SDHC Recombinant Rabbit Monoclonal Antibody [JE77-46]
cat.: HA722584
Product Type: Recombinant Rabbit monoclonal IgG, primary antibodies
Species reactivity: Human, Mouse, Rat
Applications: WB, IHC-P
Clonality: Monoclonal
Clone number: JE77-46
Form: Liquid
Storage condition: Shipped at 4℃. Store at +4℃ short term (1-2 weeks). It is recommended to aliquot into single-use upon delivery. Store at -20℃ long term.
Storage buffer: 1*TBS (pH7.4), 0.05% BSA, 40% Glycerol. Preservative: 0.05% Sodium Azide.
Concentration: 1ug/ul
Purification: Protein A affinity purified.
Molecular weight: Predicted band size: 19 kDa
Isotype: IgG
Immunogen: Synthetic peptide within human SDHC aa 30-65 / 169.
Positive control: HeLa cell lysate, THP-1 cell lysate, 293T cell lysate, Mouse liver tissue lysate, Mouse kidney tissue lysate, Rat liver tissue lysate, Rat kidney tissue lysate, human kidney tissue, mouse kidney tissue, rat kidney tissue.
Subcellular location: Mitochondrion inner membrane.
Recommended Dilutions:
  WB
  IHC-P

1:1,000
1:5,000
Uniprot #: SwissProt: Q99643 Human | Q9CZB0 Mouse
Entrez Gene: 289217 Rat
Alternative names: CYB560 C560_HUMAN CYBL Cytochrome B large subunit of complex II Integral membrane protein CII-3 mitochondrial PGL3 QPs-1 QPs1 SDH3 sdhC succinate dehydrgenase cytochrome b succinate dehydrogenase 3, integral membrane subunit Succinate dehydrogenase complex subunit C Succinate dehydrogenase complex subunit C integral membrane protein 15kDa Succinate dehydrogenase cytochrome b560 subunit Succinate dehydrogenase cytochrome b560 subunit mitochondrial Succinate dehydrogenase cytochrome b560 subunit, mitochondrial precursor Succinate-ubiquinone oxidoreductase cytochrome B large subunit
Images
HA722584_1.jpg Fig1: Western blot analysis of SDHC on different lysates with Rabbit anti-SDHC antibody (HA722584) at 1/1,000 dilution.

Lane 1: HeLa cell lysate
Lane 2: THP-1 cell lysate
Lane 3: 293T cell lysate
Lane 4: Mouse liver tissue lysate
Lane 5: Mouse kidney tissue lysate
Lane 6: Rat liver tissue lysate
Lane 7: Rat kidney tissue lysate

Lysates/proteins at 20 µg/Lane.

Predicted band size: 19 kDa
Observed band size: 15 kDa

Exposure time: 20 seconds; ECL: K1801;

4-20% SDS-PAGE gel.

Proteins were transferred to a PVDF membrane and blocked with 5% NFDM/TBST for 1 hour at room temperature. The primary antibody (HA722584) at 1/1,000 dilution was used in 5% NFDM/TBST at 4℃ overnight. Goat Anti-Rabbit IgG - HRP Secondary Antibody (HA1001) at 1/50,000 dilution was used for 1 hour at room temperature.
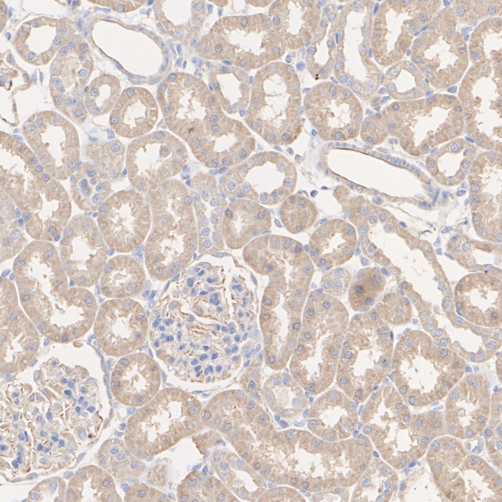
HA722584_2.jpg Fig2: Immunohistochemical analysis of paraffin-embedded human kidney tissue with Rabbit anti-SDHC antibody (HA722584) at 1/5,000 dilution.

The section was pre-treated using heat mediated antigen retrieval with Tris-EDTA buffer (pH 9.0) for 20 minutes. The tissues were blocked in 1% BSA for 20 minutes at room temperature, washed with ddH2O and PBS, and then probed with the primary antibody (HA722584) at 1/5,000 dilution for 1 hour at room temperature. The detection was performed using an HRP conjugated compact polymer system. DAB was used as the chromogen. Tissues were counterstained with hematoxylin and mounted with DPX.
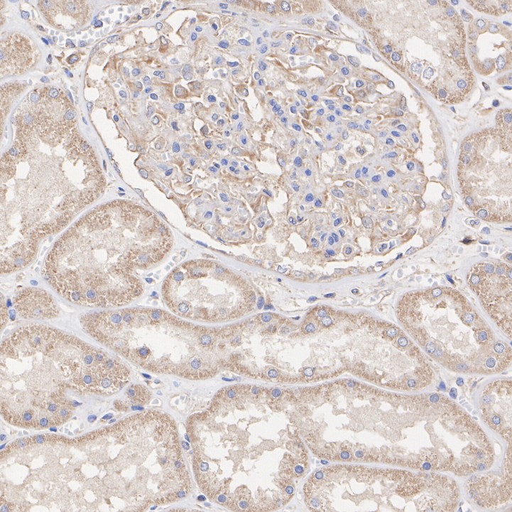
HA722584_3.jpg Fig3: Immunohistochemical analysis of paraffin-embedded mouse kidney tissue with Rabbit anti-SDHC antibody (HA722584) at 1/5,000 dilution.

The section was pre-treated using heat mediated antigen retrieval with Tris-EDTA buffer (pH 9.0) for 20 minutes. The tissues were blocked in 1% BSA for 20 minutes at room temperature, washed with ddH2O and PBS, and then probed with the primary antibody (HA722584) at 1/5,000 dilution for 1 hour at room temperature. The detection was performed using an HRP conjugated compact polymer system. DAB was used as the chromogen. Tissues were counterstained with hematoxylin and mounted with DPX.
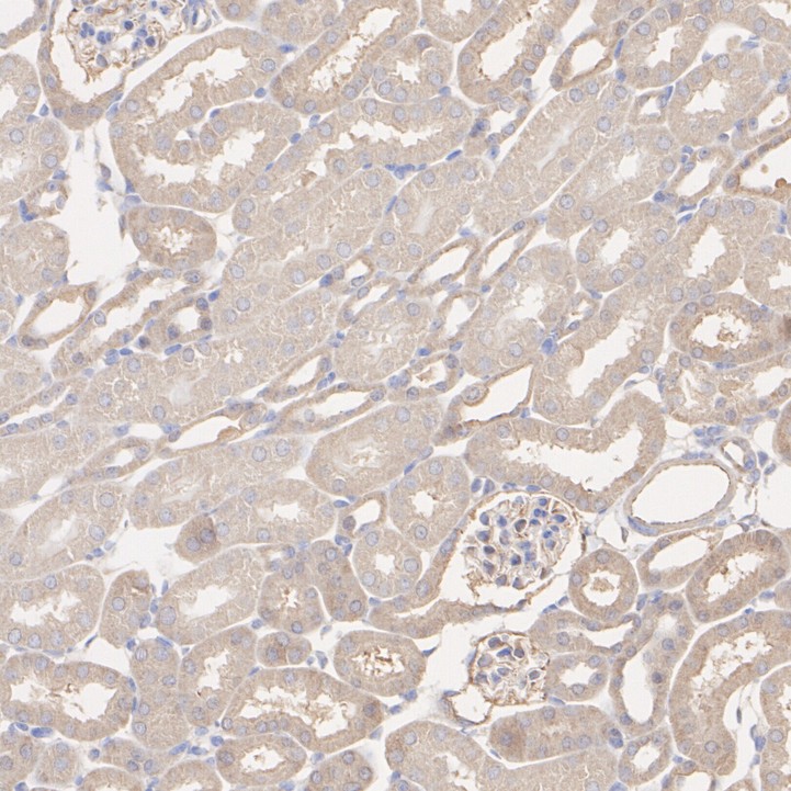
HA722584_4.jpg Fig4: Immunohistochemical analysis of paraffin-embedded rat kidney tissue with Rabbit anti-SDHC antibody (HA722584) at 1/5,000 dilution.

The section was pre-treated using heat mediated antigen retrieval with Tris-EDTA buffer (pH 9.0) for 20 minutes. The tissues were blocked in 1% BSA for 20 minutes at room temperature, washed with ddH2O and PBS, and then probed with the primary antibody (HA722584) at 1/5,000 dilution for 1 hour at room temperature. The detection was performed using an HRP conjugated compact polymer system. DAB was used as the chromogen. Tissues were counterstained with hematoxylin and mounted with DPX.
Note: All products are “FOR RESEARCH USE ONLY AND ARE NOT INTENDED FOR DIAGNOSTIC OR THERAPEUTIC USE”.