Phospho-NDRG1 (T346) Recombinant Rabbit Monoclonal Antibody [PSH07-17]
cat.: HA722805
Product Type: Recombinant Rabbit monoclonal IgG, primary antibodies
Species reactivity: Human, Mouse, Rat
Applications: WB, IHC-P, IF-Cell, FC, IF-Tissue
Clonality: Monoclonal
Clone number: PSH07-17
Form: Liquid
Storage condition: Shipped at 4℃. Store at +4℃ short term (1-2 weeks). It is recommended to aliquot into single-use upon delivery. Store at -20℃ long term.
Storage buffer: PBS (pH7.4), 0.1% BSA, 40% Glycerol. Preservative: 0.05% Sodium Azide.
Concentration: 1ug/ul
Purification: Protein A affinity purified.
Molecular weight: Predicted band size: 43 kDa
Isotype: IgG
Immunogen: Synthetic phospho-peptide corresponding to residues surrounding Thr346 of human NDRG1 aa 321-370.
Positive control: HT-29 treated with 100nM Calyculin A for 30 minutes cell lysate, HeLa cell lysate, HeLa serum starved for 4 hours then add 100nM insulin for 5 minutes cell lysate, C2C12 treated with 100nM insulin for 15 minutes cell lysate, HeLa serum starved for 24 hours then add 100nM Calyculin A for 30 minutes cell lysate, 293T, 293T treated with 100nM Calyculin A for 15 minutes cell lysate, C6 cell lysates, mouse kidney tissue, rat kidney tissue.
Subcellular location: Cytoplasm, cytosol, cytoskeleton, microtubule organizing center, centrosome, Nucleus, Cell membrane.
Recommended Dilutions:
  WB
  IHC-P
  IF-Cell
  FC
  IF-Tissue

1:2,000
1:2,000
1:100
1:1,000
1:200-1:500
Uniprot #: SwissProt: Q92597 Human | Q62433 Mouse | Q6JE36 Rat
Alternative names: 42 kDa Anti GC4 cap43 cmt4d Differentiation related gene1 protein Differentiation-related gene 1 protein Drg 1 DRG-1 drg1 gc4 GC4 hmsnl Human mRNA for RTP complete cds N myc downstream regulated gene 1 N myc downstream regulated gene 1 protein N-myc downstream-regulated gene 1 protein Ndr 1 ndr1 NDRG 1 Ndrg1 NDRG1 protein NDRG1_HUMAN Nickel specific induction protein Nickel specific induction protein Cap43 Nickel-specific induction protein Cap43 nmsl Nmyc downstream regulated Nmyc downstream regulated gene1 Nmyc downstream regulated gene1 protein Protein NDRG1 Protein regulated by oxygen 1 Protein regulated by oxygen1 Proxy1 Reduced in tumor Reducin Reducing agents and tunicamycin responsive protein Reducing agents and tunicamycin-responsive protein Rit42 RTP targ1 TDD5 tdds Tunicamycin responsive protein
Images
HA722805_1.jpg Fig1: Western blot analysis of Phospho-NDRG1 (T346) on different lysates with Rabbit anti-Phospho-NDRG1 (T346) antibody (HA722805) at 1/2,000 dilution.

Lane 1: HT-29 cell lysate (25 µg/Lane)
Lane 2: HT-29 treated with 100nM Calyculin A for 30 minutes cell lysate (25 µg/Lane)
Lane 3: HeLa cell lysate (25 µg/Lane)
Lane 4: HeLa serum starved for 4 hours then add 100nM insulin for 5 minutes cell lysate (25 µg/Lane)
Lane 5: C2C12 cell lysate (25 µg/Lane)
Lane 6: C2C12 treated with 100nM insulin for 15 minutes cell lysate (25 µg/Lane)
Lane 7: HeLa cell lysate (25 µg/Lane)
Lane 8: HeLa serum starved for 24 hours then add 100nM Calyculin A for 30 minutes cell lysate (25 µg/Lane)

Predicted band size: 43 kDa
Observed band size: 50 kDa

Exposure time: 20 seconds; ECL: K1801;
4-20% SDS-PAGE gel.

Proteins were transferred to a PVDF membrane and blocked with 5% NFDM/TBST for 1 hour at room temperature. The primary antibody (HA722805) at 1/2,000 dilution was used in 5% NFDM/TBST at 4℃ overnight. Goat Anti-Rabbit IgG - HRP Secondary Antibody (HA1001) at 1/50,000 dilution was used for 1 hour at room temperature.
HA722805_2.jpg Fig2: Immunocytochemistry analysis of 293T cells treated with 100nM Calyculin A for 15 minutes labeling Phospho-NDRG1 (T346) with Rabbit anti-Phospho-NDRG1 (T346) antibody (HA722805) at 1/100 dilution.

Cells were fixed in 4% paraformaldehyde for 20 minutes at room temperature, permeabilized with 0.1% Triton X-100 in PBS for 5 minutes at room temperature, then blocked with 1% BSA in 10% negative goat serum for 1 hour at room temperature. Cells were then incubated with Rabbit anti-Phospho-NDRG1 (T346) antibody (HA722805) at 1/100 dilution in 1% BSA in PBST overnight at 4 ℃. Goat Anti-Rabbit IgG H&L (iFluor™ 488, HA1121) was used as the secondary antibody at 1/1,000 dilution. PBS instead of the primary antibody was used as the secondary antibody only control. Nuclear DNA was labelled in blue with DAPI. Beta tubulin (M1305-2, red) was stained at 1/100 dilution overnight at +4℃. Goat Anti-Mouse IgG H&L (iFluor™ 594, HA1126) was used as the secondary antibody at 1/1,000 dilution.
HA722805_3.jpg Fig3: Western blot analysis of Phospho-NDRG1 (T346) on different lysates with Rabbit anti-Phospho-NDRG1 (T346) antibody (HA722805) at 1/2,000 dilution.

Lane 1: 293T cell lysate
Lane 2: 293T treated with 100nM Calyculin A for 15 minutes cell lysate
Lane 3: 293T treated with 100nM Calyculin A for 30 minutes cell lysate, then the membrane treated with λpp for 1 hour

Lysates/proteins at 20 µg/Lane.

Predicted band size: 43 kDa
Observed band size: 50 kDa

Exposure time: 10 seconds; ECL: K1801;

4-20% SDS-PAGE gel.

Proteins were transferred to a PVDF membrane and blocked with 5% NFDM/TBST for 1 hour at room temperature. The primary antibody (HA722805) at 1/2,000 dilution was used in 5% NFDM/TBST at 4℃ overnight. Goat Anti-Rabbit IgG - HRP Secondary Antibody (HA1001) at 1/50,000 dilution was used for 1 hour at room temperature.
HA722805_4.jpg Fig4: Western blot analysis of Phospho-NDRG1 (T346) on C6 cell lysates with Rabbit anti-Phospho-NDRG1 (T346) antibody (HA722805) at 1/2,000 dilution.

Lysates/proteins at 20 µg/Lane.

Predicted band size: 43 kDa
Observed band size: 50 kDa

Exposure time: 30 seconds; ECL: K1801;

4-20% SDS-PAGE gel.

Proteins were transferred to a PVDF membrane and blocked with 5% NFDM/TBST for 1 hour at room temperature. The primary antibody (HA722805) at 1/2,000 dilution was used in 5% NFDM/TBST at 4℃ overnight. Goat Anti-Rabbit IgG - HRP Secondary Antibody (HA1001) at 1/50,000 dilution was used for 1 hour at room temperature.
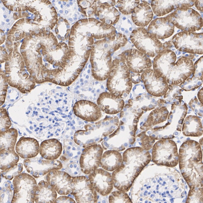
HA722805_5.jpg Fig5: Immunohistochemical analysis of paraffin-embedded mouse kidney tissue with Rabbit anti-Phospho-NDRG1 (T346) antibody (HA722805) at 1/2,000 dilution.

The section was pre-treated using heat mediated antigen retrieval with Tris-EDTA buffer (pH 9.0) for 20 minutes. The tissues were blocked in 1% BSA for 20 minutes at room temperature, washed with ddH2O and PBS, and then probed with the primary antibody (HA722805) at 1/2,000 dilution for 1 hour at room temperature. The detection was performed using an HRP conjugated compact polymer system. DAB was used as the chromogen. Tissues were counterstained with hematoxylin and mounted with DPX.
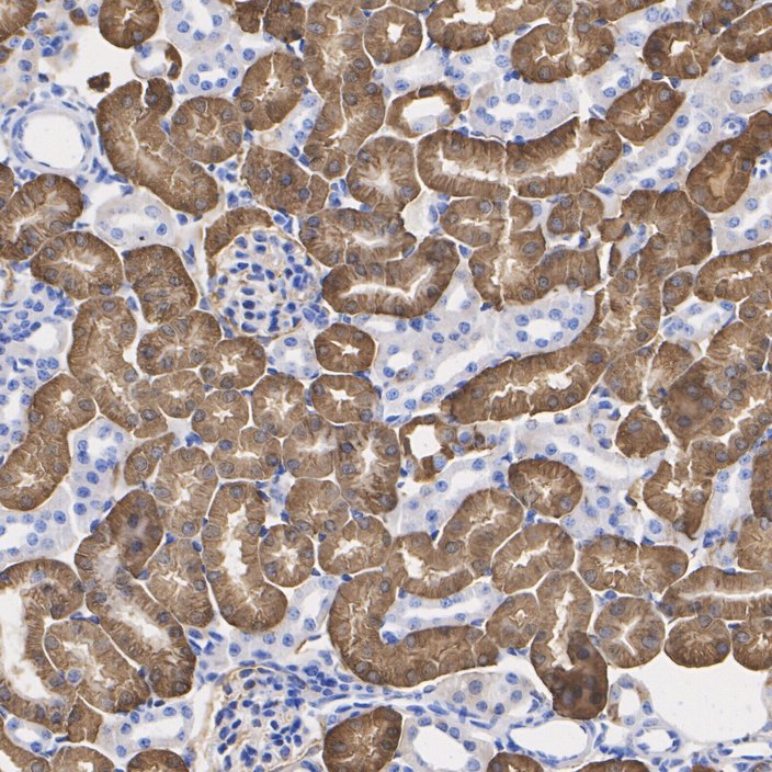
HA722805_6.jpg Fig6: Immunohistochemical analysis of paraffin-embedded rat kidney tissue with Rabbit anti-Phospho-NDRG1 (T346) antibody (HA722805) at 1/2,000 dilution.

The section was pre-treated using heat mediated antigen retrieval with Tris-EDTA buffer (pH 9.0) for 20 minutes. The tissues were blocked in 1% BSA for 20 minutes at room temperature, washed with ddH2O and PBS, and then probed with the primary antibody (HA722805) at 1/2,000 dilution for 1 hour at room temperature. The detection was performed using an HRP conjugated compact polymer system. DAB was used as the chromogen. Tissues were counterstained with hematoxylin and mounted with DPX.
HA722805_7.jpg Fig7: Flow cytometric analysis of 293T cells labeling Phospho-NDRG1 (T346).

Cells were fixed and permeabilized. Then stained with the primary antibody (HA722805, 1/1,000) (red) compared with Rabbit IgG Isotype Control (green). After incubation of the primary antibody at +4℃ for an hour, the cells were stained with a iFluor™ 488 conjugate-Goat anti-Rabbit IgG Secondary antibody (HA1121) at 1/1,000 dilution for 30 minutes at +4℃. Unlabelled sample was used as a control (cells without incubation with primary antibody; black).
Note: All products are “FOR RESEARCH USE ONLY AND ARE NOT INTENDED FOR DIAGNOSTIC OR THERAPEUTIC USE”.