TLE 1 Recombinant Rabbit Monoclonal Antibody [JE41-40]
cat.: HA722702
Product Type: Recombinant Rabbit monoclonal IgG, primary antibodies
Species reactivity: Human, Mouse, Rat
Applications: WB, IF-Cell, IHC-P
Clonality: Monoclonal
Clone number: JE41-40
Form: Liquid
Storage condition: Shipped at 4℃. Store at +4℃ short term (1-2 weeks). It is recommended to aliquot into single-use upon delivery. Store at -20℃ long term.
Storage buffer: 1*TBS (pH7.4), 0.05% BSA, 40% Glycerol. Preservative: 0.05% Sodium Azide.
Concentration: 1ug/ul
Purification: Protein A affinity purified.
Molecular weight: Predicted band size: 83 kDa
Isotype: IgG
Immunogen: Synthetic peptide within human TLE 1 aa 201-250 / 770.
Positive control: 293T cell lysate, HepG2 cell lysate, Jurkat cell lysate, SH-SY5Y cell lysate, Human lung tissue lysate, Mouse lung tissue lysate, Rat lung tissue lysate, 293T, human colon tissue, mouse lung tissue, rat lung tissue.
Subcellular location: Nucleus.
Recommended Dilutions:
  WB
  IF-Cell
  IHC-P

1:1,000
1:50
1:50
Uniprot #: SwissProt: Q04724 Human | Q62440 Mouse
Entrez Gene: 362533 Rat
Alternative names: E(Sp1) homolog Enhancer of split groucho 1 Enhancer of split groucho like protein 1 Enhancer of split groucho-like protein 1 ESG ESG1 GRG1 TLE1 TLE1_HUMAN Transducin like enhancer of split 1 (E(sp1) homolog Drosophila) Transducin like enhancer of split 1 Transducin like enhancer of split 1 homolog of Drosophila E(sp1) Transducin like enhancer protein 1 Transducin-like enhancer protein 1
Images
HA722702_1.jpg Fig1: Western blot analysis of TLE 1 on different lysates with Rabbit anti-TLE 1 antibody (HA722702) at 1/1,000 dilution.

Lane 1: 293T cell lysate (20 µg/Lane)
Lane 2: HepG2 cell lysate (20 µg/Lane)
Lane 3: Jurkat cell lysate (20 µg/Lane)
Lane 4: SH-SY5Y cell lysate (20 µg/Lane)
Lane 5: Human lung tissue lysate (40 µg/Lane)
Lane 6: Mouse lung tissue lysate (40 µg/Lane)
Lane 7: Rat lung tissue lysate (40 µg/Lane)

Predicted band size: 83 kDa
Observed band size: 83 kDa

Exposure time: 3 minutes; ECL: K1801;

4-20% SDS-PAGE gel.

Proteins were transferred to a PVDF membrane and blocked with 5% NFDM/TBST for 1 hour at room temperature. The primary antibody (HA722702) at 1/1,000 dilution was used in 5% NFDM/TBST at 4℃ overnight. Goat Anti-Rabbit IgG - HRP Secondary Antibody (HA1001) at 1/50,000 dilution was used for 1 hour at room temperature.
HA722702_2.jpg Fig2: Immunocytochemistry analysis of 293T cells labeling TLE 1 with Rabbit anti-TLE 1 antibody (HA722702) at 1/50 dilution.

Cells were fixed in 4% paraformaldehyde for 20 minutes at room temperature, permeabilized with 0.1% Triton X-100 in PBS for 5 minutes at room temperature, then blocked with 1% BSA in 10% negative goat serum for 1 hour at room temperature. Cells were then incubated with Rabbit anti-TLE 1 antibody (HA722702) at 1/50 dilution in 1% BSA in PBST overnight at 4 ℃. Goat Anti-Rabbit IgG H&L (iFluor™ 488, HA1121) was used as the secondary antibody at 1/1,000 dilution. PBS instead of the primary antibody was used as the secondary antibody only control. Nuclear DNA was labelled in blue with DAPI.

Beta tubulin (M1305-2, red) was stained at 1/100 dilution overnight at +4℃. Goat Anti-Mouse IgG H&L (iFluor™ 594, HA1126) was used as the secondary antibody at 1/1,000 dilution.
HA722702_3.jpg Fig3: Immunohistochemical analysis of paraffin-embedded human colon tissue with Rabbit anti-TLE 1 antibody (HA722702) at 1/50 dilution.

The section was pre-treated using heat mediated antigen retrieval with sodium citrate buffer (pH 6.0) for 2 minutes. The tissues were blocked in 1% BSA for 20 minutes at room temperature, washed with ddH2O and PBS, and then probed with the primary antibody (HA722702) at 1/50 dilution for 1 hour at room temperature. The detection was performed using an HRP conjugated compact polymer system. DAB was used as the chromogen. Tissues were counterstained with hematoxylin and mounted with DPX.
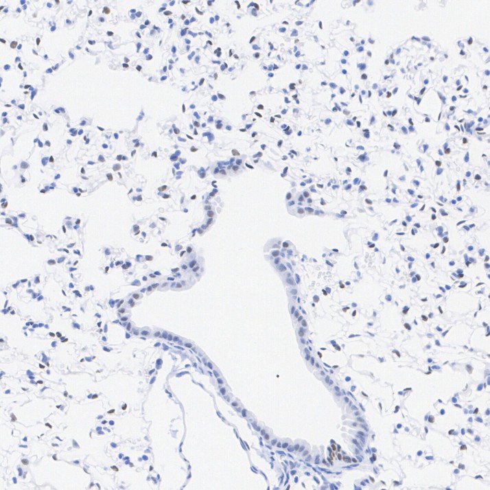
HA722702_4.jpg Fig4: Immunohistochemical analysis of paraffin-embedded mouse lung tissue with Rabbit anti-TLE 1 antibody (HA722702) at 1/50 dilution.

The section was pre-treated using heat mediated antigen retrieval with sodium citrate buffer (pH 6.0) for 2 minutes. The tissues were blocked in 1% BSA for 20 minutes at room temperature, washed with ddH2O and PBS, and then probed with the primary antibody (HA722702) at 1/50 dilution for 1 hour at room temperature. The detection was performed using an HRP conjugated compact polymer system. DAB was used as the chromogen. Tissues were counterstained with hematoxylin and mounted with DPX.
HA722702_5.jpg Fig5: Immunohistochemical analysis of paraffin-embedded rat lung tissue with Rabbit anti-TLE 1 antibody (HA722702) at 1/50 dilution.

The section was pre-treated using heat mediated antigen retrieval with sodium citrate buffer (pH 6.0) for 2 minutes. The tissues were blocked in 1% BSA for 20 minutes at room temperature, washed with ddH2O and PBS, and then probed with the primary antibody (HA722702) at 1/50 dilution for 1 hour at room temperature. The detection was performed using an HRP conjugated compact polymer system. DAB was used as the chromogen. Tissues were counterstained with hematoxylin and mounted with DPX.
Note: All products are “FOR RESEARCH USE ONLY AND ARE NOT INTENDED FOR DIAGNOSTIC OR THERAPEUTIC USE”.