MAS1L Recombinant Rabbit Monoclonal Antibody [JE64-14]
cat.: HA722709
Product Type: Recombinant Rabbit monoclonal IgG, primary antibodies
Species reactivity: Human, Mouse, Rat
Applications: WB, IF-Cell, IHC-P, IP
Clonality: Monoclonal
Clone number: JE64-14
Form: Liquid
Storage condition: Shipped at 4℃. Store at +4℃ short term (1-2 weeks). It is recommended to aliquot into single-use upon delivery. Store at -20℃ long term.
Storage buffer: 1*TBS (pH7.4), 0.05% BSA, 40% Glycerol. Preservative: 0.05% Sodium Azide.
Concentration: 1ug/ul
Purification: Protein A affinity purified.
Molecular weight: Predicted band size: 42 kDa
Isotype: IgG
Immunogen: Synthetic peptide within human MAS1L aa 329-378 / 378.
Positive control: HeLa cell lysate, HepG2 cell lysate, 293T cell lysate, NIH/3T3 cell lysate, PC-12 cell lysate, 293T, NIH/3T3, PC-12, human brain tissue, human endometrium tissue, human kidney tissue.
Subcellular location: Cell membrane.
Recommended Dilutions:
  WB
  IF-Cell
  IHC-P
  IP

1:1,000
1:100-1:250
1:200-1:1,000
1-2μg/sample
Uniprot #: SwissProt: P35410 Human
Alternative names: dJ994E9.2 MAS L MAS R Mas related G protein coupled MRG Mas related G protein coupled receptor MAS-R Mas-related G-protein coupled receptor MRG MAS1 oncogene like MAS1 proto-oncogene like, G protein-coupled receptor MAS1-like MAS1L MAS1L_HUMAN MGC119987 MRG
Images
HA722709_1.jpg Fig1: Western blot analysis of MAS1L on different lysates with Rabbit anti-MAS1L antibody (HA722709) at 1/1,000 dilution.

Lane 1: HeLa cell lysate
Lane 2: HepG2 cell lysate
Lane 3: 293T cell lysate
Lane 4: NIH/3T3 cell lysate
Lane 5: PC-12 cell lysate

Lysates/proteins at 20 µg/Lane.

Predicted band size: 42 kDa
Observed band size: 37/42 kDa

Exposure time: 2 seconds; ECL: K1801;

4-20% SDS-PAGE gel.

Proteins were transferred to a PVDF membrane and blocked with 5% NFDM/TBST for 1 hour at room temperature. The primary antibody (HA722709) at 1/1,000 dilution was used in 5% NFDM/TBST at 4℃ overnight. Goat Anti-Rabbit IgG - HRP Secondary Antibody (HA1001) at 1/50,000 dilution was used for 1 hour at room temperature.
HA722709_2.jpg Fig2: Immunocytochemistry analysis of 293T cells labeling MAS1L with Rabbit anti-MAS1L antibody (HA722709) at 1/100 dilution.

Cells were fixed in 4% paraformaldehyde for 20 minutes at room temperature, permeabilized with 0.1% Triton X-100 in PBS for 5 minutes at room temperature, then blocked with 1% BSA in 10% negative goat serum for 1 hour at room temperature. Cells were then incubated with Rabbit anti-MAS1L antibody (HA722709) at 1/100 dilution in 1% BSA in PBST overnight at 4 ℃. Goat Anti-Rabbit IgG H&L (iFluor™ 488, HA1121) was used as the secondary antibody at 1/1,000 dilution. PBS instead of the primary antibody was used as the secondary antibody only control. Nuclear DNA was labelled in blue with DAPI.

Beta tubulin (M1305-2, red) was stained at 1/100 dilution overnight at +4℃. Goat Anti-Mouse IgG H&L (iFluor™ 594, HA1126) was used as the secondary antibody at 1/1,000 dilution.
HA722709_3.jpg Fig3: Immunocytochemistry analysis of NIH/3T3 cells labeling MAS1L with Rabbit anti-MAS1L antibody (HA722709) at 1/250 dilution.

Cells were fixed in 4% paraformaldehyde for 20 minutes at room temperature, permeabilized with 0.1% Triton X-100 in PBS for 5 minutes at room temperature, then blocked with 1% BSA in 10% negative goat serum for 1 hour at room temperature. Cells were then incubated with Rabbit anti-MAS1L antibody (HA722709) at 1/250 dilution in 1% BSA in PBST overnight at 4 ℃. Goat Anti-Rabbit IgG H&L (iFluor™ 488, HA1121) was used as the secondary antibody at 1/1,000 dilution. PBS instead of the primary antibody was used as the secondary antibody only control. Nuclear DNA was labelled in blue with DAPI.

Beta tubulin (M1305-2, red) was stained at 1/100 dilution overnight at +4℃. Goat Anti-Mouse IgG H&L (iFluor™ 594, HA1126) was used as the secondary antibody at 1/1,000 dilution.
HA722709_4.jpg Fig4: Immunocytochemistry analysis of PC-12 cells labeling MAS1L with Rabbit anti-MAS1L antibody (HA722709) at 1/250 dilution.

Cells were fixed in 4% paraformaldehyde for 20 minutes at room temperature, permeabilized with 0.1% Triton X-100 in PBS for 5 minutes at room temperature, then blocked with 1% BSA in 10% negative goat serum for 1 hour at room temperature. Cells were then incubated with Rabbit anti-MAS1L antibody (HA722709) at 1/250 dilution in 1% BSA in PBST overnight at 4 ℃. Goat Anti-Rabbit IgG H&L (iFluor™ 488, HA1121) was used as the secondary antibody at 1/1,000 dilution. PBS instead of the primary antibody was used as the secondary antibody only control. Nuclear DNA was labelled in blue with DAPI.

Beta tubulin (M1305-2, red) was stained at 1/100 dilution overnight at +4℃. Goat Anti-Mouse IgG H&L (iFluor™ 594, HA1126) was used as the secondary antibody at 1/1,000 dilution.
HA722709_5.jpg Fig5: Immunohistochemical analysis of paraffin-embedded human brain tissue with Rabbit anti-MAS1L antibody (HA722709) at 1/1,000 dilution.

The section was pre-treated using heat mediated antigen retrieval with Tris-EDTA buffer (pH 9.0) for 20 minutes. The tissues were blocked in 1% BSA for 20 minutes at room temperature, washed with ddH2O and PBS, and then probed with the primary antibody (HA722709) at 1/1,000 dilution for 1 hour at room temperature. The detection was performed using an HRP conjugated compact polymer system. DAB was used as the chromogen. Tissues were counterstained with hematoxylin and mounted with DPX.
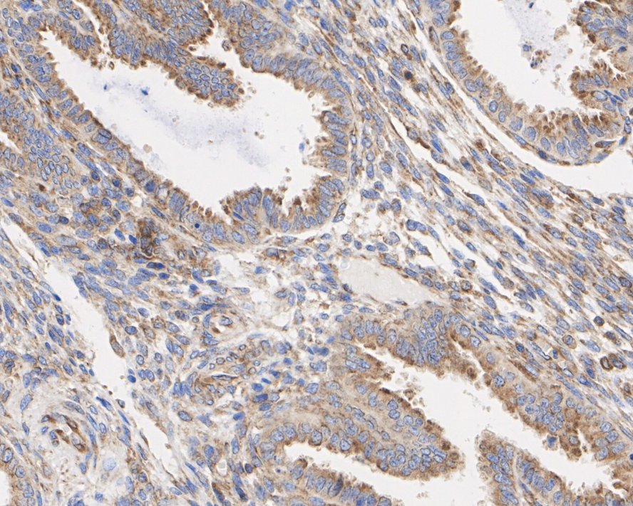
HA722709_6.jpg Fig6: Immunohistochemical analysis of paraffin-embedded human endometrium tissue with Rabbit anti-MAS1L antibody (HA722709) at 1/200 dilution.

The section was pre-treated using heat mediated antigen retrieval with Tris-EDTA buffer (pH 9.0) for 20 minutes. The tissues were blocked in 1% BSA for 20 minutes at room temperature, washed with ddH2O and PBS, and then probed with the primary antibody (HA722709) at 1/200 dilution for 1 hour at room temperature. The detection was performed using an HRP conjugated compact polymer system. DAB was used as the chromogen. Tissues were counterstained with hematoxylin and mounted with DPX.
HA722709_7.jpg Fig7: Immunohistochemical analysis of paraffin-embedded human kidney tissue with Rabbit anti-MAS1L antibody (HA722709) at 1/1,000 dilution.

The section was pre-treated using heat mediated antigen retrieval with Tris-EDTA buffer (pH 9.0) for 20 minutes. The tissues were blocked in 1% BSA for 20 minutes at room temperature, washed with ddH2O and PBS, and then probed with the primary antibody (HA722709) at 1/1,000 dilution for 1 hour at room temperature. The detection was performed using an HRP conjugated compact polymer system. DAB was used as the chromogen. Tissues were counterstained with hematoxylin and mounted with DPX.
HA722709_8.jpg Fig8: MAS1L was immunoprecipitated from 0.2 mg 293T cell lysate with HA722709 at 2 µg/25 µl agarose. Western blot was performed from the immunoprecipitate using HA722709 at 1/1,000 dilution. Anti-Rabbit IgG for IP Nano-secondary antibody (NBI01H) at 1/5,000 dilution was used for 1 hour at room temperature.

Lane 1: 293T cell lysate (input)
Lane 2: HA722709 IP in 293T cell lysate
Lane 3: Rabbit IgG instead of HA722709 in 293T cell lysate

Blocking/Dilution buffer: 5% NFDM/TBST
Exposure time: 8 seconds; ECL: K1801
Note: All products are “FOR RESEARCH USE ONLY AND ARE NOT INTENDED FOR DIAGNOSTIC OR THERAPEUTIC USE”.