*TBS (pH7.4), 0.05% BSA, 40% Glycerol. Preservative: 0.05% Sodium Azide.
Concentration: 1ug/ul
Purification: Protein A affinity purified.
Molecular weight: Predicted band size: 17 kDa
Isotype: IgG
Immunogen: Synthetic peptide within human SFT aa 98-147 / 147.
Positive control: Jurkat cell lysate, K-562 cell lysate, Raji cell lysate, NIH/3T3 cell lysate, PC-12 cell lysate, Mouse kidney tissue lysate, Rat kidney tissue lysate, human kidney tissue, human thyroid gland carcinoma tissue.
Subcellular location: Cytoplasm.
Recommended Dilutions:
  WB
  IHC-P
  IP

1:1,000
1:1,000-1:2,000
1-2μg/sample
Uniprot #: SwissProt: P51668 Human | P61080 Mouse | D3ZDK2 Rat
Alternative names: E2(17)KB1 SFT Stimulator of Fe transport UB2D1_HUMAN UBC 4/5 UBC4/5 UBC4/5 homolog UBC4/5, S. cerevisiae, homolog of UBCH 5 UBCH 5A UbcH5 UBCH5A Ube2d1 Ubiquitin carrier protein Ubiquitin carrier protein D1 Ubiquitin conjugating enzyme E2 17 kDa 1 Ubiquitin conjugating enzyme E2 D1 Ubiquitin conjugating enzyme E2D 1 (UBC4/5 homolog yeast) Ubiquitin conjugating enzyme E2D 1 Ubiquitin conjugating enzyme UBCH5A Ubiquitin protein ligase D1 Ubiquitin-conjugating enzyme E2 D1 Ubiquitin-conjugating enzyme E2(17)KB 1 Ubiquitin-conjugating enzyme E2-17 kDa 1 Ubiquitin-protein ligase D1
Images
HA722578_1.jpg Fig1: Western blot analysis of SFT on different lysates with Rabbit anti-SFT antibody (HA722578) at 1/1,000 dilution.

Lane 1: Jurkat cell lysate
Lane 2: K-562 cell lysate
Lane 3: Raji cell lysate
Lane 4: NIH/3T3 cell lysate
Lane 5: PC-12 cell lysate
Lane 6: Mouse kidney tissue lysate
Lane 7: Rat kidney tissue lysate

Lysates/proteins at 20 µg/Lane.

Predicted band size: 17 kDa
Observed band size: 15 kDa

Exposure time: 10 seconds; ECL: K1801;

4-20% SDS-PAGE gel.

Proteins were transferred to a PVDF membrane and blocked with 5% NFDM/TBST for 1 hour at room temperature. The primary antibody (HA722578) at 1/1,000 dilution was used in 5% NFDM/TBST at 4℃ overnight. Goat Anti-Rabbit IgG - HRP Secondary Antibody (HA1001) at 1/50,000 dilution was used for 1 hour at room temperature.
HA722578_2.jpg Fig2: SFT was immunoprecipitated from 0.2 mg Jurkat cell lysate with HA722578 at 2 µg/25 µl agarose. Western blot was performed from the immunoprecipitate using HA722578 at 1/1,000 dilution. Anti-Rabbit IgG for IP Nano-secondary antibody (NBI01H) at 1/5,000 dilution was used for 1 hour at room temperature.

Lane 1: Jurkat cell lysate (input)
Lane 2: HA722578 IP in Jurkat cell lysate
Lane 3: Rabbit IgG instead of HA722578 in Jurkat cell lysate

Blocking/Dilution buffer: 5% NFDM/TBST
Exposure time: 26 seconds; ECL: K1801
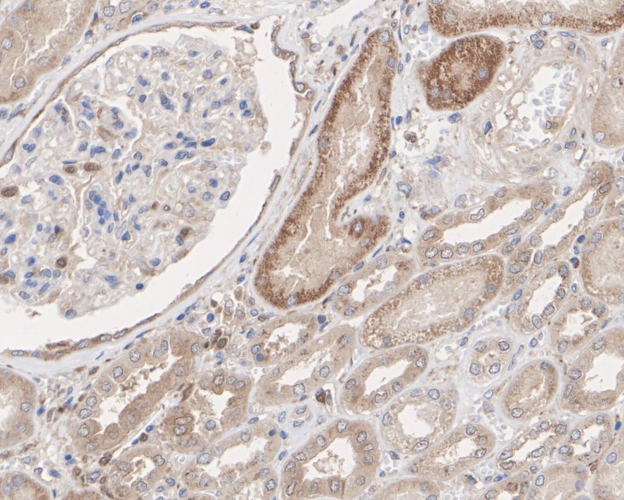
HA722578_3.jpg Fig3: Immunohistochemical analysis of paraffin-embedded human kidney tissue with Rabbit anti-SFT antibody (HA722578) at 1/2,000 dilution.

The section was pre-treated using heat mediated antigen retrieval with Tris-EDTA buffer (pH 9.0) for 20 minutes. The tissues were blocked in 1% BSA for 20 minutes at room temperature, washed with ddH2O and PBS, and then probed with the primary antibody (HA722578) at 1/2,000 dilution for 1 hour at room temperature. The detection was performed using an HRP conjugated compact polymer system. DAB was used as the chromogen. Tissues were counterstained with hematoxylin and mounted with DPX.
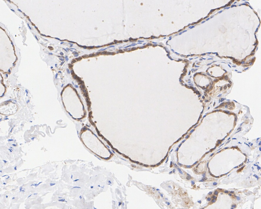
HA722578_4.jpg Fig4: Immunohistochemical analysis of paraffin-embedded human thyroid gland carcinoma tissue with Rabbit anti-SFT antibody (HA722578) at 1/1,000 dilution.

The section was pre-treated using heat mediated antigen retrieval with Tris-EDTA buffer (pH 9.0) for 20 minutes. The tissues were blocked in 1% BSA for 20 minutes at room temperature, washed with ddH2O and PBS, and then probed with the primary antibody (HA722578) at 1/1,000 dilution for 1 hour at room temperature. The detection was performed using an HRP conjugated compact polymer system. DAB was used as the chromogen. Tissues were counterstained with hematoxylin and mounted with DPX.
Note: All products are “FOR RESEARCH USE ONLY AND ARE NOT INTENDED FOR DIAGNOSTIC OR THERAPEUTIC USE”.