CD55 Recombinant Rabbit Monoclonal Antibody [JE31-59]
cat.: HA722724
Product Type: Recombinant Rabbit monoclonal IgG, primary antibodies
Species reactivity: Human
Applications: WB, IHC-P
Clonality: Monoclonal
Clone number: JE31-59
Form: Liquid
Storage condition: Shipped at 4℃. Store at +4℃ short term (1-2 weeks). It is recommended to aliquot into single-use upon delivery. Store at -20℃ long term.
Storage buffer: 1*TBS (pH7.4), 0.05% BSA, 40% Glycerol. Preservative: 0.05% Sodium Azide.
Concentration: 1ug/ul
Purification: Protein A affinity purified.
Molecular weight: Predicted band size: 41 kDa
Isotype: IgG
Immunogen: Synthetic peptide within human CD55 aa 101-150 / 381.
Positive control: HeLa cell lysate, A549 cell lysate, K-562 cell lysate, HT-29 cell lysate, human lung tissue, human placenta tissue.
Subcellular location: Cell membrane.
Recommended Dilutions:
  WB
  IHC-P

1:5,000
1:200
Uniprot #: SwissProt: P08174 Human
Alternative names: CD 55 CD55 CD55 antigen CD55 Cromer blood group system CD55 molecule (Cromer blood group) CD55 molecule CD55 molecule, decay accelerating factor for complement (Cromer blood group) Cd55a Complement decay accelerating factor Complement decay-accelerating factor Complement decay-accelerating factor, GPI-anchored CR CROM Cromer Blood Group antigen Cromer blood group system DAF Daf-GPI DAF_HUMAN Daf1 Dcay accelerating factor for complement (CD55, Cromer blood group system) Decay accelarating factor 1, isoform CRA_a Decay accelerating factor (GPI-form) Decay Accelerating Factor for Complement Decay accelerating factor GPI-form Decay accelerating factor soluble-form GPI-DAF TC
Images
HA722724_1.jpg Fig1: Western blot analysis of CD55 on different lysates with Rabbit anti-CD55 antibody (HA722724) at 1/5,000 dilution.

Lane 1: HeLa cell lysate (20 µg/Lane)
Lane 2: A549 cell lysate (20 µg/Lane)
Lane 3: K-562 cell lysate (20 µg/Lane)
Lane 4: HT-29 cell lysate (20 µg/Lane)

Predicted band size: 41 kDa
Observed band size: 70-75 kDa

Exposure time: 2 seconds; ECL: K1801;

4-20% SDS-PAGE gel.

Proteins were transferred to a PVDF membrane and blocked with 5% NFDM/TBST for 1 hour at room temperature. The primary antibody (HA722724) at 1/5,000 dilution was used in 5% NFDM/TBST at 4℃ overnight. Goat Anti-Rabbit IgG - HRP Secondary Antibody (HA1001) at 1/50,000 dilution was used for 1 hour at room temperature.
HA722724_2.jpg Fig2: Western blot analysis of CD55 on different lysates with Rabbit anti-CD55 antibody (HA722724) at 1/10,000 dilution.

Lane 1: HAP1-parental cell lysate
Lane 2: HAP1-CD55 KD cell lysate

Lysates/proteins at 10 µg/Lane.

Predicted band size: 41 kDa
Observed band size: 70-75 kDa

Exposure time: 12 seconds; ECL: K1801;

4-20% SDS-PAGE gel.

Proteins were transferred to a PVDF membrane and blocked with 5% NFDM/TBST for 1 hour at room temperature. The primary antibody (HA722724) at 1/10,000 dilution was used in K1803 at 4℃ overnight. Goat Anti-Rabbit IgG - HRP Secondary Antibody (HA1001) at 1/50,000 dilution was used for 1 hour at room temperature.
HA722724_3.jpg Fig3: Immunohistochemical analysis of paraffin-embedded human lung tissue with Rabbit anti-CD55 antibody (HA722724) at 1/200 dilution.

The section was pre-treated using heat mediated antigen retrieval with Tris-EDTA buffer (pH 9.0) for 20 minutes. The tissues were blocked in 1% BSA for 20 minutes at room temperature, washed with ddH2O and PBS, and then probed with the primary antibody (HA722724) at 1/200 dilution for 1 hour at room temperature. The detection was performed using an HRP conjugated compact polymer system. DAB was used as the chromogen. Tissues were counterstained with hematoxylin and mounted with DPX.
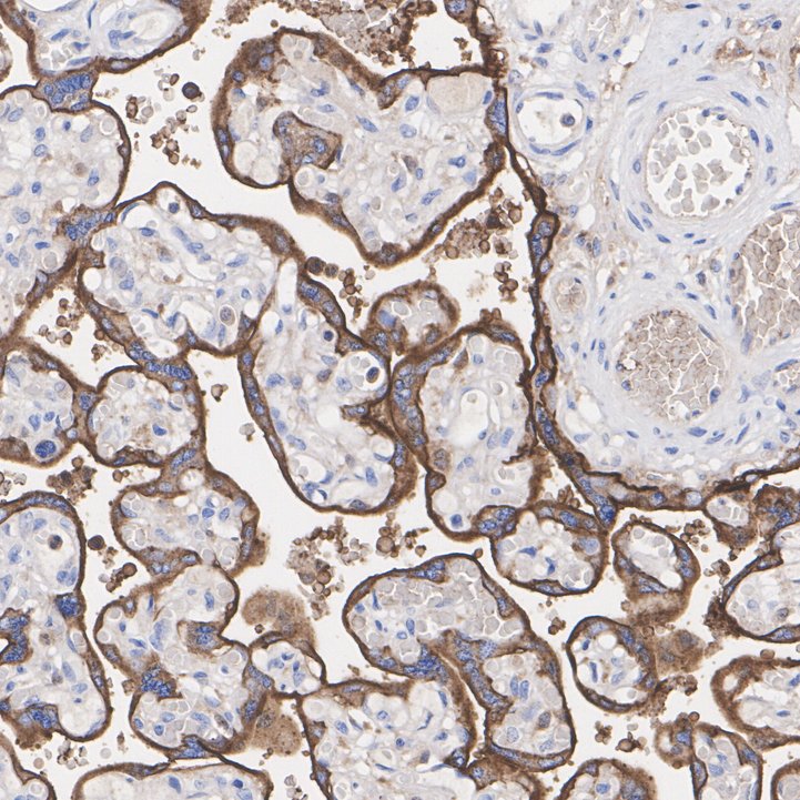
HA722724_4.jpg Fig4: Immunohistochemical analysis of paraffin-embedded human placenta tissue with Rabbit anti-CD55 antibody (HA722724) at 1/200 dilution.

The section was pre-treated using heat mediated antigen retrieval with Tris-EDTA buffer (pH 9.0) for 20 minutes. The tissues were blocked in 1% BSA for 20 minutes at room temperature, washed with ddH2O and PBS, and then probed with the primary antibody (HA722724) at 1/200 dilution for 1 hour at room temperature. The detection was performed using an HRP conjugated compact polymer system. DAB was used as the chromogen. Tissues were counterstained with hematoxylin and mounted with DPX.
Note: All products are “FOR RESEARCH USE ONLY AND ARE NOT INTENDED FOR DIAGNOSTIC OR THERAPEUTIC USE”.