CD3 zeta Recombinant Rabbit Monoclonal Antibody [JE09-37]
cat.: HA722692
Product Type: Recombinant Rabbit monoclonal IgG, primary antibodies
Species reactivity: Human, Rat
Applications: WB, IHC-P, IF-Tissue
Clonality: Monoclonal
Clone number: JE09-37
Form: Liquid
Storage condition: Shipped at 4℃. Store at +4℃ short term (1-2 weeks). It is recommended to aliquot into single-use upon delivery. Store at -20℃ long term.
Storage buffer: 1*TBS (pH7.4), 0.05% BSA, 40% Glycerol. Preservative: 0.05% Sodium Azide.
Concentration: 1ug/ul
Purification: Protein A affinity purified.
Molecular weight: Predicted band size: 19 kDa
Isotype: IgG
Immunogen: Synthetic peptide within human CD3 zeta aa 115-164 / 164.
Positive control: Jurkat cell lysate, human spleen tissue, human thymus tissue, human tonsil tissue, rat spleen tissue.
Subcellular location: Cell membrane.
Recommended Dilutions:
  WB
  IHC-P
  IF-Tissue

1:1,000
1:1,000
1:200
Uniprot #: SwissProt: P20963 Human
Entrez Gene: 25300 Rat
Alternative names: 4930549J05Rik A430104F18Rik AW552088 CD247 CD247 antigen Cd247 molecule Cd3 CD3 antigen, zeta polypeptide, isoform CRA_b CD3 antigen, zeta subunit CD3-eta CD3H CD3Q Cd3z CD3Z antigen zeta polypeptide (TiT3 complex) CD3Z_HUMAN CD3zeta CD3zeta chain MGC140430 T cell receptor T3 zeta chain T cell surface glycoprotein CD3 zeta chain T-cell antigen receptor complex, zeta subunit of CD3 T-cell receptor T3 zeta chain T-cell surface glycoprotein CD3 zeta chain T3z TCR zeta chain TCRk TCRZ TCRzeta
Images
HA722692_1.jpg Fig1: Western blot analysis of CD3 zeta on different lysates with Rabbit anti-CD3 zeta antibody (HA722692) at 1/1,000 dilution.

Lane 1: Jurkat cell lysate
Lane 2: HeLa cell lysate (negative)
Lane 3: 293T cell lysate (negative)

Lysates/proteins at 20 µg/Lane.

Predicted band size: 19 kDa
Observed band size: 16 kDa

Exposure time: 59 seconds; ECL: K1801;
4-20% SDS-PAGE gel.

Proteins were transferred to a PVDF membrane and blocked with 5% NFDM/TBST for 1 hour at room temperature. The primary antibody (HA722692) at 1/1,000 dilution was used in 5% NFDM/TBST at 4℃ overnight. Goat Anti-Rabbit IgG - HRP Secondary Antibody (HA1001) at 1/50,000 dilution was used for 1 hour at room temperature.
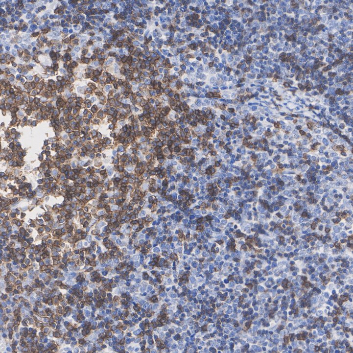
HA722692_2.jpg Fig2: Immunohistochemical analysis of paraffin-embedded human spleen tissue with Rabbit anti-CD3 zeta antibody (HA722692) at 1/1,000 dilution.

The section was pre-treated using heat mediated antigen retrieval with Tris-EDTA buffer (pH 9.0) for 20 minutes. The tissues were blocked in 1% BSA for 20 minutes at room temperature, washed with ddH2O and PBS, and then probed with the primary antibody (HA722692) at 1/1,000 dilution for 1 hour at room temperature. The detection was performed using an HRP conjugated compact polymer system. DAB was used as the chromogen. Tissues were counterstained with hematoxylin and mounted with DPX.
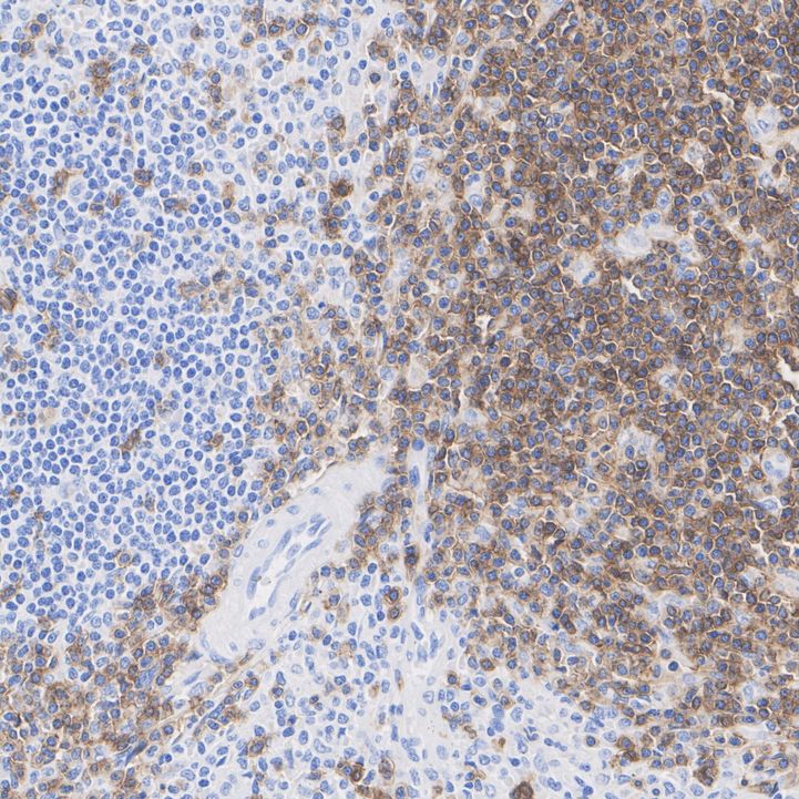
HA722692_3.jpg Fig3: Immunohistochemical analysis of paraffin-embedded human thymus tissue with Rabbit anti-CD3 zeta antibody (HA722692) at 1/1,000 dilution.

The section was pre-treated using heat mediated antigen retrieval with Tris-EDTA buffer (pH 9.0) for 20 minutes. The tissues were blocked in 1% BSA for 20 minutes at room temperature, washed with ddH2O and PBS, and then probed with the primary antibody (HA722692) at 1/1,000 dilution for 1 hour at room temperature. The detection was performed using an HRP conjugated compact polymer system. DAB was used as the chromogen. Tissues were counterstained with hematoxylin and mounted with DPX.
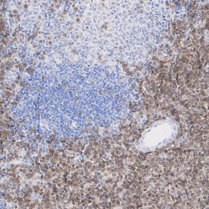
HA722692_4.jpg Fig4: Immunohistochemical analysis of paraffin-embedded human tonsil tissue with Rabbit anti-CD3 zeta antibody (HA722692) at 1/1,000 dilution.

The section was pre-treated using heat mediated antigen retrieval with Tris-EDTA buffer (pH 9.0) for 20 minutes. The tissues were blocked in 1% BSA for 20 minutes at room temperature, washed with ddH2O and PBS, and then probed with the primary antibody (HA722692) at 1/1,000 dilution for 1 hour at room temperature. The detection was performed using an HRP conjugated compact polymer system. DAB was used as the chromogen. Tissues were counterstained with hematoxylin and mounted with DPX.
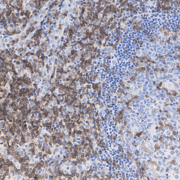
HA722692_5.jpg Fig5: Immunohistochemical analysis of paraffin-embedded rat spleen tissue with Rabbit anti-CD3 zeta antibody (HA722692) at 1/1,000 dilution.

The section was pre-treated using heat mediated antigen retrieval with Tris-EDTA buffer (pH 9.0) for 20 minutes. The tissues were blocked in 1% BSA for 20 minutes at room temperature, washed with ddH2O and PBS, and then probed with the primary antibody (HA722692) at 1/1,000 dilution for 1 hour at room temperature. The detection was performed using an HRP conjugated compact polymer system. DAB was used as the chromogen. Tissues were counterstained with hematoxylin and mounted with DPX.
HA722692_6.jpg Fig6: Application: IF-Tissue

Species: Human

Site: Spleen

Sample: Paraffin-embedded section

Antibody concentration: 1/200
Note: All products are “FOR RESEARCH USE ONLY AND ARE NOT INTENDED FOR DIAGNOSTIC OR THERAPEUTIC USE”.