CD166 Recombinant Rabbit Monoclonal Antibody [JE57-47]
cat.: HA722705
Product Type: Recombinant Rabbit monoclonal IgG, primary antibodies
Species reactivity: Human, Mouse, Rat
Applications: WB, IHC-P, FC, IHC-Fr
Clonality: Monoclonal
Clone number: JE57-47
Form: Liquid
Storage condition: Shipped at 4℃. Store at +4℃ short term (1-2 weeks). It is recommended to aliquot into single-use upon delivery. Store at -20℃ long term.
Storage buffer: 1*TBS (pH7.4), 0.05% BSA, 40% Glycerol. Preservative: 0.05% Sodium Azide.
Concentration: 1ug/ul
Purification: Protein A affinity purified.
Molecular weight: Predicted band size: 65 kDa
Isotype: IgG
Immunogen: Synthetic peptide within human CD166 aa 550-583 / 583.
Positive control: U-2 OS cell lysate, A549 cell lysate, SH-SY5Y cell lysate, Mouse brain tissue lysate, Mouse liver tissue lysate, Rat brain tissue lysate, Rat liver tissue lysate, SH-SY5Y, human liver tissue, human stomach tissue, mouse liver tissue, mouse stomach tissue, rat liver tissue, rat stomach tissue.
Subcellular location: Cell membrane, Cell projection, axon, dendrite; Secreted.
Recommended Dilutions:
  WB
  IHC-P
  FC
  IHC-Fr

1:1,000
1:200
1:1,000
1:200
Uniprot #: SwissProt: Q13740 Human | Q61490 Mouse | O35112 Rat
Alternative names: Activated leukocyte cell adhesion molecule ALCAM ALCAM protein CD 166 CD166 CD166 antigen CD166_HUMAN FLJ3851 FLJ38514 MEMD MGC71733
Images
HA722705_1.jpg Fig1: Western blot analysis of CD166 on different lysates with Rabbit anti-CD166 antibody (HA722705) at 1/1,000 dilution.

Lane 1: U-2 OS cell lysate (20 µg/Lane)
Lane 2: A549 cell lysate (20 µg/Lane)
Lane 3: SH-SY5Y cell lysate (20 µg/Lane)
Lane 4: Mouse brain tissue lysate (40 µg/Lane)
Lane 5: Mouse liver tissue lysate (40 µg/Lane)
Lane 6: Rat brain tissue lysate (40 µg/Lane)
Lane 7: Rat liver tissue lysate (40 µg/Lane)

Predicted band size: 65 kDa
Observed band size: 90-105 kDa

Exposure time: 30 seconds; ECL: K1801;
4-20% SDS-PAGE gel.

Proteins were transferred to a PVDF membrane and blocked with 5% NFDM/TBST for 1 hour at room temperature. The primary antibody (HA722705) at 1/1,000 dilution was used in 5% NFDM/TBST at 4℃ overnight. Goat Anti-Rabbit IgG - HRP Secondary Antibody (HA1001) at 1/50,000 dilution was used for 1 hour at room temperature.
HA722705_2.jpg Fig2: Flow cytometric analysis of SH-SY5Y cells labeling CD166.

Cells were fixed and permeabilized. Then stained with the primary antibody (HA722705, 1/1,000) (red) compared with Rabbit IgG Isotype Control (green). After incubation of the primary antibody at +4℃ for an hour, the cells were stained with a iFluor™ 488 conjugate-Goat anti-Rabbit IgG Secondary antibody (HA1121) at 1/1,000 dilution for 30 minutes at +4℃. Unlabelled sample was used as a control (cells without incubation with primary antibody; black).
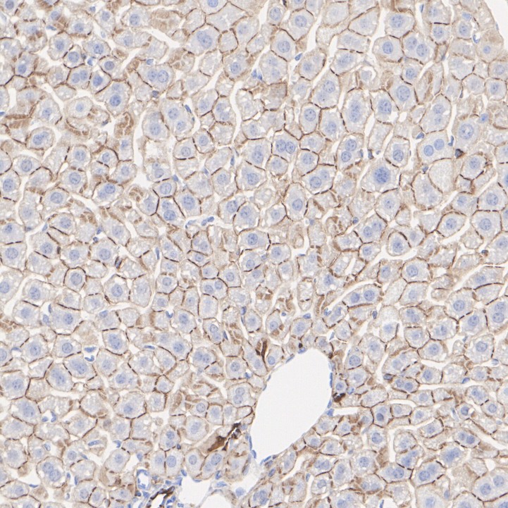
HA722705_3.jpg Fig3: Immunohistochemical analysis of paraffin-embedded human liver tissue with Rabbit anti-CD166 antibody (HA722705) at 1/200 dilution.

The section was pre-treated using heat mediated antigen retrieval with Tris-EDTA buffer (pH 9.0) for 20 minutes. The tissues were blocked in 1% BSA for 20 minutes at room temperature, washed with ddH2O and PBS, and then probed with the primary antibody (HA722705) at 1/200 dilution for 1 hour at room temperature. The detection was performed using an HRP conjugated compact polymer system. DAB was used as the chromogen. Tissues were counterstained with hematoxylin and mounted with DPX.
HA722705_4.jpg Fig4: Immunohistochemical analysis of paraffin-embedded human stomach tissue with Rabbit anti-CD166 antibody (HA722705) at 1/200 dilution.

The section was pre-treated using heat mediated antigen retrieval with Tris-EDTA buffer (pH 9.0) for 20 minutes. The tissues were blocked in 1% BSA for 20 minutes at room temperature, washed with ddH2O and PBS, and then probed with the primary antibody (HA722705) at 1/200 dilution for 1 hour at room temperature. The detection was performed using an HRP conjugated compact polymer system. DAB was used as the chromogen. Tissues were counterstained with hematoxylin and mounted with DPX.
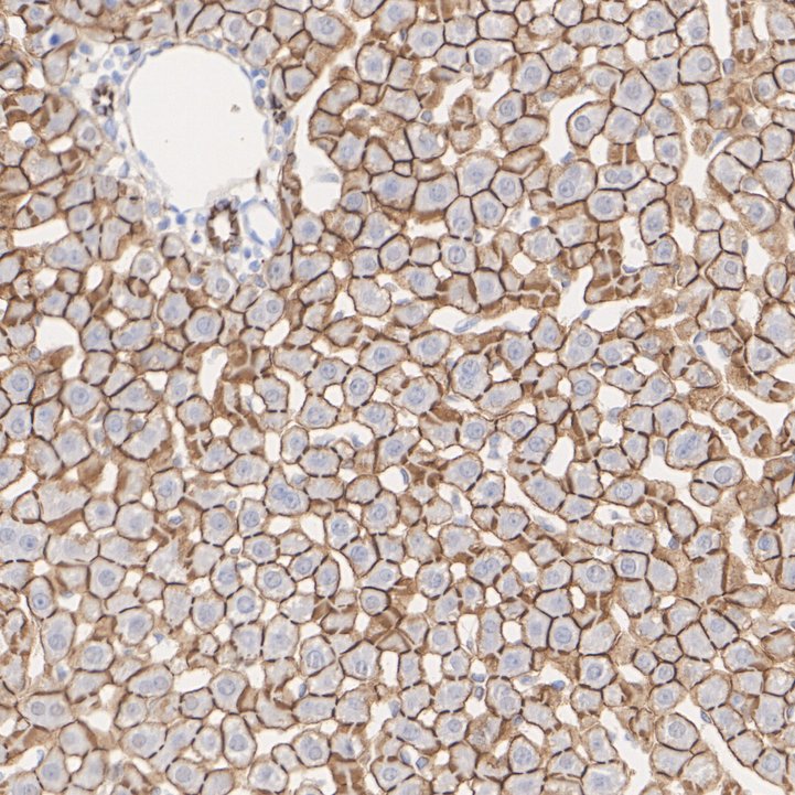
HA722705_5.jpg Fig5: Immunohistochemical analysis of paraffin-embedded mouse liver tissue with Rabbit anti-CD166 antibody (HA722705) at 1/200 dilution.

The section was pre-treated using heat mediated antigen retrieval with Tris-EDTA buffer (pH 9.0) for 20 minutes. The tissues were blocked in 1% BSA for 20 minutes at room temperature, washed with ddH2O and PBS, and then probed with the primary antibody (HA722705) at 1/200 dilution for 1 hour at room temperature. The detection was performed using an HRP conjugated compact polymer system. DAB was used as the chromogen. Tissues were counterstained with hematoxylin and mounted with DPX.
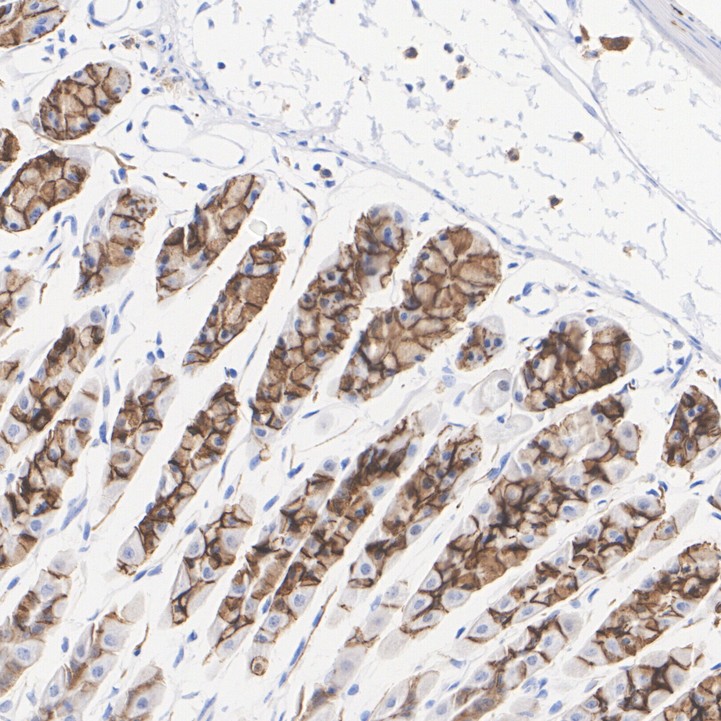
HA722705_6.jpg Fig6: Immunohistochemical analysis of paraffin-embedded mouse stomach tissue with Rabbit anti-CD166 antibody (HA722705) at 1/200 dilution.

The section was pre-treated using heat mediated antigen retrieval with Tris-EDTA buffer (pH 9.0) for 20 minutes. The tissues were blocked in 1% BSA for 20 minutes at room temperature, washed with ddH2O and PBS, and then probed with the primary antibody (HA722705) at 1/200 dilution for 1 hour at room temperature. The detection was performed using an HRP conjugated compact polymer system. DAB was used as the chromogen. Tissues were counterstained with hematoxylin and mounted with DPX.
HA722705_7.jpg Fig7: Immunohistochemical analysis of paraffin-embedded rat liver tissue with Rabbit anti-CD166 antibody (HA722705) at 1/200 dilution.

The section was pre-treated using heat mediated antigen retrieval with Tris-EDTA buffer (pH 9.0) for 20 minutes. The tissues were blocked in 1% BSA for 20 minutes at room temperature, washed with ddH2O and PBS, and then probed with the primary antibody (HA722705) at 1/200 dilution for 1 hour at room temperature. The detection was performed using an HRP conjugated compact polymer system. DAB was used as the chromogen. Tissues were counterstained with hematoxylin and mounted with DPX.
HA722705_8.jpg Fig8: Immunohistochemical analysis of paraffin-embedded rat stomach tissue with Rabbit anti-CD166 antibody (HA722705) at 1/200 dilution.

The section was pre-treated using heat mediated antigen retrieval with Tris-EDTA buffer (pH 9.0) for 20 minutes. The tissues were blocked in 1% BSA for 20 minutes at room temperature, washed with ddH2O and PBS, and then probed with the primary antibody (HA722705) at 1/200 dilution for 1 hour at room temperature. The detection was performed using an HRP conjugated compact polymer system. DAB was used as the chromogen. Tissues were counterstained with hematoxylin and mounted with DPX.
HA722705_9.jpg Fig9: Immunofluorescence analysis of frozen mouse liver tissue with Rabbit anti-CD166 antibody (HA722705) at 1/200 dilution.

The section was pre-treated using heat mediated antigen retrieval with sodium citrate buffer (pH 6.0) for about 2 minutes in microwave oven. The tissues were blocked in 10% negative goat serum for 1 hour at room temperature, washed with PBS, and then probed with the primary antibody (HA722705, green) at 1/200 dilution overnight at 4 ℃, washed with PBS. Goat Anti-Rabbit IgG H&L (iFluor™ 488, HA1121) was used as the secondary antibody at 1/1,000 dilution. Nuclei were counterstained with DAPI (blue).
HA722705_10.jpg Fig10: Immunofluorescence analysis of frozen mouse stomach tissue with Rabbit anti-CD166 antibody (HA722705) at 1/200 dilution.

The section was pre-treated using heat mediated antigen retrieval with sodium citrate buffer (pH 6.0) for about 2 minutes in microwave oven. The tissues were blocked in 10% negative goat serum for 1 hour at room temperature, washed with PBS, and then probed with the primary antibody (HA722705, green) at 1/200 dilution overnight at 4 ℃, washed with PBS. Goat Anti-Rabbit IgG H&L (iFluor™ 488, HA1121) was used as the secondary antibody at 1/1,000 dilution. Nuclei were counterstained with DAPI (blue).
Note: All products are “FOR RESEARCH USE ONLY AND ARE NOT INTENDED FOR DIAGNOSTIC OR THERAPEUTIC USE”.