MED12 Recombinant Rabbit Monoclonal Antibody [PSH06-67]
cat.: HA722739
Product Type: Recombinant Rabbit monoclonal IgG, primary antibodies
Species reactivity: Human, Mouse, Rat
Applications: WB
Clonality: Monoclonal
Clone number: PSH06-67
Form: Liquid
Storage condition: Shipped at 4℃. Store at +4℃ short term (1-2 weeks). It is recommended to aliquot into single-use upon delivery. Store at -20℃ long term.
Storage buffer: PBS (pH7.4), 0.1% BSA, 40% Glycerol. Preservative: 0.05% Sodium Azide.
Concentration: 1ug/ul
Purification: Protein A affinity purified.
Molecular weight: Predicted band size: 243 kDa
Isotype: IgG
Immunogen: Recombinant protein within human MED12 aa 1,001-1,350.
Positive control: A549 cell lysate, HeLa cell lysate, K-562 cell lysate, LNCaP cell lysate, Jurkat cell lysate, HCT 116 cell lysate, Caco-2 cell lysate, NIH/3T3 cell lysate, C2C12 cell lysate, PC-12 cell lysate, Rat placenta tissue lysate.
Subcellular location: Nucleus.
Recommended Dilutions:
  WB

1:1,000
Uniprot #: SwissProt: Q93074 Human | A2AGH6 Mouse
Entrez Gene: 679693 Rat
Alternative names: Activator recruited cofactor 240 kDa component Activator-recruited cofactor 240 kDa component ARC240 CAG repeat protein 45 CAGH45 HOPA KIAA0192 MED12 MED12_HUMAN Mediator complex subunit 12 Mediator of RNA polymerase II transcription subunit 12 OPA containing protein OPA-containing protein Thyroid hormone receptor associated protein complex 230 kDa component Thyroid hormone receptor-associated protein complex 230 kDa component TNRC11 Trap230 Trinucleotide repeat containing gene 11 protein Trinucleotide repeat-containing gene 11 protein
Images
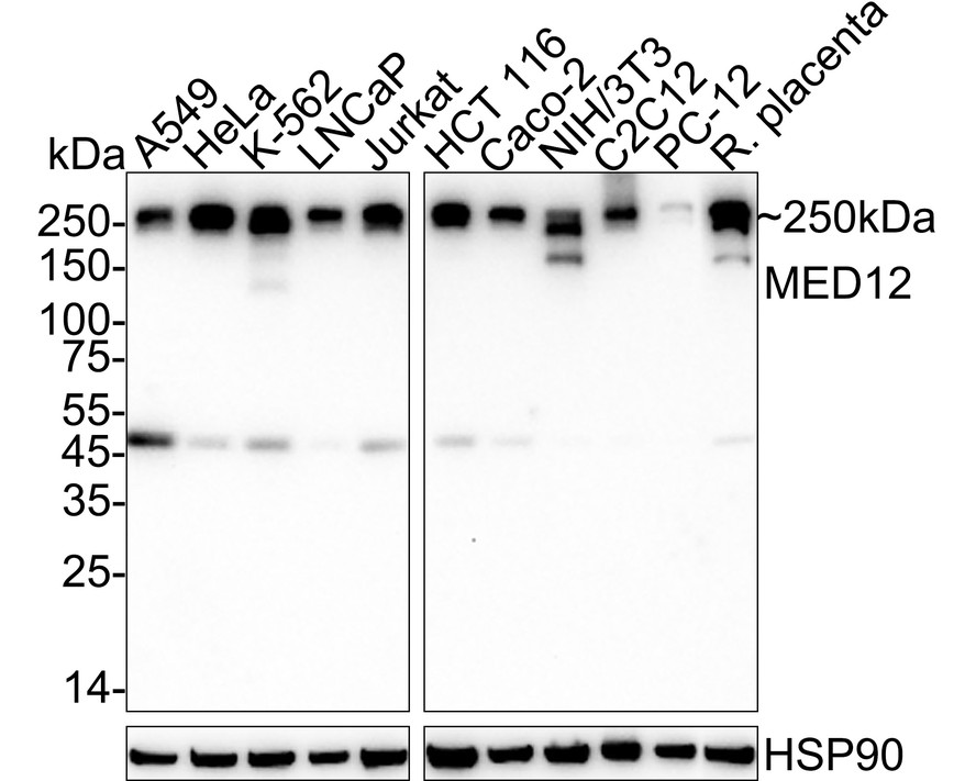
HA722739_1.jpg Fig1: Western blot analysis of MED12 on different lysates with Rabbit anti-MED12 antibody (HA722739) at 1/1,000 dilution.

Lane 1: A549 cell lysate
Lane 2: HeLa cell lysate
Lane 3: K-562 cell lysate
Lane 4: LNCaP cell lysate
Lane 5: Jurkat cell lysate
Lane 6: HCT 116 cell lysate
Lane 7: Caco-2 cell lysate
Lane 8: NIH/3T3 cell lysate
Lane 9: C2C12 cell lysate
Lane 10: PC-12 cell lysate
Lane 11: Rat placenta tissue lysate

Lysates/proteins at 20 µg/Lane.

Predicted band size: 243 kDa
Observed band size: 250 kDa

Exposure time: 1 minutes 50 seconds; ECL: K1801;

4-20% SDS-PAGE gel.

Proteins were transferred to a PVDF membrane and blocked with 5% NFDM/TBST for 1 hour at room temperature. The primary antibody (HA722739) at 1/1,000 dilution was used in 5% NFDM/TBST at 4℃ overnight. Goat Anti-Rabbit IgG - HRP Secondary Antibody (HA1001) at 1/50,000 dilution was used for 1 hour at room temperature.
Note: All products are “FOR RESEARCH USE ONLY AND ARE NOT INTENDED FOR DIAGNOSTIC OR THERAPEUTIC USE”.