Aquaporin 3 Recombinant Rabbit Monoclonal Antibody [PSH06-52]
cat.: HA722716
Product Type: Recombinant Rabbit monoclonal IgG1, primary antibodies
Species reactivity: Human, Mouse, Rat
Applications: WB, IHC-P, IF-Cell
Clonality: Monoclonal
Clone number: PSH06-52
Form: Liquid
Storage condition: Shipped at 4℃. Store at +4℃ short term (1-2 weeks). It is recommended to aliquot into single-use upon delivery. Store at -20℃ long term.
Storage buffer: PBS (pH7.4), 0.1% BSA, 40% Glycerol. Preservative: 0.05% Sodium Azide.
Concentration: 1ug/ul
Purification: Protein A affinity purified.
Molecular weight: Predicted band size: 32 kDa
Isotype: IgG1
Immunogen: Synthetic peptide within human Aquaporin 3 aa 243-292.
Positive control: HeLa cell lysates, human skin tissue, mouse skin tissue, rat skin tissue, HeLa.
Subcellular location: Cell membrane, Basolateral cell membrane.
Recommended Dilutions:
  WB
  IHC-P
  IF-Cell

1:1,000
1:1,000
1:100
Uniprot #: SwissProt: Q92482 Human | Q8R2N1 Mouse | P47862 Rat
Alternative names: AQP 3 AQP-3 Aqp3 AQP3_HUMAN Aquaglyceroporin-3 Aquaporin 3 (GIL blood group) Aquaporin 3 (Gill blood group) Aquaporin-3 Aquaporin3 GIL Gill blood group
Images
HA722716_1.jpg Fig1: Western blot analysis of Aquaporin 3 on HeLa cell lysates (hot lysis) with Rabbit anti-Aquaporin 3 antibody (HA722716) at 1/1,000 dilution.

Lysates/proteins at 20 µg/Lane.

Predicted band size: 32 kDa
Observed band size: 35 kDa

Exposure time: 3 minutes; ECL: K1801;

4-20% SDS-PAGE gel.

Proteins were transferred to a PVDF membrane and blocked with 5% NFDM/TBST for 1 hour at room temperature. The primary antibody (HA722716) at 1/1,000 dilution was used in 5% NFDM/TBST at 4℃ overnight. Goat Anti-Rabbit IgG - HRP Secondary Antibody (HA1001) at 1/50,000 dilution was used for 1 hour at room temperature.
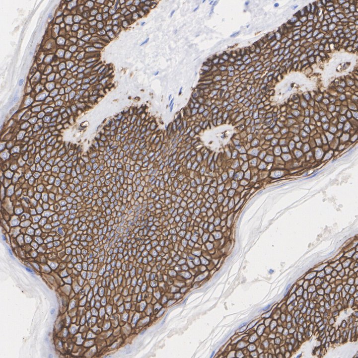
HA722716_2.jpg Fig2: Immunohistochemical analysis of paraffin-embedded human skin tissue with Rabbit anti-Aquaporin 3 antibody (HA722716) at 1/1,000 dilution.

The section was pre-treated using heat mediated antigen retrieval with Tris-EDTA buffer (pH 9.0) for 20 minutes. The tissues were blocked in 1% BSA for 20 minutes at room temperature, washed with ddH2O and PBS, and then probed with the primary antibody (HA722716) at 1/1,000 dilution for 1 hour at room temperature. The detection was performed using an HRP conjugated compact polymer system. DAB was used as the chromogen. Tissues were counterstained with hematoxylin and mounted with DPX.
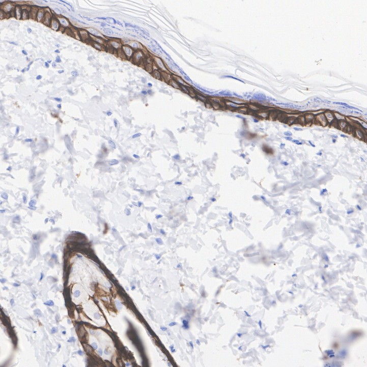
HA722716_3.jpg Fig3: Immunohistochemical analysis of paraffin-embedded mouse skin tissue with Rabbit anti-Aquaporin 3 antibody (HA722716) at 1/1,000 dilution.

The section was pre-treated using heat mediated antigen retrieval with Tris-EDTA buffer (pH 9.0) for 20 minutes. The tissues were blocked in 1% BSA for 20 minutes at room temperature, washed with ddH2O and PBS, and then probed with the primary antibody (HA722716) at 1/1,000 dilution for 1 hour at room temperature. The detection was performed using an HRP conjugated compact polymer system. DAB was used as the chromogen. Tissues were counterstained with hematoxylin and mounted with DPX.
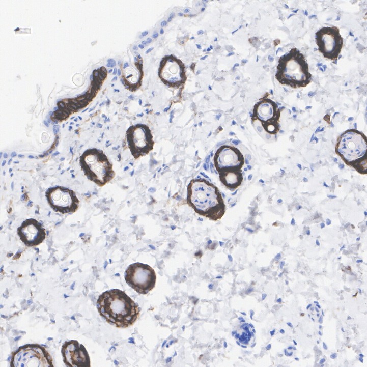
HA722716_4.jpg Fig4: Immunohistochemical analysis of paraffin-embedded rat skin tissue with Rabbit anti-Aquaporin 3 antibody (HA722716) at 1/1,000 dilution.

The section was pre-treated using heat mediated antigen retrieval with Tris-EDTA buffer (pH 9.0) for 20 minutes. The tissues were blocked in 1% BSA for 20 minutes at room temperature, washed with ddH2O and PBS, and then probed with the primary antibody (HA722716) at 1/1,000 dilution for 1 hour at room temperature. The detection was performed using an HRP conjugated compact polymer system. DAB was used as the chromogen. Tissues were counterstained with hematoxylin and mounted with DPX.
HA722716_5.jpg Fig5: Immunocytochemistry analysis of HeLa (positive) and SH-SY5Y (negative) labeling Aquaporin 3 with Rabbit anti-Aquaporin 3 antibody (HA722716) at 1/100 dilution.

Cells were fixed in 4% paraformaldehyde for 15 minutes at room temperature, permeabilized with 0.1% Triton X-100 in PBS for 15 minutes at room temperature, then blocked with 1% BSA in 10% negative goat serum for 1 hour at room temperature. Cells were then incubated with Rabbit anti-Aquaporin 3 antibody (HA722716) at 1/100 dilution in 1% BSA in PBST overnight at 4 ℃. Goat Anti-Rabbit IgG H&L (iFluor™ 488, HA1121) was used as the secondary antibody at 1/1,000 dilution. PBS instead of the primary antibody was used as the secondary antibody only control. Nuclear DNA was labelled in blue with DAPI.

Beta tubulin (HA601187, red) was stained at 1/100 dilution overnight at +4℃. Goat Anti-Mouse IgG H&L (iFluor™ 594, HA1126) was used as the secondary antibody at 1/1,000 dilution.
Note: All products are “FOR RESEARCH USE ONLY AND ARE NOT INTENDED FOR DIAGNOSTIC OR THERAPEUTIC USE”.