GABA B Receptor 1 Recombinant Rabbit Monoclonal Antibody [PSH06-21]
cat.: HA722653
Product Type: Recombinant Rabbit monoclonal IgG, primary antibodies
Species reactivity: Human, Mouse, Rat, Cynomolgus monkey, Pig
Applications: IHC-P, IHC-Fr
Clonality: Monoclonal
Clone number: PSH06-21
Form: Liquid
Storage condition: Shipped at 4℃. Store at +4℃ short term (1-2 weeks). It is recommended to aliquot into single-use upon delivery. Store at -20℃ long term.
Storage buffer: PBS (pH7.4), 0.1% BSA, 40% Glycerol. Preservative: 0.05% Sodium Azide.
Concentration: 1ug/ul
Purification: Protein A affinity purified.
Molecular weight: Predicted band size: 108 kDa
Isotype: IgG
Immunogen: Recombinant protein within human GABA B Receptor 1 aa 142-591 / 961.
Positive control: Human cerebellum tissue, mouse cerebellum tissue, rat cerebellum tissue.
Subcellular location: Cell membrane, Postsynaptic cell membrane, Cell projection, dendrite; Secreted.
Recommended Dilutions:
  IHC-P
  IHC-Fr

1:2,000-1:5,000
1:500
Uniprot #: SwissProt: Q9UBS5 Human | Q9WV18 Mouse | Q9Z0U4 Rat
Alternative names: dJ271M21.1.1 dJ271M21.1.2 FLJ92613 GABA-B receptor 1 GABA-B-R1 GABA-BR1 GABAB R1 GABAB subunit 1c GABABR1 GABBR1 3 GABBR1 GABR1_HUMAN Gamma aminobutyric acid (GABA) B receptor 1 Gamma-aminobutyric acid type B receptor subunit 1 Gb1 GPRC3A Seven transmembrane helix receptor
Images
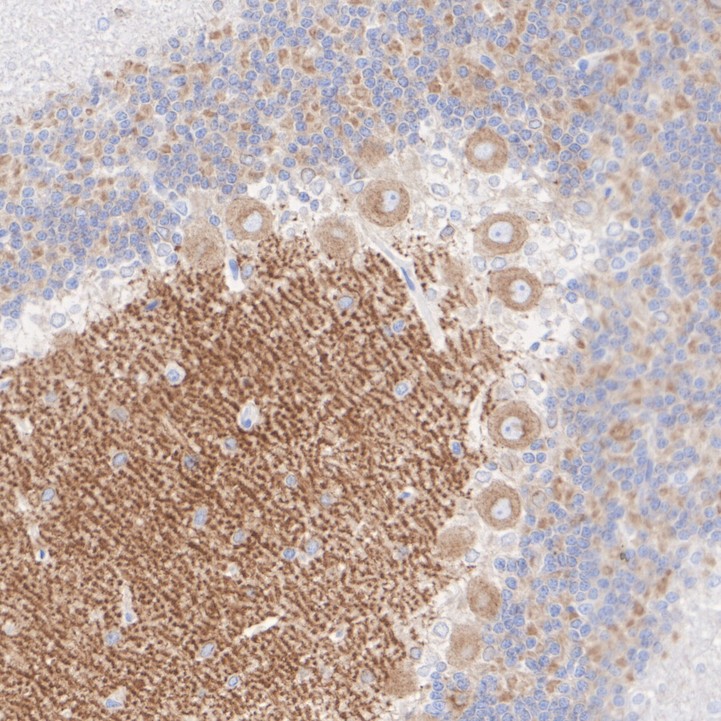
HA722653_1.jpg Fig1: Application: IHC-Fr

Species: Mouse

Site: Cerebellum

Sample: Frozen section

Antibody concentration: 1:500

Antigen retrieval: Not required
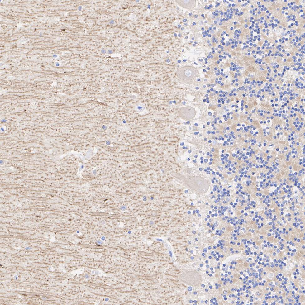
HA722653_2.jpg Fig2: Application: IHC-Fr

Species: Mouse

Site: Cerebellum

Sample: Frozen section

Antibody concentration: 1:500

Antigen retrieval: The section was pre-treated using heat mediated antigen retrieval with sodium citrate buffer (pH 6.0) for about 2 minutes in microwave oven.
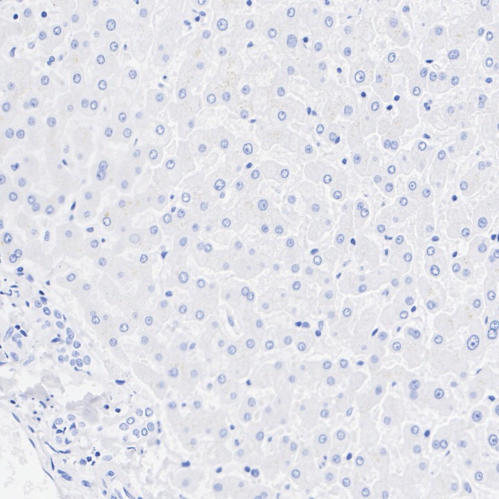
HA722653_3.jpg Fig3: Application: IHC-Fr

Species: Mouse

Site: Liver (Negative)

Sample: Frozen section

Antibody concentration: 1:500

Antigen retrieval: Not required
HA722653_4.jpg Fig4: Immunohistochemical analysis of paraffin-embedded mouse cerebellum tissue with Rabbit anti-GABA B Receptor 1 antibody (HA722653) at 1/5,000 dilution.

The section was pre-treated using heat mediated antigen retrieval with Tris-EDTA buffer (pH 9.0) for 20 minutes. The tissues were blocked in 1% BSA for 20 minutes at room temperature, washed with ddH2O and PBS, and then probed with the primary antibody (HA722653) at 1/5,000 dilution for 1 hour at room temperature. The detection was performed using an HRP conjugated compact polymer system. DAB was used as the chromogen. Tissues were counterstained with hematoxylin and mounted with DPX.
HA722653_5.jpg Fig5: Immunohistochemical analysis of paraffin-embedded rat cerebellum tissue with Rabbit anti-GABA B Receptor 1 antibody (HA722653) at 1/5,000 dilution.

The section was pre-treated using heat mediated antigen retrieval with Tris-EDTA buffer (pH 9.0) for 20 minutes. The tissues were blocked in 1% BSA for 20 minutes at room temperature, washed with ddH2O and PBS, and then probed with the primary antibody (HA722653) at 1/5,000 dilution for 1 hour at room temperature. The detection was performed using an HRP conjugated compact polymer system. DAB was used as the chromogen. Tissues were counterstained with hematoxylin and mounted with DPX.
HA722653_6.jpg Fig6: Immunohistochemical analysis of paraffin-embedded human cerebellum tissue with Rabbit anti-GABA B Receptor 1 antibody (HA722653) at 1/2,000 dilution.

The section was pre-treated using heat mediated antigen retrieval with Tris-EDTA buffer (pH 9.0) for 20 minutes. The tissues were blocked in 1% BSA for 20 minutes at room temperature, washed with ddH2O and PBS, and then probed with the primary antibody (HA722653) at 1/2,000 dilution for 1 hour at room temperature. The detection was performed using an HRP conjugated compact polymer system. DAB was used as the chromogen. Tissues were counterstained with hematoxylin and mounted with DPX.
HA722653_7.jpg Fig7: Immunohistochemical analysis of paraffin-embedded human liver tissue (negative) with Rabbit anti-GABA B Receptor 1 antibody (HA722653) at 1/2,000 dilution.

The section was pre-treated using heat mediated antigen retrieval with Tris-EDTA buffer (pH 9.0) for 20 minutes. The tissues were blocked in 1% BSA for 20 minutes at room temperature, washed with ddH2O and PBS, and then probed with the primary antibody (HA722653) at 1/2,000 dilution for 1 hour at room temperature. The detection was performed using an HRP conjugated compact polymer system. DAB was used as the chromogen. Tissues were counterstained with hematoxylin and mounted with DPX.
HA722653_8.jpg Fig8: Immunohistochemical analysis of paraffin-embedded mouse skeletal muscle tissue (negative) with Rabbit anti-GABA B Receptor 1 antibody (HA722653) at 1/2,000 dilution.

The section was pre-treated using heat mediated antigen retrieval with Tris-EDTA buffer (pH 9.0) for 20 minutes. The tissues were blocked in 1% BSA for 20 minutes at room temperature, washed with ddH2O and PBS, and then probed with the primary antibody (HA722653) at 1/2,000 dilution for 1 hour at room temperature. The detection was performed using an HRP conjugated compact polymer system. DAB was used as the chromogen. Tissues were counterstained with hematoxylin and mounted with DPX.
HA722653_9.jpg Fig9: Immunohistochemical analysis of paraffin-embedded rat skeletal muscle tissue (negative) with Rabbit anti-GABA B Receptor 1 antibody (HA722653) at 1/2,000 dilution.

The section was pre-treated using heat mediated antigen retrieval with Tris-EDTA buffer (pH 9.0) for 20 minutes. The tissues were blocked in 1% BSA for 20 minutes at room temperature, washed with ddH2O and PBS, and then probed with the primary antibody (HA722653) at 1/2,000 dilution for 1 hour at room temperature. The detection was performed using an HRP conjugated compact polymer system. DAB was used as the chromogen. Tissues were counterstained with hematoxylin and mounted with DPX.
Note: All products are “FOR RESEARCH USE ONLY AND ARE NOT INTENDED FOR DIAGNOSTIC OR THERAPEUTIC USE”.