SynGAP Recombinant Rabbit Monoclonal Antibody [JE37-00]
cat.: HA722728
Product Type: Recombinant Rabbit monoclonal IgG, primary antibodies
Species reactivity: Human, Mouse, Rat
Applications: WB, IHC-P
Clonality: Monoclonal
Clone number: JE37-00
Form: Liquid
Storage condition: Shipped at 4℃. Store at +4℃ short term (1-2 weeks). It is recommended to aliquot into single-use upon delivery. Store at -20℃ long term.
Storage buffer: 1*TBS (pH7.4), 0.05% BSA, 40% Glycerol. Preservative: 0.05% Sodium Azide.
Concentration: 1ug/ul
Purification: Protein A affinity purified.
Molecular weight: Predicted band size: 148 kDa
Isotype: IgG
Immunogen: Synthetic peptide within human SynGAP aa 1,294-1,343 / 1,343.
Positive control: SH-SY5Y cell lysate, Human brain tissue lysate, Mouse brain tissue lysate, Rat brain tissue lysate, human brain tissue, mouse brain tissue, rat brain tissue.
Subcellular location: Cytosol, dendritic shaft, glutamatergic synapse, plasma membrane, postsynaptic density.
Recommended Dilutions:
  WB
  IHC-P

1:1,000
1:1,000
Uniprot #: SwissProt: Q96PV0 Human | F6SEU4 Mouse | Q9QUH6 Rat
Alternative names: DKFZp761G1421 KIAA1938 MRD5 Neuronal RasGAP OTTHUMP00000064825 p135 SynGAP Ras GTPase activating protein SynGAP Ras GTPase-activating protein SynGAP RASA 1 RASA 5 RASA1 RASA5 SYGP1_HUMAN Synaptic Ras GAP 1 Synaptic Ras GTPase activating protein 1 Synaptic Ras GTPase activating protein 1 homolog Synaptic Ras GTPase activating protein 135kDa Synaptic Ras GTPase activating protein Synaptic Ras GTPase-activating protein 1 Synaptic Ras-GAP 1 SYNGAP 1 SYNGAP1
Images
HA722728_1.jpg Fig1: Western blot analysis of SynGAP on different lysates with Rabbit anti-SynGAP antibody (HA722728) at 1/1,000 dilution.

Lane 1: SH-SY5Y cell lysate
Lane 2: Human brain tissue lysate

Lysates/proteins at 40 µg/Lane.

Predicted band size: 148 kDa
Observed band size: 148 kDa

Exposure time: 1 minute; ECL: K1801;

4-20% SDS-PAGE gel.

Proteins were transferred to a PVDF membrane and blocked with 5% NFDM/TBST for 1 hour at room temperature. The primary antibody (HA722728) at 1/1,000 dilution was used in 5% NFDM/TBST at 4℃ overnight. Goat Anti-Rabbit IgG - HRP Secondary Antibody (HA1001) at 1/50,000 dilution was used for 1 hour at room temperature.
HA722728_2.jpg Fig2: Western blot analysis of SynGAP on different lysates with Rabbit anti-SynGAP antibody (HA722728) at 1/1,000 dilution.

Lane 1: Mouse brain tissue lysate
Lane 2: Rat brain tissue lysate

Lysates/proteins at 40 µg/Lane.

Predicted band size: 148 kDa
Observed band size: 148 kDa

Exposure time: 1 minute; ECL: K1801;

4-20% SDS-PAGE gel.

Proteins were transferred to a PVDF membrane and blocked with 5% NFDM/TBST for 1 hour at room temperature. The primary antibody (HA722728) at 1/1,000 dilution was used in 5% NFDM/TBST at 4℃ overnight. Goat Anti-Rabbit IgG - HRP Secondary Antibody (HA1001) at 1/50,000 dilution was used for 1 hour at room temperature.
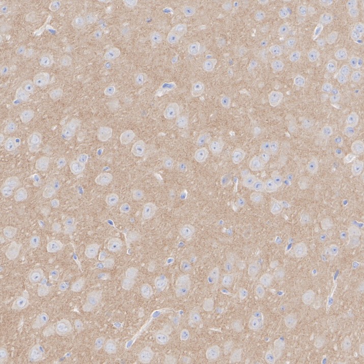
HA722728_3.jpg Fig3: Immunohistochemical analysis of paraffin-embedded human brain tissue with Rabbit anti-SynGAP antibody (HA722728) at 1/1,000 dilution.

The section was pre-treated using heat mediated antigen retrieval with Tris-EDTA buffer (pH 9.0) for 20 minutes. The tissues were blocked in 1% BSA for 20 minutes at room temperature, washed with ddH2O and PBS, and then probed with the primary antibody (HA722728) at 1/1,000 dilution for 1 hour at room temperature. The detection was performed using an HRP conjugated compact polymer system. DAB was used as the chromogen. Tissues were counterstained with hematoxylin and mounted with DPX.
HA722728_4.jpg Fig4: Immunohistochemical analysis of paraffin-embedded mouse brain tissue with Rabbit anti-SynGAP antibody (HA722728) at 1/1,000 dilution.

The section was pre-treated using heat mediated antigen retrieval with Tris-EDTA buffer (pH 9.0) for 20 minutes. The tissues were blocked in 1% BSA for 20 minutes at room temperature, washed with ddH2O and PBS, and then probed with the primary antibody (HA722728) at 1/1,000 dilution for 1 hour at room temperature. The detection was performed using an HRP conjugated compact polymer system. DAB was used as the chromogen. Tissues were counterstained with hematoxylin and mounted with DPX.
HA722728_5.jpg Fig5: Immunohistochemical analysis of paraffin-embedded rat brain tissue with Rabbit anti-SynGAP antibody (HA722728) at 1/1,000 dilution.

The section was pre-treated using heat mediated antigen retrieval with Tris-EDTA buffer (pH 9.0) for 20 minutes. The tissues were blocked in 1% BSA for 20 minutes at room temperature, washed with ddH2O and PBS, and then probed with the primary antibody (HA722728) at 1/1,000 dilution for 1 hour at room temperature. The detection was performed using an HRP conjugated compact polymer system. DAB was used as the chromogen. Tissues were counterstained with hematoxylin and mounted with DPX.
Note: All products are “FOR RESEARCH USE ONLY AND ARE NOT INTENDED FOR DIAGNOSTIC OR THERAPEUTIC USE”.