CD68 Recombinant Rabbit Monoclonal Antibody [PSH06-65]
cat.: HA722737
Product Type: Recombinant Rabbit monoclonal IgG, primary antibodies
Species reactivity: Mouse, Rat
Applications: WB, IF-Cell, IHC-P, IF-Tissue, IHC-Fr
Clonality: Monoclonal
Clone number: PSH06-65
Form: Liquid
Storage condition: Shipped at 4℃. Store at +4℃ short term (1-2 weeks). It is recommended to aliquot into single-use upon delivery. Store at -20℃ long term.
Storage buffer: PBS (pH7.4), 0.1% BSA, 40% Glycerol. Preservative: 0.05% Sodium Azide.
Concentration: 1ug/ul
Purification: Protein A affinity purified.
Molecular weight: Predicted band size: 35 kDa
Isotype: IgG
Immunogen: Recombinant protein within mouse CD68 aa 1-316.
Positive control: RAW264.7 cell lysate, M‑NFS‑60 cell lysate, J774A.1 cell lysate, Rat spleen tissue lysate, RAW264.7, mouse brain tissue, mouse intestine tissue, mouse spleen tissue, rat intestine tissue, rat spleen tissue.
Subcellular location: Endosome membrane, Lysosome membrane; Cell membrane.
Recommended Dilutions:
  WB
  IF-Cell
  IHC-P
  IF-Tissue
  IHC-Fr

1:5,000
1:100
1:500
1:500
1:1,000
Uniprot #: SwissProt: P31996 Mouse
Entrez Gene: 287435 Rat
Alternative names: CD 68 CD68 CD68 antigen CD68 molecule CD68_HUMAN DKFZp686M18236 gp11 Gp110 LAMP4 Macrophage antigen CD68 (microsialin) MACROPHAGE ANTIGEN CD68 Macrosialin SCARD1 Scavenger receptor class D member 1
Images
HA722737_1.jpg Fig1: Western blot analysis of CD68 on different lysates with Rabbit anti-CD68 antibody (HA722737) at 1/5,000 dilution.

Lane 1: RAW264.7 cell lysate (20 µg/Lane)
Lane 2: M‑NFS‑60 cell lysate (20 µg/Lane)
Lane 3: J774A.1 cell lysate (20 µg/Lane)
Lane 4: NIH/3T3 cell lysate (negative) (20 µg/Lane)
Lane 5: Neuro-2a cell lysate (negative) (20 µg/Lane)
Lane 6: Rat spleen tissue lysate (no heat) (40 µg/Lane)

Notice: no heat means the lysate is not boiled.

Predicted band size: 35 kDa
Observed band size: 90-200 kDa

Exposure time: 12 seconds; ECL: K1801;

4-20% SDS-PAGE gel.

Proteins were transferred to a PVDF membrane and blocked with 5% NFDM/TBST for 1 hour at room temperature. The primary antibody (HA722737) at 1/5,000 dilution was used in 5% NFDM/TBST at 4℃ overnight. Goat Anti-Rabbit IgG - HRP Secondary Antibody (HA1001) at 1/50,000 dilution was used for 1 hour at room temperature.
HA722737_2.jpg Fig2: Western blot analysis of CD68 on different lysates with Rabbit anti-CD68 antibody (HA722737) at 1/5,000 dilution.

Lane 1: RAW264.7 cell lysate
Lane 2: RAW264.7 cell lysate treated with deglycosylation

Lysates/proteins at 20 µg/Lane.

Predicted band size: 35 kDa
Observed band size: 60-100 kDa

Exposure time: 10 seconds; ECL: K1801;

4-20% SDS-PAGE gel.

Proteins were transferred to a PVDF membrane and blocked with 5% NFDM/TBST for 1 hour at room temperature. The primary antibody (HA722737) at 1/5,000 dilution was used in 5% NFDM/TBST at 4℃ overnight. Goat Anti-Rabbit IgG - HRP Secondary Antibody (HA1001) at 1/50,000 dilution was used for 1 hour at room temperature.
HA722737_3.jpg Fig3: Application: IHC-Fr

Species: Mouse

Site: Spleen

Sample: Frozen section

Antibody concentration: 1/1,000

Antigen retrieval: Not required
HA722737_4.jpg Fig4: Application: IHC-Fr

Species: Rat

Site: Spleen

Sample: Frozen section

Antibody concentration: 1/1,000

Antigen retrieval: Not required
HA722737_5.jpg Fig5: Immunocytochemistry analysis of RAW264.7 (positive) and Neuro-2a (negative) labeling CD68 with Rabbit anti-CD68 antibody (HA722737) at 1/100 dilution.

Cells were fixed in 4% paraformaldehyde for 20 minutes at room temperature, permeabilized with 0.1% Triton X-100 in PBS for 5 minutes at room temperature, then blocked with 1% BSA in 10% negative goat serum for 1 hour at room temperature. Cells were then incubated with Rabbit anti-CD68 antibody (HA722737) at 1/100 dilution in 1% BSA in PBST overnight at 4 ℃. Goat Anti-Rabbit IgG H&L (iFluor™ 488, HA1121) was used as the secondary antibody at 1/1,000 dilution. PBS instead of the primary antibody was used as the secondary antibody only control. Nuclear DNA was labelled in blue with DAPI.

Beta tubulin (M1305-2, red) was stained at 1/100 dilution overnight at +4℃. Goat Anti-Mouse IgG H&L (iFluor™ 594, HA1126) was used as the secondary antibody at 1/1,000 dilution.
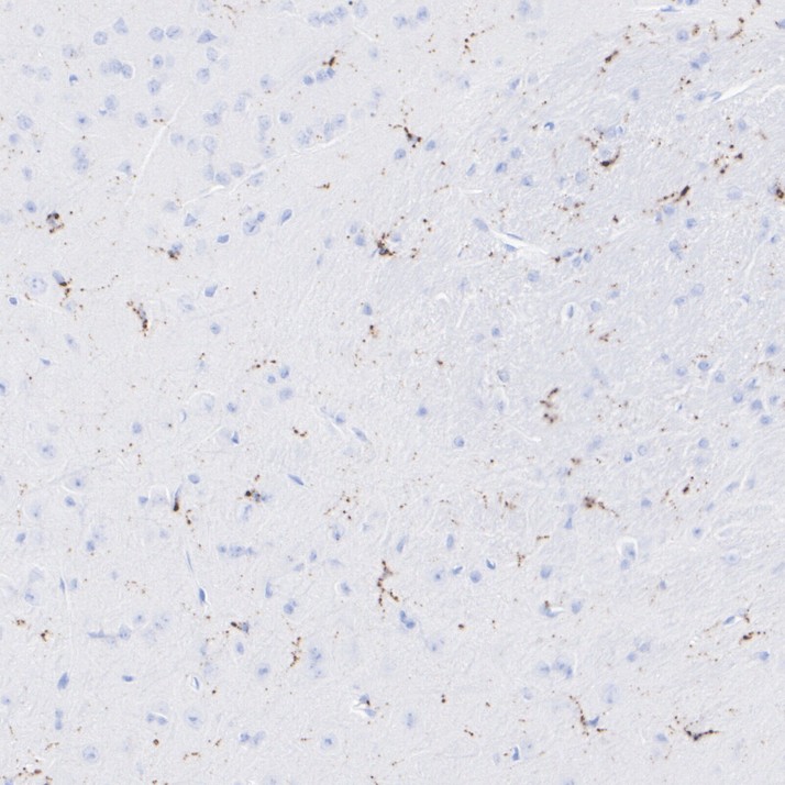
HA722737_6.jpg Fig6: Immunohistochemical analysis of paraffin-embedded mouse brain tissue with Rabbit anti-CD68 antibody (HA722737) at 1/500 dilution.

The section was pre-treated using heat mediated antigen retrieval with Tris-EDTA buffer (pH 9.0) for 20 minutes. The tissues were blocked in 1% BSA for 20 minutes at room temperature, washed with ddH2O and PBS, and then probed with the primary antibody (HA722737) at 1/500 dilution for 1 hour at room temperature. The detection was performed using an HRP conjugated compact polymer system. DAB was used as the chromogen. Tissues were counterstained with hematoxylin and mounted with DPX.
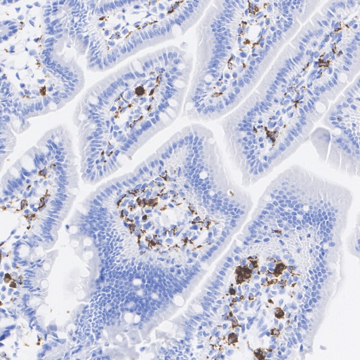
HA722737_7.jpg Fig7: Immunohistochemical analysis of paraffin-embedded mouse intestine tissue with Rabbit anti-CD68 antibody (HA722737) at 1/500 dilution.

The section was pre-treated using heat mediated antigen retrieval with Tris-EDTA buffer (pH 9.0) for 20 minutes. The tissues were blocked in 1% BSA for 20 minutes at room temperature, washed with ddH2O and PBS, and then probed with the primary antibody (HA722737) at 1/500 dilution for 1 hour at room temperature. The detection was performed using an HRP conjugated compact polymer system. DAB was used as the chromogen. Tissues were counterstained with hematoxylin and mounted with DPX.
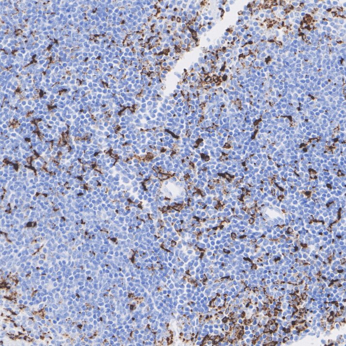
HA722737_8.jpg Fig8: Immunohistochemical analysis of paraffin-embedded mouse spleen tissue with Rabbit anti-CD68 antibody (HA722737) at 1/500 dilution.

The section was pre-treated using heat mediated antigen retrieval with Tris-EDTA buffer (pH 9.0) for 20 minutes. The tissues were blocked in 1% BSA for 20 minutes at room temperature, washed with ddH2O and PBS, and then probed with the primary antibody (HA722737) at 1/500 dilution for 1 hour at room temperature. The detection was performed using an HRP conjugated compact polymer system. DAB was used as the chromogen. Tissues were counterstained with hematoxylin and mounted with DPX.
HA722737_9.jpg Fig9: Immunohistochemical analysis of paraffin-embedded rat intestine tissue with Rabbit anti-CD68 antibody (HA722737) at 1/500 dilution.

The section was pre-treated using heat mediated antigen retrieval with Tris-EDTA buffer (pH 9.0) for 20 minutes. The tissues were blocked in 1% BSA for 20 minutes at room temperature, washed with ddH2O and PBS, and then probed with the primary antibody (HA722737) at 1/500 dilution for 1 hour at room temperature. The detection was performed using an HRP conjugated compact polymer system. DAB was used as the chromogen. Tissues were counterstained with hematoxylin and mounted with DPX.
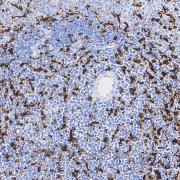
HA722737_10.jpg Fig10: Immunohistochemical analysis of paraffin-embedded rat spleen tissue with Rabbit anti-CD68 antibody (HA722737) at 1/500 dilution.

The section was pre-treated using heat mediated antigen retrieval with Tris-EDTA buffer (pH 9.0) for 20 minutes. The tissues were blocked in 1% BSA for 20 minutes at room temperature, washed with ddH2O and PBS, and then probed with the primary antibody (HA722737) at 1/500 dilution for 1 hour at room temperature. The detection was performed using an HRP conjugated compact polymer system. DAB was used as the chromogen. Tissues were counterstained with hematoxylin and mounted with DPX.
HA722737_11.jpg Fig11: Application: IF-tissue

Species: Mouse

Site: Spleen

Sample: Paraffin-embedded section

Antibody concentration: 1/500
HA722737_12.jpg Fig12: Application: IF-tissue

Species: Rat

Site: Spleen

Sample: Paraffin-embedded section

Antibody concentration: 1/500
Note: All products are “FOR RESEARCH USE ONLY AND ARE NOT INTENDED FOR DIAGNOSTIC OR THERAPEUTIC USE”.