6X His tag Recombinant Rabbit Monoclonal Antibody [PSH07-10]
cat.: HA722798
Product Type: Recombinant Rabbit monoclonal IgG, primary antibodies
Species reactivity: Species independent
Applications: WB, IF-Cell, IHC-P, FC, IP, ELISA
Clonality: Monoclonal
Clone number: PSH07-10
Form: Liquid
Storage condition: Shipped at 4℃. Store at +4℃ short term (1-2 weeks). It is recommended to aliquot into single-use upon delivery. Store at -20℃ long term.
Storage buffer: PBS (pH7.4), 0.1% BSA, 40% Glycerol. Preservative: 0.05% Sodium Azide.
Concentration: 0.2ug/ul
Purification: Protein A affinity purified.
Isotype: IgG
Immunogen: Synthetic peptide immune sequence is HHHHHHHHC.
Recommended Dilutions:
  WB
  IF-Cell
  IHC-P
  FC
  IP
  ELISA

1:5,000
1:5,000
1:5,000
1:200-500
1-2μg/sample
1:5,000
Alternative names: 6 His epitope tag Hexa His tag HHHHHH epitope tag HHHHHH tag His tag Polyhistidine Tag
Images
HA722798_1.jpg Fig1: Western blot analysis of 6X His tag on different lysates with Rabbit anti-6X His tag antibody (HA722798) at 1/5,000 dilution.

Lane 1: 293T transfected with His-tagged empty control cell lysate
Lane 2: 293T transfected with His-tagged ACAT2 (N-terminal) cell lysate
Lane 3: 293T transfected with His-tagged Histone H3.1 (C-terminal) cell lysate

Lysates/proteins at 10 µg/Lane.

Exposure time: 2 seconds; ECL: K1801;

4-20% SDS-PAGE gel.

Proteins were transferred to a PVDF membrane and blocked with 5% NFDM/TBST for 1 hour at room temperature. The primary antibody (HA722798) at 1/5,000 dilution was used in 5% NFDM/TBST at 4℃ overnight. Goat Anti-Rabbit IgG - HRP Secondary Antibody (HA1001) at 1/50,000 dilution was used for 1 hour at room temperature.
HA722798_2.jpg Fig2: Immunocytochemistry analysis of HeLa cells labeling 6X His tag with Rabbit anti-6X His tag antibody (HA722798) at 1/5,000 dilution.

HeLa cells, transfected with His-tagged Histone H3.1 (C-terminal) or ACAT2 (N-terminal) expression vector, respectively, were fixed in 4% paraformaldehyde for 10 minutes at room temperature, permeabilized with 0.1% Triton X-100 in PBS for 15 minutes at room temperature, then blocked with 1% BSA in 10% negative goat serum for 1 hour at room temperature. Cells were then incubated with Rabbit anti-6X His tag antibody (HA722798) at 1/5,000 dilution in 1% BSA in PBST overnight at 4 ℃. Goat Anti-Rabbit IgG H&L (iFluor™ 488, HA1121) was used as the secondary antibody at 1/1,000 dilution. PBS instead of the primary antibody was used as the secondary antibody only control. Nuclear DNA was labelled in blue with DAPI.

Beta tubulin (M1305-2, red) was stained at 1/100 dilution overnight at +4℃. Goat Anti-Mouse IgG H&L (iFluor™ 594, HA1126) was used as the secondary antibody at 1/1,000 dilution.
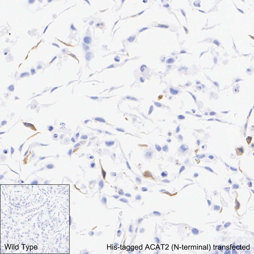
HA722798_3.jpg Fig3: Immunohistochemical analysis of paraffin-embedded HeLa transfected with His-tagged ACAT2 (N-terminal) cells with Rabbit anti-6X His tag antibody (HA722798) at 1/10,000 dilution.

The section was pre-treated using heat mediated antigen retrieval with Tris-EDTA buffer (pH 9.0) for 20 minutes. The tissues were blocked in 1% BSA for 20 minutes at room temperature, washed with ddH2O and PBS, and then probed with the primary antibody (HA722798) at 1/10,000 dilution for 1 hour at room temperature. The detection was performed using an HRP conjugated compact polymer system. DAB was used as the chromogen. Tissues were counterstained with hematoxylin and mounted with DPX.
HA722798_4.jpg Fig4: Immunohistochemical analysis of paraffin-embedded HeLa transfected with His-tagged Histon H3.1 (C-terminal) cells with Rabbit anti-6X His tag antibody (HA722798) at 1/10,000 dilution.

The section was pre-treated using heat mediated antigen retrieval with Tris-EDTA buffer (pH 9.0) for 20 minutes. The tissues were blocked in 1% BSA for 20 minutes at room temperature, washed with ddH2O and PBS, and then probed with the primary antibody (HA722798) at 1/10,000 dilution for 1 hour at room temperature. The detection was performed using an HRP conjugated compact polymer system. DAB was used as the chromogen. Tissues were counterstained with hematoxylin and mounted with DPX.
HA722798_5.jpg Fig5: 6X His tag was immunoprecipitated from 0.2 mg 293T transfected with His-tagged Histon H3.1 (C-terminal) cell lysate with HA722798 at 2 µg/25 µl agarose. Western blot was performed from the immunoprecipitate using HA722798 at 1/500 dilution. Anti-Rabbit IgG for IP Nano-secondary antibody (NBI01H) at 1/5,000 dilution was used for 1 hour at room temperature.

Lane 1: 293T transfected with His-tagged Histon H3.1 (C-terminal) cell lysate (input)
Lane 2: HA722798 IP in 293T transfected with His-tagged Histon H3.1 (C-terminal) cell lysate
Lane 3: Rabbit IgG instead of HA722798 in 293T transfected with His-tagged Histon H3.1 (C-terminal) cell lysate

Blocking/Dilution buffer: 5% NFDM/TBST
Exposure time: 8 seconds; ECL: K1801
HA722798_6.jpg Fig6: 6X His tag was immunoprecipitated from 0.2 mg 293T transfected with His-tagged ACAT2 (N-terminal) cell lysate with HA722798 at 2 µg/25 µl agarose. Western blot was performed from the immunoprecipitate using HA722798 at 1/500 dilution. Anti-Rabbit IgG for IP Nano-secondary antibody (NBI01H) at 1/5,000 dilution was used for 1 hour at room temperature.

Lane 1: 293T transfected with His-tagged ACAT2 (N-terminal) cell lysate (input)
Lane 2: HA722798 IP in 293T transfected with His-tagged ACAT2 (N-terminal) cell lysate
Lane 3: Rabbit IgG instead of HA722798 in 293T transfected with His-tagged ACAT2 (N-terminal) cell lysate

Blocking/Dilution buffer: 5% NFDM/TBST
Exposure time: 8 seconds; ECL: K1801
HA722798_7.jpg Fig7: Flow cytometric analysis of HeLa transfected with His-tagged ACAT2 (N-terminal) cells labeling 6X His tag.

Cells were fixed and permeabilized. Then stained with the primary antibody (HA722798, 1/200) (red) compared with Rabbit IgG Isotype Control (green). After incubation of the primary antibody at +4℃ for an hour, the cells were stained with a iFluor™ 488 conjugate-Goat anti-Rabbit IgG Secondary antibody (HA1121) at 1/1,000 dilution for 30 minutes at +4℃. Unlabelled sample was used as a control (cells without incubation with primary antibody; black).
Note: All products are “FOR RESEARCH USE ONLY AND ARE NOT INTENDED FOR DIAGNOSTIC OR THERAPEUTIC USE”.