ATP13A2 Recombinant Rabbit Monoclonal Antibody [PSH06-69]
cat.: HA722741
Product Type: Recombinant Rabbit monoclonal IgG, primary antibodies
Species reactivity: Human, Mouse, Rat, Cynomolgus monkey
Applications: WB, IHC-P, IHC-Fr
Clonality: Monoclonal
Clone number: PSH06-69
Form: Liquid
Storage condition: Shipped at 4℃. Store at +4℃ short term (1-2 weeks). It is recommended to aliquot into single-use upon delivery. Store at -20℃ long term.
Storage buffer: PBS (pH7.4), 0.1% BSA, 40% Glycerol. Preservative: 0.05% Sodium Azide.
Concentration: 1ug/ul
Purification: Protein A affinity purified.
Molecular weight: Predicted band size: 129 kDa
Isotype: IgG
Immunogen: Recombinant protein within human ATP13A2 aa 485-900.
Positive control: mouse hippocampus tissue, mouse cerebral cortex tissue, HeLa cell lysate, SH-SY5Y cell lysate, Neuro-2a cell lysate, C6 cell lysate, COS-1 cell lysate, human brain tissue, mouse brain tissue, rat brain tissue.
Subcellular location: Lysosome membrane, Late endosome membrane, Endosome, multivesicular body membrane, Cytoplasmic vesicle, autophagosome membrane.
Recommended Dilutions:
  WB
  IHC-P
  IHC-Fr

1:1,000
1:1,000
1:500
Uniprot #: SwissProt: Q9NQ11 Human | Q9CTG6 Mouse
Entrez Gene: 362645 Rat
Alternative names: AT132_HUMAN Atp13a2 ATPase type 13A2 CLN12 FLJ26510 HSA9947 KRPPD PARK9 Probable cation transporting ATPase 13A2 Probable cation-transporting ATPase 13A2 Putative ATPase RP1-37C10.4
Images
HA722741_1.jpg Fig1: Application: IHC-Fr

Species: Mouse

Site: Hippocampus

Sample: Frozen section

Antibody concentration: 1/500

Antigen retrieval: The section was pre-treated using heat mediated antigen retrieval with sodium citrate buffer (pH 6.0) for about 2 minutes in microwave oven.
HA722741_2.jpg Fig2: Application: IHC-Fr

Species: Mouse

Site: Hippocampus

Sample: Frozen section

Antibody concentration: 1/500

Antigen retrieval: The section was pre-treated using heat mediated antigen retrieval with sodium citrate buffer (pH 6.0) for about 2 minutes in microwave oven.
HA722741_3.jpg Fig3: Application: IHC-Fr

Species: Mouse

Site: Cerebral cortex

Sample: Frozen section

Antibody concentration: 1/500

Antigen retrieval: The section was pre-treated using heat mediated antigen retrieval with sodium citrate buffer (pH 6.0) for about 2 minutes in microwave oven.
HA722741_4.jpg Fig4: Western blot analysis of ATP13A2 on different lysates with Rabbit anti-ATP13A2 antibody (HA722741) at 1/1,000 dilution.

Lane 1: HeLa cell lysate (20 µg/Lane)
Lane 2: SH-SY5Y cell lysate (20 µg/Lane)
Lane 3: Neuro-2a cell lysate (20 µg/Lane)
Lane 4: C6 cell lysate (20 µg/Lane)
Lane 5: COS-1 cell lysate (20 µg/Lane)

Predicted band size: 129 kDa
Observed band size: 160 kDa

Exposure time: 40 seconds; ECL: K1802;
4-20% SDS-PAGE gel.

Proteins were transferred to a PVDF membrane and blocked with 5% NFDM/TBST for 1 hour at room temperature. The primary antibody (HA722741) at 1/1,000 dilution was used in 5% NFDM/TBST at 4℃ overnight. Goat Anti-Rabbit IgG - HRP Secondary Antibody (HA1001) at 1/50,000 dilution was used for 1 hour at room temperature.
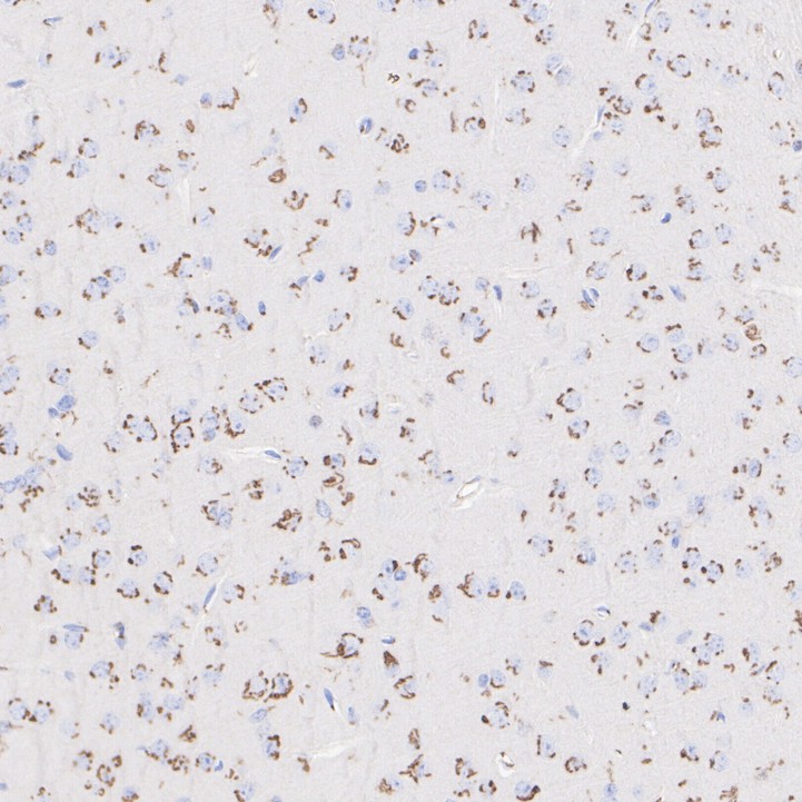
HA722741_5.jpg Fig5: Immunohistochemical analysis of paraffin-embedded human brain tissue with Rabbit anti-ATP13A2 antibody (HA722741) at 1/1,000 dilution.

The section was pre-treated using heat mediated antigen retrieval with Tris-EDTA buffer (pH 9.0) for 20 minutes. The tissues were blocked in 1% BSA for 20 minutes at room temperature, washed with ddH2O and PBS, and then probed with the primary antibody (HA722741) at 1/1,000 dilution for 1 hour at room temperature. The detection was performed using an HRP conjugated compact polymer system. DAB was used as the chromogen. Tissues were counterstained with hematoxylin and mounted with DPX.
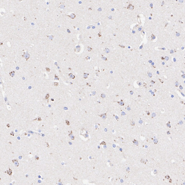
HA722741_6.jpg Fig6: Immunohistochemical analysis of paraffin-embedded mouse brain tissue with Rabbit anti-ATP13A2 antibody (HA722741) at 1/1,000 dilution.

The section was pre-treated using heat mediated antigen retrieval with Tris-EDTA buffer (pH 9.0) for 20 minutes. The tissues were blocked in 1% BSA for 20 minutes at room temperature, washed with ddH2O and PBS, and then probed with the primary antibody (HA722741) at 1/1,000 dilution for 1 hour at room temperature. The detection was performed using an HRP conjugated compact polymer system. DAB was used as the chromogen. Tissues were counterstained with hematoxylin and mounted with DPX.
HA722741_7.jpg Fig7: Immunohistochemical analysis of paraffin-embedded rat brain tissue with Rabbit anti-ATP13A2 antibody (HA722741) at 1/1,000 dilution.

The section was pre-treated using heat mediated antigen retrieval with Tris-EDTA buffer (pH 9.0) for 20 minutes. The tissues were blocked in 1% BSA for 20 minutes at room temperature, washed with ddH2O and PBS, and then probed with the primary antibody (HA722741) at 1/1,000 dilution for 1 hour at room temperature. The detection was performed using an HRP conjugated compact polymer system. DAB was used as the chromogen. Tissues were counterstained with hematoxylin and mounted with DPX.
Note: All products are “FOR RESEARCH USE ONLY AND ARE NOT INTENDED FOR DIAGNOSTIC OR THERAPEUTIC USE”.