OPA1 Recombinant Rabbit Monoclonal Antibody [PSH06-39]
cat.: HA722673
Product Type: Recombinant Rabbit monoclonal IgG, primary antibodies
Species reactivity: Human, Mouse, Rat
Applications: WB, IHC-P, IF-Cell, FC, IP
Clonality: Monoclonal
Clone number: PSH06-39
Form: Liquid
Storage condition: Shipped at 4℃. Store at +4℃ short term (1-2 weeks). It is recommended to aliquot into single-use upon delivery. Store at -20℃ long term.
Storage buffer: PBS (pH7.4), 0.1% BSA, 40% Glycerol. Preservative: 0.05% Sodium Azide.
Concentration: 1ug/ul
Purification: Protein A affinity purified.
Molecular weight: Predicted band size: 112 kDa
Isotype: IgG
Immunogen: Recombinant protein within human OPA1 aa 201-960.
Positive control: HeLa cell lysate, HeLa treated with 10μM CCCP for 30 minutes cell lysate, MCF7 cell lysate, LNCaP cell lysate, PANC-1 cell lysate, 293T cell lysate, NIH/3T3 cell lysate, C2C12 cell lysate, Neuro-2a cell lysate, PC-12 cell lysate, C6 cell lysate, Mouse brain tissue lysate, Mouse liver tissue lysate, Rat brain tissue lysate, human kidney tissue, human skeletal muscle tissue, mouse brain tissue, mouse skeletal muscle tissue, rat brain tissue, rat retina tissue, HeLa.
Subcellular location: Mitochondrion inner membrane.
Recommended Dilutions:
  WB
  IHC-P
  IF-Cell
  FC
  IP

1:1,000-1:5,000
1:1,000
1:100
1:1,000
1-2μg/sample
Uniprot #: SwissProt: O60313 Human | P58281 Mouse | Q2TA68 Rat
Alternative names: Dynamin like 120 kDa protein Dynamin like 120 kDa protein, mitochondrial Dynamin-like 120 kDa protein, form S1 FLJ12460 Juvenile kjer type optic atrophy KIAA0567 KJER type Large GTP binding protein largeG MGM1 Mitochondrial dynamin like 120 kDa protein Mitochondrial dynamin like GTPase NPG NTG OAK OPA 1 opa1 OPA1 gene OPA1_HUMAN Optic atrophy 1 (autosomal dominant) OPTIC ATROPHY 1 Optic atrophy 1 gene protein Optic atrophy 1 homolog (human) Optic atrophy protein 1 Optic atrophy protein 1 homolog
Images
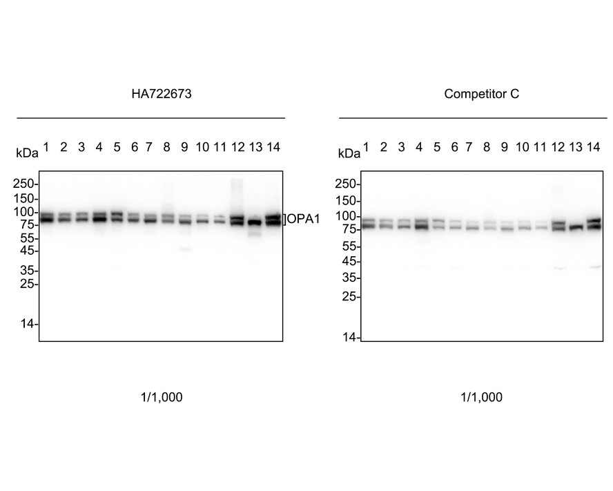
HA722673_1.jpg Fig1: Western blot analysis of OPA1 on different lysates with Rabbit anti-OPA1 antibody (HA722673) at 1/1,000 dilution and competitor's antibody at 1/1,000 dilution.

Lane 1: HeLa cell lysate (20 µg/Lane)
Lane 2: HeLa treated with 10μM CCCP for 30 minutes cell lysate (20 µg/Lane)
Lane 3: MCF7 cell lysate (20 µg/Lane)
Lane 4: LNCaP cell lysate (20 µg/Lane)
Lane 5: PANC-1 cell lysate (20 µg/Lane)
Lane 6: 293T cell lysate (20 µg/Lane)
Lane 7: NIH/3T3 cell lysate (20 µg/Lane)
Lane 8: C2C12 cell lysate (20 µg/Lane)
Lane 9: Neuro-2a cell lysate (20 µg/Lane)
Lane 10: PC-12 cell lysate (20 µg/Lane)
Lane 11: C6 cell lysate (20 µg/Lane)
Lane 12: Mouse brain tissue lysate (40 µg/Lane)
Lane 13: Mouse liver tissue lysate (40 µg/Lane)
Lane 14: Rat brain tissue lysate (40 µg/Lane)

Predicted band size: 112 kDa
Observed band size: 80/100 kDa

Exposure time: 2 seconds; ECL: K1801;

4-20% SDS-PAGE gel.

Proteins were transferred to a PVDF membrane and blocked with 5% NFDM/TBST for 1 hour at room temperature. The primary antibody (HA722673) at 1/1,000 dilution and competitor's antibody at 1/1,000 dilution were used in 5% NFDM/TBST at 4℃ overnight. Goat Anti-Rabbit IgG - HRP Secondary Antibody (HA1001) at 1/50,000 dilution was used for 1 hour at room temperature.
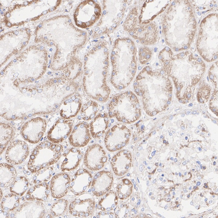
HA722673_2.jpg Fig2: Immunohistochemical analysis of paraffin-embedded human kidney tissue with Rabbit anti-OPA1 antibody (HA722673) at 1/1,000 dilution.

The section was pre-treated using heat mediated antigen retrieval with Tris-EDTA buffer (pH 9.0) for 20 minutes. The tissues were blocked in 1% BSA for 20 minutes at room temperature, washed with ddH2O and PBS, and then probed with the primary antibody (HA722673) at 1/1,000 dilution for 1 hour at room temperature. The detection was performed using an HRP conjugated compact polymer system. DAB was used as the chromogen. Tissues were counterstained with hematoxylin and mounted with DPX.
HA722673_3.jpg Fig3: Immunohistochemical analysis of paraffin-embedded human skeletal muscle tissue with Rabbit anti-OPA1 antibody (HA722673) at 1/1,000 dilution.

The section was pre-treated using heat mediated antigen retrieval with Tris-EDTA buffer (pH 9.0) for 20 minutes. The tissues were blocked in 1% BSA for 20 minutes at room temperature, washed with ddH2O and PBS, and then probed with the primary antibody (HA722673) at 1/1,000 dilution for 1 hour at room temperature. The detection was performed using an HRP conjugated compact polymer system. DAB was used as the chromogen. Tissues were counterstained with hematoxylin and mounted with DPX.
HA722673_4.jpg Fig4: Immunohistochemical analysis of paraffin-embedded mouse brain tissue with Rabbit anti-OPA1 antibody (HA722673) at 1/1,000 dilution.

The section was pre-treated using heat mediated antigen retrieval with Tris-EDTA buffer (pH 9.0) for 20 minutes. The tissues were blocked in 1% BSA for 20 minutes at room temperature, washed with ddH2O and PBS, and then probed with the primary antibody (HA722673) at 1/1,000 dilution for 1 hour at room temperature. The detection was performed using an HRP conjugated compact polymer system. DAB was used as the chromogen. Tissues were counterstained with hematoxylin and mounted with DPX.
HA722673_5.jpg Fig5: Immunohistochemical analysis of paraffin-embedded mouse skeletal muscle tissue with Rabbit anti-OPA1 antibody (HA722673) at 1/1,000 dilution.

The section was pre-treated using heat mediated antigen retrieval with Tris-EDTA buffer (pH 9.0) for 20 minutes. The tissues were blocked in 1% BSA for 20 minutes at room temperature, washed with ddH2O and PBS, and then probed with the primary antibody (HA722673) at 1/1,000 dilution for 1 hour at room temperature. The detection was performed using an HRP conjugated compact polymer system. DAB was used as the chromogen. Tissues were counterstained with hematoxylin and mounted with DPX.
HA722673_6.jpg Fig6: Immunohistochemical analysis of paraffin-embedded rat brain tissue with Rabbit anti-OPA1 antibody (HA722673) at 1/1,000 dilution.

The section was pre-treated using heat mediated antigen retrieval with Tris-EDTA buffer (pH 9.0) for 20 minutes. The tissues were blocked in 1% BSA for 20 minutes at room temperature, washed with ddH2O and PBS, and then probed with the primary antibody (HA722673) at 1/1,000 dilution for 1 hour at room temperature. The detection was performed using an HRP conjugated compact polymer system. DAB was used as the chromogen. Tissues were counterstained with hematoxylin and mounted with DPX.
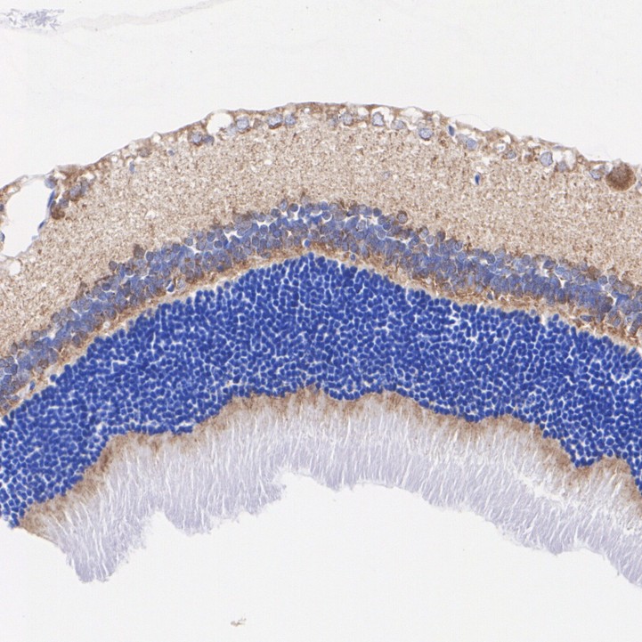
HA722673_7.jpg Fig7: Immunohistochemical analysis of paraffin-embedded rat retina tissue with Rabbit anti-OPA1 antibody (HA722673) at 1/1,000 dilution.

The section was pre-treated using heat mediated antigen retrieval with Tris-EDTA buffer (pH 9.0) for 20 minutes. The tissues were blocked in 1% BSA for 20 minutes at room temperature, washed with ddH2O and PBS, and then probed with the primary antibody (HA722673) at 1/1,000 dilution for 1 hour at room temperature. The detection was performed using an HRP conjugated compact polymer system. DAB was used as the chromogen. Tissues were counterstained with hematoxylin and mounted with DPX.
HA722673_8.jpg Fig8: Immunocytochemistry analysis of HeLa cells labeling OPA1 with Rabbit anti-OPA1 antibody (HA722673) at 1/100 dilution.

Cells were fixed in 4% paraformaldehyde for 20 minutes at room temperature, permeabilized with 0.1% Triton X-100 in PBS for 5 minutes at room temperature, then blocked with 1% BSA in 10% negative goat serum for 1 hour at room temperature. Cells were then incubated with Rabbit anti-OPA1 antibody (HA722673) at 1/100 dilution in 1% BSA in PBST overnight at 4 ℃. Goat Anti-Rabbit IgG H&L (iFluor™ 488, HA1121) was used as the secondary antibody at 1/1,000 dilution. PBS instead of the primary antibody was used as the secondary antibody only control. Nuclear DNA was labelled in blue with DAPI.

Beta tubulin (M1305-2, red) was stained at 1/100 dilution overnight at +4℃. Goat Anti-Mouse IgG H&L (iFluor™ 594, HA1126) was used as the secondary antibody at 1/1,000 dilution.
HA722673_9.jpg Fig9: Flow cytometric analysis of HeLa cells labeling OPA1.

Cells were fixed and permeabilized. Then stained with the primary antibody (HA722673, 1/1,000) (red) compared with Rabbit IgG Isotype Control (green). After incubation of the primary antibody at +4℃ for an hour, the cells were stained with a iFluor™ 488 conjugate-Goat anti-Rabbit IgG Secondary antibody (HA1121) at 1/1,000 dilution for 30 minutes at +4℃. Unlabelled sample was used as a control (cells without incubation with primary antibody; black).
HA722673_10.jpg Fig10: OPA1 was immunoprecipitated from 0.2 mg HeLa cell lysate with HA722673 at 2 µg/25 µl agarose. Western blot was performed from the immunoprecipitate using HA722673 at 1/1,000 dilution. Anti-Rabbit IgG for IP Nano-secondary antibody (NBI01H) at 1/5,000 dilution was used for 1 hour at room temperature.

Lane 1: HeLa cell lysate (input)
Lane 2: HA722673 IP in HeLa cell lysate
Lane 3: Rabbit IgG instead of HA722673 in HeLa cell lysate

Blocking/Dilution buffer: 5% NFDM/TBST
Exposure time: 10 seconds; ECL: K1801
Note: All products are “FOR RESEARCH USE ONLY AND ARE NOT INTENDED FOR DIAGNOSTIC OR THERAPEUTIC USE”.