Hsp90 Recombinant Rabbit Monoclonal Antibody [JE05-06]
cat.: HA722689
Product Type: Recombinant Rabbit monoclonal IgG, primary antibodies
Species reactivity: Human, Mouse, Rat, Monkey
Applications: WB, IF-Cell, IHC-P, FC, IP
Clonality: Monoclonal
Clone number: JE05-06
Form: Liquid
Storage condition: Shipped at 4℃. Store at +4℃ short term (1-2 weeks). It is recommended to aliquot into single-use upon delivery. Store at -20℃ long term.
Storage buffer: 1*TBS (pH7.4), 0.05% BSA, 40% Glycerol. Preservative: 0.05% Sodium Azide.
Concentration: 1ug/ul
Purification: Protein A affinity purified.
Molecular weight: Predicted band size: 85 kDa
Isotype: IgG
Immunogen: Recombinant protein within human Hsp90 beta aa 501-724 / 724.
Positive control: HeLa cell lysate, A549 cell lysate, NIH/3T3 cell lysate, C6 cell lysate, COS-1 cell lysate, Mouse testis tissue lysate, Rat testis tissue lysate, NIH/3T3, COS-1, human testis tissue, mouse testis tissue, rat testis tissue, HeLa.
Subcellular location: Nucleus, Cytoplasm, Melanosome, Cell membrane, Mitochondrion.
Recommended Dilutions:
  WB
  IF-Cell
  IHC-P
  FC
  IP

1:10,000
1:100
1:1,000
1:1,000
1-2μg/sample
Uniprot #: SwissProt: P07900 Human | P08238 Human | P07901 Mouse | P11499 Mouse | P34058 Rat | P82995 Rat
Alternative names: Heat shock 86 kDa Heat shock protein 90kDa alpha cytosolic class A member 1 Heat shock protein 90kDa alpha cytosolic class B member 1 Heat shock protein HSP 90 alpha Heat shock protein HSP 90 beta Heat shock protein HSP 90-alpha HS90A_HUMAN HSP 84 HSP 86 Hsp 90 HSP86 HSP90A HSP90AA1 HSP90AB1 HSP90B HSPC1 HSPC2 HSPCAL1 HSPCAL4 Renal carcinoma antigen NY-REN-38
Images
HA722689_1.jpg Fig1: Western blot analysis of Hsp90 on different lysates with Rabbit anti-Hsp90 antibody (HA722689) at 1/10,000 dilution.

Lane 1: HeLa cell lysate (20 µg/Lane)
Lane 2: A549 cell lysate (20 µg/Lane)
Lane 3: NIH/3T3 cell lysate (20 µg/Lane)
Lane 4: C6 cell lysate (20 µg/Lane)
Lane 5: COS-1 cell lysate (20 µg/Lane)
Lane 6: Mouse testis tissue lysate (40 µg/Lane)
Lane 7: Rat testis tissue lysate (40 µg/Lane)

Predicted band size: 85 kDa
Observed band size: 85 kDa

Exposure time: 4 seconds; ECL: K1801;

4-20% SDS-PAGE gel.

Proteins were transferred to a PVDF membrane and blocked with 5% NFDM/TBST for 1 hour at room temperature. The primary antibody (HA722689) at 1/10,000 dilution was used in 5% NFDM/TBST at 4℃ overnight. Goat Anti-Rabbit IgG - HRP Secondary Antibody (HA1001) at 1/50,000 dilution was used for 1 hour at room temperature.
HA722689_2.jpg Fig2: Immunocytochemistry analysis of NIH/3T3 cells labeling Hsp90 with Rabbit anti-Hsp90 antibody (HA722689) at 1/100 dilution.

Cells were fixed in 4% paraformaldehyde for 20 minutes at room temperature, permeabilized with 0.1% Triton X-100 in PBS for 5 minutes at room temperature, then blocked with 1% BSA in 10% negative goat serum for 1 hour at room temperature. Cells were then incubated with Rabbit anti-Hsp90 antibody (HA722689) at 1/100 dilution in 1% BSA in PBST overnight at 4 ℃. Goat Anti-Rabbit IgG H&L (iFluor™ 488, HA1121) was used as the secondary antibody at 1/1,000 dilution. PBS instead of the primary antibody was used as the secondary antibody only control. Nuclear DNA was labelled in blue with DAPI.

Beta tubulin (M1305-2, red) was stained at 1/100 dilution overnight at +4℃. Goat Anti-Mouse IgG H&L (iFluor™ 594, HA1126) was used as the secondary antibody at 1/1,000 dilution.
HA722689_3.jpg Fig3: Immunocytochemistry analysis of COS-1 cells labeling Hsp90 with Rabbit anti-Hsp90 antibody (HA722689) at 1/100 dilution.

Cells were fixed in 4% paraformaldehyde for 20 minutes at room temperature, permeabilized with 0.1% Triton X-100 in PBS for 5 minutes at room temperature, then blocked with 1% BSA in 10% negative goat serum for 1 hour at room temperature. Cells were then incubated with Rabbit anti-Hsp90 antibody (HA722689) at 1/100 dilution in 1% BSA in PBST overnight at 4 ℃. Goat Anti-Rabbit IgG H&L (iFluor™ 488, HA1121) was used as the secondary antibody at 1/1,000 dilution. PBS instead of the primary antibody was used as the secondary antibody only control. Nuclear DNA was labelled in blue with DAPI.

Beta tubulin (M1305-2, red) was stained at 1/100 dilution overnight at +4℃. Goat Anti-Mouse IgG H&L (iFluor™ 594, HA1126) was used as the secondary antibody at 1/1,000 dilution.
HA722689_4.jpg Fig4: Immunohistochemical analysis of paraffin-embedded human testis tissue with Rabbit anti-Hsp90 antibody (HA722689) at 1/1,000 dilution.

The section was pre-treated using heat mediated antigen retrieval with Tris-EDTA buffer (pH 9.0) for 20 minutes. The tissues were blocked in 1% BSA for 20 minutes at room temperature, washed with ddH2O and PBS, and then probed with the primary antibody (HA722689) at 1/1,000 dilution for 1 hour at room temperature. The detection was performed using an HRP conjugated compact polymer system. DAB was used as the chromogen. Tissues were counterstained with hematoxylin and mounted with DPX.
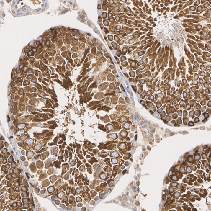
HA722689_5.jpg Fig5: Immunohistochemical analysis of paraffin-embedded mouse testis tissue with Rabbit anti-Hsp90 antibody (HA722689) at 1/1,000 dilution.

The section was pre-treated using heat mediated antigen retrieval with Tris-EDTA buffer (pH 9.0) for 20 minutes. The tissues were blocked in 1% BSA for 20 minutes at room temperature, washed with ddH2O and PBS, and then probed with the primary antibody (HA722689) at 1/1,000 dilution for 1 hour at room temperature. The detection was performed using an HRP conjugated compact polymer system. DAB was used as the chromogen. Tissues were counterstained with hematoxylin and mounted with DPX.
HA722689_6.jpg Fig6: Immunohistochemical analysis of paraffin-embedded rat testis tissue with Rabbit anti-Hsp90 antibody (HA722689) at 1/1,000 dilution.

The section was pre-treated using heat mediated antigen retrieval with Tris-EDTA buffer (pH 9.0) for 20 minutes. The tissues were blocked in 1% BSA for 20 minutes at room temperature, washed with ddH2O and PBS, and then probed with the primary antibody (HA722689) at 1/1,000 dilution for 1 hour at room temperature. The detection was performed using an HRP conjugated compact polymer system. DAB was used as the chromogen. Tissues were counterstained with hematoxylin and mounted with DPX.
HA722689_7.jpg Fig7: Flow cytometric analysis of HeLa cells labeling Hsp90.

Cells were fixed and permeabilized. Then stained with the primary antibody (HA722689, 1/1,000) (red) compared with Rabbit IgG Isotype Control (green). After incubation of the primary antibody at +4℃ for an hour, the cells were stained with a iFluor™ 488 conjugate-Goat anti-Rabbit IgG Secondary antibody (HA1121) at 1/1,000 dilution for 30 minutes at +4℃. Unlabelled sample was used as a control (cells without incubation with primary antibody; black).
HA722689_8.jpg Fig8: Flow cytometric analysis of NIH/3T3 cells labeling Hsp90.

Cells were fixed and permeabilized. Then stained with the primary antibody (HA722689, 1/1,000) (red) compared with Rabbit IgG Isotype Control (green). After incubation of the primary antibody at +4℃ for an hour, the cells were stained with a iFluor™ 488 conjugate-Goat anti-Rabbit IgG Secondary antibody (HA1121) at 1/1,000 dilution for 30 minutes at +4℃. Unlabelled sample was used as a control (cells without incubation with primary antibody; black).
HA722689_9.jpg Fig9: Hsp90 was immunoprecipitated from 0.2 mg HeLa cell lysate with HA722689 at 2 µg/25 µl agarose. Western blot was performed from the immunoprecipitate using HA722689 at 1/1,000 dilution. Anti-Rabbit IgG for IP Nano-secondary antibody (NBI01H) at 1/5,000 dilution was used for 1 hour at room temperature.

Lane 1: HeLa cell lysate (input)
Lane 2: HA722689 IP in HeLa cell lysate
Lane 3: Rabbit IgG instead of HA722689 in HeLa cell lysate

Blocking/Dilution buffer: 5% NFDM/TBST
Exposure time: 8 seconds; ECL: K1801
Note: All products are “FOR RESEARCH USE ONLY AND ARE NOT INTENDED FOR DIAGNOSTIC OR THERAPEUTIC USE”.