TMEM16A Recombinant Rabbit Monoclonal Antibody [PSH06-57]
cat.: HA722719
Product Type: Recombinant Rabbit monoclonal IgG, primary antibodies
Species reactivity: Human, Mouse, Rat
Applications: WB, IHC-P
Clonality: Monoclonal
Clone number: PSH06-57
Form: Liquid
Storage condition: Shipped at 4℃. Store at +4℃ short term (1-2 weeks). It is recommended to aliquot into single-use upon delivery. Store at -20℃ long term.
Storage buffer: PBS (pH7.4), 0.1% BSA, 40% Glycerol. Preservative: 0.05% Sodium Azide.
Concentration: 1ug/ul
Purification: Protein A affinity purified.
Molecular weight: Predicted band size: 114 kDa
Isotype: IgG
Immunogen: Recombinant protein within human TMEM16A aa 1-333.
Positive control: HT-29 cell lysate, HCT 116 cell lysate, BxPC-3 cell lysate, human gastrointestinal stromal tumor tissue, human appendix tissue, mouse colon tissue, rat colon tissue.
Subcellular location: Apical cell membrane, Presynapse.
Recommended Dilutions:
  WB
  IHC-P

1:1,000
1:2,000
Uniprot #: SwissProt: Q5XXA6 Human | Q8BHY3 Mouse
Entrez Gene: 309135 Rat
Alternative names: ANO 1 ANO1 ANO1_HUMAN Anoctamin 1 Anoctamin 1 calcium activated chloride channel Anoctamin-1 Anoctamin1 Ca2+ activated Cl- channel Calcium Activated Chloride Channel Discovered on gastrointestinal stromal tumors protein 1 DOG 1 DOG1 FLJ10261 Membrane protein Oral cancer overexpressed 2 Oral cancer overexpressed protein 2 ORAOV 2 ORAOV2 TAOS 2 TAOS2 TMEM 16A TMEM16A Transmembrane protein 16A (eight membrane spanning domains) Transmembrane protein 16A Tumor amplified and overexpressed sequence 2 Tumor-amplified and overexpressed sequence 2
Images
HA722719_1.jpg Fig1: Western blot analysis of TMEM16A on different lysates with Rabbit anti-TMEM16A antibody (HA722719) at 1/1,000 dilution.

Lane 1: HT-29 cell lysate
Lane 2: HCT 116 cell lysate
Lane 3: BxPC-3 cell lysate
Lane 4: HeLa cell lysate (negative)

Lysates/proteins at 20 µg/Lane.

Predicted band size: 114 kDa
Observed band size: 150 kDa

Exposure time: 10 seconds; ECL: K1801;

4-20% SDS-PAGE gel.

Proteins were transferred to a PVDF membrane and blocked with 5% NFDM/TBST for 1 hour at room temperature. The primary antibody (HA722719) at 1/1,000 dilution was used in 5% NFDM/TBST at 4℃ overnight. Goat Anti-Rabbit IgG - HRP Secondary Antibody (HA1001) at 1/50,000 dilution was used for 1 hour at room temperature.
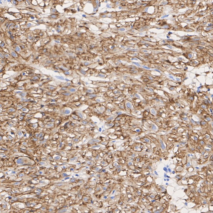
HA722719_2.jpg Fig2: Immunohistochemical analysis of paraffin-embedded human gastrointestinal stromal tumor tissue with Rabbit anti-TMEM16A antibody (HA722719) at 1/2,000 dilution.

The section was pre-treated using heat mediated antigen retrieval with Tris-EDTA buffer (pH 9.0) for 20 minutes. The tissues were blocked in 1% BSA for 20 minutes at room temperature, washed with ddH2O and PBS, and then probed with the primary antibody (HA722719) at 1/2,000 dilution for 1 hour at room temperature. The detection was performed using an HRP conjugated compact polymer system. DAB was used as the chromogen. Tissues were counterstained with hematoxylin and mounted with DPX.
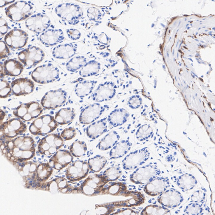
HA722719_3.jpg Fig3: Immunohistochemical analysis of paraffin-embedded human appendix tissue with Rabbit anti-TMEM16A antibody (HA722719) at 1/2,000 dilution.

The section was pre-treated using heat mediated antigen retrieval with Tris-EDTA buffer (pH 9.0) for 20 minutes. The tissues were blocked in 1% BSA for 20 minutes at room temperature, washed with ddH2O and PBS, and then probed with the primary antibody (HA722719) at 1/2,000 dilution for 1 hour at room temperature. The detection was performed using an HRP conjugated compact polymer system. DAB was used as the chromogen. Tissues were counterstained with hematoxylin and mounted with DPX.
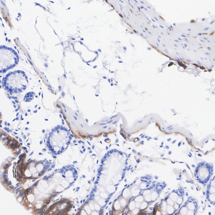
HA722719_4.jpg Fig4: Immunohistochemical analysis of paraffin-embedded mouse colon tissue with Rabbit anti-TMEM16A antibody (HA722719) at 1/2,000 dilution.

The section was pre-treated using heat mediated antigen retrieval with Tris-EDTA buffer (pH 9.0) for 20 minutes. The tissues were blocked in 1% BSA for 20 minutes at room temperature, washed with ddH2O and PBS, and then probed with the primary antibody (HA722719) at 1/2,000 dilution for 1 hour at room temperature. The detection was performed using an HRP conjugated compact polymer system. DAB was used as the chromogen. Tissues were counterstained with hematoxylin and mounted with DPX.
HA722719_5.jpg Fig5: Immunohistochemical analysis of paraffin-embedded rat colon tissue with Rabbit anti-TMEM16A antibody (HA722719) at 1/2,000 dilution.

The section was pre-treated using heat mediated antigen retrieval with Tris-EDTA buffer (pH 9.0) for 20 minutes. The tissues were blocked in 1% BSA for 20 minutes at room temperature, washed with ddH2O and PBS, and then probed with the primary antibody (HA722719) at 1/2,000 dilution for 1 hour at room temperature. The detection was performed using an HRP conjugated compact polymer system. DAB was used as the chromogen. Tissues were counterstained with hematoxylin and mounted with DPX.
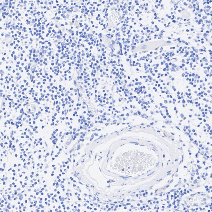
HA722719_6.jpg Fig6: Immunohistochemical analysis of paraffin-embedded human lymph node tissue (negative) with Rabbit anti-TMEM16A antibody (HA722719) at 1/2,000 dilution.

The section was pre-treated using heat mediated antigen retrieval with Tris-EDTA buffer (pH 9.0) for 20 minutes. The tissues were blocked in 1% BSA for 20 minutes at room temperature, washed with ddH2O and PBS, and then probed with the primary antibody (HA722719) at 1/2,000 dilution for 1 hour at room temperature. The detection was performed using an HRP conjugated compact polymer system. DAB was used as the chromogen. Tissues were counterstained with hematoxylin and mounted with DPX.
Note: All products are “FOR RESEARCH USE ONLY AND ARE NOT INTENDED FOR DIAGNOSTIC OR THERAPEUTIC USE”.