ENPP3 / B10 Recombinant Rabbit Monoclonal Antibody [PSH06-96]
cat.: HA722774
Product Type: Recombinant Rabbit monoclonal IgG, primary antibodies
Species reactivity: Human, Mouse, Rat
Applications: WB, IF-Cell, IHC-P
Clonality: Monoclonal
Clone number: PSH06-96
Form: Liquid
Storage condition: Shipped at 4℃. Store at +4℃ short term (1-2 weeks). It is recommended to aliquot into single-use upon delivery. Store at -20℃ long term.
Storage buffer: PBS (pH7.4), 0.1% BSA, 40% Glycerol. Preservative: 0.05% Sodium Azide.
Concentration: 1ug/ul
Purification: Protein A affinity purified.
Molecular weight: Predicted band size: 100 kDa
Isotype: IgG
Immunogen: Recombinant protein within human ENPP3 aa 526-875.
Positive control: Mouse kidney tissue lysate, Rat uterus tissue lysate, Rat kidney tissue lysate, Rat liver tissue lysate, 293T transfected with ENPP3 cell lysate, HeLa cells transfected with ENPP3, human endometrium tissue, mouse endometrium tissue.
Subcellular location: Cell membrane, Apical cell membrane, Secreted.
Recommended Dilutions:
  WB
  IF-Cell
  IHC-P

1:1,000-1:2,000
1:100
1:200-1:1,000
Uniprot #: SwissProt: O14638 Human | Q6DYE8 Mouse | P97675 Rat
Alternative names: Alkaline phosphodiesterase I ARHR2 B10 CD203c CD203c antigen dJ1005H11.3 (phosphodiesterase I/nucleotide pyrophosphatase 3) dJ914N13.3 (phosphodiesterase I/nucleotide pyrophosphatase 3) E NPP 3 E-NPP 3 Ectonucleotide pyrophosphatase/phosphodiesterase 3 Ectonucleotide pyrophosphatase/phosphodiesterase family member 3 ENPP3 ENPP3_HUMAN gp130RB13 6 gp130RB136 M6S1 NPP1 NPP3 NPPase NPPS Nucleotide pyrophosphatase PC 1 PC-1 PCA1 PD Ibeta PD-Ibeta PDNP1 PDNP3 Phosphodiesterase I beta Phosphodiesterase I/nucleotide pyrophosphatase 3 phosphodiesterase i/nucleotide pyrophosphatase beta
Images
HA722774_1.jpg Fig1: Western blot analysis of ENPP3 / B10 on different lysates with Rabbit anti-ENPP3 / B10 antibody (HA722774) at 1/1,000 dilution.

Lane 1: Mouse kidney tissue lysate
Lane 2: Rat uterus tissue lysate
Lane 3: Rat kidney tissue lysate
Lane 4: Rat liver tissue lysate

Lysates/proteins at 40 µg/Lane.

Predicted band size: 100 kDa
Observed band size: 130 kDa

Exposure time: 25 seconds; ECL: K1801;

4-20% SDS-PAGE gel.

Proteins were transferred to a PVDF membrane and blocked with 5% NFDM/TBST for 1 hour at room temperature. The primary antibody (HA722774) at 1/1,000 dilution was used in 5% NFDM/TBST at 4℃ overnight. Goat Anti-Rabbit IgG - HRP Secondary Antibody (HA1001) at 1/50,000 dilution was used for 1 hour at room temperature.
HA722774_2.jpg Fig2: Western blot analysis of ENPP3 / B10 on different lysates with Rabbit anti-ENPP3 / B10 antibody (HA722774) at 1/2,000 dilution.

Lane 1: 293T-NT cell lysate
Lane 2: 293T transfected with ENPP3 cell lysate

Lysates/proteins at 10 µg/Lane.

Predicted band size: 100 kDa
Observed band size: 100/130 kDa

Exposure time: 4 seconds; ECL: K1801;

4-20% SDS-PAGE gel.

Proteins were transferred to a PVDF membrane and blocked with 5% NFDM/TBST for 1 hour at room temperature. The primary antibody (HA722774) at 1/2,000 dilution was used in 5% NFDM/TBST at 4℃ overnight. Goat Anti-Rabbit IgG - HRP Secondary Antibody (HA1001) at 1/50,000 dilution was used for 1 hour at room temperature.
HA722774_3.jpg Fig3: Immunocytochemistry analysis of HeLa cells transfected with or without ENPP3 labeling ENPP3 / B10 with Rabbit anti-ENPP3 / B10 antibody (HA722774) at 1/100 dilution.

Cells were fixed in 4% paraformaldehyde for 20 minutes at room temperature, permeabilized with 0.1% Triton X-100 in PBS for 5 minutes at room temperature, then blocked with 1% BSA in 10% negative goat serum for 1 hour at room temperature. Cells were then incubated with Rabbit anti-ENPP3 / B10 antibody (HA722774) at 1/100 dilution in 1% BSA in PBST overnight at 4 ℃. Goat Anti-Rabbit IgG H&L (iFluor™ 488, HA1121) was used as the secondary antibody at 1/1,000 dilution. PBS instead of the primary antibody was used as the secondary antibody only control. Nuclear DNA was labelled in blue with DAPI.

Beta tubulin (M1305-2, red) was stained at 1/100 dilution overnight at +4℃. Goat Anti-Mouse IgG H&L (iFluor™ 594, HA1126) was used as the secondary antibody at 1/1,000 dilution.
HA722774_4.jpg Fig4: Immunohistochemical analysis of paraffin-embedded human endometrium tissue with Rabbit anti-ENPP3 / B10 antibody (HA722774) at 1/1,000 dilution.

The section was pre-treated using heat mediated antigen retrieval with Tris-EDTA buffer (pH 9.0) for 20 minutes. The tissues were blocked in 1% BSA for 20 minutes at room temperature, washed with ddH2O and PBS, and then probed with the primary antibody (HA722774) at 1/1,000 dilution for 1 hour at room temperature. The detection was performed using an HRP conjugated compact polymer system. DAB was used as the chromogen. Tissues were counterstained with hematoxylin and mounted with DPX.
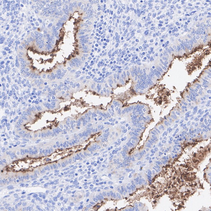
HA722774_5.jpg Fig5: Immunohistochemical analysis of paraffin-embedded mouse endometrium tissue with Rabbit anti-ENPP3 / B10 antibody (HA722774) at 1/1,000 dilution.

The section was pre-treated using heat mediated antigen retrieval with Tris-EDTA buffer (pH 9.0) for 20 minutes. The tissues were blocked in 1% BSA for 20 minutes at room temperature, washed with ddH2O and PBS, and then probed with the primary antibody (HA722774) at 1/1,000 dilution for 1 hour at room temperature. The detection was performed using an HRP conjugated compact polymer system. DAB was used as the chromogen. Tissues were counterstained with hematoxylin and mounted with DPX.
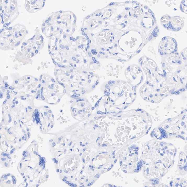
HA722774_6.jpg Fig6: Immunohistochemical analysis of paraffin-embedded human placenta tissue (negative) with Rabbit anti-ENPP3 / B10 antibody (HA722774) at 1/1,000 dilution.

The section was pre-treated using heat mediated antigen retrieval with Tris-EDTA buffer (pH 9.0) for 20 minutes. The tissues were blocked in 1% BSA for 20 minutes at room temperature, washed with ddH2O and PBS, and then probed with the primary antibody (HA722774) at 1/1,000 dilution for 1 hour at room temperature. The detection was performed using an HRP conjugated compact polymer system. DAB was used as the chromogen. Tissues were counterstained with hematoxylin and mounted with DPX.
Note: All products are “FOR RESEARCH USE ONLY AND ARE NOT INTENDED FOR DIAGNOSTIC OR THERAPEUTIC USE”.