Placental lactogen Recombinant Rabbit Monoclonal Antibody [JE40-80]
cat.: HA722701
Product Type: Recombinant Rabbit monoclonal IgG, primary antibodies
Species reactivity: Human, Rat
Applications: WB, IHC-P
Clonality: Monoclonal
Clone number: JE40-80
Form: Liquid
Storage condition: Shipped at 4℃. Store at +4℃ short term (1-2 weeks). It is recommended to aliquot into single-use upon delivery. Store at -20℃ long term.
Storage buffer: 1*TBS (pH7.4), 0.05% BSA, 40% Glycerol. Preservative: 0.05% Sodium Azide.
Concentration: 1ug/ul
Purification: Protein A affinity purified.
Molecular weight: Predicted band size: 25 kDa
Isotype: IgG
Immunogen: Synthetic peptide within human Placental lactogen aa 51-100 / 217.
Positive control: Human placenta tissue, rat placenta tissue.
Subcellular location: Secreted.
Recommended Dilutions:
  WB
  IHC-P

1:1,000
1:200-1:1,000
Uniprot #: SwissProt: P0DML2 Human | P0DML3 Human
Alternative names: Choriomammotropin Chorionic somatomammotropin A chorionic somatomammotropin B chorionic somatomammotropin hormone 1 (placental lactogen) Chorionic somatomammotropin hormone 1 chorionic somatomammotropin hormone 2 Chorionic somatomammotropin hormone CS 2 CS-2 CS1 CSA CSB CSH_HUMAN CSH1 CSH2 CSMT hCS B hCS-B hCSA Lactogen mPL II PL PL1 Placental lactogen Prl3b1 prolactin family 3, subfamily b, member 1
Images
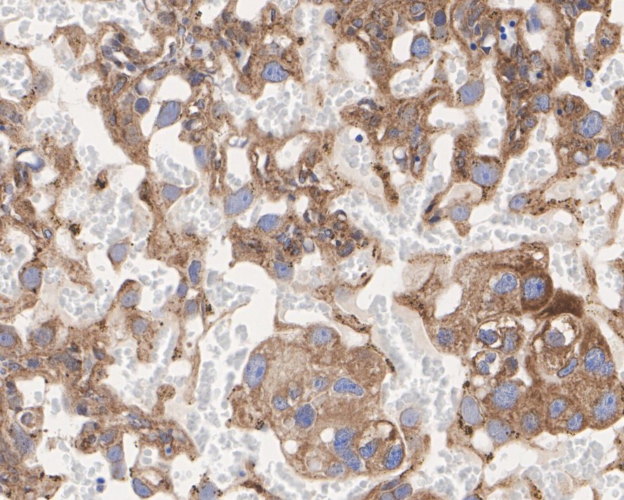
HA722701_1.jpg Fig1: Immunohistochemical analysis of paraffin-embedded human placenta tissue with Rabbit anti-Placental lactogen antibody (HA722701) at 1/1,000 dilution.

The section was pre-treated using heat mediated antigen retrieval with Tris-EDTA buffer (pH 9.0) for 20 minutes. The tissues were blocked in 1% BSA for 20 minutes at room temperature, washed with ddH2O and PBS, and then probed with the primary antibody (HA722701) at 1/1,000 dilution for 1 hour at room temperature. The detection was performed using an HRP conjugated compact polymer system. DAB was used as the chromogen. Tissues were counterstained with hematoxylin and mounted with DPX.
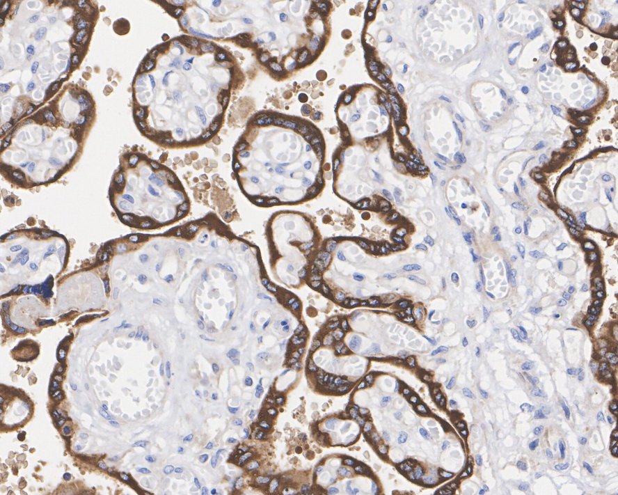
HA722701_2.jpg Fig2: Immunohistochemical analysis of paraffin-embedded rat placenta tissue with Rabbit anti-Placental lactogen antibody (HA722701) at 1/200 dilution.

The section was pre-treated using heat mediated antigen retrieval with Tris-EDTA buffer (pH 9.0) for 20 minutes. The tissues were blocked in 1% BSA for 20 minutes at room temperature, washed with ddH2O and PBS, and then probed with the primary antibody (HA722701) at 1/200 dilution for 1 hour at room temperature. The detection was performed using an HRP conjugated compact polymer system. DAB was used as the chromogen. Tissues were counterstained with hematoxylin and mounted with DPX.
Note: All products are “FOR RESEARCH USE ONLY AND ARE NOT INTENDED FOR DIAGNOSTIC OR THERAPEUTIC USE”.