MPG / AAG Recombinant Rabbit Monoclonal Antibody [PSH06-34]
cat.: HA722668
Product Type: Recombinant Rabbit monoclonal IgG, primary antibodies
Species reactivity: Human
Applications: WB, IHC-P, IF-Cell, FC
Clonality: Monoclonal
Clone number: PSH06-34
Form: Liquid
Storage condition: Shipped at 4℃. Store at +4℃ short term (1-2 weeks). It is recommended to aliquot into single-use upon delivery. Store at -20℃ long term.
Storage buffer: PBS (pH7.4), 0.1% BSA, 40% Glycerol. Preservative: 0.05% Sodium Azide.
Concentration: 1ug/ul
Purification: Protein A affinity purified.
Molecular weight: Predicted band size: 33 kDa
Isotype: IgG
Immunogen: Recombinant protein within human MPG / AAG aa 1-298.
Positive control: HeLa cell lysate, HEK-293 cell lysate, Jurkat cell lysate, MCF7 cell lysate, K-562 cell lysate, U-937 cell lysate, LoVo cell lysate, HL-60 cell lysate, Raji cell lysate, HepG2 cell lysate, MCF7-si NT cell lysate, MCF7-si 商品名 cell lysate, human breast tissue, human colon tissue, mouse breast tissue, mouse colon tissue, rat breast tissue, rat colon tissue, K-562.
Subcellular location: Cytoplasm, Mitochondrion matrix, mitochondrion nucleoid, Nucleus.
Recommended Dilutions:
  WB
  IHC-P
  IF-Cell
  FC

1:2,000
1:1,000
1:100
1:1,000
Uniprot #: SwissProt: P29372 Human | Q04841 Mouse | P23571 Rat
Alternative names: 3 alkyladenine DNA glycosylase 3-alkyladenine DNA glycosylase 3-methyladenine DNA glycosidase 3MG_HUMAN AAG ADPG Alkyladenine DNA glycosylase anpg APNG CRA36.1 DNA 3 methyladenine glycosylase DNA-3-methyladenine glycosylase MDG Mid1 Mpg N methylpurine DNA glycosirase N methylpurine DNA glycosylase N-methylpurine-DNA glycosylase PIG11 PIG16 Proliferation inducing protein 11 Proliferation inducing protein 16
Images
HA722668_1.jpg Fig1: Western blot analysis of MPG / AAG on different lysates with Rabbit anti-MPG / AAG antibody (HA722668) at 1/2,000 dilution and competitor's antibody at 1/2,000 dilution.

Lane 1: HeLa cell lysate
Lane 2: HEK-293 cell lysate
Lane 3: Jurkat cell lysate
Lane 4: MCF7 cell lysate
Lane 5: K-562 cell lysate
Lane 6: U-937 cell lysate
Lane 7: LoVo cell lysate
Lane 8: HL-60 cell lysate
Lane 9: Raji cell lysate
Lane 10: HepG2 cell lysate

Lysates/proteins at 20 µg/Lane.

Predicted band size: 33 kDa
Observed band size: 35 kDa

Exposure time: 20 seconds; ECL: K1801;

4-20% SDS-PAGE gel.

Proteins were transferred to a PVDF membrane and blocked with 5% NFDM/TBST for 1 hour at room temperature. The primary antibody (HA722668) at 1/2,000 dilution and competitor's antibody at 1/2,000 dilution were used in 5% NFDM/TBST at 4℃ overnight. Goat Anti-Rabbit IgG - HRP Secondary Antibody (HA1001) at 1/50,000 dilution was used for 1 hour at room temperature.
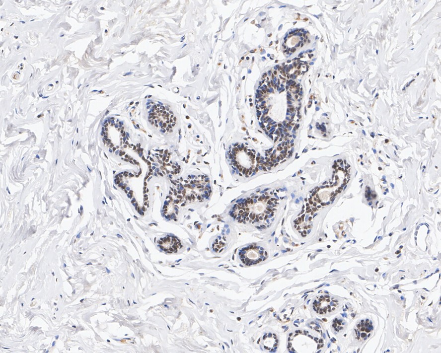
HA722668_2.jpg Fig2: Immunohistochemical analysis of paraffin-embedded human breast tissue with Rabbit anti-MPG / AAG antibody (HA722668) at 1/1,000 dilution.

The section was pre-treated using heat mediated antigen retrieval with sodium citrate buffer (pH 6.0) for 2 minutes. The tissues were blocked in 1% BSA for 20 minutes at room temperature, washed with ddH2O and PBS, and then probed with the primary antibody (HA722668) at 1/1,000 dilution for 1 hour at room temperature. The detection was performed using an HRP conjugated compact polymer system. DAB was used as the chromogen. Tissues were counterstained with hematoxylin and mounted with DPX.
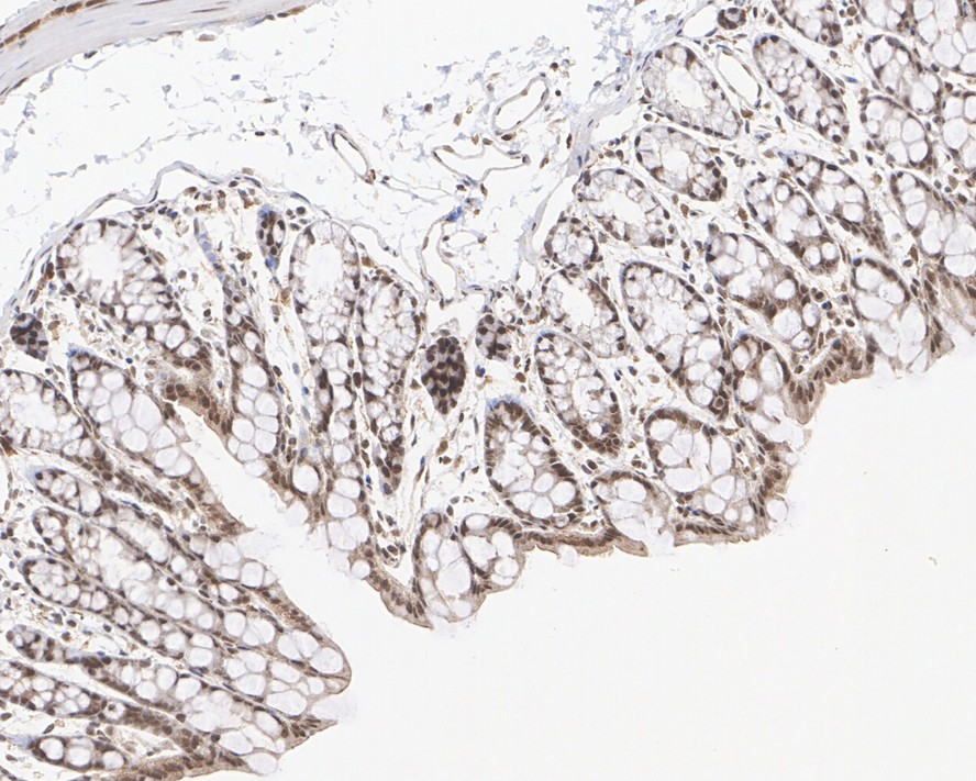
HA722668_3.jpg Fig3: Immunohistochemical analysis of paraffin-embedded human colon tissue with Rabbit anti-MPG / AAG antibody (HA722668) at 1/1,000 dilution.

The section was pre-treated using heat mediated antigen retrieval with sodium citrate buffer (pH 6.0) for 2 minutes. The tissues were blocked in 1% BSA for 20 minutes at room temperature, washed with ddH2O and PBS, and then probed with the primary antibody (HA722668) at 1/1,000 dilution for 1 hour at room temperature. The detection was performed using an HRP conjugated compact polymer system. DAB was used as the chromogen. Tissues were counterstained with hematoxylin and mounted with DPX.
HA722668_4.jpg Fig4: Immunohistochemical analysis of paraffin-embedded mouse breast tissue with Rabbit anti-MPG / AAG antibody (HA722668) at 1/1,000 dilution.

The section was pre-treated using heat mediated antigen retrieval with sodium citrate buffer (pH 6.0) for 2 minutes. The tissues were blocked in 1% BSA for 20 minutes at room temperature, washed with ddH2O and PBS, and then probed with the primary antibody (HA722668) at 1/1,000 dilution for 1 hour at room temperature. The detection was performed using an HRP conjugated compact polymer system. DAB was used as the chromogen. Tissues were counterstained with hematoxylin and mounted with DPX.
HA722668_5.jpg Fig5: Immunohistochemical analysis of paraffin-embedded mouse colon tissue with Rabbit anti-MPG / AAG antibody (HA722668) at 1/1,000 dilution.

The section was pre-treated using heat mediated antigen retrieval with sodium citrate buffer (pH 6.0) for 2 minutes. The tissues were blocked in 1% BSA for 20 minutes at room temperature, washed with ddH2O and PBS, and then probed with the primary antibody (HA722668) at 1/1,000 dilution for 1 hour at room temperature. The detection was performed using an HRP conjugated compact polymer system. DAB was used as the chromogen. Tissues were counterstained with hematoxylin and mounted with DPX.
HA722668_6.jpg Fig6: Immunohistochemical analysis of paraffin-embedded rat breast tissue with Rabbit anti-MPG / AAG antibody (HA722668) at 1/1,000 dilution.

The section was pre-treated using heat mediated antigen retrieval with sodium citrate buffer (pH 6.0) for 2 minutes. The tissues were blocked in 1% BSA for 20 minutes at room temperature, washed with ddH2O and PBS, and then probed with the primary antibody (HA722668) at 1/1,000 dilution for 1 hour at room temperature. The detection was performed using an HRP conjugated compact polymer system. DAB was used as the chromogen. Tissues were counterstained with hematoxylin and mounted with DPX.
HA722668_7.jpg Fig7: Immunohistochemical analysis of paraffin-embedded rat colon tissue with Rabbit anti-MPG / AAG antibody (HA722668) at 1/1,000 dilution.

The section was pre-treated using heat mediated antigen retrieval with sodium citrate buffer (pH 6.0) for 2 minutes. The tissues were blocked in 1% BSA for 20 minutes at room temperature, washed with ddH2O and PBS, and then probed with the primary antibody (HA722668) at 1/1,000 dilution for 1 hour at room temperature. The detection was performed using an HRP conjugated compact polymer system. DAB was used as the chromogen. Tissues were counterstained with hematoxylin and mounted with DPX.
HA722668_8.jpg Fig8: Immunocytochemistry analysis of K-562 cells labeling MPG / AAG with Rabbit anti-MPG / AAG antibody (HA722668) at 1/100 dilution.

Cells were fixed in 4% paraformaldehyde for 20 minutes at room temperature, permeabilized with 0.1% Triton X-100 in PBS for 5 minutes at room temperature, then blocked with 1% BSA in 10% negative goat serum for 1 hour at room temperature. Cells were then incubated with Rabbit anti-MPG / AAG antibody (HA722668) at 1/100 dilution in 1% BSA in PBST overnight at 4 ℃. Goat Anti-Rabbit IgG H&L (iFluor™ 488, HA1121) was used as the secondary antibody at 1/1,000 dilution. PBS instead of the primary antibody was used as the secondary antibody only control. Nuclear DNA was labelled in blue with DAPI.

Beta tubulin (M1305-2, red) was stained at 1/100 dilution overnight at +4℃. Goat Anti-Mouse IgG H&L (iFluor™ 594, HA1126) was used as the secondary antibody at 1/1,000 dilution.
HA722668_9.jpg Fig9: Flow cytometric analysis of K-562 cells labeling MPG / AAG.

Cells were fixed and permeabilized. Then stained with the primary antibody (HA722668, 1/1,000) (red) compared with Rabbit IgG Isotype Control (green). After incubation of the primary antibody at +4℃ for an hour, the cells were stained with a iFluor™ 488 conjugate-Goat anti-Rabbit IgG Secondary antibody (HA1121) at 1/1,000 dilution for 30 minutes at +4℃. Unlabelled sample was used as a control (cells without incubation with primary antibody; black).
HA722668_10.jpg Fig10: Western blot analysis of MPG / AAG on different lysates with Rabbit anti-MPG / AAG antibody (HA722668) at 1/1,000 dilution.

Lane 1: MCF7-si NT cell lysate
Lane 2: MCF7-si MPG / AAG cell lysate

Lysates/proteins at 20 µg/Lane.

Predicted band size: 33 kDa
Observed band size: 35 kDa

Exposure time: 10 seconds; ECL: K1801;

4-20% SDS-PAGE gel.

Proteins were transferred to a PVDF membrane and blocked with 5% NFDM/TBST for 1 hour at room temperature. The primary antibody (HA722668) at 1/1,000 dilution was used in 5% NFDM/TBST at 4℃ overnight. Goat Anti-Rabbit IgG - HRP Secondary Antibody (HA1001) at 1/50,000 dilution was used for 1 hour at room temperature.
Note: All products are “FOR RESEARCH USE ONLY AND ARE NOT INTENDED FOR DIAGNOSTIC OR THERAPEUTIC USE”.