CRX Recombinant Rabbit Monoclonal Antibody [JE60-71]
cat.: HA722707
Product Type: Recombinant Rabbit monoclonal IgG, primary antibodies
Species reactivity: Mouse, Rat
Applications: WB, IHC-P
Clonality: Monoclonal
Clone number: JE60-71
Form: Liquid
Storage condition: Shipped at 4℃. Store at +4℃ short term (1-2 weeks). It is recommended to aliquot into single-use upon delivery. Store at -20℃ long term.
Storage buffer: 1*TBS (pH7.4), 0.05% BSA, 40% Glycerol. Preservative: 0.05% Sodium Azide.
Concentration: 1ug/ul
Purification: Protein A affinity purified.
Molecular weight: Predicted band size: 32 kDa
Isotype: IgG
Immunogen: Synthetic peptide within mouse CRX aa 250-299 / 299.
Positive control: Mouse eyeball tissue lysate, Rat eyeball tissue lysate, mouse eye tissue, rat eye tissue.
Subcellular location: Nucleus.
Recommended Dilutions:
  WB
  IHC-P

1:1,000
1:200-1:1,000
Uniprot #: SwissProt: O54751 Mouse
Entrez Gene: 60446 Rat
Alternative names: Cone rod homeobox Cone rod homeobox protein Cone rod homeobox-containing gene cone-rod homeobox Cone-rod homeobox protein CORD 2 CRD CRX CRX_HUMAN LCA 7 LCA7 Orthodenticle homeobox 3 OTX 3 OTX3
Images
HA722707_1.jpg Fig1: Western blot analysis of CRX on different lysates with Rabbit anti-CRX antibody (HA722707) at 1/1,000 dilution.

Lane 1: Mouse eyeball tissue lysate
Lane 2: Rat eyeball tissue lysate

Lysates/proteins at 20 µg/Lane.

Predicted band size: 32 kDa
Observed band size: 40 kDa

Exposure time: Lane 1: 46 seconds; Lane 2: 3 minutes; ECL: K1801;
4-20% SDS-PAGE gel.

Proteins were transferred to a PVDF membrane and blocked with 5% NFDM/TBST for 1 hour at room temperature. The primary antibody (HA722707) at 1/1,000 dilution was used in 5% NFDM/TBST at 4℃ overnight. Goat Anti-Rabbit IgG - HRP Secondary Antibody (HA1001) at 1/50,000 dilution was used for 1 hour at room temperature.
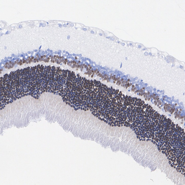
HA722707_2.jpg Fig2: Immunohistochemical analysis of paraffin-embedded mouse eye tissue with Rabbit anti-CRX antibody (HA722707) at 1/200 dilution.

The section was pre-treated using heat mediated antigen retrieval with sodium citrate buffer (pH 6.0) for 2 minutes. The tissues were blocked in 1% BSA for 20 minutes at room temperature, washed with ddH2O and PBS, and then probed with the primary antibody (HA722707) at 1/200 dilution for 1 hour at room temperature. The detection was performed using an HRP conjugated compact polymer system. DAB was used as the chromogen. Tissues were counterstained with hematoxylin and mounted with DPX.
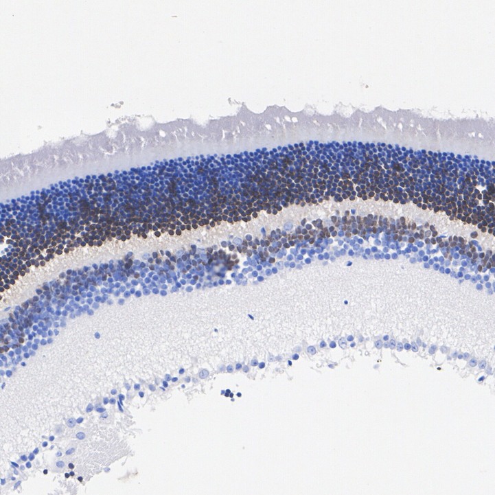
HA722707_3.jpg Fig3: Immunohistochemical analysis of paraffin-embedded rat eye tissue with Rabbit anti-CRX antibody (HA722707) at 1/1,000 dilution.

The section was pre-treated using heat mediated antigen retrieval with sodium citrate buffer (pH 6.0) for 2 minutes. The tissues were blocked in 1% BSA for 20 minutes at room temperature, washed with ddH2O and PBS, and then probed with the primary antibody (HA722707) at 1/1,000 dilution for 1 hour at room temperature. The detection was performed using an HRP conjugated compact polymer system. DAB was used as the chromogen. Tissues were counterstained with hematoxylin and mounted with DPX.
Note: All products are “FOR RESEARCH USE ONLY AND ARE NOT INTENDED FOR DIAGNOSTIC OR THERAPEUTIC USE”.