p21 Recombinant Rabbit Monoclonal Antibody [JE00-63]
cat.: HA722685
Product Type: Recombinant Rabbit monoclonal IgG, primary antibodies
Species reactivity: Human
Applications: WB, IF-Cell, IHC-P, IP
Clonality: Monoclonal
Clone number: JE00-63
Form: Liquid
Storage condition: Shipped at 4℃. Store at +4℃ short term (1-2 weeks). It is recommended to aliquot into single-use upon delivery. Store at -20℃ long term.
Storage buffer: 1*TBS (pH7.4), 0.05% BSA, 40% Glycerol. Preservative: 0.05% Sodium Azide.
Concentration: 1ug/ul
Purification: Protein A affinity purified.
Molecular weight: Predicted band size: 18 kDa
Isotype: IgG
Immunogen: Synthetic peptide within human p21 aa 51-100 / 164.
Positive control: HeLa cell lysate, HUVEC cell lysate, MCF7 cell lysate, HCT 116 cell lysate, A549 cell lysate, LNCaP cell lysate, 293T cell lysate, MCF7, human breast cancer tissue, human cervical cancer tissue.
Subcellular location: Cytoplasm, Nucleus.
Recommended Dilutions:
  WB
  IF-Cell
  IHC-P
  IP

1:1,000
1:100
1:50
1-2μg/sample
Uniprot #: SwissProt: P38936 Human
Alternative names: CAP20 CDK-interacting protein 1 CDKI CDKN1 Cdkn1a CDN1A_HUMAN CIP1 Cyclin Dependent Kinase Inhibitor 1A Cyclin-dependent kinase inhibitor 1 Cyclin-dependent kinase inhibitor 1A (P21) Cyclin-dependent kinase inhibitor 1A (p21, Cip1) DNA Synthesis Inhibitor MDA-6 MDA6 Melanoma differentiation-associated protein 6 Melanoma differentiation-associated protein p21 P21 protein p21CIP1 p21Cip1/Waf1 p21WAF PIC1 SDI1 SLC12A9 WAF1 Wild type p53 activated fragment 1 (WAF1) Wild type p53 activated fragment 1 Wildtype p53-activated fragment 1
Images
HA722685_1.jpg Fig1: Western blot analysis of p21 on different lysates with Rabbit anti-p21 antibody (HA722685) at 1/1,000 dilution.

Lane 1: HeLa cell lysate
Lane 2: HUVEC cell lysate
Lane 3: MCF7 cell lysate
Lane 4: HCT 116 cell lysate
Lane 5: A549 cell lysate
Lane 6: LNCaP cell lysate
Lane 7: 293T cell lysate

Lysates/proteins at 20 µg/Lane.

Predicted band size: 18 kDa
Observed band size: 21 kDa

Exposure time: 3 minutes; ECL: K1801;

4-20% SDS-PAGE gel.

Proteins were transferred to a PVDF membrane and blocked with 5% NFDM/TBST for 1 hour at room temperature. The primary antibody (HA722685) at 1/1,000 dilution was used in 5% NFDM/TBST at 4℃ overnight. Goat Anti-Rabbit IgG - HRP Secondary Antibody (HA1001) at 1/50,000 dilution was used for 1 hour at room temperature.
HA722685_2.jpg Fig2: Immunocytochemistry analysis of MCF7 cells labeling p21 with Rabbit anti-p21 antibody (HA722685) at 1/100 dilution.

Cells were fixed in 4% paraformaldehyde for 20 minutes at room temperature, permeabilized with 0.1% Triton X-100 in PBS for 5 minutes at room temperature, then blocked with 1% BSA in 10% negative goat serum for 1 hour at room temperature. Cells were then incubated with Rabbit anti-p21 antibody (HA722685) at 1/100 dilution in 1% BSA in PBST overnight at 4 ℃. Goat Anti-Rabbit IgG H&L (iFluor™ 488, HA1121) was used as the secondary antibody at 1/1,000 dilution. PBS instead of the primary antibody was used as the secondary antibody only control. Nuclear DNA was labelled in blue with DAPI.

Beta tubulin (M1305-2, red) was stained at 1/100 dilution overnight at +4℃. Goat Anti-Mouse IgG H&L (iFluor™ 594, HA1126) was used as the secondary antibody at 1/1,000 dilution.
HA722685_3.jpg Fig3: Immunohistochemical analysis of paraffin-embedded human breast cancer tissue with Rabbit anti-p21 antibody (HA722685) at 1/50 dilution.

The section was pre-treated using heat mediated antigen retrieval with sodium citrate buffer (pH 6.0) (high pressure) for 2 minutes. The tissues were blocked in 1% BSA for 20 minutes at room temperature, washed with ddH2O and PBS, and then probed with the primary antibody (HA722685) at 1/50 dilution for 1 hour at room temperature. The detection was performed using an HRP conjugated compact polymer system. DAB was used as the chromogen. Tissues were counterstained with hematoxylin and mounted with DPX.
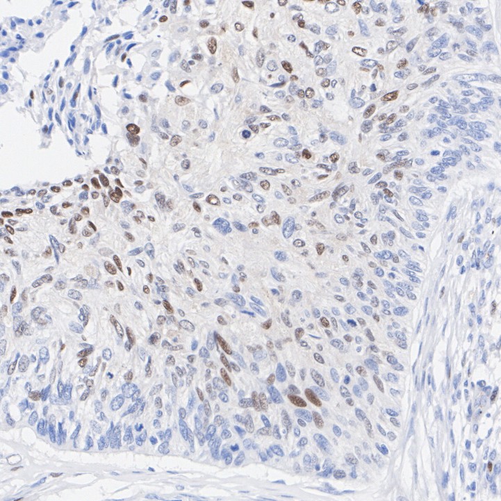
HA722685_4.jpg Fig4: Immunohistochemical analysis of paraffin-embedded human cervical cancer tissue with Rabbit anti-p21 antibody (HA722685) at 1/50 dilution.

The section was pre-treated using heat mediated antigen retrieval with sodium citrate buffer (pH 6.0) (high pressure) for 2 minutes. The tissues were blocked in 1% BSA for 20 minutes at room temperature, washed with ddH2O and PBS, and then probed with the primary antibody (HA722685) at 1/50 dilution for 1 hour at room temperature. The detection was performed using an HRP conjugated compact polymer system. DAB was used as the chromogen. Tissues were counterstained with hematoxylin and mounted with DPX.
HA722685_5.jpg Fig5: p21 was immunoprecipitated from 0.2 mg MCF7 cell lysate with HA722685 at 2 µg/10 µl beads. Western blot was performed from the immunoprecipitate using HA722685 at 1/1,000 dilution. Anti-Rabbit IgG for IP Nano-secondary antibody (NBI01H) at 1/5,000 dilution was used for 1 hour at room temperature.

Lane 1: MCF7 cell lysate (input)
Lane 2: HA722685 IP in MCF7 cell lysate
Lane 3: Rabbit IgG instead of HA722685 in MCF7 cell lysate

Blocking/Dilution buffer: 5% NFDM/TBST
Exposure time: 1 minute 31 seconds; ECL: K1801
Note: All products are “FOR RESEARCH USE ONLY AND ARE NOT INTENDED FOR DIAGNOSTIC OR THERAPEUTIC USE”.