VTI1B Recombinant Rabbit Monoclonal Antibody [PSH06-40]
cat.: HA722675
Product Type: Recombinant Rabbit monoclonal IgG, primary antibodies
Species reactivity: Human, Mouse, Rat
Applications: WB, IF-Cell, IHC-P, FC
Clonality: Monoclonal
Clone number: PSH06-40
Form: Liquid
Storage condition: Shipped at 4℃. Store at +4℃ short term (1-2 weeks). It is recommended to aliquot into single-use upon delivery. Store at -20℃ long term.
Storage buffer: PBS (pH7.4), 0.1% BSA, 40% Glycerol. Preservative: 0.05% Sodium Azide.
Concentration: 1ug/ul
Purification: Protein A affinity purified.
Molecular weight: Predicted band size: 27 kDa
Isotype: IgG
Immunogen: Recombinant protein within human VTI1B aa 1-232.
Positive control: HeLa cell lysate, MCF7 cell lysate, U-2 OS cell lysate, U-87 MG cell lysate, SH-SY5Y cell lysate, C2C12 cell lysate, PC-12 cell lysate, C6 cell lysate, Rat brain tissue lysate, Rat kidney tissue lysate, PC-12, human brain tissue, human kidney tissue, rat brain tissue.
Subcellular location: Early endosome membrane, Late endosome membrane, Lysosome membrane, Cytoplasmic granule, Recycling endosome membrane.
Recommended Dilutions:
  WB
  IF-Cell
  IHC-P
  FC

1:1,000
1:100
1:2,000
1:1,000
Uniprot #: SwissProt: Q9UEU0 Human | O88384 Mouse | P58200 Rat
Alternative names: HGNC:17793 V SNARE v-SNARE Vesicle associated soluble NSF attachment protein receptor Vesicle transport through interaction with t SNAREs 1B Vesicle transport through interaction with t SNAREs homolog 1B (yeast) Vesicle transport through interaction with t-SNAREs homolog 1B Vesicle transport v-SNARE protein Vti1-like 1 VTI1 VTI1 like Vti1 rp1 VTI1-LIKE Vti1-rp1 VTI1B VTI1B_HUMAN VTI1L VTI1L1 VTI2
Images
HA722675_1.jpg Fig1: Western blot analysis of VTI1B on different lysates with Rabbit anti-VTI1B antibody (HA722675) at 1/1,000 dilution.

Lane 1: HeLa cell lysate (20 µg/Lane)
Lane 2: MCF7 cell lysate (20 µg/Lane)
Lane 3: U-2 OS cell lysate (20 µg/Lane)
Lane 4: U-87 MG cell lysate (20 µg/Lane)
Lane 5: SH-SY5Y cell lysate (20 µg/Lane)
Lane 6: C2C12 cell lysate (20 µg/Lane)
Lane 7: PC-12 cell lysate (20 µg/Lane)
Lane 8: C6 cell lysate (20 µg/Lane)
Lane 9: Rat brain tissue lysate (40 µg/Lane)
Lane 10: Rat kidney tissue lysate (40 µg/Lane)

Predicted band size: 27 kDa
Observed band size: 27 kDa

Exposure time: 3 minutes; ECL: K1801;

4-20% SDS-PAGE gel.

Proteins were transferred to a PVDF membrane and blocked with 5% NFDM/TBST for 1 hour at room temperature. The primary antibody (HA722675) at 1/1,000 dilution was used in 5% NFDM/TBST at 4℃ overnight. Goat Anti-Rabbit IgG - HRP Secondary Antibody (HA1001) at 1/50,000 dilution was used for 1 hour at room temperature.
HA722675_2.jpg Fig2: Immunocytochemistry analysis of PC-12 cells labeling VTI1B with Rabbit anti-VTI1B antibody (HA722675) at 1/100 dilution.

Cells were fixed in 4% paraformaldehyde for 20 minutes at room temperature, permeabilized with 0.1% Triton X-100 in PBS for 5 minutes at room temperature, then blocked with 1% BSA in 10% negative goat serum for 1 hour at room temperature. Cells were then incubated with Rabbit anti-VTI1B antibody (HA722675) at 1/100 dilution in 1% BSA in PBST overnight at 4 ℃. Goat Anti-Rabbit IgG H&L (iFluor™ 488, HA1121) was used as the secondary antibody at 1/1,000 dilution. PBS instead of the primary antibody was used as the secondary antibody only control. Nuclear DNA was labelled in blue with DAPI.

Beta tubulin (M1305-2, red) was stained at 1/100 dilution overnight at +4℃. Goat Anti-Mouse IgG H&L (iFluor™ 594, HA1126) was used as the secondary antibody at 1/1,000 dilution.
HA722675_3.jpg Fig3: Immunohistochemical analysis of paraffin-embedded human brain tissue with Rabbit anti-VTI1B antibody (HA722675) at 1/2,000 dilution.

The section was pre-treated using heat mediated antigen retrieval with Tris-EDTA buffer (pH 9.0) for 20 minutes. The tissues were blocked in 1% BSA for 20 minutes at room temperature, washed with ddH2O and PBS, and then probed with the primary antibody (HA722675) at 1/2,000 dilution for 1 hour at room temperature. The detection was performed using an HRP conjugated compact polymer system. DAB was used as the chromogen. Tissues were counterstained with hematoxylin and mounted with DPX.
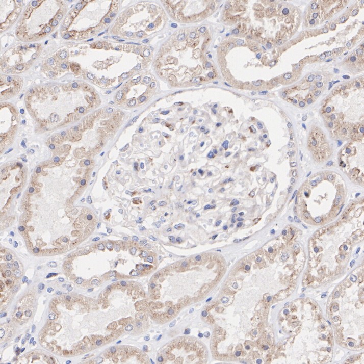
HA722675_4.jpg Fig4: Immunohistochemical analysis of paraffin-embedded human kidney tissue with Rabbit anti-VTI1B antibody (HA722675) at 1/2,000 dilution.

The section was pre-treated using heat mediated antigen retrieval with Tris-EDTA buffer (pH 9.0) for 20 minutes. The tissues were blocked in 1% BSA for 20 minutes at room temperature, washed with ddH2O and PBS, and then probed with the primary antibody (HA722675) at 1/2,000 dilution for 1 hour at room temperature. The detection was performed using an HRP conjugated compact polymer system. DAB was used as the chromogen. Tissues were counterstained with hematoxylin and mounted with DPX.
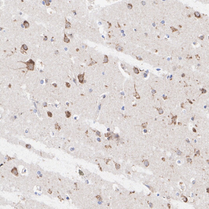
HA722675_5.jpg Fig5: Immunohistochemical analysis of paraffin-embedded rat brain tissue with Rabbit anti-VTI1B antibody (HA722675) at 1/2,000 dilution.

The section was pre-treated using heat mediated antigen retrieval with Tris-EDTA buffer (pH 9.0) for 20 minutes. The tissues were blocked in 1% BSA for 20 minutes at room temperature, washed with ddH2O and PBS, and then probed with the primary antibody (HA722675) at 1/2,000 dilution for 1 hour at room temperature. The detection was performed using an HRP conjugated compact polymer system. DAB was used as the chromogen. Tissues were counterstained with hematoxylin and mounted with DPX.
HA722675_6.jpg Fig6: Flow cytometric analysis of PC-12 cells labeling VTI1B.

Cells were fixed and permeabilized. Then stained with the primary antibody (HA722675, 1/1,000) (red) compared with Rabbit IgG Isotype Control (green). After incubation of the primary antibody at +4℃ for an hour, the cells were stained with a iFluor™ 488 conjugate-Goat anti-Rabbit IgG Secondary antibody (HA1121) at 1/1,000 dilution for 30 minutes at +4℃. Unlabelled sample was used as a control (cells without incubation with primary antibody; black).
Note: All products are “FOR RESEARCH USE ONLY AND ARE NOT INTENDED FOR DIAGNOSTIC OR THERAPEUTIC USE”.