ATF6 Recombinant Rabbit Monoclonal Antibody [PSH06-59]
cat.: HA722722
Product Type: Recombinant Rabbit monoclonal IgG, primary antibodies
Species reactivity: Human, Mouse, Rat
Applications: WB, IHC-P, ChIP
Clonality: Monoclonal
Clone number: PSH06-59
Form: Liquid
Storage condition: Shipped at 4℃. Store at +4℃ short term (1-2 weeks). It is recommended to aliquot into single-use upon delivery. Store at -20℃ long term.
Storage buffer: PBS (pH7.4), 0.1% BSA, 40% Glycerol. Preservative: 0.05% Sodium Azide.
Concentration: 1ug/ul
Purification: Protein A affinity purified.
Molecular weight: Predicted band size: 75 kDa
Isotype: IgG
Immunogen: Recombinant protein within human ATF6 aa 1-350.
Positive control: HeLa cell lysate, A431 cell lysate, HUVEC cell lysate, 293T cell lysate, HepG2 cell lysate, RAW264.7 cell lysate, PC-12 cell lysate, Mouse pancreas tissue lysate, Mouse kidney tissue lysate, Rat pancreas tissue lysate, Rat kidney tissue lysate, rat pancreas tissue, rat kidney tissue.
Subcellular location: Endoplasmic reticulum membrane, Golgi apparatus membrane.
Recommended Dilutions:
  WB
  IHC-P
  ChIP

1:1,000
1:200-1:1,000
Use 0.5~2 μg for 25 μg of chromatin.
Uniprot #: SwissProt: P18850 Human
Entrez Gene: 226641 Mouse | 304962 Rat
Alternative names: Activating transcription factor 6 alpha Activating transcription factor 6 ATF 6 ATF6 alpha ATF6 ATF6-alpha ATF6A ATF6A_HUMAN cAMP dependent transcription factor ATF 6 alpha cAMP-dependent transcription factor ATF-6 alpha Cyclic AMP dependent transcription factor ATF 6 alpha DKFZp686P2194 ESTM49 FLJ21663 Processed cyclic AMP dependent transcription factor ATF 6 alpha Processed cyclic AMP-dependent transcription factor ATF-6 alpha
Images
HA722722_1.jpg Fig1: Western blot analysis of ATF6 on different lysates with Rabbit anti-ATF6 antibody (HA722722) at 1/1,000 dilution.

Lane 1: HeLa cell lysate
Lane 2: A431 cell lysate
Lane 3: HUVEC cell lysate
Lane 4: 293T cell lysate
Lane 5: HepG2 cell lysate
Lane 6: RAW264.7 cell lysate
Lane 7: PC-12 cell lysate
Lane 8: Mouse pancreas tissue lysate
Lane 9: Mouse kidney tissue lysate
Lane 10: Rat pancreas tissue lysate
Lane 11: Rat kidney tissue lysate

Lysates/proteins at 20 µg/Lane.

Predicted band size: 75 kDa
Observed band size: 100-110 kDa

Exposure time: 2 minutes; ECL: K1801;

4-20% SDS-PAGE gel.

Proteins were transferred to a PVDF membrane and blocked with 5% NFDM/TBST for 1 hour at room temperature. The primary antibody (HA722722) at 1/1,000 dilution was used in 5% NFDM/TBST at 4℃ overnight. Goat Anti-Rabbit IgG - HRP Secondary Antibody (HA1001) at 1/50,000 dilution was used for 1 hour at room temperature.
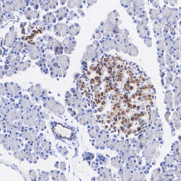
HA722722_2.jpg Fig2: Immunohistochemical analysis of paraffin-embedded rat pancreas tissue with Rabbit anti-ATF6 antibody (HA722722) at 1/1,000 dilution.

The section was pre-treated using heat mediated antigen retrieval with Tris-EDTA buffer (pH 9.0) for 20 minutes. The tissues were blocked in 1% BSA for 20 minutes at room temperature, washed with ddH2O and PBS, and then probed with the primary antibody (HA722722) at 1/1,000 dilution for 1 hour at room temperature. The detection was performed using an HRP conjugated compact polymer system. DAB was used as the chromogen. Tissues were counterstained with hematoxylin and mounted with DPX.
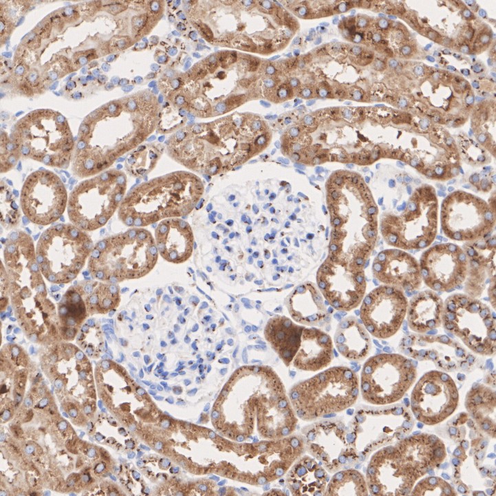
HA722722_3.jpg Fig3: Immunohistochemical analysis of paraffin-embedded rat kidney tissue with Rabbit anti-ATF6 antibody (HA722722) at 1/200 dilution.

The section was pre-treated using heat mediated antigen retrieval with Tris-EDTA buffer (pH 9.0) for 20 minutes. The tissues were blocked in 1% BSA for 20 minutes at room temperature, washed with ddH2O and PBS, and then probed with the primary antibody (HA722722) at 1/200 dilution for 1 hour at room temperature. The detection was performed using an HRP conjugated compact polymer system. DAB was used as the chromogen. Tissues were counterstained with hematoxylin and mounted with DPX.
HA722722_4.jpg Fig4: Chromatin immunoprecipitations were performed with cross-linked chromatin from HeLa cells treated with 1μM Thapsigargin for 1 hour with ATF6 (HA722722) or Normal Rabbit IgG according to the ChIP protocol. The enriched DNA was quantified by real-time PCR using indicated primers. The amount of immunoprecipitated DNA in each sample is represented as signal relative to the total amount of input chromatin, which is equivalent to one.
Note: All products are “FOR RESEARCH USE ONLY AND ARE NOT INTENDED FOR DIAGNOSTIC OR THERAPEUTIC USE”.